新发感染:由 B 群链球菌(GBS)、无乳链球菌引起的链球菌中毒性休克样综合征。

Q4 Medicine
Autopsy and Case Reports Pub Date : 2024-06-21 eCollection Date: 2024-01-01 DOI:10.4322/acr.2024.497
Fareed Rajack, Shawn Medford, Ali Ramadan, Tammey Naab
{"title":"新发感染:由 B 群链球菌(GBS)、无乳链球菌引起的链球菌中毒性休克样综合征。","authors":"Fareed Rajack, Shawn Medford, Ali Ramadan, Tammey Naab","doi":"10.4322/acr.2024.497","DOIUrl":null,"url":null,"abstract":"<p><p><i>Streptococcus agalactiae</i> or Group B <i>Streptococcus</i> (GBS) infections are commonly associated with infections in neonates and pregnant women. However, there has been a rising incidence in nonpregnant adults. The risk of GBS infection in nonpregnant adults is increased for patients of advanced age and those with underlying medical conditions such as diabetes mellitus and cancer. We present a 77-year-old female with type-2 diabetes mellitus, hypertension, and bilateral foot ulcers that presented in probable septic shock with necrotic foot ulcers and necrotizing fasciitis and underwent bilateral lower limb amputations. The patient fulfilled the Streptococcal Toxic Shock Syndrome (STSS) criteria as defined by The Working Group on Severe Streptococcal Infections. These criteria were created for group A Streptococcus (<i>Streptococcus pyogenes</i>). Our patient fulfilled the Working Group's criteria, except that the blood culture was positive for group B Streptococcus (<i>Streptococcus agalactiae</i>). Numerous studies demonstrate the importance of early detection and antibiotic treatment for GBS infections in general and early surgical management for necrotizing soft tissue infections (NSTIs) such as necrotizing fasciitis.</p>","PeriodicalId":53117,"journal":{"name":"Autopsy and Case Reports","volume":"14 ","pages":"e2024497"},"PeriodicalIF":0.0000,"publicationDate":"2024-06-21","publicationTypes":"Journal Article","fieldsOfStudy":null,"isOpenAccess":false,"openAccessPdf":"https://www.ncbi.nlm.nih.gov/pmc/articles/PMC11253910/pdf/","citationCount":"0","resultStr":"{\"title\":\"Emerging infection: streptococcal toxic shock-like syndrome caused by group B Streptococcus (GBS), <i>Streptococcus agalactiae</i>.\",\"authors\":\"Fareed Rajack, Shawn Medford, Ali Ramadan, Tammey Naab\",\"doi\":\"10.4322/acr.2024.497\",\"DOIUrl\":null,\"url\":null,\"abstract\":\"<p><p><i>Streptococcus agalactiae</i> or Group B <i>Streptococcus</i> (GBS) infections are commonly associated with infections in neonates and pregnant women. However, there has been a rising incidence in nonpregnant adults. The risk of GBS infection in nonpregnant adults is increased for patients of advanced age and those with underlying medical conditions such as diabetes mellitus and cancer. We present a 77-year-old female with type-2 diabetes mellitus, hypertension, and bilateral foot ulcers that presented in probable septic shock with necrotic foot ulcers and necrotizing fasciitis and underwent bilateral lower limb amputations. The patient fulfilled the Streptococcal Toxic Shock Syndrome (STSS) criteria as defined by The Working Group on Severe Streptococcal Infections. These criteria were created for group A Streptococcus (<i>Streptococcus pyogenes</i>). Our patient fulfilled the Working Group's criteria, except that the blood culture was positive for group B Streptococcus (<i>Streptococcus agalactiae</i>). Numerous studies demonstrate the importance of early detection and antibiotic treatment for GBS infections in general and early surgical management for necrotizing soft tissue infections (NSTIs) such as necrotizing fasciitis.</p>\",\"PeriodicalId\":53117,\"journal\":{\"name\":\"Autopsy and Case Reports\",\"volume\":\"14 \",\"pages\":\"e2024497\"},\"PeriodicalIF\":0.0000,\"publicationDate\":\"2024-06-21\",\"publicationTypes\":\"Journal Article\",\"fieldsOfStudy\":null,\"isOpenAccess\":false,\"openAccessPdf\":\"https://www.ncbi.nlm.nih.gov/pmc/articles/PMC11253910/pdf/\",\"citationCount\":\"0\",\"resultStr\":null,\"platform\":\"Semanticscholar\",\"paperid\":null,\"PeriodicalName\":\"Autopsy and Case Reports\",\"FirstCategoryId\":\"1085\",\"ListUrlMain\":\"https://doi.org/10.4322/acr.2024.497\",\"RegionNum\":0,\"RegionCategory\":null,\"ArticlePicture\":[],\"TitleCN\":null,\"AbstractTextCN\":null,\"PMCID\":null,\"EPubDate\":\"2024/1/1 0:00:00\",\"PubModel\":\"eCollection\",\"JCR\":\"Q4\",\"JCRName\":\"Medicine\",\"Score\":null,\"Total\":0}","platform":"Semanticscholar","paperid":null,"PeriodicalName":"Autopsy and Case Reports","FirstCategoryId":"1085","ListUrlMain":"https://doi.org/10.4322/acr.2024.497","RegionNum":0,"RegionCategory":null,"ArticlePicture":[],"TitleCN":null,"AbstractTextCN":null,"PMCID":null,"EPubDate":"2024/1/1 0:00:00","PubModel":"eCollection","JCR":"Q4","JCRName":"Medicine","Score":null,"Total":0}
引用次数: 0

