尸检时意外发现心脏水瘤囊肿。

Q4 Medicine
Autopsy and Case Reports Pub Date : 2024-06-21 eCollection Date: 2024-01-01 DOI:10.4322/acr.2024.501
Nishant Purbey, Amit Patil, Shreekant Bharti, Keshav Chandra, Shashank Ranjan
{"title":"尸检时意外发现心脏水瘤囊肿。","authors":"Nishant Purbey, Amit Patil, Shreekant Bharti, Keshav Chandra, Shashank Ranjan","doi":"10.4322/acr.2024.501","DOIUrl":null,"url":null,"abstract":"<p><p>Hydatidosis or echinococcosis is an endemic parasitic disease caused by the ingestion of eggs of echinococcal species worldwide. In India, the annual incidence varies from 1 to 200 per one 100,000 hab., with the highest prevalence reported in the Indian states of Andhra Pradesh and Tamil Nadu. The dog is the definitive host, while humans, sheep, and cattle are intermediate hosts. The disease usually involves the liver and lungs, with the kidney and other organs rare involvement. Cardiac hydatidosis is still further rare, seen in 0.2% to 2% of the patients who remain asymptomatic until the development of its complications. Sudden deaths in cardiac echinococcosis are mostly attributed to cardiac arrhythmias, coronary artery diseases, valvular diseases, cardiomyopathies, pericarditis, and cardiac tamponade. We, herein, report a rare case of cardiac hydatid cyst incidentally found during the autopsy of a 26-year-old male who died due to electrical injuries. A single greyish-white cystic mass measuring 1.5cm X 1.2cm was detected on the left anterior ventricular wall 4 cm above the apex and was confirmed microscopically as a hydatid cyst. The cause of death was attributed to external injury.</p>","PeriodicalId":53117,"journal":{"name":"Autopsy and Case Reports","volume":"14 ","pages":"e2024501"},"PeriodicalIF":0.0000,"publicationDate":"2024-06-21","publicationTypes":"Journal Article","fieldsOfStudy":null,"isOpenAccess":false,"openAccessPdf":"https://www.ncbi.nlm.nih.gov/pmc/articles/PMC11253903/pdf/","citationCount":"0","resultStr":"{\"title\":\"Incidental finding of cardiac hydatid cyst during autopsy.\",\"authors\":\"Nishant Purbey, Amit Patil, Shreekant Bharti, Keshav Chandra, Shashank Ranjan\",\"doi\":\"10.4322/acr.2024.501\",\"DOIUrl\":null,\"url\":null,\"abstract\":\"<p><p>Hydatidosis or echinococcosis is an endemic parasitic disease caused by the ingestion of eggs of echinococcal species worldwide. In India, the annual incidence varies from 1 to 200 per one 100,000 hab., with the highest prevalence reported in the Indian states of Andhra Pradesh and Tamil Nadu. The dog is the definitive host, while humans, sheep, and cattle are intermediate hosts. The disease usually involves the liver and lungs, with the kidney and other organs rare involvement. Cardiac hydatidosis is still further rare, seen in 0.2% to 2% of the patients who remain asymptomatic until the development of its complications. Sudden deaths in cardiac echinococcosis are mostly attributed to cardiac arrhythmias, coronary artery diseases, valvular diseases, cardiomyopathies, pericarditis, and cardiac tamponade. We, herein, report a rare case of cardiac hydatid cyst incidentally found during the autopsy of a 26-year-old male who died due to electrical injuries. A single greyish-white cystic mass measuring 1.5cm X 1.2cm was detected on the left anterior ventricular wall 4 cm above the apex and was confirmed microscopically as a hydatid cyst. The cause of death was attributed to external injury.</p>\",\"PeriodicalId\":53117,\"journal\":{\"name\":\"Autopsy and Case Reports\",\"volume\":\"14 \",\"pages\":\"e2024501\"},\"PeriodicalIF\":0.0000,\"publicationDate\":\"2024-06-21\",\"publicationTypes\":\"Journal Article\",\"fieldsOfStudy\":null,\"isOpenAccess\":false,\"openAccessPdf\":\"https://www.ncbi.nlm.nih.gov/pmc/articles/PMC11253903/pdf/\",\"citationCount\":\"0\",\"resultStr\":null,\"platform\":\"Semanticscholar\",\"paperid\":null,\"PeriodicalName\":\"Autopsy and Case Reports\",\"FirstCategoryId\":\"1085\",\"ListUrlMain\":\"https://doi.org/10.4322/acr.2024.501\",\"RegionNum\":0,\"RegionCategory\":null,\"ArticlePicture\":[],\"TitleCN\":null,\"AbstractTextCN\":null,\"PMCID\":null,\"EPubDate\":\"2024/1/1 0:00:00\",\"PubModel\":\"eCollection\",\"JCR\":\"Q4\",\"JCRName\":\"Medicine\",\"Score\":null,\"Total\":0}","platform":"Semanticscholar","paperid":null,"PeriodicalName":"Autopsy and Case Reports","FirstCategoryId":"1085","ListUrlMain":"https://doi.org/10.4322/acr.2024.501","RegionNum":0,"RegionCategory":null,"ArticlePicture":[],"TitleCN":null,"AbstractTextCN":null,"PMCID":null,"EPubDate":"2024/1/1 0:00:00","PubModel":"eCollection","JCR":"Q4","JCRName":"Medicine","Score":null,"Total":0}
引用次数: 0

