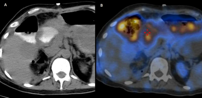
在 99mTc DTPA 肾图上偶然诊断出肠穿孔。

Q3 Medicine
Awiral Saxena, Manjit Sarma, P Shanmuga Sundaram, Padma Subramanyam, Anwin Joseph Kavanal
{"title":"在 99mTc DTPA 肾图上偶然诊断出肠穿孔。","authors":"Awiral Saxena, Manjit Sarma, P Shanmuga Sundaram, Padma Subramanyam, Anwin Joseph Kavanal","doi":"10.22038/AOJNMB.2024.76465.1538","DOIUrl":null,"url":null,"abstract":"<p><p>Perforation of the bowel can be a life-threatening condition and is usually clinically diagnosed when a patient presents with such features as severe abdominal pain, tenderness, and tachycardia. Bowel perforation may be corroborated by various conventional imaging modalities, including X-ray, ultrasonography, computed tomography, and magnetic resonance imaging. Nuclear medicine imaging modalities seldom have a role to play in these settings. Rarely diagnosis of perforation may be missed if it is concealed and does not present with the usual signs. Mostly the perforation will eventually be diagnosed if they develop signs and symptoms and is taken up for an exploratory laparotomy. A delay in diagnosis can later lead to significant patient morbidity or even mortality. This report describes a case where possible intestinal perforation was suspected on a <sup>99m</sup>Tc-DTPA renogram in a postoperative patient with significant urine leak, the presence of which was confirmed intraoperatively. To our knowledge, this was the first such case in the literature.</p>","PeriodicalId":8503,"journal":{"name":"Asia Oceania Journal of Nuclear Medicine and Biology","volume":"12 2","pages":"185-188"},"PeriodicalIF":0.0000,"publicationDate":"2024-01-01","publicationTypes":"Journal Article","fieldsOfStudy":null,"isOpenAccess":false,"openAccessPdf":"https://www.ncbi.nlm.nih.gov/pmc/articles/PMC11263776/pdf/","citationCount":"0","resultStr":"{\"title\":\"Incidental diagnosis of intestinal perforation on a <sup>99m</sup>Tc DTPA renogram.\",\"authors\":\"Awiral Saxena, Manjit Sarma, P Shanmuga Sundaram, Padma Subramanyam, Anwin Joseph Kavanal\",\"doi\":\"10.22038/AOJNMB.2024.76465.1538\",\"DOIUrl\":null,\"url\":null,\"abstract\":\"<p><p>Perforation of the bowel can be a life-threatening condition and is usually clinically diagnosed when a patient presents with such features as severe abdominal pain, tenderness, and tachycardia. Bowel perforation may be corroborated by various conventional imaging modalities, including X-ray, ultrasonography, computed tomography, and magnetic resonance imaging. Nuclear medicine imaging modalities seldom have a role to play in these settings. Rarely diagnosis of perforation may be missed if it is concealed and does not present with the usual signs. Mostly the perforation will eventually be diagnosed if they develop signs and symptoms and is taken up for an exploratory laparotomy. A delay in diagnosis can later lead to significant patient morbidity or even mortality. This report describes a case where possible intestinal perforation was suspected on a <sup>99m</sup>Tc-DTPA renogram in a postoperative patient with significant urine leak, the presence of which was confirmed intraoperatively. To our knowledge, this was the first such case in the literature.</p>\",\"PeriodicalId\":8503,\"journal\":{\"name\":\"Asia Oceania Journal of Nuclear Medicine and Biology\",\"volume\":\"12 2\",\"pages\":\"185-188\"},\"PeriodicalIF\":0.0000,\"publicationDate\":\"2024-01-01\",\"publicationTypes\":\"Journal Article\",\"fieldsOfStudy\":null,\"isOpenAccess\":false,\"openAccessPdf\":\"https://www.ncbi.nlm.nih.gov/pmc/articles/PMC11263776/pdf/\",\"citationCount\":\"0\",\"resultStr\":null,\"platform\":\"Semanticscholar\",\"paperid\":null,\"PeriodicalName\":\"Asia Oceania Journal of Nuclear Medicine and Biology\",\"FirstCategoryId\":\"1085\",\"ListUrlMain\":\"https://doi.org/10.22038/AOJNMB.2024.76465.1538\",\"RegionNum\":0,\"RegionCategory\":null,\"ArticlePicture\":[],\"TitleCN\":null,\"AbstractTextCN\":null,\"PMCID\":null,\"EPubDate\":\"\",\"PubModel\":\"\",\"JCR\":\"Q3\",\"JCRName\":\"Medicine\",\"Score\":null,\"Total\":0}","platform":"Semanticscholar","paperid":null,"PeriodicalName":"Asia Oceania Journal of Nuclear Medicine and Biology","FirstCategoryId":"1085","ListUrlMain":"https://doi.org/10.22038/AOJNMB.2024.76465.1538","RegionNum":0,"RegionCategory":null,"ArticlePicture":[],"TitleCN":null,"AbstractTextCN":null,"PMCID":null,"EPubDate":"","PubModel":"","JCR":"Q3","JCRName":"Medicine","Score":null,"Total":0}
引用次数: 0

