伴有慢性门静脉和肠系膜上静脉血栓的副猪梭状芽孢杆菌菌血症和异位回肠静脉曲张:罕见病例报告。

IF 0.8 Q4 INFECTIOUS DISEASES
Case Reports in Infectious Diseases Pub Date : 2024-07-18 eCollection Date: 2024-01-01 DOI:10.1155/2024/9443664
Grigorios Smanis, Eirini Avgoustou, Ioannis Papadopoulos, Antonios Papadopoulos, Athanasios Athanasakos, Elias Athanasiadis, Foula Vassilara
{"title":"伴有慢性门静脉和肠系膜上静脉血栓的副猪梭状芽孢杆菌菌血症和异位回肠静脉曲张:罕见病例报告。","authors":"Grigorios Smanis, Eirini Avgoustou, Ioannis Papadopoulos, Antonios Papadopoulos, Athanasios Athanasakos, Elias Athanasiadis, Foula Vassilara","doi":"10.1155/2024/9443664","DOIUrl":null,"url":null,"abstract":"<p><p>Ischemic bowel disease is considered a high-risk factor for infection from anaerobic bacteria, as the ischemic bowel is the perfect ground for their development. Herein, we present the case of an advance stage colon cancer patient with a rare cause of gastrointestinal bleeding and bacteremia due to <i>Clostridium paraputrificum</i>, a rare anaerobic Gram-positive bacterium. The patient had presented with several episodes of hematochezia in the context of chronic superior mesenteric-portal vein tumor thrombosis and rupture of ectopic varices, and the bacteremia was an unexpected complication of the bowel ischemia due to a combination of arterial ischemia and venous congestion.</p>","PeriodicalId":9608,"journal":{"name":"Case Reports in Infectious Diseases","volume":"2024 ","pages":"9443664"},"PeriodicalIF":0.8000,"publicationDate":"2024-07-18","publicationTypes":"Journal Article","fieldsOfStudy":null,"isOpenAccess":false,"openAccessPdf":"https://www.ncbi.nlm.nih.gov/pmc/articles/PMC11272403/pdf/","citationCount":"0","resultStr":"{\"title\":\"<i>Clostridium paraputrificum</i> Bacteremia and Ectopic Ileal Varices in Underlying Chronic Portal and Superior Mesenteric Vein Thrombosis: Report of a Rare Case.\",\"authors\":\"Grigorios Smanis, Eirini Avgoustou, Ioannis Papadopoulos, Antonios Papadopoulos, Athanasios Athanasakos, Elias Athanasiadis, Foula Vassilara\",\"doi\":\"10.1155/2024/9443664\",\"DOIUrl\":null,\"url\":null,\"abstract\":\"<p><p>Ischemic bowel disease is considered a high-risk factor for infection from anaerobic bacteria, as the ischemic bowel is the perfect ground for their development. Herein, we present the case of an advance stage colon cancer patient with a rare cause of gastrointestinal bleeding and bacteremia due to <i>Clostridium paraputrificum</i>, a rare anaerobic Gram-positive bacterium. The patient had presented with several episodes of hematochezia in the context of chronic superior mesenteric-portal vein tumor thrombosis and rupture of ectopic varices, and the bacteremia was an unexpected complication of the bowel ischemia due to a combination of arterial ischemia and venous congestion.</p>\",\"PeriodicalId\":9608,\"journal\":{\"name\":\"Case Reports in Infectious Diseases\",\"volume\":\"2024 \",\"pages\":\"9443664\"},\"PeriodicalIF\":0.8000,\"publicationDate\":\"2024-07-18\",\"publicationTypes\":\"Journal Article\",\"fieldsOfStudy\":null,\"isOpenAccess\":false,\"openAccessPdf\":\"https://www.ncbi.nlm.nih.gov/pmc/articles/PMC11272403/pdf/\",\"citationCount\":\"0\",\"resultStr\":null,\"platform\":\"Semanticscholar\",\"paperid\":null,\"PeriodicalName\":\"Case Reports in Infectious Diseases\",\"FirstCategoryId\":\"1085\",\"ListUrlMain\":\"https://doi.org/10.1155/2024/9443664\",\"RegionNum\":0,\"RegionCategory\":null,\"ArticlePicture\":[],\"TitleCN\":null,\"AbstractTextCN\":null,\"PMCID\":null,\"EPubDate\":\"2024/1/1 0:00:00\",\"PubModel\":\"eCollection\",\"JCR\":\"Q4\",\"JCRName\":\"INFECTIOUS DISEASES\",\"Score\":null,\"Total\":0}","platform":"Semanticscholar","paperid":null,"PeriodicalName":"Case Reports in Infectious Diseases","FirstCategoryId":"1085","ListUrlMain":"https://doi.org/10.1155/2024/9443664","RegionNum":0,"RegionCategory":null,"ArticlePicture":[],"TitleCN":null,"AbstractTextCN":null,"PMCID":null,"EPubDate":"2024/1/1 0:00:00","PubModel":"eCollection","JCR":"Q4","JCRName":"INFECTIOUS DISEASES","Score":null,"Total":0}
引用次数: 0

