在日常工作中对左心房阑尾进行形态和功能评估:使用基础和高级超声心动图的综合方法及实用技巧。

Q2 Medicine
Ashraf M Anwar
{"title":"在日常工作中对左心房阑尾进行形态和功能评估:使用基础和高级超声心动图的综合方法及实用技巧。","authors":"Ashraf M Anwar","doi":"10.1186/s44348-024-00017-2","DOIUrl":null,"url":null,"abstract":"<p><p>Cardioembolic stroke is the most serious and life-threatening complication of atrial fibrillation (AF), with an associated mortality up to 30% at 12 months. Approximately 47% of thrombi in valvular AF and 91% of thrombi in nonvalvular AF are localized in the left atrial appendage (LAA). Therefore, identification or exclusion of LAA thrombi is critical in many clinical situations. It is essential to assess LAA morphology and function using imaging modalities (particularly echocardiography) before, during, and after interventional procedures such as AF ablation and LAA occlusion. This review article describes the anatomical, physiological, and pathological background of the LAA, followed by an assessment of different echocardiographic modalities. Many practical points are included to improve the diagnostic accuracy and to minimize errors during image acquisition and interpretation. In each clinical scenario where LAA is the crucial target, specific and essential information and parameters are collected.</p>","PeriodicalId":15229,"journal":{"name":"Journal of Cardiovascular Imaging","volume":"32 1","pages":"12"},"PeriodicalIF":0.0000,"publicationDate":"2024-07-29","publicationTypes":"Journal Article","fieldsOfStudy":null,"isOpenAccess":false,"openAccessPdf":"https://www.ncbi.nlm.nih.gov/pmc/articles/PMC11285475/pdf/","citationCount":"0","resultStr":"{\"title\":\"Morphological and functional assessment of the left atrial appendage in daily practice: a comprehensive approach using basic and advanced echocardiography with practical tips.\",\"authors\":\"Ashraf M Anwar\",\"doi\":\"10.1186/s44348-024-00017-2\",\"DOIUrl\":null,\"url\":null,\"abstract\":\"<p><p>Cardioembolic stroke is the most serious and life-threatening complication of atrial fibrillation (AF), with an associated mortality up to 30% at 12 months. Approximately 47% of thrombi in valvular AF and 91% of thrombi in nonvalvular AF are localized in the left atrial appendage (LAA). Therefore, identification or exclusion of LAA thrombi is critical in many clinical situations. It is essential to assess LAA morphology and function using imaging modalities (particularly echocardiography) before, during, and after interventional procedures such as AF ablation and LAA occlusion. This review article describes the anatomical, physiological, and pathological background of the LAA, followed by an assessment of different echocardiographic modalities. Many practical points are included to improve the diagnostic accuracy and to minimize errors during image acquisition and interpretation. In each clinical scenario where LAA is the crucial target, specific and essential information and parameters are collected.</p>\",\"PeriodicalId\":15229,\"journal\":{\"name\":\"Journal of Cardiovascular Imaging\",\"volume\":\"32 1\",\"pages\":\"12\"},\"PeriodicalIF\":0.0000,\"publicationDate\":\"2024-07-29\",\"publicationTypes\":\"Journal Article\",\"fieldsOfStudy\":null,\"isOpenAccess\":false,\"openAccessPdf\":\"https://www.ncbi.nlm.nih.gov/pmc/articles/PMC11285475/pdf/\",\"citationCount\":\"0\",\"resultStr\":null,\"platform\":\"Semanticscholar\",\"paperid\":null,\"PeriodicalName\":\"Journal of Cardiovascular Imaging\",\"FirstCategoryId\":\"1085\",\"ListUrlMain\":\"https://doi.org/10.1186/s44348-024-00017-2\",\"RegionNum\":0,\"RegionCategory\":null,\"ArticlePicture\":[],\"TitleCN\":null,\"AbstractTextCN\":null,\"PMCID\":null,\"EPubDate\":\"\",\"PubModel\":\"\",\"JCR\":\"Q2\",\"JCRName\":\"Medicine\",\"Score\":null,\"Total\":0}","platform":"Semanticscholar","paperid":null,"PeriodicalName":"Journal of Cardiovascular Imaging","FirstCategoryId":"1085","ListUrlMain":"https://doi.org/10.1186/s44348-024-00017-2","RegionNum":0,"RegionCategory":null,"ArticlePicture":[],"TitleCN":null,"AbstractTextCN":null,"PMCID":null,"EPubDate":"","PubModel":"","JCR":"Q2","JCRName":"Medicine","Score":null,"Total":0}
引用次数: 0

