腺样囊性癌的颌下腺和舌下腺唾液腺受累。

Q4 Medicine
Autopsy and Case Reports Pub Date : 2024-07-02 eCollection Date: 2024-01-01 DOI:10.4322/acr.2024.500
Poonam Ramnath Sawant, Manjeeta Mahesh Sinai Dhume, Anita Spadigam, Anita Dhupar
{"title":"腺样囊性癌的颌下腺和舌下腺唾液腺受累。","authors":"Poonam Ramnath Sawant, Manjeeta Mahesh Sinai Dhume, Anita Spadigam, Anita Dhupar","doi":"10.4322/acr.2024.500","DOIUrl":null,"url":null,"abstract":"<p><p>Adenoid cystic carcinoma (AdCC) is a malignant salivary gland neoplasm that presents as an indolent but aggressive neoplasm. AdCC histogenesis is linked to the intercalated ducts of the salivary glands, equally affecting the major and minor glands. AdCC is associated with distant metastasis, most commonly to the lungs, and a high recurrence rate. AdCC accounts for 4.2% of all tumors. About 55% of all reported cases affect the submandibular gland, and around 50% of AdCC cases occur in the minor salivary glands. The present review describes a case of AdCC which presented a single nodular swelling on the right side involving the floor of the mouth. It also consolidates the histopathological profile of a case of AdCC with all the relevant histopathological features.</p>","PeriodicalId":53117,"journal":{"name":"Autopsy and Case Reports","volume":"14 ","pages":"e2024500"},"PeriodicalIF":0.0000,"publicationDate":"2024-07-02","publicationTypes":"Journal Article","fieldsOfStudy":null,"isOpenAccess":false,"openAccessPdf":"https://www.ncbi.nlm.nih.gov/pmc/articles/PMC11253909/pdf/","citationCount":"0","resultStr":"{\"title\":\"Submandibular and sublingual salivary gland involvement in adenoid cystic carcinoma.\",\"authors\":\"Poonam Ramnath Sawant, Manjeeta Mahesh Sinai Dhume, Anita Spadigam, Anita Dhupar\",\"doi\":\"10.4322/acr.2024.500\",\"DOIUrl\":null,\"url\":null,\"abstract\":\"<p><p>Adenoid cystic carcinoma (AdCC) is a malignant salivary gland neoplasm that presents as an indolent but aggressive neoplasm. AdCC histogenesis is linked to the intercalated ducts of the salivary glands, equally affecting the major and minor glands. AdCC is associated with distant metastasis, most commonly to the lungs, and a high recurrence rate. AdCC accounts for 4.2% of all tumors. About 55% of all reported cases affect the submandibular gland, and around 50% of AdCC cases occur in the minor salivary glands. The present review describes a case of AdCC which presented a single nodular swelling on the right side involving the floor of the mouth. It also consolidates the histopathological profile of a case of AdCC with all the relevant histopathological features.</p>\",\"PeriodicalId\":53117,\"journal\":{\"name\":\"Autopsy and Case Reports\",\"volume\":\"14 \",\"pages\":\"e2024500\"},\"PeriodicalIF\":0.0000,\"publicationDate\":\"2024-07-02\",\"publicationTypes\":\"Journal Article\",\"fieldsOfStudy\":null,\"isOpenAccess\":false,\"openAccessPdf\":\"https://www.ncbi.nlm.nih.gov/pmc/articles/PMC11253909/pdf/\",\"citationCount\":\"0\",\"resultStr\":null,\"platform\":\"Semanticscholar\",\"paperid\":null,\"PeriodicalName\":\"Autopsy and Case Reports\",\"FirstCategoryId\":\"1085\",\"ListUrlMain\":\"https://doi.org/10.4322/acr.2024.500\",\"RegionNum\":0,\"RegionCategory\":null,\"ArticlePicture\":[],\"TitleCN\":null,\"AbstractTextCN\":null,\"PMCID\":null,\"EPubDate\":\"2024/1/1 0:00:00\",\"PubModel\":\"eCollection\",\"JCR\":\"Q4\",\"JCRName\":\"Medicine\",\"Score\":null,\"Total\":0}","platform":"Semanticscholar","paperid":null,"PeriodicalName":"Autopsy and Case Reports","FirstCategoryId":"1085","ListUrlMain":"https://doi.org/10.4322/acr.2024.500","RegionNum":0,"RegionCategory":null,"ArticlePicture":[],"TitleCN":null,"AbstractTextCN":null,"PMCID":null,"EPubDate":"2024/1/1 0:00:00","PubModel":"eCollection","JCR":"Q4","JCRName":"Medicine","Score":null,"Total":0}
引用次数: 0