摘要

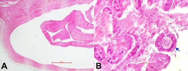
包虫病或棘球蚴病是一种地方性寄生虫病,由摄入棘球蚴虫卵引起,遍布世界各地。在印度,每年的发病率为十万分之一到二百不等,据报道,印度安得拉邦和泰米尔纳德邦的发病率最高。狗是最终宿主,而人、羊和牛是中间宿主。该病通常累及肝脏和肺部,肾脏和其他器官很少受累。心脏包虫病更加罕见,只有 0.2% 到 2% 的患者在出现并发症之前没有症状。心脏包虫病患者猝死的原因主要是心律失常、冠状动脉疾病、瓣膜疾病、心肌病、心包炎和心脏填塞。我们在此报告了一例罕见的心脏包虫囊肿病例,该病例是在对一名因电击致死的 26 岁男性进行尸检时偶然发现的。在左心室前壁心尖上方 4 厘米处发现一个 1.5 厘米 X 1.2 厘米的灰白色囊性肿块,经显微镜检查证实为包虫囊肿。死因是外部损伤。
本文章由计算机程序翻译,如有差异,请以英文原文为准。

Incidental finding of cardiac hydatid cyst during autopsy.

Incidental finding of cardiac hydatid cyst during autopsy.

Incidental finding of cardiac hydatid cyst during autopsy.

Hydatidosis or echinococcosis is an endemic parasitic disease caused by the ingestion of eggs of echinococcal species worldwide. In India, the annual incidence varies from 1 to 200 per one 100,000 hab., with the highest prevalence reported in the Indian states of Andhra Pradesh and Tamil Nadu. The dog is the definitive host, while humans, sheep, and cattle are intermediate hosts. The disease usually involves the liver and lungs, with the kidney and other organs rare involvement. Cardiac hydatidosis is still further rare, seen in 0.2% to 2% of the patients who remain asymptomatic until the development of its complications. Sudden deaths in cardiac echinococcosis are mostly attributed to cardiac arrhythmias, coronary artery diseases, valvular diseases, cardiomyopathies, pericarditis, and cardiac tamponade. We, herein, report a rare case of cardiac hydatid cyst incidentally found during the autopsy of a 26-year-old male who died due to electrical injuries. A single greyish-white cystic mass measuring 1.5cm X 1.2cm was detected on the left anterior ventricular wall 4 cm above the apex and was confirmed microscopically as a hydatid cyst. The cause of death was attributed to external injury.

求助全文
通过发布文献求助,成功后即可免费获取论文全文。 去求助
来源期刊
Autopsy and Case Reports
Autopsy and Case Reports Medicine-Internal Medicine
CiteScore
1.20
自引率
0.00%
发文量
60
审稿时长
9 weeks
×
引用
GB/T 7714-2015
复制
MLA
复制
APA
复制
导出至
BibTeX EndNote RefMan NoteFirst NoteExpress
×
提示
您的信息不完整,为了账户安全,请先补充。
现在去补充
×
提示
您因"违规操作"
具体请查看互助需知
我知道了
×
提示
确定
请完成安全验证×
copy
已复制链接
快去分享给好友吧!
我知道了
右上角分享
点击右上角分享
0
联系我们:info@booksci.cn Book学术提供免费学术资源搜索服务,方便国内外学者检索中英文文献。致力于提供最便捷和优质的服务体验。 Copyright © 2023 布克学术 All rights reserved.
京ICP备2023020795号-1
ghs 京公网安备 11010802042870号
Book学术文献互助
Book学术文献互助群
群 号:604180095
Book学术官方微信