高频超声和对比增强超声联合应用于手指伸肌腱损伤:三份病例报告。

IF 2.9 Q2 Medicine
Wenying Wang, Li Peng, Lian He, Yan Chen, Mingshan Jiang, Xue Luo, Guoqiang Gao
{"title":"高频超声和对比增强超声联合应用于手指伸肌腱损伤:三份病例报告。","authors":"Wenying Wang, Li Peng, Lian He, Yan Chen, Mingshan Jiang, Xue Luo, Guoqiang Gao","doi":"10.1186/s13089-024-00376-3","DOIUrl":null,"url":null,"abstract":"<p><strong>Background: </strong>By combining high-frequency and contrast-enhanced ultrasound (CEUS), the position of the severed end of a finger extensor tendon injury and the injury classification can be determined as part of a comprehensive preoperative evaluation in clinical practice. However, there have been no reports of high-frequency ultrasound combined with CEUS for the preoperative diagnosis of human finger extensor tendon injury.</p><p><strong>Cases presentation: </strong>One case of complete rupture of the extensor tendon was diagnosed by ultrasound, which was completely consistent with the surgery; one case of incomplete rupture was ultimately confirmed clinically; and one case of distal phalangeal bone base avulsion fracture with tendon contusion and missed diagnosis on the first radiographic examination was confirmed by follow-up radiographic examination.</p><p><strong>Conclusions: </strong>Different types of finger extensor tendon injuries exhibit distinctive contrast-enhanced ultrasonography findings. Combined high-frequency and contrast-enhanced ultrasound can accurately locate the position of the severed end of the finger extensor tendon injury before surgery while observing the contrast agent filling area to clarify injury classification, providing a reliable imaging basis for clinical practice and ultimately developing personalized diagnosis and treatment plans for patients to ensure minimal trauma and pain, as well as optimal treatment effects.</p>","PeriodicalId":36911,"journal":{"name":"Ultrasound Journal","volume":"16 1","pages":"36"},"PeriodicalIF":2.9000,"publicationDate":"2024-07-17","publicationTypes":"Journal Article","fieldsOfStudy":null,"isOpenAccess":false,"openAccessPdf":"https://www.ncbi.nlm.nih.gov/pmc/articles/PMC11254872/pdf/","citationCount":"0","resultStr":"{\"title\":\"Applicability of combined high-frequency and contrast-enhanced ultrasound in finger extensor tendon injuries: three case reports.\",\"authors\":\"Wenying Wang, Li Peng, Lian He, Yan Chen, Mingshan Jiang, Xue Luo, Guoqiang Gao\",\"doi\":\"10.1186/s13089-024-00376-3\",\"DOIUrl\":null,\"url\":null,\"abstract\":\"<p><strong>Background: </strong>By combining high-frequency and contrast-enhanced ultrasound (CEUS), the position of the severed end of a finger extensor tendon injury and the injury classification can be determined as part of a comprehensive preoperative evaluation in clinical practice. However, there have been no reports of high-frequency ultrasound combined with CEUS for the preoperative diagnosis of human finger extensor tendon injury.</p><p><strong>Cases presentation: </strong>One case of complete rupture of the extensor tendon was diagnosed by ultrasound, which was completely consistent with the surgery; one case of incomplete rupture was ultimately confirmed clinically; and one case of distal phalangeal bone base avulsion fracture with tendon contusion and missed diagnosis on the first radiographic examination was confirmed by follow-up radiographic examination.</p><p><strong>Conclusions: </strong>Different types of finger extensor tendon injuries exhibit distinctive contrast-enhanced ultrasonography findings. Combined high-frequency and contrast-enhanced ultrasound can accurately locate the position of the severed end of the finger extensor tendon injury before surgery while observing the contrast agent filling area to clarify injury classification, providing a reliable imaging basis for clinical practice and ultimately developing personalized diagnosis and treatment plans for patients to ensure minimal trauma and pain, as well as optimal treatment effects.</p>\",\"PeriodicalId\":36911,\"journal\":{\"name\":\"Ultrasound Journal\",\"volume\":\"16 1\",\"pages\":\"36\"},\"PeriodicalIF\":2.9000,\"publicationDate\":\"2024-07-17\",\"publicationTypes\":\"Journal Article\",\"fieldsOfStudy\":null,\"isOpenAccess\":false,\"openAccessPdf\":\"https://www.ncbi.nlm.nih.gov/pmc/articles/PMC11254872/pdf/\",\"citationCount\":\"0\",\"resultStr\":null,\"platform\":\"Semanticscholar\",\"paperid\":null,\"PeriodicalName\":\"Ultrasound Journal\",\"FirstCategoryId\":\"1085\",\"ListUrlMain\":\"https://doi.org/10.1186/s13089-024-00376-3\",\"RegionNum\":0,\"RegionCategory\":null,\"ArticlePicture\":[],\"TitleCN\":null,\"AbstractTextCN\":null,\"PMCID\":null,\"EPubDate\":\"\",\"PubModel\":\"\",\"JCR\":\"Q2\",\"JCRName\":\"Medicine\",\"Score\":null,\"Total\":0}","platform":"Semanticscholar","paperid":null,"PeriodicalName":"Ultrasound Journal","FirstCategoryId":"1085","ListUrlMain":"https://doi.org/10.1186/s13089-024-00376-3","RegionNum":0,"RegionCategory":null,"ArticlePicture":[],"TitleCN":null,"AbstractTextCN":null,"PMCID":null,"EPubDate":"","PubModel":"","JCR":"Q2","JCRName":"Medicine","Score":null,"Total":0}
引用次数: 0

