磁共振成像在评估肺部恶性肿瘤微波消融术后即时疗效中的价值

IF 1.9 4区 医学 Q3 RADIOLOGY, NUCLEAR MEDICINE & MEDICAL IMAGING
Journal of Thoracic Imaging Pub Date : 2024-11-01 Epub Date: 2024-07-18 DOI:10.1097/RTI.0000000000000797
Fandong Zhu, Chen Yang, Jianyun Wang, Tong Zhou, Qianling Li, Subo Wang, Zhenhua Zhao
{"title":"磁共振成像在评估肺部恶性肿瘤微波消融术后即时疗效中的价值","authors":"Fandong Zhu, Chen Yang, Jianyun Wang, Tong Zhou, Qianling Li, Subo Wang, Zhenhua Zhao","doi":"10.1097/RTI.0000000000000797","DOIUrl":null,"url":null,"abstract":"<p><strong>Purpose: </strong>To investigate the imaging performance and parametric analysis of magnetic resonance imaging (MRI) immediately after microwave ablation (MWA) of lung malignancies.</p><p><strong>Materials and methods: </strong>We retrospectively analyzed the MRI performance immediately after MWA of 34 cases of lung malignancies. The ablation zone parameters of lung malignancies were measured, including the long diameter (L), short diameter (S), and safety margin of the ablation zone on plain computed tomography (CT), T1-weighted imaging (T1WI), and T2-weighted imaging (T2WI) after MWA. The study calculated the tumor volume (V 0 ), the ablation zone volume (V 1 ), and the ratio of V 0 to V 1 (V%). Statistical differences between the parameters were analyzed.</p><p><strong>Results: </strong>The ablation area of the lesion exhibited central low signal and peripheral high signal on T2WI, central high signal and peripheral equal or high signal on T1WI, and circumferential enhancement in the periphery. The safety margin measured on T2WI was greater than that measured on plain CT and T1WI. On plain CT, the L, S, and V 1 were smaller in the effective treatment group than in the ineffective treatment group ( P <0.05). On T1WI, the V% and safety margin were greater in the effective treatment group than in the ineffective treatment group ( P =0.009 and P =0.016, respectively).</p><p><strong>Conclusions: </strong>MRI may be a new, valuable method to assess immediate efficacy after MWA for lung malignancies using the ablation zone parameters V% on T1WI and safety margin on T2WI.</p>","PeriodicalId":49974,"journal":{"name":"Journal of Thoracic Imaging","volume":" ","pages":"392-398"},"PeriodicalIF":1.9000,"publicationDate":"2024-11-01","publicationTypes":"Journal Article","fieldsOfStudy":null,"isOpenAccess":false,"openAccessPdf":"https://www.ncbi.nlm.nih.gov/pmc/articles/PMC11495527/pdf/","citationCount":"0","resultStr":"{\"title\":\"The Value of Magnetic Resonance Imaging in Assessing Immediate Efficacy After Microwave Ablation of Lung Malignancies.\",\"authors\":\"Fandong Zhu, Chen Yang, Jianyun Wang, Tong Zhou, Qianling Li, Subo Wang, Zhenhua Zhao\",\"doi\":\"10.1097/RTI.0000000000000797\",\"DOIUrl\":null,\"url\":null,\"abstract\":\"<p><strong>Purpose: </strong>To investigate the imaging performance and parametric analysis of magnetic resonance imaging (MRI) immediately after microwave ablation (MWA) of lung malignancies.</p><p><strong>Materials and methods: </strong>We retrospectively analyzed the MRI performance immediately after MWA of 34 cases of lung malignancies. The ablation zone parameters of lung malignancies were measured, including the long diameter (L), short diameter (S), and safety margin of the ablation zone on plain computed tomography (CT), T1-weighted imaging (T1WI), and T2-weighted imaging (T2WI) after MWA. The study calculated the tumor volume (V 0 ), the ablation zone volume (V 1 ), and the ratio of V 0 to V 1 (V%). Statistical differences between the parameters were analyzed.</p><p><strong>Results: </strong>The ablation area of the lesion exhibited central low signal and peripheral high signal on T2WI, central high signal and peripheral equal or high signal on T1WI, and circumferential enhancement in the periphery. The safety margin measured on T2WI was greater than that measured on plain CT and T1WI. On plain CT, the L, S, and V 1 were smaller in the effective treatment group than in the ineffective treatment group ( P <0.05). On T1WI, the V% and safety margin were greater in the effective treatment group than in the ineffective treatment group ( P =0.009 and P =0.016, respectively).</p><p><strong>Conclusions: </strong>MRI may be a new, valuable method to assess immediate efficacy after MWA for lung malignancies using the ablation zone parameters V% on T1WI and safety margin on T2WI.</p>\",\"PeriodicalId\":49974,\"journal\":{\"name\":\"Journal of Thoracic Imaging\",\"volume\":\" \",\"pages\":\"392-398\"},\"PeriodicalIF\":1.9000,\"publicationDate\":\"2024-11-01\",\"publicationTypes\":\"Journal Article\",\"fieldsOfStudy\":null,\"isOpenAccess\":false,\"openAccessPdf\":\"https://www.ncbi.nlm.nih.gov/pmc/articles/PMC11495527/pdf/\",\"citationCount\":\"0\",\"resultStr\":null,\"platform\":\"Semanticscholar\",\"paperid\":null,\"PeriodicalName\":\"Journal of Thoracic Imaging\",\"FirstCategoryId\":\"3\",\"ListUrlMain\":\"https://doi.org/10.1097/RTI.0000000000000797\",\"RegionNum\":4,\"RegionCategory\":\"医学\",\"ArticlePicture\":[],\"TitleCN\":null,\"AbstractTextCN\":null,\"PMCID\":null,\"EPubDate\":\"2024/7/18 0:00:00\",\"PubModel\":\"Epub\",\"JCR\":\"Q3\",\"JCRName\":\"RADIOLOGY, NUCLEAR MEDICINE & MEDICAL IMAGING\",\"Score\":null,\"Total\":0}","platform":"Semanticscholar","paperid":null,"PeriodicalName":"Journal of Thoracic Imaging","FirstCategoryId":"3","ListUrlMain":"https://doi.org/10.1097/RTI.0000000000000797","RegionNum":4,"RegionCategory":"医学","ArticlePicture":[],"TitleCN":null,"AbstractTextCN":null,"PMCID":null,"EPubDate":"2024/7/18 0:00:00","PubModel":"Epub","JCR":"Q3","JCRName":"RADIOLOGY, NUCLEAR MEDICINE & MEDICAL IMAGING","Score":null,"Total":0}
引用次数: 0

