局部囊性肾病:揭示临床和组织病理学难题的病例报告。

Q4 Medicine
Autopsy and Case Reports Pub Date : 2024-06-21 eCollection Date: 2024-01-01 DOI:10.4322/acr.2024.498
Teresita Mendez, Hisham F Bahmad, Francesca Polit, Nicole Carpio, Arman Gill, William F Burke, Akshay Bhandari, Robert Poppiti, Yumna Omarzai
{"title":"局部囊性肾病:揭示临床和组织病理学难题的病例报告。","authors":"Teresita Mendez, Hisham F Bahmad, Francesca Polit, Nicole Carpio, Arman Gill, William F Burke, Akshay Bhandari, Robert Poppiti, Yumna Omarzai","doi":"10.4322/acr.2024.498","DOIUrl":null,"url":null,"abstract":"<p><p>Localized cystic kidney disease (LCKD) is a distinct renal disorder characterized by the presence of cysts within specific regions of the kidneys. We present a rare case of a 41-year-old African American man, who presented to our medical center with lower urinary tract symptoms and gross hematuria. The initial assessment culminated in the identification of an uncomplicated urinary tract infection, prompting the prescription of appropriate oral antibiotic therapy. On follow-up after 5 months, the patient presented with gross hematuria. Imaging studies revealed a mixed-density cystic lesion of 2.6 cm situated within the interpolar region of the right kidney. This cystic lesion exhibited intricate septations at the superior pole of the kidney. Robotic-assisted right partial nephrectomy was performed, and pathologic examination was diagnostic for LCKD. This report not only underscores the uniqueness of LCKD but also presents a comprehensive review of the existing literature that pertains to this condition. Particular emphasis is placed upon its inherent benign behavior and its marked divergence from the progressive trajectory commonly associated with other renal diseases. We also explored the incidental findings of the disease, its diverse clinical symptomatology, conceivable etiological underpinnings, and the array of diagnostic modalities used. Finally, similarities in histopathologic findings with polycystic kidney disease and other entities are discussed, underscoring the importance of accurate diagnosis and management.</p>","PeriodicalId":53117,"journal":{"name":"Autopsy and Case Reports","volume":"14 ","pages":"e2024498"},"PeriodicalIF":0.0000,"publicationDate":"2024-06-21","publicationTypes":"Journal Article","fieldsOfStudy":null,"isOpenAccess":false,"openAccessPdf":"https://www.ncbi.nlm.nih.gov/pmc/articles/PMC11253900/pdf/","citationCount":"0","resultStr":"{\"title\":\"Localized cystic kidney disease: a case report unveiling clinical and histopathological challenges.\",\"authors\":\"Teresita Mendez, Hisham F Bahmad, Francesca Polit, Nicole Carpio, Arman Gill, William F Burke, Akshay Bhandari, Robert Poppiti, Yumna Omarzai\",\"doi\":\"10.4322/acr.2024.498\",\"DOIUrl\":null,\"url\":null,\"abstract\":\"<p><p>Localized cystic kidney disease (LCKD) is a distinct renal disorder characterized by the presence of cysts within specific regions of the kidneys. We present a rare case of a 41-year-old African American man, who presented to our medical center with lower urinary tract symptoms and gross hematuria. The initial assessment culminated in the identification of an uncomplicated urinary tract infection, prompting the prescription of appropriate oral antibiotic therapy. On follow-up after 5 months, the patient presented with gross hematuria. Imaging studies revealed a mixed-density cystic lesion of 2.6 cm situated within the interpolar region of the right kidney. This cystic lesion exhibited intricate septations at the superior pole of the kidney. Robotic-assisted right partial nephrectomy was performed, and pathologic examination was diagnostic for LCKD. This report not only underscores the uniqueness of LCKD but also presents a comprehensive review of the existing literature that pertains to this condition. Particular emphasis is placed upon its inherent benign behavior and its marked divergence from the progressive trajectory commonly associated with other renal diseases. We also explored the incidental findings of the disease, its diverse clinical symptomatology, conceivable etiological underpinnings, and the array of diagnostic modalities used. Finally, similarities in histopathologic findings with polycystic kidney disease and other entities are discussed, underscoring the importance of accurate diagnosis and management.</p>\",\"PeriodicalId\":53117,\"journal\":{\"name\":\"Autopsy and Case Reports\",\"volume\":\"14 \",\"pages\":\"e2024498\"},\"PeriodicalIF\":0.0000,\"publicationDate\":\"2024-06-21\",\"publicationTypes\":\"Journal Article\",\"fieldsOfStudy\":null,\"isOpenAccess\":false,\"openAccessPdf\":\"https://www.ncbi.nlm.nih.gov/pmc/articles/PMC11253900/pdf/\",\"citationCount\":\"0\",\"resultStr\":null,\"platform\":\"Semanticscholar\",\"paperid\":null,\"PeriodicalName\":\"Autopsy and Case Reports\",\"FirstCategoryId\":\"1085\",\"ListUrlMain\":\"https://doi.org/10.4322/acr.2024.498\",\"RegionNum\":0,\"RegionCategory\":null,\"ArticlePicture\":[],\"TitleCN\":null,\"AbstractTextCN\":null,\"PMCID\":null,\"EPubDate\":\"2024/1/1 0:00:00\",\"PubModel\":\"eCollection\",\"JCR\":\"Q4\",\"JCRName\":\"Medicine\",\"Score\":null,\"Total\":0}","platform":"Semanticscholar","paperid":null,"PeriodicalName":"Autopsy and Case Reports","FirstCategoryId":"1085","ListUrlMain":"https://doi.org/10.4322/acr.2024.498","RegionNum":0,"RegionCategory":null,"ArticlePicture":[],"TitleCN":null,"AbstractTextCN":null,"PMCID":null,"EPubDate":"2024/1/1 0:00:00","PubModel":"eCollection","JCR":"Q4","JCRName":"Medicine","Score":null,"Total":0}
引用次数: 0

