[神经纤维瘤病 1 型患者的神经血管病理学。病例报告]。

IF 0.8 4区 医学 Q4 CLINICAL NEUROLOGY
M Simal-Antuña, C Fernández-Fernández, D Larrosa-Campo
{"title":"[神经纤维瘤病 1 型患者的神经血管病理学。病例报告]。","authors":"M Simal-Antuña, C Fernández-Fernández, D Larrosa-Campo","doi":"10.33588/rn.7904.2024172","DOIUrl":null,"url":null,"abstract":"<p><strong>Introduction: </strong>Neurovascular involvement in patients with neurofibromatosis type 1 (NF1) presents with a wide spectrum of manifestations. Its frequency is low, albeit probably underestimated. There is currently no known specific treatment, and treatment is based on recommendations with limited evidence. This report describes a case of vascular dysplasia in a patient with NF1.</p><p><strong>Case report: </strong>A 67-year-old woman with a genetic diagnosis of NF1 and a history of multiple exeresis of neurofibromas in the left cervical region. The patient presented with a painful flare-up and swelling in the region. A cervical magnetic resonance imaging was performed, which showed signs of plexiform neurinoma growth and a lesion suggestive of aneurysm in the left cervical internal carotid artery. A subsequent computed tomographic angiography confirmed the presence of a thrombosed aneurysm with associated critical stenosis, and identified three additional aneurysms in the proximal left vertebral artery. Given the asymptomatic presentation and adequate haemodynamic compensation, the patient was prescribed a conservative treatment and clinicoradiological follow-up.</p><p><strong>Conclusions: </strong>Neurovascular alterations associated with NF1 are infrequent, and the optimal treatment for them is unknown. Studies to define its true prevalence, determine its pathophysiological substrate and estimate the risk of cerebrovascular complications more precisely are needed. This could provide more robust recommendations for the population of NF1 patients, especially in asymptomatic cases.</p>","PeriodicalId":21281,"journal":{"name":"Revista de neurologia","volume":"79 4","pages":"115-118"},"PeriodicalIF":0.8000,"publicationDate":"2024-08-16","publicationTypes":"Journal Article","fieldsOfStudy":null,"isOpenAccess":false,"openAccessPdf":"https://www.ncbi.nlm.nih.gov/pmc/articles/PMC11469116/pdf/","citationCount":"0","resultStr":"{\"title\":\"[Neurovascular pathology in a patient with neurofibromatosis type 1. Case report].\",\"authors\":\"M Simal-Antuña, C Fernández-Fernández, D Larrosa-Campo\",\"doi\":\"10.33588/rn.7904.2024172\",\"DOIUrl\":null,\"url\":null,\"abstract\":\"<p><strong>Introduction: </strong>Neurovascular involvement in patients with neurofibromatosis type 1 (NF1) presents with a wide spectrum of manifestations. Its frequency is low, albeit probably underestimated. There is currently no known specific treatment, and treatment is based on recommendations with limited evidence. This report describes a case of vascular dysplasia in a patient with NF1.</p><p><strong>Case report: </strong>A 67-year-old woman with a genetic diagnosis of NF1 and a history of multiple exeresis of neurofibromas in the left cervical region. The patient presented with a painful flare-up and swelling in the region. A cervical magnetic resonance imaging was performed, which showed signs of plexiform neurinoma growth and a lesion suggestive of aneurysm in the left cervical internal carotid artery. A subsequent computed tomographic angiography confirmed the presence of a thrombosed aneurysm with associated critical stenosis, and identified three additional aneurysms in the proximal left vertebral artery. Given the asymptomatic presentation and adequate haemodynamic compensation, the patient was prescribed a conservative treatment and clinicoradiological follow-up.</p><p><strong>Conclusions: </strong>Neurovascular alterations associated with NF1 are infrequent, and the optimal treatment for them is unknown. Studies to define its true prevalence, determine its pathophysiological substrate and estimate the risk of cerebrovascular complications more precisely are needed. This could provide more robust recommendations for the population of NF1 patients, especially in asymptomatic cases.</p>\",\"PeriodicalId\":21281,\"journal\":{\"name\":\"Revista de neurologia\",\"volume\":\"79 4\",\"pages\":\"115-118\"},\"PeriodicalIF\":0.8000,\"publicationDate\":\"2024-08-16\",\"publicationTypes\":\"Journal Article\",\"fieldsOfStudy\":null,\"isOpenAccess\":false,\"openAccessPdf\":\"https://www.ncbi.nlm.nih.gov/pmc/articles/PMC11469116/pdf/\",\"citationCount\":\"0\",\"resultStr\":null,\"platform\":\"Semanticscholar\",\"paperid\":null,\"PeriodicalName\":\"Revista de neurologia\",\"FirstCategoryId\":\"3\",\"ListUrlMain\":\"https://doi.org/10.33588/rn.7904.2024172\",\"RegionNum\":4,\"RegionCategory\":\"医学\",\"ArticlePicture\":[],\"TitleCN\":null,\"AbstractTextCN\":null,\"PMCID\":null,\"EPubDate\":\"\",\"PubModel\":\"\",\"JCR\":\"Q4\",\"JCRName\":\"CLINICAL NEUROLOGY\",\"Score\":null,\"Total\":0}","platform":"Semanticscholar","paperid":null,"PeriodicalName":"Revista de neurologia","FirstCategoryId":"3","ListUrlMain":"https://doi.org/10.33588/rn.7904.2024172","RegionNum":4,"RegionCategory":"医学","ArticlePicture":[],"TitleCN":null,"AbstractTextCN":null,"PMCID":null,"EPubDate":"","PubModel":"","JCR":"Q4","JCRName":"CLINICAL NEUROLOGY","Score":null,"Total":0}
引用次数: 0

