一名帕金森病患者在使用种植体覆盖义齿替换固定种植体支撑义齿后的长期护理随访:病例报告。

IF 4 3区 医学 Q1 DENTISTRY, ORAL SURGERY & MEDICINE
Kana Tokumoto, Takuya Mino, Ikue Tosa, Ko Omori, Michiyo Yamamoto, Kazuki Takaoka, Kenji Maekawa, Takuo Kuboki, Hiromitsu Kishimoto
{"title":"一名帕金森病患者在使用种植体覆盖义齿替换固定种植体支撑义齿后的长期护理随访:病例报告。","authors":"Kana Tokumoto, Takuya Mino, Ikue Tosa, Ko Omori, Michiyo Yamamoto, Kazuki Takaoka, Kenji Maekawa, Takuo Kuboki, Hiromitsu Kishimoto","doi":"10.1186/s40729-024-00557-8","DOIUrl":null,"url":null,"abstract":"<p><strong>Background: </strong>In older patients with progressive neurodegeneration, replacing fixed implant-supported prostheses (FIP) with implant overdentures (IOD) has been proposed to prevent future mucosal injury and create an oral environment that is easier for caregivers to clean. However, there have been no reports on the progress after replacing FIP with IOD. In this report, we present the progress of an older patient with Parkinson's disease in whom FIP was replaced with IOD.</p><p><strong>Case presentation: </strong>An 81-year-old male patient with Parkinson's disease presented to our outpatient clinic with bruxism and crossbites. FIPs, with five Brånemark system implants, were placed in the bilateral lower molars. The FIP was replaced with an IOD with two locator attachments to create an oral environment that was easier for caregivers to clean and allow easy recovery of masticatory function if residual teeth were fractured in the care environment. As his systemic condition deteriorated, treatment was changed from outpatient to in-home visits. During dental care visits, professional oral cleaning and denture repair were continued, and good nutritional status was maintained. However, the patient developed cholecystitis and was hospitalized. During hospitalization, gastrostomy was performed because he developed aspiration pneumonia. After discharge from the hospital, the patient remained in bed all day and could not wear an IOD, resulting in buccal mucosa ulceration due to abrasion of the locator abutment. We decided to replace the abutment with cover screws; however, not all the implants could sleep submucosally. Although regular oral cleaning was resumed, new ulcers developed even when cover screws were installed. Additionally, swelling and drainage were observed at the peri-implant mucosal site where peri-implantitis had once occurred during an outpatient visit. The patient was readmitted to the hospital for a urinary tract infection, and subsequent visits were abandoned.</p><p><strong>Conclusions: </strong>By replacing FIP with IOD in an older patient with Parkinson's disease, we addressed a barrier to caregiver-provided oral management. The removable prosthesis facilitated smooth oral care by caregivers and functional recovery in the event of trouble with residual teeth. However, it could not completely avoid the recurrence of buccal mucosal ulcers or peri-implantitis.</p>","PeriodicalId":14076,"journal":{"name":"International Journal of Implant Dentistry","volume":"10 1","pages":"37"},"PeriodicalIF":4.0000,"publicationDate":"2024-07-29","publicationTypes":"Journal Article","fieldsOfStudy":null,"isOpenAccess":false,"openAccessPdf":"https://www.ncbi.nlm.nih.gov/pmc/articles/PMC11286898/pdf/","citationCount":"0","resultStr":"{\"title\":\"Long-term follow-up of a patient with Parkinson's disease under nursing care after replacement of fixed implant-supported prostheses with an implant overdenture: a case report.\",\"authors\":\"Kana Tokumoto, Takuya Mino, Ikue Tosa, Ko Omori, Michiyo Yamamoto, Kazuki Takaoka, Kenji Maekawa, Takuo Kuboki, Hiromitsu Kishimoto\",\"doi\":\"10.1186/s40729-024-00557-8\",\"DOIUrl\":null,\"url\":null,\"abstract\":\"<p><strong>Background: </strong>In older patients with progressive neurodegeneration, replacing fixed implant-supported prostheses (FIP) with implant overdentures (IOD) has been proposed to prevent future mucosal injury and create an oral environment that is easier for caregivers to clean. However, there have been no reports on the progress after replacing FIP with IOD. In this report, we present the progress of an older patient with Parkinson's disease in whom FIP was replaced with IOD.</p><p><strong>Case presentation: </strong>An 81-year-old male patient with Parkinson's disease presented to our outpatient clinic with bruxism and crossbites. FIPs, with five Brånemark system implants, were placed in the bilateral lower molars. The FIP was replaced with an IOD with two locator attachments to create an oral environment that was easier for caregivers to clean and allow easy recovery of masticatory function if residual teeth were fractured in the care environment. As his systemic condition deteriorated, treatment was changed from outpatient to in-home visits. During dental care visits, professional oral cleaning and denture repair were continued, and good nutritional status was maintained. However, the patient developed cholecystitis and was hospitalized. During hospitalization, gastrostomy was performed because he developed aspiration pneumonia. After discharge from the hospital, the patient remained in bed all day and could not wear an IOD, resulting in buccal mucosa ulceration due to abrasion of the locator abutment. We decided to replace the abutment with cover screws; however, not all the implants could sleep submucosally. Although regular oral cleaning was resumed, new ulcers developed even when cover screws were installed. Additionally, swelling and drainage were observed at the peri-implant mucosal site where peri-implantitis had once occurred during an outpatient visit. The patient was readmitted to the hospital for a urinary tract infection, and subsequent visits were abandoned.</p><p><strong>Conclusions: </strong>By replacing FIP with IOD in an older patient with Parkinson's disease, we addressed a barrier to caregiver-provided oral management. The removable prosthesis facilitated smooth oral care by caregivers and functional recovery in the event of trouble with residual teeth. However, it could not completely avoid the recurrence of buccal mucosal ulcers or peri-implantitis.</p>\",\"PeriodicalId\":14076,\"journal\":{\"name\":\"International Journal of Implant Dentistry\",\"volume\":\"10 1\",\"pages\":\"37\"},\"PeriodicalIF\":4.0000,\"publicationDate\":\"2024-07-29\",\"publicationTypes\":\"Journal Article\",\"fieldsOfStudy\":null,\"isOpenAccess\":false,\"openAccessPdf\":\"https://www.ncbi.nlm.nih.gov/pmc/articles/PMC11286898/pdf/\",\"citationCount\":\"0\",\"resultStr\":null,\"platform\":\"Semanticscholar\",\"paperid\":null,\"PeriodicalName\":\"International Journal of Implant Dentistry\",\"FirstCategoryId\":\"3\",\"ListUrlMain\":\"https://doi.org/10.1186/s40729-024-00557-8\",\"RegionNum\":3,\"RegionCategory\":\"医学\",\"ArticlePicture\":[],\"TitleCN\":null,\"AbstractTextCN\":null,\"PMCID\":null,\"EPubDate\":\"\",\"PubModel\":\"\",\"JCR\":\"Q1\",\"JCRName\":\"DENTISTRY, ORAL SURGERY & MEDICINE\",\"Score\":null,\"Total\":0}","platform":"Semanticscholar","paperid":null,"PeriodicalName":"International Journal of Implant Dentistry","FirstCategoryId":"3","ListUrlMain":"https://doi.org/10.1186/s40729-024-00557-8","RegionNum":3,"RegionCategory":"医学","ArticlePicture":[],"TitleCN":null,"AbstractTextCN":null,"PMCID":null,"EPubDate":"","PubModel":"","JCR":"Q1","JCRName":"DENTISTRY, ORAL SURGERY & MEDICINE","Score":null,"Total":0}
引用次数: 0

