便携式冲击性按摩器导致的直肠鞘血肿和梗阻性尿病:病例报告。

Biomedicine hub Pub Date : 2024-05-27 eCollection Date: 2024-01-01 DOI:10.1159/000538709
Lawrence Kwon
{"title":"便携式冲击性按摩器导致的直肠鞘血肿和梗阻性尿病:病例报告。","authors":"Lawrence Kwon","doi":"10.1159/000538709","DOIUrl":null,"url":null,"abstract":"<p><strong>Introduction: </strong>Rectus sheath hematomas (RSHs) can occur from the rupture of the epigastric arteries, leading to blood accumulation within the rectus abdominis sheath. Herein, we report the unique case of an RSH resulting in acute ureteral obstruction, which was associated with the use of a handheld deep-tissue percussive massage device in attempts to relieve abdominal pain.</p><p><strong>Case report: </strong>A morbidly obese man in his late 50s was admitted with complications of COVID-19, including acute respiratory syndrome, bilateral peroneal deep vein thromboses, and acute kidney injury. He was treated with anticoagulants (subcutaneous enoxaparin and apixaban), dexamethasone, and remdesivir. He developed severe abdominal pain, and a large (14 × 17 cm) right rectus sheath and an extraperitoneal pelvic hematoma were identified by computed tomography. The hematoma extended across the midline into the left pelvis and the retroperitoneum with associated mild right hydronephrosis. A handheld percussive massage device (Theragun<sup>®</sup>) was applied repeatedly at the site of enoxaparin injection into the abdominal wall in attempts to alleviate the pain. On day 12, bilateral nephrostomy tubes were inserted. A nephrostogram revealed mild hydroureteronephrosis to the ureterovesicular junction bilaterally and extrinsic compression of the bladder. On day 17, the patient suffered a cardiac arrest and died.</p><p><strong>Conclusion: </strong>This case report offers insights into the pathophysiology of obstructive uropathy and is a reminder of the importance of considering uncommon causes of obstructive uropathy in the diagnosis and management of AKI, particularly in hospitalized patients receiving anticoagulation. We know of no previous reference of obstructive uropathy caused by retroperitoneal hematoma associated with the use of a portable massage device applied to the abdominal wall.</p>","PeriodicalId":101351,"journal":{"name":"Biomedicine hub","volume":"9 1","pages":"89-93"},"PeriodicalIF":0.0000,"publicationDate":"2024-05-27","publicationTypes":"Journal Article","fieldsOfStudy":null,"isOpenAccess":false,"openAccessPdf":"https://www.ncbi.nlm.nih.gov/pmc/articles/PMC11250401/pdf/","citationCount":"0","resultStr":"{\"title\":\"Portable Percussive Massage Device-Related Rectus Sheath Hematoma and Obstructive Uropathy: A Case Report.\",\"authors\":\"Lawrence Kwon\",\"doi\":\"10.1159/000538709\",\"DOIUrl\":null,\"url\":null,\"abstract\":\"<p><strong>Introduction: </strong>Rectus sheath hematomas (RSHs) can occur from the rupture of the epigastric arteries, leading to blood accumulation within the rectus abdominis sheath. Herein, we report the unique case of an RSH resulting in acute ureteral obstruction, which was associated with the use of a handheld deep-tissue percussive massage device in attempts to relieve abdominal pain.</p><p><strong>Case report: </strong>A morbidly obese man in his late 50s was admitted with complications of COVID-19, including acute respiratory syndrome, bilateral peroneal deep vein thromboses, and acute kidney injury. He was treated with anticoagulants (subcutaneous enoxaparin and apixaban), dexamethasone, and remdesivir. He developed severe abdominal pain, and a large (14 × 17 cm) right rectus sheath and an extraperitoneal pelvic hematoma were identified by computed tomography. The hematoma extended across the midline into the left pelvis and the retroperitoneum with associated mild right hydronephrosis. A handheld percussive massage device (Theragun<sup>®</sup>) was applied repeatedly at the site of enoxaparin injection into the abdominal wall in attempts to alleviate the pain. On day 12, bilateral nephrostomy tubes were inserted. A nephrostogram revealed mild hydroureteronephrosis to the ureterovesicular junction bilaterally and extrinsic compression of the bladder. On day 17, the patient suffered a cardiac arrest and died.</p><p><strong>Conclusion: </strong>This case report offers insights into the pathophysiology of obstructive uropathy and is a reminder of the importance of considering uncommon causes of obstructive uropathy in the diagnosis and management of AKI, particularly in hospitalized patients receiving anticoagulation. We know of no previous reference of obstructive uropathy caused by retroperitoneal hematoma associated with the use of a portable massage device applied to the abdominal wall.</p>\",\"PeriodicalId\":101351,\"journal\":{\"name\":\"Biomedicine hub\",\"volume\":\"9 1\",\"pages\":\"89-93\"},\"PeriodicalIF\":0.0000,\"publicationDate\":\"2024-05-27\",\"publicationTypes\":\"Journal Article\",\"fieldsOfStudy\":null,\"isOpenAccess\":false,\"openAccessPdf\":\"https://www.ncbi.nlm.nih.gov/pmc/articles/PMC11250401/pdf/\",\"citationCount\":\"0\",\"resultStr\":null,\"platform\":\"Semanticscholar\",\"paperid\":null,\"PeriodicalName\":\"Biomedicine hub\",\"FirstCategoryId\":\"1085\",\"ListUrlMain\":\"https://doi.org/10.1159/000538709\",\"RegionNum\":0,\"RegionCategory\":null,\"ArticlePicture\":[],\"TitleCN\":null,\"AbstractTextCN\":null,\"PMCID\":null,\"EPubDate\":\"2024/1/1 0:00:00\",\"PubModel\":\"eCollection\",\"JCR\":\"\",\"JCRName\":\"\",\"Score\":null,\"Total\":0}","platform":"Semanticscholar","paperid":null,"PeriodicalName":"Biomedicine hub","FirstCategoryId":"1085","ListUrlMain":"https://doi.org/10.1159/000538709","RegionNum":0,"RegionCategory":null,"ArticlePicture":[],"TitleCN":null,"AbstractTextCN":null,"PMCID":null,"EPubDate":"2024/1/1 0:00:00","PubModel":"eCollection","JCR":"","JCRName":"","Score":null,"Total":0}
引用次数: 0