摘要

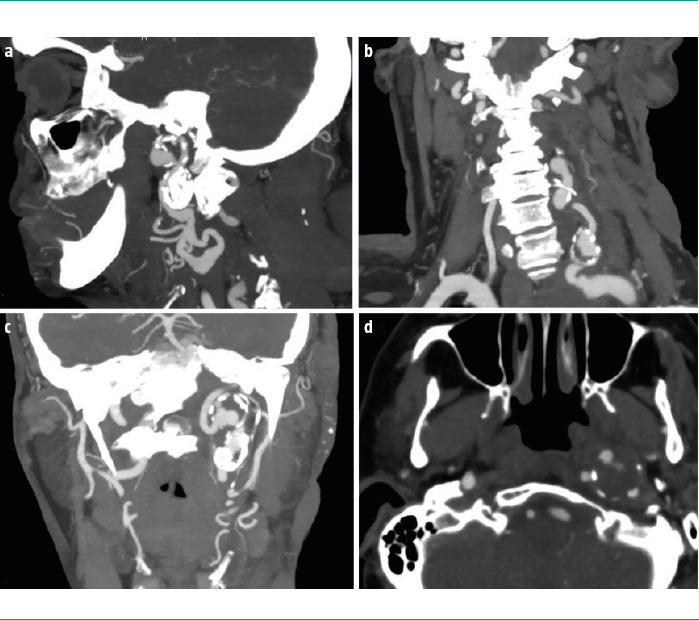
导言:1 型神经纤维瘤病 (NF1) 患者的神经血管受累表现多种多样。其发病率很低,但很可能被低估了。目前还没有已知的特异性治疗方法,治疗方法是基于证据有限的建议。本报告描述了一例 NF1 患者血管发育不良的病例:一名 67 岁的女性,遗传学诊断为 NF1,左颈部有多发性神经纤维瘤。患者出现该区域疼痛发作和肿胀。患者接受了颈部磁共振成像检查,结果显示丛状神经瘤有生长迹象,左颈颈内动脉有动脉瘤病变。随后进行的计算机断层扫描血管造影证实存在一个血栓形成的动脉瘤,并伴有临界狭窄,还在左侧椎动脉近端发现了另外三个动脉瘤。鉴于患者无症状且血流动力学补偿充分,医生对其采取了保守治疗,并进行了临床和放射学随访:结论:与 NF1 相关的神经血管病变并不常见,其最佳治疗方法尚不清楚。需要进行研究,以确定其真正的发病率,确定其病理生理基础,并更准确地估计脑血管并发症的风险。这将为 NF1 患者,尤其是无症状病例提供更可靠的建议。
本文章由计算机程序翻译,如有差异,请以英文原文为准。

[Neurovascular pathology in a patient with neurofibromatosis type 1. Case report].

[Neurovascular pathology in a patient with neurofibromatosis type 1. Case report].

[Neurovascular pathology in a patient with neurofibromatosis type 1. Case report].

Introduction: Neurovascular involvement in patients with neurofibromatosis type 1 (NF1) presents with a wide spectrum of manifestations. Its frequency is low, albeit probably underestimated. There is currently no known specific treatment, and treatment is based on recommendations with limited evidence. This report describes a case of vascular dysplasia in a patient with NF1.

Case report: A 67-year-old woman with a genetic diagnosis of NF1 and a history of multiple exeresis of neurofibromas in the left cervical region. The patient presented with a painful flare-up and swelling in the region. A cervical magnetic resonance imaging was performed, which showed signs of plexiform neurinoma growth and a lesion suggestive of aneurysm in the left cervical internal carotid artery. A subsequent computed tomographic angiography confirmed the presence of a thrombosed aneurysm with associated critical stenosis, and identified three additional aneurysms in the proximal left vertebral artery. Given the asymptomatic presentation and adequate haemodynamic compensation, the patient was prescribed a conservative treatment and clinicoradiological follow-up.

Conclusions: Neurovascular alterations associated with NF1 are infrequent, and the optimal treatment for them is unknown. Studies to define its true prevalence, determine its pathophysiological substrate and estimate the risk of cerebrovascular complications more precisely are needed. This could provide more robust recommendations for the population of NF1 patients, especially in asymptomatic cases.

求助全文
通过发布文献求助,成功后即可免费获取论文全文。 去求助
来源期刊
Revista de neurologia
Revista de neurologia 医学-临床神经学
CiteScore
2.50
自引率
8.30%
发文量
117
审稿时长
3-8 weeks
期刊介绍: Revista de Neurología fomenta y difunde el conocimiento generado en lengua española sobre neurociencia, tanto clínica como experimental.
×
引用
GB/T 7714-2015
复制
MLA
复制
APA
复制
导出至
BibTeX EndNote RefMan NoteFirst NoteExpress
×
提示
您的信息不完整,为了账户安全,请先补充。
现在去补充
×
提示
您因"违规操作"
具体请查看互助需知
我知道了
×
提示
确定
请完成安全验证×
copy
已复制链接
快去分享给好友吧!
我知道了
右上角分享
点击右上角分享
0
联系我们:info@booksci.cn Book学术提供免费学术资源搜索服务,方便国内外学者检索中英文文献。致力于提供最便捷和优质的服务体验。 Copyright © 2023 布克学术 All rights reserved.
京ICP备2023020795号-1
ghs 京公网安备 11010802042870号
Book学术文献互助
Book学术文献互助群
群 号:604180095
Book学术官方微信