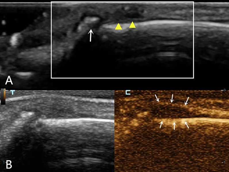
摘要

背景:在临床实践中,通过结合高频超声和对比增强超声(CEUS),可以确定手指伸肌腱损伤断端位置和损伤分类,作为术前综合评估的一部分。然而,目前还没有高频超声结合 CEUS 用于人类手指伸肌腱损伤术前诊断的报道:1例伸肌腱完全断裂,超声诊断与手术完全一致;1例不完全断裂,最终经临床确诊;1例远端指骨基底撕脱骨折伴肌腱挫伤,首次影像学检查漏诊,经随访影像学检查确诊:结论:不同类型的手指伸肌腱损伤表现出不同的对比增强超声检查结果。结论:不同类型的手指伸肌腱损伤表现出不同的造影剂增强超声检查结果,联合高频和造影剂增强超声检查可在术前准确定位手指伸肌腱损伤断端位置,同时观察造影剂填充区域,明确损伤分型,为临床实践提供可靠的影像学依据,最终为患者制定个性化诊疗方案,确保创伤最小、痛苦最小、疗效最佳。
本文章由计算机程序翻译,如有差异,请以英文原文为准。

Applicability of combined high-frequency and contrast-enhanced ultrasound in finger extensor tendon injuries: three case reports.

Applicability of combined high-frequency and contrast-enhanced ultrasound in finger extensor tendon injuries: three case reports.

Applicability of combined high-frequency and contrast-enhanced ultrasound in finger extensor tendon injuries: three case reports.

Applicability of combined high-frequency and contrast-enhanced ultrasound in finger extensor tendon injuries: three case reports.

Background: By combining high-frequency and contrast-enhanced ultrasound (CEUS), the position of the severed end of a finger extensor tendon injury and the injury classification can be determined as part of a comprehensive preoperative evaluation in clinical practice. However, there have been no reports of high-frequency ultrasound combined with CEUS for the preoperative diagnosis of human finger extensor tendon injury.

Cases presentation: One case of complete rupture of the extensor tendon was diagnosed by ultrasound, which was completely consistent with the surgery; one case of incomplete rupture was ultimately confirmed clinically; and one case of distal phalangeal bone base avulsion fracture with tendon contusion and missed diagnosis on the first radiographic examination was confirmed by follow-up radiographic examination.

Conclusions: Different types of finger extensor tendon injuries exhibit distinctive contrast-enhanced ultrasonography findings. Combined high-frequency and contrast-enhanced ultrasound can accurately locate the position of the severed end of the finger extensor tendon injury before surgery while observing the contrast agent filling area to clarify injury classification, providing a reliable imaging basis for clinical practice and ultimately developing personalized diagnosis and treatment plans for patients to ensure minimal trauma and pain, as well as optimal treatment effects.

求助全文
通过发布文献求助,成功后即可免费获取论文全文。 去求助
来源期刊
Ultrasound Journal
Ultrasound Journal Health Professions-Radiological and Ultrasound Technology
CiteScore
6.80
自引率
2.90%
发文量
45
审稿时长
22 weeks
×
引用
GB/T 7714-2015
复制
MLA
复制
APA
复制
导出至
BibTeX EndNote RefMan NoteFirst NoteExpress
×
提示
您的信息不完整,为了账户安全,请先补充。
现在去补充
×
提示
您因"违规操作"
具体请查看互助需知
我知道了
×
提示
确定
请完成安全验证×
copy
已复制链接
快去分享给好友吧!
我知道了
右上角分享
点击右上角分享
0
联系我们:info@booksci.cn Book学术提供免费学术资源搜索服务,方便国内外学者检索中英文文献。致力于提供最便捷和优质的服务体验。 Copyright © 2023 布克学术 All rights reserved.
京ICP备2023020795号-1
ghs 京公网安备 11010802042870号
Book学术文献互助
Book学术文献互助群
群 号:604180095
Book学术官方微信