摘要

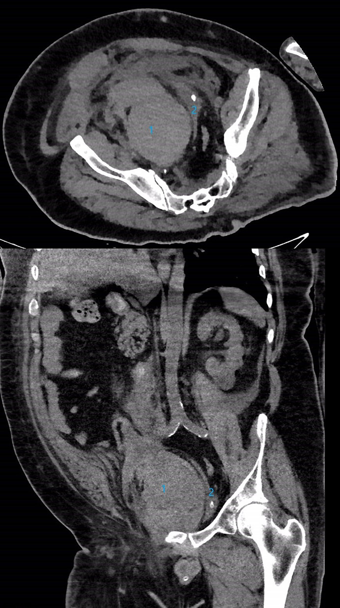
简介腹直肌鞘血肿(RSH)可由腹主动脉破裂引起,导致腹直肌鞘内积血。在此,我们报告了一例独特的 RSH 导致急性输尿管梗阻的病例,该病例与使用手持式深层组织冲击按摩器试图缓解腹痛有关:一名 50 多岁的病态肥胖男子因 COVID-19 并发症入院,包括急性呼吸综合征、双侧腓肠肌深静脉血栓和急性肾损伤。他接受了抗凝剂(皮下注射依诺肝素和阿哌沙班)、地塞米松和雷米替韦治疗。他出现了剧烈腹痛,通过计算机断层扫描发现了一个巨大的(14 × 17 厘米)右直肌鞘和一个腹膜外盆腔血肿。血肿越过中线延伸至左侧骨盆和腹膜后,并伴有轻度右肾积水。在伊诺肝素注射到腹壁的部位反复使用手持式冲击按摩器(Theragun®),试图减轻疼痛。第 12 天,插入了双侧肾造瘘管。肾造影显示双侧输尿管肾盂交界处有轻度肾积水,膀胱受到外部压迫。第 17 天,患者心脏骤停,抢救无效死亡:本病例报告让我们对梗阻性尿病的病理生理学有了更深入的了解,并提醒我们在诊断和处理 AKI 时考虑梗阻性尿病的不常见原因非常重要,尤其是对接受抗凝治疗的住院患者。据我们所知,以前从未有过因使用便携式按摩器按摩腹壁而导致腹膜后血肿引起梗阻性尿病的病例。
本文章由计算机程序翻译,如有差异,请以英文原文为准。