摘要

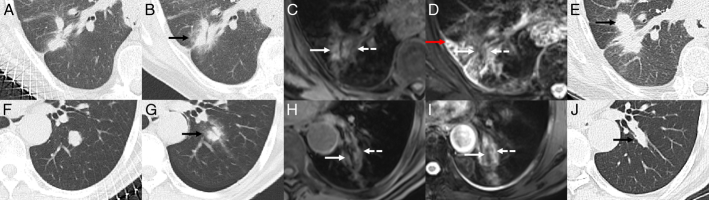
目的:研究肺部恶性肿瘤微波消融(MWA)后立即进行磁共振成像(MRI)的成像表现和参数分析:我们回顾性分析了 34 例肺部恶性肿瘤患者微波消融术后的磁共振成像表现。研究测量了肺部恶性肿瘤的消融区参数,包括消融区的长径(L)、短径(S)和安全边缘,这些参数是在 MWA 后的普通计算机断层扫描(CT)、T1 加权成像(T1WI)和 T2 加权成像(T2WI)上测量的。研究计算了肿瘤体积(V0)、消融区体积(V1)以及 V0 与 V1 之比(V%)。分析了各参数之间的统计学差异:病灶消融区在 T2WI 上表现为中心低信号、外周高信号,在 T1WI 上表现为中心高信号、外周等信号或高信号,外周呈环形增强。T2WI 测量的安全系数大于普通 CT 和 T1WI 测量的安全系数。在普通 CT 上,有效治疗组的 L、S 和 V1 均小于无效治疗组(PC 结论:利用 T1WI 上的消融区参数 V% 和 T2WI 上的安全边缘,MRI 可能是评估肺部恶性肿瘤 MWA 治疗后即时疗效的一种有价值的新方法。
本文章由计算机程序翻译,如有差异,请以英文原文为准。

The Value of Magnetic Resonance Imaging in Assessing Immediate Efficacy After Microwave Ablation of Lung Malignancies.