摘要

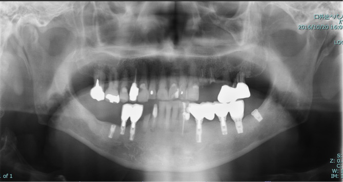
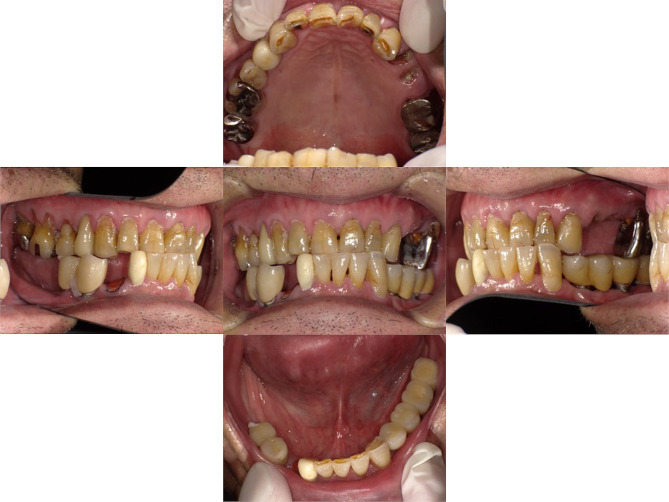
背景:对于患有进行性神经变性的老年患者,有人建议用种植体覆盖义齿(IOD)替代固定种植体支持的义齿(FIP),以防止未来的粘膜损伤,并为护理人员创造更易于清洁的口腔环境。然而,目前还没有用 IOD 替代 FIP 后的进展报告。在本报告中,我们介绍了一名帕金森病老年患者用 IOD 代替 FIP 后的进展情况:一位 81 岁的男性帕金森病患者因磨牙症和交叉咬合到我们的门诊就诊。在双侧下磨牙中植入了带有五个Brånemark系统种植体的FIP。FIP 被带有两个定位附件的 IOD 取代,以创造一个更便于护理人员清洁的口腔环境,如果在护理环境中残留的牙齿折断,也能轻松恢复咀嚼功能。随着他全身状况的恶化,治疗从门诊改为上门服务。在牙科护理访问期间,继续进行专业的口腔清洁和假牙修复,并保持良好的营养状况。然而,患者患上了胆囊炎并住院治疗。住院期间,由于他患上了吸入性肺炎,因此进行了胃造口术。出院后,患者终日卧床,无法佩戴 IOD,导致定位基台磨损造成口腔粘膜溃疡。我们决定用覆盖螺丝更换基台,但并非所有的种植体都能在粘膜下睡眠。虽然恢复了定期的口腔清洁,但即使安装了覆盖螺丝,还是出现了新的溃疡。此外,在门诊就诊时,曾发生过种植体周围炎的种植体周围粘膜部位也出现了肿胀和引流。患者因尿路感染再次入院,之后的就诊也放弃了:通过在一名患有帕金森病的老年患者身上用 IOD 代替 FIP,我们解决了护理人员提供口腔管理的障碍。活动义齿有助于护理人员顺利进行口腔护理,并在残留牙齿出现问题时促进功能恢复。然而,它并不能完全避免颊粘膜溃疡或种植体周围炎的复发。
本文章由计算机程序翻译,如有差异,请以英文原文为准。

