模仿脊髓梗死的急性莱里切综合征:病例报告

IF 0.6 Q4 CLINICAL NEUROLOGY
Case Reports in Neurology Pub Date : 2024-05-24 eCollection Date: 2024-01-01 DOI:10.1159/000539456
Takamichi Kanbayashi, Sonoko Tanaka, Kiyoshi Matsukura, Masahiro Sonoo, Shunsuke Kobayashi
{"title":"模仿脊髓梗死的急性莱里切综合征:病例报告","authors":"Takamichi Kanbayashi, Sonoko Tanaka, Kiyoshi Matsukura, Masahiro Sonoo, Shunsuke Kobayashi","doi":"10.1159/000539456","DOIUrl":null,"url":null,"abstract":"<p><strong>Introduction: </strong>Acute Leriche syndrome is a rare but potentially life-threatening condition. Pain, pallor, and coldness of the lower extremities serve as clues for suspecting Leriche syndrome. However, the absence of these findings may pose a diagnostic challenge.</p><p><strong>Case presentation: </strong>An 83-year-old man presented at our emergency department with a complaint of sudden-onset paraparesis. Initially, spinal cord infarction was suspected due to clinical course and neurological findings, but thoracolumbar MRI showed normal findings. On admission, symptoms associated with aortoiliac occlusion were not present, except for muscle atrophy in the thigh. CT angiography revealed aortoiliac occlusion, leading to a diagnosis of Leriche syndrome.</p><p><strong>Conclusion: </strong>Leriche syndrome should be considered as a potential differential diagnosis in patients with acute paraparesis. Muscle atrophy of the lower limbs disproportionate to the clinical course may be the clue for suspecting acute Leriche syndrome with symptoms related to atherosclerotic occlusion which are inconspicuous.</p>","PeriodicalId":9639,"journal":{"name":"Case Reports in Neurology","volume":"16 1","pages":"148-153"},"PeriodicalIF":0.6000,"publicationDate":"2024-05-24","publicationTypes":"Journal Article","fieldsOfStudy":null,"isOpenAccess":false,"openAccessPdf":"https://www.ncbi.nlm.nih.gov/pmc/articles/PMC11250112/pdf/","citationCount":"0","resultStr":"{\"title\":\"Acute Leriche Syndrome Mimicking Spinal Cord Infarction: A Case Report.\",\"authors\":\"Takamichi Kanbayashi, Sonoko Tanaka, Kiyoshi Matsukura, Masahiro Sonoo, Shunsuke Kobayashi\",\"doi\":\"10.1159/000539456\",\"DOIUrl\":null,\"url\":null,\"abstract\":\"<p><strong>Introduction: </strong>Acute Leriche syndrome is a rare but potentially life-threatening condition. Pain, pallor, and coldness of the lower extremities serve as clues for suspecting Leriche syndrome. However, the absence of these findings may pose a diagnostic challenge.</p><p><strong>Case presentation: </strong>An 83-year-old man presented at our emergency department with a complaint of sudden-onset paraparesis. Initially, spinal cord infarction was suspected due to clinical course and neurological findings, but thoracolumbar MRI showed normal findings. On admission, symptoms associated with aortoiliac occlusion were not present, except for muscle atrophy in the thigh. CT angiography revealed aortoiliac occlusion, leading to a diagnosis of Leriche syndrome.</p><p><strong>Conclusion: </strong>Leriche syndrome should be considered as a potential differential diagnosis in patients with acute paraparesis. Muscle atrophy of the lower limbs disproportionate to the clinical course may be the clue for suspecting acute Leriche syndrome with symptoms related to atherosclerotic occlusion which are inconspicuous.</p>\",\"PeriodicalId\":9639,\"journal\":{\"name\":\"Case Reports in Neurology\",\"volume\":\"16 1\",\"pages\":\"148-153\"},\"PeriodicalIF\":0.6000,\"publicationDate\":\"2024-05-24\",\"publicationTypes\":\"Journal Article\",\"fieldsOfStudy\":null,\"isOpenAccess\":false,\"openAccessPdf\":\"https://www.ncbi.nlm.nih.gov/pmc/articles/PMC11250112/pdf/\",\"citationCount\":\"0\",\"resultStr\":null,\"platform\":\"Semanticscholar\",\"paperid\":null,\"PeriodicalName\":\"Case Reports in Neurology\",\"FirstCategoryId\":\"1085\",\"ListUrlMain\":\"https://doi.org/10.1159/000539456\",\"RegionNum\":0,\"RegionCategory\":null,\"ArticlePicture\":[],\"TitleCN\":null,\"AbstractTextCN\":null,\"PMCID\":null,\"EPubDate\":\"2024/1/1 0:00:00\",\"PubModel\":\"eCollection\",\"JCR\":\"Q4\",\"JCRName\":\"CLINICAL NEUROLOGY\",\"Score\":null,\"Total\":0}","platform":"Semanticscholar","paperid":null,"PeriodicalName":"Case Reports in Neurology","FirstCategoryId":"1085","ListUrlMain":"https://doi.org/10.1159/000539456","RegionNum":0,"RegionCategory":null,"ArticlePicture":[],"TitleCN":null,"AbstractTextCN":null,"PMCID":null,"EPubDate":"2024/1/1 0:00:00","PubModel":"eCollection","JCR":"Q4","JCRName":"CLINICAL NEUROLOGY","Score":null,"Total":0}
引用次数: 0