摘要

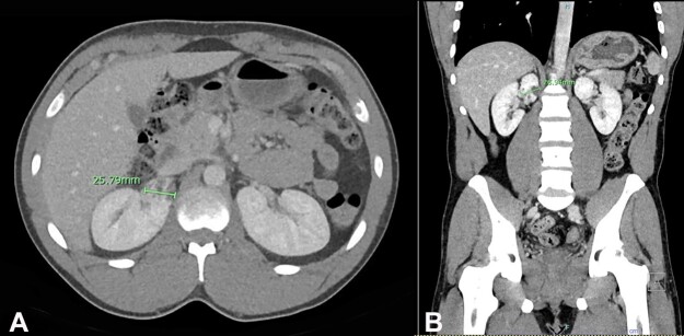
局部囊性肾病(LCKD)是一种独特的肾脏疾病,其特点是在肾脏的特定区域出现囊肿。我们介绍了一例罕见病例,患者是一名 41 岁的非裔美国男子,因出现下尿路症状和毛细血尿而到我们的医疗中心就诊。经过初步评估,最终确诊为无并发症的尿路感染,并给予适当的口服抗生素治疗。5 个月后的随访中,患者又出现了毛细血尿。影像学检查发现,右肾极间区有一个 2.6 厘米的混合密度囊性病变。该囊性病变在肾脏上端有复杂的间隔。患者在机器人辅助下进行了右肾部分切除术,病理检查确诊为 LCKD。本报告不仅强调了 LCKD 的独特性,还全面回顾了与此病相关的现有文献。报告特别强调了LCKD固有的良性特征,以及它与其他肾脏疾病常见的进行性发展轨迹的明显不同。我们还探讨了该病的偶然发现、其不同的临床症状、可想象的病因基础以及所使用的一系列诊断方法。最后,我们讨论了组织病理学发现与多囊肾和其他疾病的相似之处,强调了准确诊断和管理的重要性。
本文章由计算机程序翻译,如有差异,请以英文原文为准。

Localized cystic kidney disease: a case report unveiling clinical and histopathological challenges.

Localized cystic kidney disease: a case report unveiling clinical and histopathological challenges.

Localized cystic kidney disease: a case report unveiling clinical and histopathological challenges.

Localized cystic kidney disease: a case report unveiling clinical and histopathological challenges.

Localized cystic kidney disease (LCKD) is a distinct renal disorder characterized by the presence of cysts within specific regions of the kidneys. We present a rare case of a 41-year-old African American man, who presented to our medical center with lower urinary tract symptoms and gross hematuria. The initial assessment culminated in the identification of an uncomplicated urinary tract infection, prompting the prescription of appropriate oral antibiotic therapy. On follow-up after 5 months, the patient presented with gross hematuria. Imaging studies revealed a mixed-density cystic lesion of 2.6 cm situated within the interpolar region of the right kidney. This cystic lesion exhibited intricate septations at the superior pole of the kidney. Robotic-assisted right partial nephrectomy was performed, and pathologic examination was diagnostic for LCKD. This report not only underscores the uniqueness of LCKD but also presents a comprehensive review of the existing literature that pertains to this condition. Particular emphasis is placed upon its inherent benign behavior and its marked divergence from the progressive trajectory commonly associated with other renal diseases. We also explored the incidental findings of the disease, its diverse clinical symptomatology, conceivable etiological underpinnings, and the array of diagnostic modalities used. Finally, similarities in histopathologic findings with polycystic kidney disease and other entities are discussed, underscoring the importance of accurate diagnosis and management.

求助全文
通过发布文献求助,成功后即可免费获取论文全文。 去求助
来源期刊
Autopsy and Case Reports
Autopsy and Case Reports Medicine-Internal Medicine
CiteScore
1.20
自引率
0.00%
发文量
60
审稿时长
9 weeks
×
引用
GB/T 7714-2015
复制
MLA
复制
APA
复制
导出至
BibTeX EndNote RefMan NoteFirst NoteExpress
×
提示
您的信息不完整,为了账户安全,请先补充。
现在去补充
×
提示
您因"违规操作"
具体请查看互助需知
我知道了
×
提示
确定
请完成安全验证×
copy
已复制链接
快去分享给好友吧!
我知道了
右上角分享
点击右上角分享
0
联系我们:info@booksci.cn Book学术提供免费学术资源搜索服务,方便国内外学者检索中英文文献。致力于提供最便捷和优质的服务体验。 Copyright © 2023 布克学术 All rights reserved.
京ICP备2023020795号-1
ghs 京公网安备 11010802042870号
Book学术文献互助
Book学术文献互助群
群 号:604180095
Book学术官方微信