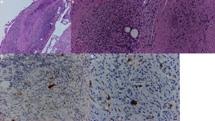
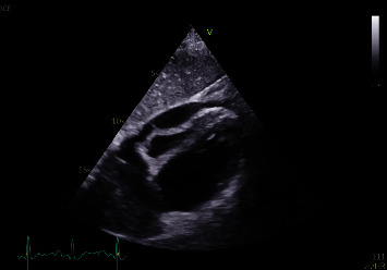
一名年轻女性在霍奇金淋巴瘤中表现为心脏填塞。

IF 0.7 Q4 HEMATOLOGY
Case Reports in Hematology Pub Date : 2024-07-08 eCollection Date: 2024-01-01 DOI:10.1155/2024/5597263
Georgia Kaiafa, Stylianos Daios, Stavroula Bountola, Triantafyllia Koletsa, Michail Makris, Charikleia Chatzikosma, Antonia Loukousia, Vasileios Perifanis, Antonios Ziakas, Christos Savopoulos
{"title":"一名年轻女性在霍奇金淋巴瘤中表现为心脏填塞。","authors":"Georgia Kaiafa, Stylianos Daios, Stavroula Bountola, Triantafyllia Koletsa, Michail Makris, Charikleia Chatzikosma, Antonia Loukousia, Vasileios Perifanis, Antonios Ziakas, Christos Savopoulos","doi":"10.1155/2024/5597263","DOIUrl":null,"url":null,"abstract":"<p><p>Hodgkin lymphoma (HL) is an uncommon malignancy that is characterized by Hodgkin or Reed-Sternberg cells. Cardiac implications of HL remain one of the least investigated subjects. There are few case reports in the literature of cardiac tamponade in HL patients. We describe a case of a 21-year-old female patient who presented with cardiac tamponade as an initial presentation of HL. Any pericardial effusion significant for tamponade requires immediate drainage and fluid analysis for thorough investigation. Prompt identification and timely intervention are crucial in effectively addressing these complex situations. Therefore, clinicians should maintain heightened awareness in such cases.</p>","PeriodicalId":46307,"journal":{"name":"Case Reports in Hematology","volume":"2024 ","pages":"5597263"},"PeriodicalIF":0.7000,"publicationDate":"2024-07-08","publicationTypes":"Journal Article","fieldsOfStudy":null,"isOpenAccess":false,"openAccessPdf":"https://www.ncbi.nlm.nih.gov/pmc/articles/PMC11250532/pdf/","citationCount":"0","resultStr":"{\"title\":\"Hodgkin Lymphoma Presenting as Cardiac Tamponade in a Young Female.\",\"authors\":\"Georgia Kaiafa, Stylianos Daios, Stavroula Bountola, Triantafyllia Koletsa, Michail Makris, Charikleia Chatzikosma, Antonia Loukousia, Vasileios Perifanis, Antonios Ziakas, Christos Savopoulos\",\"doi\":\"10.1155/2024/5597263\",\"DOIUrl\":null,\"url\":null,\"abstract\":\"<p><p>Hodgkin lymphoma (HL) is an uncommon malignancy that is characterized by Hodgkin or Reed-Sternberg cells. Cardiac implications of HL remain one of the least investigated subjects. There are few case reports in the literature of cardiac tamponade in HL patients. We describe a case of a 21-year-old female patient who presented with cardiac tamponade as an initial presentation of HL. Any pericardial effusion significant for tamponade requires immediate drainage and fluid analysis for thorough investigation. Prompt identification and timely intervention are crucial in effectively addressing these complex situations. Therefore, clinicians should maintain heightened awareness in such cases.</p>\",\"PeriodicalId\":46307,\"journal\":{\"name\":\"Case Reports in Hematology\",\"volume\":\"2024 \",\"pages\":\"5597263\"},\"PeriodicalIF\":0.7000,\"publicationDate\":\"2024-07-08\",\"publicationTypes\":\"Journal Article\",\"fieldsOfStudy\":null,\"isOpenAccess\":false,\"openAccessPdf\":\"https://www.ncbi.nlm.nih.gov/pmc/articles/PMC11250532/pdf/\",\"citationCount\":\"0\",\"resultStr\":null,\"platform\":\"Semanticscholar\",\"paperid\":null,\"PeriodicalName\":\"Case Reports in Hematology\",\"FirstCategoryId\":\"1085\",\"ListUrlMain\":\"https://doi.org/10.1155/2024/5597263\",\"RegionNum\":0,\"RegionCategory\":null,\"ArticlePicture\":[],\"TitleCN\":null,\"AbstractTextCN\":null,\"PMCID\":null,\"EPubDate\":\"2024/1/1 0:00:00\",\"PubModel\":\"eCollection\",\"JCR\":\"Q4\",\"JCRName\":\"HEMATOLOGY\",\"Score\":null,\"Total\":0}","platform":"Semanticscholar","paperid":null,"PeriodicalName":"Case Reports in Hematology","FirstCategoryId":"1085","ListUrlMain":"https://doi.org/10.1155/2024/5597263","RegionNum":0,"RegionCategory":null,"ArticlePicture":[],"TitleCN":null,"AbstractTextCN":null,"PMCID":null,"EPubDate":"2024/1/1 0:00:00","PubModel":"eCollection","JCR":"Q4","JCRName":"HEMATOLOGY","Score":null,"Total":0}
引用次数: 0