摘要

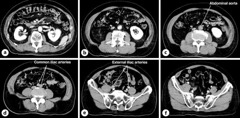
简介急性莱里什综合征是一种罕见但可能危及生命的疾病。下肢疼痛、苍白和冰冷是怀疑莱里什综合征的线索。然而,如果没有这些发现,可能会给诊断带来困难:一名 83 岁的男性因突发偏瘫到我院急诊科就诊。根据临床表现和神经系统检查结果,起初怀疑是脊髓梗死,但胸腰椎磁共振检查结果显示正常。入院时,除了大腿肌肉萎缩外,没有出现与主动脉髂骨闭塞相关的症状。CT 血管造影显示主动脉髂骨闭塞,因此诊断为勒里什综合征:结论:Leriche 综合征应被视为急性截瘫患者的潜在鉴别诊断。下肢肌肉萎缩与临床病程不相称,可能是怀疑急性莱里什综合征的线索,其症状与动脉粥样硬化闭塞有关,但并不明显。
本文章由计算机程序翻译,如有差异,请以英文原文为准。

Acute Leriche Syndrome Mimicking Spinal Cord Infarction: A Case Report.

Acute Leriche Syndrome Mimicking Spinal Cord Infarction: A Case Report.

Acute Leriche Syndrome Mimicking Spinal Cord Infarction: A Case Report.

Acute Leriche Syndrome Mimicking Spinal Cord Infarction: A Case Report.

Introduction: Acute Leriche syndrome is a rare but potentially life-threatening condition. Pain, pallor, and coldness of the lower extremities serve as clues for suspecting Leriche syndrome. However, the absence of these findings may pose a diagnostic challenge.

Case presentation: An 83-year-old man presented at our emergency department with a complaint of sudden-onset paraparesis. Initially, spinal cord infarction was suspected due to clinical course and neurological findings, but thoracolumbar MRI showed normal findings. On admission, symptoms associated with aortoiliac occlusion were not present, except for muscle atrophy in the thigh. CT angiography revealed aortoiliac occlusion, leading to a diagnosis of Leriche syndrome.

Conclusion: Leriche syndrome should be considered as a potential differential diagnosis in patients with acute paraparesis. Muscle atrophy of the lower limbs disproportionate to the clinical course may be the clue for suspecting acute Leriche syndrome with symptoms related to atherosclerotic occlusion which are inconspicuous.

求助全文
通过发布文献求助,成功后即可免费获取论文全文。 去求助
来源期刊
Case Reports in Neurology
Case Reports in Neurology Medicine-Neurology (clinical)
CiteScore
1.50
自引率
0.00%
发文量
67
审稿时长
14 weeks
期刊介绍: This new peer-reviewed online-only journal publishes original case reports covering the entire spectrum of neurology. Clinicians and researchers are given a tool to disseminate their personal experience to a wider public as well as to review interesting cases encountered by colleagues all over the world. To complement the contributions supplementary material is welcomed. The reports are searchable according to the key words supplied by the authors; it will thus be possible to search across the entire growing collection of case reports with universally used terms, further facilitating the retrieval of specific information. Following the open access principle, the entire contents can be retrieved at no charge, guaranteeing easy access to this valuable source of anecdotal information at all times.
×
引用
GB/T 7714-2015
复制
MLA
复制
APA
复制
导出至
BibTeX EndNote RefMan NoteFirst NoteExpress
×
提示
您的信息不完整,为了账户安全,请先补充。
现在去补充
×
提示
您因"违规操作"
具体请查看互助需知
我知道了
×
提示
确定
请完成安全验证×
copy
已复制链接
快去分享给好友吧!
我知道了
右上角分享
点击右上角分享
0
联系我们:info@booksci.cn Book学术提供免费学术资源搜索服务,方便国内外学者检索中英文文献。致力于提供最便捷和优质的服务体验。 Copyright © 2023 布克学术 All rights reserved.
京ICP备2023020795号-1
ghs 京公网安备 11010802042870号
Book学术文献互助
Book学术文献互助群
群 号:604180095
Book学术官方微信