The Value of Magnetic Resonance Imaging in Assessing Immediate Efficacy After Microwave Ablation of Lung Malignancies.

The Value of Magnetic Resonance Imaging in Assessing Immediate Efficacy After Microwave Ablation of Lung Malignancies.

The Value of Magnetic Resonance Imaging in Assessing Immediate Efficacy After Microwave Ablation of Lung Malignancies.

Purpose: To investigate the imaging performance and parametric analysis of magnetic resonance imaging (MRI) immediately after microwave ablation (MWA) of lung malignancies.

Materials and methods: We retrospectively analyzed the MRI performance immediately after MWA of 34 cases of lung malignancies. The ablation zone parameters of lung malignancies were measured, including the long diameter (L), short diameter (S), and safety margin of the ablation zone on plain computed tomography (CT), T1-weighted imaging (T1WI), and T2-weighted imaging (T2WI) after MWA. The study calculated the tumor volume (V 0 ), the ablation zone volume (V 1 ), and the ratio of V 0 to V 1 (V%). Statistical differences between the parameters were analyzed.

Results: The ablation area of the lesion exhibited central low signal and peripheral high signal on T2WI, central high signal and peripheral equal or high signal on T1WI, and circumferential enhancement in the periphery. The safety margin measured on T2WI was greater than that measured on plain CT and T1WI. On plain CT, the L, S, and V 1 were smaller in the effective treatment group than in the ineffective treatment group ( P <0.05). On T1WI, the V% and safety margin were greater in the effective treatment group than in the ineffective treatment group ( P =0.009 and P =0.016, respectively).

Conclusions: MRI may be a new, valuable method to assess immediate efficacy after MWA for lung malignancies using the ablation zone parameters V% on T1WI and safety margin on T2WI.

求助全文
通过发布文献求助,成功后即可免费获取论文全文。 去求助
来源期刊
Journal of Thoracic Imaging
Journal of Thoracic Imaging 医学-核医学
CiteScore
7.10
自引率
9.10%
发文量
87
审稿时长
6-12 weeks
期刊介绍: Journal of Thoracic Imaging (JTI) provides authoritative information on all aspects of the use of imaging techniques in the diagnosis of cardiac and pulmonary diseases. Original articles and analytical reviews published in this timely journal provide the very latest thinking of leading experts concerning the use of chest radiography, computed tomography, magnetic resonance imaging, positron emission tomography, ultrasound, and all other promising imaging techniques in cardiopulmonary radiology. Official Journal of the Society of Thoracic Radiology: Japanese Society of Thoracic Radiology Korean Society of Thoracic Radiology European Society of Thoracic Imaging.
×
引用
GB/T 7714-2015
复制
MLA
复制
APA
复制
导出至
BibTeX EndNote RefMan NoteFirst NoteExpress
×
提示
您的信息不完整,为了账户安全,请先补充。
现在去补充
×
提示
您因"违规操作"
具体请查看互助需知
我知道了
×
提示
确定
请完成安全验证×
copy
已复制链接
快去分享给好友吧!
我知道了
右上角分享
点击右上角分享
0
联系我们:info@booksci.cn Book学术提供免费学术资源搜索服务,方便国内外学者检索中英文文献。致力于提供最便捷和优质的服务体验。 Copyright © 2023 布克学术 All rights reserved.
京ICP备2023020795号-1
ghs 京公网安备 11010802042870号
Book学术文献互助
Book学术文献互助群
群 号:604180095
Book学术官方微信