WaveOne Gold 和 TruNatomy 系统在根管顶端三分之一处的清创能力:体外评估。

Brazilian dental journal Pub Date : 2024-07-22 eCollection Date: 2024-01-01 DOI:10.1590/0103-6440202405773
Sara Carvalho Avelar de Oliveira, Carlos Eduardo da Silveira Bueno, Rina Andréa Pelegrine, Carlos Eduardo Fontana, Alexandre Sigrist de Martin, Carolina Pessoa Stringheta
{"title":"WaveOne Gold 和 TruNatomy 系统在根管顶端三分之一处的清创能力:体外评估。","authors":"Sara Carvalho Avelar de Oliveira, Carlos Eduardo da Silveira Bueno, Rina Andréa Pelegrine, Carlos Eduardo Fontana, Alexandre Sigrist de Martin, Carolina Pessoa Stringheta","doi":"10.1590/0103-6440202405773","DOIUrl":null,"url":null,"abstract":"<p><p>Cleaning and shaping the root canal system are essential steps for performing successful endodontic therapy, and are challenging procedures in the apical region. This study aimed to conduct an ex vivo assessment of the debridement ability of the WaveOne Gold (Medium 35/.06) and TruNatomy (Medium 36/.03) systems in the apical third of round root canals of mandibular premolars. Forty-eight teeth, extracted for orthodontic or periodontal reasons, were divided into three groups (n=16), as follows: Group C, control (without instrumentation or irrigation); Group WOG, instrumentation with WaveOne Gold; Group TN, instrumentation with TruNatomy. A total of 40 mL of 2.5% sodium hypochlorite and 5 mL of 17% ethylenediamine tetraacetic acid were used per root canal in all the groups. Ten 0.5-μm serial cross-sections per specimen were obtained every 0.2 mm from a 2-mm segment of the apical region, extending from 1 to 3 mm short of the root apex. The sections were stained with hematoxylin-eosin and analyzed under a digital microscope (100x). The percentages of unprepared walls and remaining debris were quantified using ImageJ software. Generalized linear models were used to analyze the results (α=5%). Groups WOG and TN had significantly lower percentages of unprepared walls and remaining debris than Group C (p<0.05). There was no significant difference between groups WOG and TN for either of the variables studied (p>0.05). Instrumentation with the WaveOne Gold Medium and TruNatomy Medium instruments was associated with equivalent percentages of unprepared walls and remaining debris in the apical third of round canals of mandibular premolars.</p>","PeriodicalId":101363,"journal":{"name":"Brazilian dental journal","volume":"35 ","pages":"5773"},"PeriodicalIF":0.0000,"publicationDate":"2024-07-22","publicationTypes":"Journal Article","fieldsOfStudy":null,"isOpenAccess":false,"openAccessPdf":"https://www.ncbi.nlm.nih.gov/pmc/articles/PMC11262772/pdf/","citationCount":"0","resultStr":"{\"title\":\"Debridement ability of the WaveOne Gold and TruNatomy systems in the apical third of root canals: ex vivo assessment.\",\"authors\":\"Sara Carvalho Avelar de Oliveira, Carlos Eduardo da Silveira Bueno, Rina Andréa Pelegrine, Carlos Eduardo Fontana, Alexandre Sigrist de Martin, Carolina Pessoa Stringheta\",\"doi\":\"10.1590/0103-6440202405773\",\"DOIUrl\":null,\"url\":null,\"abstract\":\"<p><p>Cleaning and shaping the root canal system are essential steps for performing successful endodontic therapy, and are challenging procedures in the apical region. This study aimed to conduct an ex vivo assessment of the debridement ability of the WaveOne Gold (Medium 35/.06) and TruNatomy (Medium 36/.03) systems in the apical third of round root canals of mandibular premolars. Forty-eight teeth, extracted for orthodontic or periodontal reasons, were divided into three groups (n=16), as follows: Group C, control (without instrumentation or irrigation); Group WOG, instrumentation with WaveOne Gold; Group TN, instrumentation with TruNatomy. A total of 40 mL of 2.5% sodium hypochlorite and 5 mL of 17% ethylenediamine tetraacetic acid were used per root canal in all the groups. Ten 0.5-μm serial cross-sections per specimen were obtained every 0.2 mm from a 2-mm segment of the apical region, extending from 1 to 3 mm short of the root apex. The sections were stained with hematoxylin-eosin and analyzed under a digital microscope (100x). The percentages of unprepared walls and remaining debris were quantified using ImageJ software. Generalized linear models were used to analyze the results (α=5%). Groups WOG and TN had significantly lower percentages of unprepared walls and remaining debris than Group C (p<0.05). There was no significant difference between groups WOG and TN for either of the variables studied (p>0.05). Instrumentation with the WaveOne Gold Medium and TruNatomy Medium instruments was associated with equivalent percentages of unprepared walls and remaining debris in the apical third of round canals of mandibular premolars.</p>\",\"PeriodicalId\":101363,\"journal\":{\"name\":\"Brazilian dental journal\",\"volume\":\"35 \",\"pages\":\"5773\"},\"PeriodicalIF\":0.0000,\"publicationDate\":\"2024-07-22\",\"publicationTypes\":\"Journal Article\",\"fieldsOfStudy\":null,\"isOpenAccess\":false,\"openAccessPdf\":\"https://www.ncbi.nlm.nih.gov/pmc/articles/PMC11262772/pdf/\",\"citationCount\":\"0\",\"resultStr\":null,\"platform\":\"Semanticscholar\",\"paperid\":null,\"PeriodicalName\":\"Brazilian dental journal\",\"FirstCategoryId\":\"1085\",\"ListUrlMain\":\"https://doi.org/10.1590/0103-6440202405773\",\"RegionNum\":0,\"RegionCategory\":null,\"ArticlePicture\":[],\"TitleCN\":null,\"AbstractTextCN\":null,\"PMCID\":null,\"EPubDate\":\"2024/1/1 0:00:00\",\"PubModel\":\"eCollection\",\"JCR\":\"\",\"JCRName\":\"\",\"Score\":null,\"Total\":0}","platform":"Semanticscholar","paperid":null,"PeriodicalName":"Brazilian dental journal","FirstCategoryId":"1085","ListUrlMain":"https://doi.org/10.1590/0103-6440202405773","RegionNum":0,"RegionCategory":null,"ArticlePicture":[],"TitleCN":null,"AbstractTextCN":null,"PMCID":null,"EPubDate":"2024/1/1 0:00:00","PubModel":"eCollection","JCR":"","JCRName":"","Score":null,"Total":0}
引用次数: 0