摘要

霍奇金淋巴瘤(HL)是一种不常见的恶性肿瘤,以霍奇金细胞或里德-斯特恩伯格细胞为特征。HL 对心脏的影响仍然是研究最少的主题之一。文献中关于 HL 患者心脏填塞的病例报告很少。我们描述了一例 21 岁女性患者的病例,她以心脏填塞作为 HL 的首发症状。任何心包积液都可能导致心包填塞,因此需要立即引流并进行液体分析以进行彻底检查。迅速识别和及时干预是有效处理这些复杂情况的关键。因此,临床医生应提高对此类病例的认识。
本文章由计算机程序翻译,如有差异,请以英文原文为准。

Hodgkin Lymphoma Presenting as Cardiac Tamponade in a Young Female.

Hodgkin Lymphoma Presenting as Cardiac Tamponade in a Young Female.

Hodgkin Lymphoma Presenting as Cardiac Tamponade in a Young Female.

Hodgkin Lymphoma Presenting as Cardiac Tamponade in a Young Female.

Hodgkin lymphoma (HL) is an uncommon malignancy that is characterized by Hodgkin or Reed-Sternberg cells. Cardiac implications of HL remain one of the least investigated subjects. There are few case reports in the literature of cardiac tamponade in HL patients. We describe a case of a 21-year-old female patient who presented with cardiac tamponade as an initial presentation of HL. Any pericardial effusion significant for tamponade requires immediate drainage and fluid analysis for thorough investigation. Prompt identification and timely intervention are crucial in effectively addressing these complex situations. Therefore, clinicians should maintain heightened awareness in such cases.

求助全文
通过发布文献求助,成功后即可免费获取论文全文。 去求助
来源期刊
自引率
0.00%
发文量
51
审稿时长
13 weeks
×
引用
GB/T 7714-2015
复制
MLA
复制
APA
复制
导出至
BibTeX EndNote RefMan NoteFirst NoteExpress
×
提示
您的信息不完整,为了账户安全,请先补充。
现在去补充
×
提示
您因"违规操作"
具体请查看互助需知
我知道了
×
提示
确定
请完成安全验证×
copy
已复制链接
快去分享给好友吧!
我知道了
右上角分享
点击右上角分享
0
联系我们:info@booksci.cn Book学术提供免费学术资源搜索服务,方便国内外学者检索中英文文献。致力于提供最便捷和优质的服务体验。 Copyright © 2023 布克学术 All rights reserved.
京ICP备2023020795号-1
ghs 京公网安备 11010802042870号
Book学术文献互助
Book学术文献互助群
群 号:604180095
Book学术官方微信