摘要

肠穿孔可能会危及生命,通常在患者出现剧烈腹痛、压痛和心动过速等症状时才会被临床诊断出来。肠穿孔可通过各种常规成像方式得到证实,包括 X 光、超声波、计算机断层扫描和磁共振成像。核医学成像模式在这些情况下很少发挥作用。如果穿孔比较隐蔽,而且没有通常的体征,则可能会漏诊。大多数情况下,如果患者出现症状和体征,并接受剖腹探查手术,穿孔最终会被确诊。延误诊断可能会导致患者严重发病甚至死亡。本报告描述了一个病例,该病例的术后患者有明显漏尿,99m锝-DTPA肾图怀疑可能存在肠穿孔,术中证实了肠穿孔的存在。据我们所知,这是文献中首个此类病例。
本文章由计算机程序翻译,如有差异,请以英文原文为准。

Incidental diagnosis of intestinal perforation on a <sup>99m</sup>Tc DTPA renogram.

Incidental diagnosis of intestinal perforation on a <sup>99m</sup>Tc DTPA renogram.

Incidental diagnosis of intestinal perforation on a <sup>99m</sup>Tc DTPA renogram.

Incidental diagnosis of intestinal perforation on a 99mTc DTPA renogram.

Perforation of the bowel can be a life-threatening condition and is usually clinically diagnosed when a patient presents with such features as severe abdominal pain, tenderness, and tachycardia. Bowel perforation may be corroborated by various conventional imaging modalities, including X-ray, ultrasonography, computed tomography, and magnetic resonance imaging. Nuclear medicine imaging modalities seldom have a role to play in these settings. Rarely diagnosis of perforation may be missed if it is concealed and does not present with the usual signs. Mostly the perforation will eventually be diagnosed if they develop signs and symptoms and is taken up for an exploratory laparotomy. A delay in diagnosis can later lead to significant patient morbidity or even mortality. This report describes a case where possible intestinal perforation was suspected on a 99mTc-DTPA renogram in a postoperative patient with significant urine leak, the presence of which was confirmed intraoperatively. To our knowledge, this was the first such case in the literature.

求助全文
通过发布文献求助,成功后即可免费获取论文全文。 去求助
来源期刊
Asia Oceania Journal of Nuclear Medicine and Biology
Asia Oceania Journal of Nuclear Medicine and Biology Medicine-Radiology, Nuclear Medicine and Imaging
CiteScore
1.80
自引率
0.00%
发文量
28
审稿时长
12 weeks
×
引用
GB/T 7714-2015
复制
MLA
复制
APA
复制
导出至
BibTeX EndNote RefMan NoteFirst NoteExpress
×
提示
您的信息不完整,为了账户安全,请先补充。
现在去补充
×
提示
您因"违规操作"
具体请查看互助需知
我知道了
×
提示
确定
请完成安全验证×
copy
已复制链接
快去分享给好友吧!
我知道了
右上角分享
点击右上角分享
0
联系我们:info@booksci.cn Book学术提供免费学术资源搜索服务,方便国内外学者检索中英文文献。致力于提供最便捷和优质的服务体验。 Copyright © 2023 布克学术 All rights reserved.
京ICP备2023020795号-1
ghs 京公网安备 11010802042870号
Book学术文献互助
Book学术文献互助群
群 号:604180095
Book学术官方微信