摘要

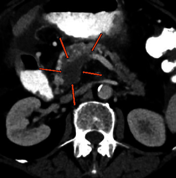
缺血性肠病被认为是厌氧菌感染的高危因素,因为缺血性肠道是厌氧菌生长的理想场所。在此,我们介绍了一例结肠癌晚期患者的病例,该患者罕见地出现了消化道出血和菌血症,病因是一种罕见的厌氧革兰阳性菌--副梭状芽孢杆菌。该患者在慢性肠系膜上静脉-门静脉肿瘤血栓形成和异位静脉曲张破裂的情况下曾多次出现血崩,而菌血症是动脉缺血和静脉充血共同导致的肠道缺血的意外并发症。
本文章由计算机程序翻译,如有差异,请以英文原文为准。

<i>Clostridium paraputrificum</i> Bacteremia and Ectopic Ileal Varices in Underlying Chronic Portal and Superior Mesenteric Vein Thrombosis: Report of a Rare Case.

<i>Clostridium paraputrificum</i> Bacteremia and Ectopic Ileal Varices in Underlying Chronic Portal and Superior Mesenteric Vein Thrombosis: Report of a Rare Case.

<i>Clostridium paraputrificum</i> Bacteremia and Ectopic Ileal Varices in Underlying Chronic Portal and Superior Mesenteric Vein Thrombosis: Report of a Rare Case.

Clostridium paraputrificum Bacteremia and Ectopic Ileal Varices in Underlying Chronic Portal and Superior Mesenteric Vein Thrombosis: Report of a Rare Case.

Ischemic bowel disease is considered a high-risk factor for infection from anaerobic bacteria, as the ischemic bowel is the perfect ground for their development. Herein, we present the case of an advance stage colon cancer patient with a rare cause of gastrointestinal bleeding and bacteremia due to Clostridium paraputrificum, a rare anaerobic Gram-positive bacterium. The patient had presented with several episodes of hematochezia in the context of chronic superior mesenteric-portal vein tumor thrombosis and rupture of ectopic varices, and the bacteremia was an unexpected complication of the bowel ischemia due to a combination of arterial ischemia and venous congestion.

求助全文
通过发布文献求助,成功后即可免费获取论文全文。 去求助
来源期刊
自引率
0.00%
发文量
64
审稿时长
13 weeks
×
引用
GB/T 7714-2015
复制
MLA
复制
APA
复制
导出至
BibTeX EndNote RefMan NoteFirst NoteExpress
×
提示
您的信息不完整,为了账户安全,请先补充。
现在去补充
×
提示
您因"违规操作"
具体请查看互助需知
我知道了
×
提示
确定
请完成安全验证×
copy
已复制链接
快去分享给好友吧!
我知道了
右上角分享
点击右上角分享
0
联系我们:info@booksci.cn Book学术提供免费学术资源搜索服务,方便国内外学者检索中英文文献。致力于提供最便捷和优质的服务体验。 Copyright © 2023 布克学术 All rights reserved.
京ICP备2023020795号-1
ghs 京公网安备 11010802042870号
Book学术文献互助
Book学术文献互助群
群 号:604180095
Book学术官方微信