摘要

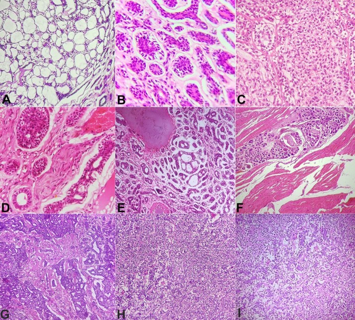
腺样囊性癌(AdCC)是一种恶性唾液腺肿瘤,表现为不活跃但具有侵袭性的肿瘤。腺样囊性癌的组织发生与唾液腺的闰导管有关,主要腺体和次要腺体同样会受到影响。AdCC 与远处转移(最常见的是肺部转移)和高复发率有关。AdCC占所有肿瘤的4.2%。在所有报告病例中,约55%的病例发生在颌下腺,约50%的AdCC病例发生在小唾液腺。本综述描述了一例右侧单发结节性肿物累及口底的 AdCC 病例。它还整合了一例 AdCC 的组织病理学特征,包括所有相关的组织病理学特征。
本文章由计算机程序翻译,如有差异,请以英文原文为准。

Submandibular and sublingual salivary gland involvement in adenoid cystic carcinoma.

Submandibular and sublingual salivary gland involvement in adenoid cystic carcinoma.

Submandibular and sublingual salivary gland involvement in adenoid cystic carcinoma.

Submandibular and sublingual salivary gland involvement in adenoid cystic carcinoma.

Adenoid cystic carcinoma (AdCC) is a malignant salivary gland neoplasm that presents as an indolent but aggressive neoplasm. AdCC histogenesis is linked to the intercalated ducts of the salivary glands, equally affecting the major and minor glands. AdCC is associated with distant metastasis, most commonly to the lungs, and a high recurrence rate. AdCC accounts for 4.2% of all tumors. About 55% of all reported cases affect the submandibular gland, and around 50% of AdCC cases occur in the minor salivary glands. The present review describes a case of AdCC which presented a single nodular swelling on the right side involving the floor of the mouth. It also consolidates the histopathological profile of a case of AdCC with all the relevant histopathological features.

求助全文
通过发布文献求助,成功后即可免费获取论文全文。 去求助
来源期刊
Autopsy and Case Reports
Autopsy and Case Reports Medicine-Internal Medicine
CiteScore
1.20
自引率
0.00%
发文量
60
审稿时长
9 weeks
×
引用
GB/T 7714-2015
复制
MLA
复制
APA
复制
导出至
BibTeX EndNote RefMan NoteFirst NoteExpress
×
提示
您的信息不完整,为了账户安全,请先补充。
现在去补充
×
提示
您因"违规操作"
具体请查看互助需知
我知道了
×
提示
确定
请完成安全验证×
copy
已复制链接
快去分享给好友吧!
我知道了
右上角分享
点击右上角分享
0
联系我们:info@booksci.cn Book学术提供免费学术资源搜索服务,方便国内外学者检索中英文文献。致力于提供最便捷和优质的服务体验。 Copyright © 2023 布克学术 All rights reserved.
京ICP备2023020795号-1
ghs 京公网安备 11010802042870号
Book学术文献互助
Book学术文献互助群
群 号:604180095
Book学术官方微信