两只猫的布鲁纳腺腺瘤。

IF 0.7 Q3 VETERINARY SCIENCES
Journal of Feline Medicine and Surgery Open Reports Pub Date : 2024-07-27 eCollection Date: 2024-07-01 DOI:10.1177/20551169241241208
Elizabeth S Hines, Paula Roberta Giaretta, João Pedro Cavasin, Molly E Church, Kenneth K Sadanaga, Brian F Porter
{"title":"两只猫的布鲁纳腺腺瘤。","authors":"Elizabeth S Hines, Paula Roberta Giaretta, João Pedro Cavasin, Molly E Church, Kenneth K Sadanaga, Brian F Porter","doi":"10.1177/20551169241241208","DOIUrl":null,"url":null,"abstract":"<p><strong>Case series summary: </strong>Two cats, aged 13.5 and 14 years, presented with duodenal masses ultimately diagnosed as Brunner's gland (BG) adenomas. In the first cat, the lesion was a firm, pale tan, proximal duodenal polyp adjacent to the major duodenal papilla that was composed histologically of a well demarcated, expansile mass of well-differentiated BGs separated by fibrovascular septa and few adipocytes. This patient was euthanized for otitis-related vestibular signs, and the clinical significance of the duodenal polyp is unknown. The second cat presented with a 6-month history of vomiting. This cat had a mural duodenal mass in the region of the major duodenal papilla of approximately 2 cm, which was histologically composed of a dense population of variably ectatic BGs expanding the submucosa and lamina propria. This patient's mass was non-resectable, but the vomiting resolved after palliative gastroenterostomy loop surgery to allow ingesta to flow past the mass. The patient survived 35 months after the procedure.</p><p><strong>Relevance and novel information: </strong>BG adenoma is a rare, typically benign tumor in humans with non-specific clinical manifestations and no clear etiopathogenesis. This lesion, and the related condition BG hyperplasia, has been documented rarely in animals (one dog, two horses, and in mice and rats). This is the first description of the lesion in the cat. The comparative pathology, differential diagnoses and possible significance of these lesions are discussed.</p>","PeriodicalId":36588,"journal":{"name":"Journal of Feline Medicine and Surgery Open Reports","volume":"10 2","pages":"20551169241241208"},"PeriodicalIF":0.7000,"publicationDate":"2024-07-27","publicationTypes":"Journal Article","fieldsOfStudy":null,"isOpenAccess":false,"openAccessPdf":"https://www.ncbi.nlm.nih.gov/pmc/articles/PMC11283668/pdf/","citationCount":"0","resultStr":"{\"title\":\"Brunner's gland adenomas in two cats.\",\"authors\":\"Elizabeth S Hines, Paula Roberta Giaretta, João Pedro Cavasin, Molly E Church, Kenneth K Sadanaga, Brian F Porter\",\"doi\":\"10.1177/20551169241241208\",\"DOIUrl\":null,\"url\":null,\"abstract\":\"<p><strong>Case series summary: </strong>Two cats, aged 13.5 and 14 years, presented with duodenal masses ultimately diagnosed as Brunner's gland (BG) adenomas. In the first cat, the lesion was a firm, pale tan, proximal duodenal polyp adjacent to the major duodenal papilla that was composed histologically of a well demarcated, expansile mass of well-differentiated BGs separated by fibrovascular septa and few adipocytes. This patient was euthanized for otitis-related vestibular signs, and the clinical significance of the duodenal polyp is unknown. The second cat presented with a 6-month history of vomiting. This cat had a mural duodenal mass in the region of the major duodenal papilla of approximately 2 cm, which was histologically composed of a dense population of variably ectatic BGs expanding the submucosa and lamina propria. This patient's mass was non-resectable, but the vomiting resolved after palliative gastroenterostomy loop surgery to allow ingesta to flow past the mass. The patient survived 35 months after the procedure.</p><p><strong>Relevance and novel information: </strong>BG adenoma is a rare, typically benign tumor in humans with non-specific clinical manifestations and no clear etiopathogenesis. This lesion, and the related condition BG hyperplasia, has been documented rarely in animals (one dog, two horses, and in mice and rats). This is the first description of the lesion in the cat. The comparative pathology, differential diagnoses and possible significance of these lesions are discussed.</p>\",\"PeriodicalId\":36588,\"journal\":{\"name\":\"Journal of Feline Medicine and Surgery Open Reports\",\"volume\":\"10 2\",\"pages\":\"20551169241241208\"},\"PeriodicalIF\":0.7000,\"publicationDate\":\"2024-07-27\",\"publicationTypes\":\"Journal Article\",\"fieldsOfStudy\":null,\"isOpenAccess\":false,\"openAccessPdf\":\"https://www.ncbi.nlm.nih.gov/pmc/articles/PMC11283668/pdf/\",\"citationCount\":\"0\",\"resultStr\":null,\"platform\":\"Semanticscholar\",\"paperid\":null,\"PeriodicalName\":\"Journal of Feline Medicine and Surgery Open Reports\",\"FirstCategoryId\":\"1085\",\"ListUrlMain\":\"https://doi.org/10.1177/20551169241241208\",\"RegionNum\":0,\"RegionCategory\":null,\"ArticlePicture\":[],\"TitleCN\":null,\"AbstractTextCN\":null,\"PMCID\":null,\"EPubDate\":\"2024/7/1 0:00:00\",\"PubModel\":\"eCollection\",\"JCR\":\"Q3\",\"JCRName\":\"VETERINARY SCIENCES\",\"Score\":null,\"Total\":0}","platform":"Semanticscholar","paperid":null,"PeriodicalName":"Journal of Feline Medicine and Surgery Open Reports","FirstCategoryId":"1085","ListUrlMain":"https://doi.org/10.1177/20551169241241208","RegionNum":0,"RegionCategory":null,"ArticlePicture":[],"TitleCN":null,"AbstractTextCN":null,"PMCID":null,"EPubDate":"2024/7/1 0:00:00","PubModel":"eCollection","JCR":"Q3","JCRName":"VETERINARY SCIENCES","Score":null,"Total":0}
引用次数: 0