Portable Percussive Massage Device-Related Rectus Sheath Hematoma and Obstructive Uropathy: A Case Report.

Portable Percussive Massage Device-Related Rectus Sheath Hematoma and Obstructive Uropathy: A Case Report.

Introduction: Rectus sheath hematomas (RSHs) can occur from the rupture of the epigastric arteries, leading to blood accumulation within the rectus abdominis sheath. Herein, we report the unique case of an RSH resulting in acute ureteral obstruction, which was associated with the use of a handheld deep-tissue percussive massage device in attempts to relieve abdominal pain.

Case report: A morbidly obese man in his late 50s was admitted with complications of COVID-19, including acute respiratory syndrome, bilateral peroneal deep vein thromboses, and acute kidney injury. He was treated with anticoagulants (subcutaneous enoxaparin and apixaban), dexamethasone, and remdesivir. He developed severe abdominal pain, and a large (14 × 17 cm) right rectus sheath and an extraperitoneal pelvic hematoma were identified by computed tomography. The hematoma extended across the midline into the left pelvis and the retroperitoneum with associated mild right hydronephrosis. A handheld percussive massage device (Theragun®) was applied repeatedly at the site of enoxaparin injection into the abdominal wall in attempts to alleviate the pain. On day 12, bilateral nephrostomy tubes were inserted. A nephrostogram revealed mild hydroureteronephrosis to the ureterovesicular junction bilaterally and extrinsic compression of the bladder. On day 17, the patient suffered a cardiac arrest and died.

Conclusion: This case report offers insights into the pathophysiology of obstructive uropathy and is a reminder of the importance of considering uncommon causes of obstructive uropathy in the diagnosis and management of AKI, particularly in hospitalized patients receiving anticoagulation. We know of no previous reference of obstructive uropathy caused by retroperitoneal hematoma associated with the use of a portable massage device applied to the abdominal wall.

求助全文
通过发布文献求助,成功后即可免费获取论文全文。 去求助
来源期刊
自引率
0.00%
发文量
0
×
引用
GB/T 7714-2015
复制
MLA
复制
APA
复制
导出至
BibTeX EndNote RefMan NoteFirst NoteExpress
×
提示
您的信息不完整,为了账户安全,请先补充。
现在去补充
×
提示
您因"违规操作"
具体请查看互助需知
我知道了
×
提示
确定
请完成安全验证×
copy
已复制链接
快去分享给好友吧!
我知道了
右上角分享
点击右上角分享
0
联系我们:info@booksci.cn Book学术提供免费学术资源搜索服务,方便国内外学者检索中英文文献。致力于提供最便捷和优质的服务体验。 Copyright © 2023 布克学术 All rights reserved.
京ICP备2023020795号-1
ghs 京公网安备 11010802042870号
Book学术文献互助
Book学术文献互助群
群 号:604180095
Book学术官方微信