摘要

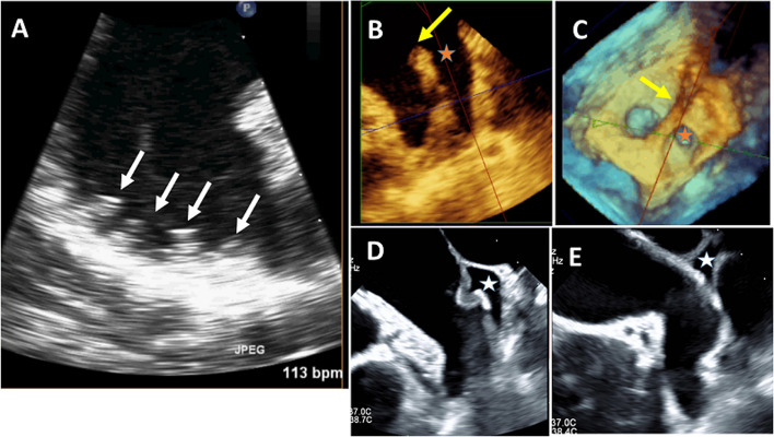
心肌栓塞性中风是心房颤动(房颤)最严重、最危及生命的并发症,12 个月的相关死亡率高达 30%。瓣膜性房颤中约 47% 的血栓和非瓣膜性房颤中 91% 的血栓位于左心房附壁(LAA)。因此,在许多临床情况下,识别或排除 LAA 血栓至关重要。在房颤消融术和 LAA 封堵术等介入手术之前、期间和之后,使用成像模式(尤其是超声心动图)评估 LAA 形态和功能至关重要。这篇综述文章介绍了 LAA 的解剖、生理和病理背景,随后对不同的超声心动图模式进行了评估。其中包括许多实用要点,以提高诊断准确性并尽量减少图像采集和解读过程中的误差。在每个以 LAA 为关键目标的临床场景中,都收集了具体而重要的信息和参数。
本文章由计算机程序翻译,如有差异,请以英文原文为准。

Morphological and functional assessment of the left atrial appendage in daily practice: a comprehensive approach using basic and advanced echocardiography with practical tips.

Morphological and functional assessment of the left atrial appendage in daily practice: a comprehensive approach using basic and advanced echocardiography with practical tips.

Morphological and functional assessment of the left atrial appendage in daily practice: a comprehensive approach using basic and advanced echocardiography with practical tips.

Morphological and functional assessment of the left atrial appendage in daily practice: a comprehensive approach using basic and advanced echocardiography with practical tips.

Cardioembolic stroke is the most serious and life-threatening complication of atrial fibrillation (AF), with an associated mortality up to 30% at 12 months. Approximately 47% of thrombi in valvular AF and 91% of thrombi in nonvalvular AF are localized in the left atrial appendage (LAA). Therefore, identification or exclusion of LAA thrombi is critical in many clinical situations. It is essential to assess LAA morphology and function using imaging modalities (particularly echocardiography) before, during, and after interventional procedures such as AF ablation and LAA occlusion. This review article describes the anatomical, physiological, and pathological background of the LAA, followed by an assessment of different echocardiographic modalities. Many practical points are included to improve the diagnostic accuracy and to minimize errors during image acquisition and interpretation. In each clinical scenario where LAA is the crucial target, specific and essential information and parameters are collected.

求助全文
通过发布文献求助,成功后即可免费获取论文全文。 去求助
来源期刊
Journal of Cardiovascular Imaging
Journal of Cardiovascular Imaging Medicine-Cardiology and Cardiovascular Medicine
CiteScore
3.40
自引率
0.00%
发文量
42
×
引用
GB/T 7714-2015
复制
MLA
复制
APA
复制
导出至
BibTeX EndNote RefMan NoteFirst NoteExpress
×
提示
您的信息不完整,为了账户安全,请先补充。
现在去补充
×
提示
您因"违规操作"
具体请查看互助需知
我知道了
×
提示
确定
请完成安全验证×
copy
已复制链接
快去分享给好友吧!
我知道了
右上角分享
点击右上角分享
0
联系我们:info@booksci.cn Book学术提供免费学术资源搜索服务,方便国内外学者检索中英文文献。致力于提供最便捷和优质的服务体验。 Copyright © 2023 布克学术 All rights reserved.
京ICP备2023020795号-1
ghs 京公网安备 11010802042870号
Book学术文献互助
Book学术文献互助群
群 号:604180095
Book学术官方微信