摘要

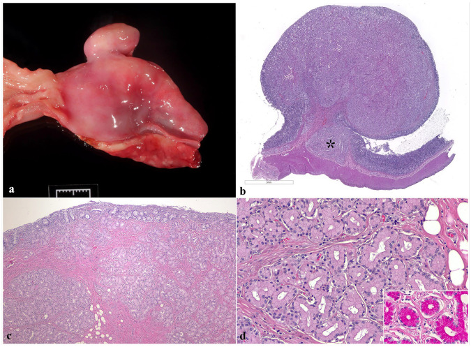
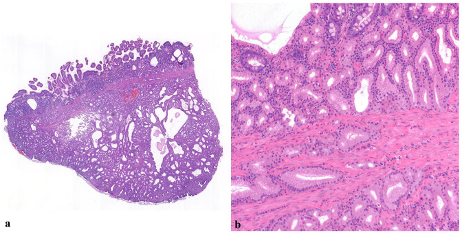
病例系列摘要:两只猫的年龄分别为 13.5 岁和 14 岁,它们的十二指肠肿块最终被诊断为布鲁纳腺 (BG) 腺瘤。第一只猫的病变是邻近十二指肠大乳头的十二指肠近端息肉,质地坚硬,呈淡褐色,组织学上由分化良好的BG组成,呈膨胀性肿块,被纤维血管隔和少量脂肪细胞隔开。该患者因耳炎相关的前庭症状而被安乐死,十二指肠息肉的临床意义尚不清楚。第二只猫有 6 个月的呕吐史。这只猫在十二指肠大乳头区域有一个壁状十二指肠肿块,大约 2 厘米,组织学上是由密集的异位 BG 组成,扩大了粘膜下层和固有层。这名患者的肿块无法切除,但在姑息性胃肠造口环路手术后,呕吐症状缓解,胃肠造口环路手术是为了让胃液流过肿块。患者在术后存活了 35 个月:BG腺瘤是一种罕见的典型良性肿瘤,临床表现无特异性,发病机制也不明确。这种病变以及与之相关的 BG 增生症在动物(一只狗、两匹马以及小鼠和大鼠)中很少见。这是首次描述猫的这种病变。本文讨论了这些病变的比较病理学、鉴别诊断和可能的意义。
本文章由计算机程序翻译,如有差异,请以英文原文为准。

Brunner's gland adenomas in two cats.

Brunner's gland adenomas in two cats.

Brunner's gland adenomas in two cats.

Brunner's gland adenomas in two cats.

Case series summary: Two cats, aged 13.5 and 14 years, presented with duodenal masses ultimately diagnosed as Brunner's gland (BG) adenomas. In the first cat, the lesion was a firm, pale tan, proximal duodenal polyp adjacent to the major duodenal papilla that was composed histologically of a well demarcated, expansile mass of well-differentiated BGs separated by fibrovascular septa and few adipocytes. This patient was euthanized for otitis-related vestibular signs, and the clinical significance of the duodenal polyp is unknown. The second cat presented with a 6-month history of vomiting. This cat had a mural duodenal mass in the region of the major duodenal papilla of approximately 2 cm, which was histologically composed of a dense population of variably ectatic BGs expanding the submucosa and lamina propria. This patient's mass was non-resectable, but the vomiting resolved after palliative gastroenterostomy loop surgery to allow ingesta to flow past the mass. The patient survived 35 months after the procedure.

Relevance and novel information: BG adenoma is a rare, typically benign tumor in humans with non-specific clinical manifestations and no clear etiopathogenesis. This lesion, and the related condition BG hyperplasia, has been documented rarely in animals (one dog, two horses, and in mice and rats). This is the first description of the lesion in the cat. The comparative pathology, differential diagnoses and possible significance of these lesions are discussed.

求助全文
通过发布文献求助,成功后即可免费获取论文全文。 去求助
来源期刊
CiteScore
1.30
自引率
14.30%
发文量
57
审稿时长
15 weeks
×
引用
GB/T 7714-2015
复制
MLA
复制
APA
复制
导出至
BibTeX EndNote RefMan NoteFirst NoteExpress
×
提示
您的信息不完整,为了账户安全,请先补充。
现在去补充
×
提示
您因"违规操作"
具体请查看互助需知
我知道了
×
提示
确定
请完成安全验证×
copy
已复制链接
快去分享给好友吧!
我知道了
右上角分享
点击右上角分享
0
联系我们:info@booksci.cn Book学术提供免费学术资源搜索服务,方便国内外学者检索中英文文献。致力于提供最便捷和优质的服务体验。 Copyright © 2023 布克学术 All rights reserved.
京ICP备2023020795号-1
ghs 京公网安备 11010802042870号
Book学术文献互助
Book学术文献互助群
群 号:604180095
Book学术官方微信