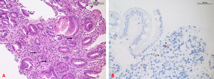
一名老年患者吐血。

IF 25.8 1区 医学 Q1 GASTROENTEROLOGY & HEPATOLOGY
Gut Pub Date : 2025-08-07 DOI:10.1136/gutjnl-2024-333198
Patricia Mester, Laura Drösch, Stephan Schmid, Florian Weber, Arne Kandulski, Martina Müller, Vlad Pavel
{"title":"一名老年患者吐血。","authors":"Patricia Mester, Laura Drösch, Stephan Schmid, Florian Weber, Arne Kandulski, Martina Müller, Vlad Pavel","doi":"10.1136/gutjnl-2024-333198","DOIUrl":null,"url":null,"abstract":"","PeriodicalId":12825,"journal":{"name":"Gut","volume":" ","pages":"1363-1513"},"PeriodicalIF":25.8000,"publicationDate":"2025-08-07","publicationTypes":"Journal Article","fieldsOfStudy":null,"isOpenAccess":false,"openAccessPdf":"https://www.ncbi.nlm.nih.gov/pmc/articles/PMC12418582/pdf/","citationCount":"0","resultStr":"{\"title\":\"Haematemesis in an elderly patient.\",\"authors\":\"Patricia Mester, Laura Drösch, Stephan Schmid, Florian Weber, Arne Kandulski, Martina Müller, Vlad Pavel\",\"doi\":\"10.1136/gutjnl-2024-333198\",\"DOIUrl\":null,\"url\":null,\"abstract\":\"\",\"PeriodicalId\":12825,\"journal\":{\"name\":\"Gut\",\"volume\":\" \",\"pages\":\"1363-1513\"},\"PeriodicalIF\":25.8000,\"publicationDate\":\"2025-08-07\",\"publicationTypes\":\"Journal Article\",\"fieldsOfStudy\":null,\"isOpenAccess\":false,\"openAccessPdf\":\"https://www.ncbi.nlm.nih.gov/pmc/articles/PMC12418582/pdf/\",\"citationCount\":\"0\",\"resultStr\":null,\"platform\":\"Semanticscholar\",\"paperid\":null,\"PeriodicalName\":\"Gut\",\"FirstCategoryId\":\"3\",\"ListUrlMain\":\"https://doi.org/10.1136/gutjnl-2024-333198\",\"RegionNum\":1,\"RegionCategory\":\"医学\",\"ArticlePicture\":[],\"TitleCN\":null,\"AbstractTextCN\":null,\"PMCID\":null,\"EPubDate\":\"\",\"PubModel\":\"\",\"JCR\":\"Q1\",\"JCRName\":\"GASTROENTEROLOGY & HEPATOLOGY\",\"Score\":null,\"Total\":0}","platform":"Semanticscholar","paperid":null,"PeriodicalName":"Gut","FirstCategoryId":"3","ListUrlMain":"https://doi.org/10.1136/gutjnl-2024-333198","RegionNum":1,"RegionCategory":"医学","ArticlePicture":[],"TitleCN":null,"AbstractTextCN":null,"PMCID":null,"EPubDate":"","PubModel":"","JCR":"Q1","JCRName":"GASTROENTEROLOGY & HEPATOLOGY","Score":null,"Total":0}
引用次数: 0

摘要

本文章由计算机程序翻译,如有差异,请以英文原文为准。

Haematemesis in an elderly patient.

Haematemesis in an elderly patient.

Haematemesis in an elderly patient.
求助全文
通过发布文献求助,成功后即可免费获取论文全文。 去求助
来源期刊
Gut
Gut 医学-胃肠肝病学
CiteScore
45.70
自引率
2.40%
发文量
284
审稿时长
1.5 months
期刊介绍: Gut is a renowned international journal specializing in gastroenterology and hepatology, known for its high-quality clinical research covering the alimentary tract, liver, biliary tree, and pancreas. It offers authoritative and current coverage across all aspects of gastroenterology and hepatology, featuring articles on emerging disease mechanisms and innovative diagnostic and therapeutic approaches authored by leading experts. As the flagship journal of BMJ's gastroenterology portfolio, Gut is accompanied by two companion journals: Frontline Gastroenterology, focusing on education and practice-oriented papers, and BMJ Open Gastroenterology for open access original research.
×
引用
GB/T 7714-2015
复制
MLA
复制
APA
复制
导出至
BibTeX EndNote RefMan NoteFirst NoteExpress
×
提示
您的信息不完整,为了账户安全,请先补充。
现在去补充
×
提示
您因"违规操作"
具体请查看互助需知
我知道了
×
提示
确定
请完成安全验证×
copy
已复制链接
快去分享给好友吧!
我知道了
右上角分享
点击右上角分享
0
联系我们:info@booksci.cn Book学术提供免费学术资源搜索服务,方便国内外学者检索中英文文献。致力于提供最便捷和优质的服务体验。 Copyright © 2023 布克学术 All rights reserved.
京ICP备2023020795号-1
ghs 京公网安备 11010802042870号
Book学术文献互助
Book学术文献互助群
群 号:604180095
Book学术官方微信