Long-term follow-up of a patient with Parkinson's disease under nursing care after replacement of fixed implant-supported prostheses with an implant overdenture: a case report.

Long-term follow-up of a patient with Parkinson's disease under nursing care after replacement of fixed implant-supported prostheses with an implant overdenture: a case report.

Long-term follow-up of a patient with Parkinson's disease under nursing care after replacement of fixed implant-supported prostheses with an implant overdenture: a case report.

Long-term follow-up of a patient with Parkinson's disease under nursing care after replacement of fixed implant-supported prostheses with an implant overdenture: a case report.

Background: In older patients with progressive neurodegeneration, replacing fixed implant-supported prostheses (FIP) with implant overdentures (IOD) has been proposed to prevent future mucosal injury and create an oral environment that is easier for caregivers to clean. However, there have been no reports on the progress after replacing FIP with IOD. In this report, we present the progress of an older patient with Parkinson's disease in whom FIP was replaced with IOD.

Case presentation: An 81-year-old male patient with Parkinson's disease presented to our outpatient clinic with bruxism and crossbites. FIPs, with five Brånemark system implants, were placed in the bilateral lower molars. The FIP was replaced with an IOD with two locator attachments to create an oral environment that was easier for caregivers to clean and allow easy recovery of masticatory function if residual teeth were fractured in the care environment. As his systemic condition deteriorated, treatment was changed from outpatient to in-home visits. During dental care visits, professional oral cleaning and denture repair were continued, and good nutritional status was maintained. However, the patient developed cholecystitis and was hospitalized. During hospitalization, gastrostomy was performed because he developed aspiration pneumonia. After discharge from the hospital, the patient remained in bed all day and could not wear an IOD, resulting in buccal mucosa ulceration due to abrasion of the locator abutment. We decided to replace the abutment with cover screws; however, not all the implants could sleep submucosally. Although regular oral cleaning was resumed, new ulcers developed even when cover screws were installed. Additionally, swelling and drainage were observed at the peri-implant mucosal site where peri-implantitis had once occurred during an outpatient visit. The patient was readmitted to the hospital for a urinary tract infection, and subsequent visits were abandoned.

Conclusions: By replacing FIP with IOD in an older patient with Parkinson's disease, we addressed a barrier to caregiver-provided oral management. The removable prosthesis facilitated smooth oral care by caregivers and functional recovery in the event of trouble with residual teeth. However, it could not completely avoid the recurrence of buccal mucosal ulcers or peri-implantitis.

求助全文
通过发布文献求助,成功后即可免费获取论文全文。 去求助
来源期刊
International Journal of Implant Dentistry
International Journal of Implant Dentistry DENTISTRY, ORAL SURGERY & MEDICINE-
CiteScore
1.70
自引率
7.40%
发文量
53
审稿时长
13 weeks
期刊介绍: The International Journal of Implant Dentistry is a peer-reviewed open access journal published under the SpringerOpen brand. The journal is dedicated to promoting the exchange and discussion of all research areas relevant to implant dentistry in the form of systematic literature or invited reviews, prospective and retrospective clinical studies, clinical case reports, basic laboratory and animal research, and articles on material research and engineering.
×
引用
GB/T 7714-2015
复制
MLA
复制
APA
复制
导出至
BibTeX EndNote RefMan NoteFirst NoteExpress
×
提示
您的信息不完整,为了账户安全,请先补充。
现在去补充
×
提示
您因"违规操作"
具体请查看互助需知
我知道了
×
提示
确定
请完成安全验证×
copy
已复制链接
快去分享给好友吧!
我知道了
右上角分享
点击右上角分享
0
联系我们:info@booksci.cn Book学术提供免费学术资源搜索服务,方便国内外学者检索中英文文献。致力于提供最便捷和优质的服务体验。 Copyright © 2023 布克学术 All rights reserved.
京ICP备2023020795号-1
ghs 京公网安备 11010802042870号
Book学术文献互助
Book学术文献互助群
群 号:604180095
Book学术官方微信