摘要

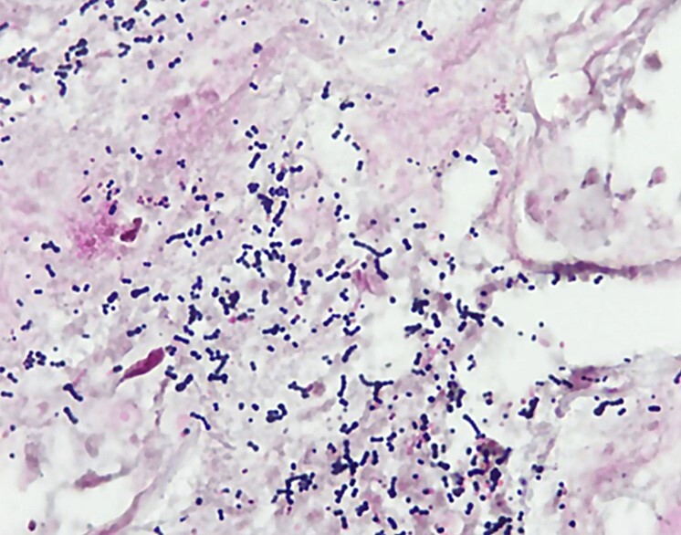
无乳链球菌或 B 群链球菌(GBS)感染通常与新生儿和孕妇的感染有关。不过,非孕妇成人的发病率也在上升。高龄患者以及患有糖尿病和癌症等基础疾病的患者感染 GBS 的风险会增加。我们接诊了一名 77 岁的女性患者,她患有 2 型糖尿病、高血压和双侧足部溃疡,可能出现脓毒性休克,伴有坏死性足部溃疡和坏死性筋膜炎,并接受了双下肢截肢手术。患者符合严重链球菌感染工作组制定的链球菌中毒性休克综合征(STSS)标准。这些标准是针对 A 组链球菌(化脓性链球菌)制定的。我们的患者符合工作组的标准,只是血液培养中 B 群链球菌(无乳链球菌)呈阳性。大量研究表明,对于一般的 GBS 感染和坏死性软组织感染(NSTI)(如坏死性筋膜炎),早期发现和抗生素治疗以及早期手术治疗非常重要。
本文章由计算机程序翻译,如有差异,请以英文原文为准。

Emerging infection: streptococcal toxic shock-like syndrome caused by group B Streptococcus (GBS), <i>Streptococcus agalactiae</i>.

Emerging infection: streptococcal toxic shock-like syndrome caused by group B Streptococcus (GBS), <i>Streptococcus agalactiae</i>.

Emerging infection: streptococcal toxic shock-like syndrome caused by group B Streptococcus (GBS), <i>Streptococcus agalactiae</i>.

Emerging infection: streptococcal toxic shock-like syndrome caused by group B Streptococcus (GBS), Streptococcus agalactiae.

Streptococcus agalactiae or Group B Streptococcus (GBS) infections are commonly associated with infections in neonates and pregnant women. However, there has been a rising incidence in nonpregnant adults. The risk of GBS infection in nonpregnant adults is increased for patients of advanced age and those with underlying medical conditions such as diabetes mellitus and cancer. We present a 77-year-old female with type-2 diabetes mellitus, hypertension, and bilateral foot ulcers that presented in probable septic shock with necrotic foot ulcers and necrotizing fasciitis and underwent bilateral lower limb amputations. The patient fulfilled the Streptococcal Toxic Shock Syndrome (STSS) criteria as defined by The Working Group on Severe Streptococcal Infections. These criteria were created for group A Streptococcus (Streptococcus pyogenes). Our patient fulfilled the Working Group's criteria, except that the blood culture was positive for group B Streptococcus (Streptococcus agalactiae). Numerous studies demonstrate the importance of early detection and antibiotic treatment for GBS infections in general and early surgical management for necrotizing soft tissue infections (NSTIs) such as necrotizing fasciitis.

求助全文
通过发布文献求助,成功后即可免费获取论文全文。 去求助
来源期刊
Autopsy and Case Reports
Autopsy and Case Reports Medicine-Internal Medicine
CiteScore
1.20
自引率
0.00%
发文量
60
审稿时长
9 weeks
×
引用
GB/T 7714-2015
复制
MLA
复制
APA
复制
导出至
BibTeX EndNote RefMan NoteFirst NoteExpress
×
提示
您的信息不完整,为了账户安全,请先补充。
现在去补充
×
提示
您因"违规操作"
具体请查看互助需知
我知道了
×
提示
确定
请完成安全验证×
copy
已复制链接
快去分享给好友吧!
我知道了
右上角分享
点击右上角分享
0
联系我们:info@booksci.cn Book学术提供免费学术资源搜索服务,方便国内外学者检索中英文文献。致力于提供最便捷和优质的服务体验。 Copyright © 2023 布克学术 All rights reserved.
京ICP备2023020795号-1
ghs 京公网安备 11010802042870号
Book学术文献互助
Book学术文献互助群
群 号:604180095
Book学术官方微信