摘要

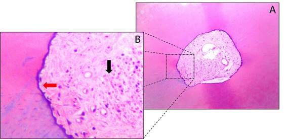
根管系统的清洁和塑形是成功进行根管治疗的必要步骤,但在根尖区进行这些步骤具有挑战性。本研究旨在对 WaveOne Gold(中号 35/.06)和 TruNatomy(中号 36/.03)系统在下颌前磨牙圆形根管根尖三分之一处的清创能力进行体外评估。因正畸或牙周原因拔除的 48 颗牙齿被分为以下三组(n=16):C组,对照组(不使用器械或灌洗);WOG组,使用WaveOne Gold器械;TN组,使用TruNatomy器械。所有组的每个根管都使用了 40 毫升 2.5%次氯酸钠和 5 毫升 17%乙二胺四乙酸。在根尖区 2 毫米的部分,从根尖短 1 至 3 毫米处,每隔 0.2 毫米取 10 个 0.5 微米的连续横切面。切片用苏木精-伊红染色,并在数码显微镜(100 倍)下进行分析。使用 ImageJ 软件量化未制备根壁和残留碎屑的百分比。使用广义线性模型分析结果(α=5%)。WOG 组和 TN 组的未制备壁和残余碎片百分比明显低于 C 组(P0.05)。使用WaveOne Gold Medium和TruNatomy Medium器械时,下颌前磨牙圆管根尖三分之一处未预备壁和残余碎屑的百分比相当。
本文章由计算机程序翻译,如有差异,请以英文原文为准。

Debridement ability of the WaveOne Gold and TruNatomy systems in the apical third of root canals: ex vivo assessment.

Debridement ability of the WaveOne Gold and TruNatomy systems in the apical third of root canals: ex vivo assessment.

Debridement ability of the WaveOne Gold and TruNatomy systems in the apical third of root canals: ex vivo assessment.

Debridement ability of the WaveOne Gold and TruNatomy systems in the apical third of root canals: ex vivo assessment.

Cleaning and shaping the root canal system are essential steps for performing successful endodontic therapy, and are challenging procedures in the apical region. This study aimed to conduct an ex vivo assessment of the debridement ability of the WaveOne Gold (Medium 35/.06) and TruNatomy (Medium 36/.03) systems in the apical third of round root canals of mandibular premolars. Forty-eight teeth, extracted for orthodontic or periodontal reasons, were divided into three groups (n=16), as follows: Group C, control (without instrumentation or irrigation); Group WOG, instrumentation with WaveOne Gold; Group TN, instrumentation with TruNatomy. A total of 40 mL of 2.5% sodium hypochlorite and 5 mL of 17% ethylenediamine tetraacetic acid were used per root canal in all the groups. Ten 0.5-μm serial cross-sections per specimen were obtained every 0.2 mm from a 2-mm segment of the apical region, extending from 1 to 3 mm short of the root apex. The sections were stained with hematoxylin-eosin and analyzed under a digital microscope (100x). The percentages of unprepared walls and remaining debris were quantified using ImageJ software. Generalized linear models were used to analyze the results (α=5%). Groups WOG and TN had significantly lower percentages of unprepared walls and remaining debris than Group C (p<0.05). There was no significant difference between groups WOG and TN for either of the variables studied (p>0.05). Instrumentation with the WaveOne Gold Medium and TruNatomy Medium instruments was associated with equivalent percentages of unprepared walls and remaining debris in the apical third of round canals of mandibular premolars.

求助全文
通过发布文献求助,成功后即可免费获取论文全文。 去求助
来源期刊
自引率
0.00%
发文量
0
×
引用
GB/T 7714-2015
复制
MLA
复制
APA
复制
导出至
BibTeX EndNote RefMan NoteFirst NoteExpress
×
提示
您的信息不完整,为了账户安全,请先补充。
现在去补充
×
提示
您因"违规操作"
具体请查看互助需知
我知道了
×
提示
确定
请完成安全验证×
copy
已复制链接
快去分享给好友吧!
我知道了
右上角分享
点击右上角分享
0
联系我们:info@booksci.cn Book学术提供免费学术资源搜索服务,方便国内外学者检索中英文文献。致力于提供最便捷和优质的服务体验。 Copyright © 2023 布克学术 All rights reserved.
京ICP备2023020795号-1
ghs 京公网安备 11010802042870号
Book学术文献互助
Book学术文献互助群
群 号:604180095
Book学术官方微信