首例接种 COVID-19 疫苗后出现爆发性化脓性肉芽肿的病例。

IF 0.8 Q4 DERMATOLOGY
Case Reports in Dermatology Pub Date : 2024-07-15 eCollection Date: 2024-01-01 DOI:10.1159/000539849
Saman Al-Zahawi, Alireza Ghanadan, Fatema Saberi, Kamran Balighi, Zahra Razavi
{"title":"首例接种 COVID-19 疫苗后出现爆发性化脓性肉芽肿的病例。","authors":"Saman Al-Zahawi, Alireza Ghanadan, Fatema Saberi, Kamran Balighi, Zahra Razavi","doi":"10.1159/000539849","DOIUrl":null,"url":null,"abstract":"<p><strong>Introduction: </strong>Pyogenic granuloma presents clinically as a rapidly growing, friable, red papule of skin or mucosa, commonly measuring less than 10 mm with frequent bleeding due to ulceration. Angioproliferative diseases including pyogenic granuloma and cherry angioma have been reported during COVID-19 infection or following COVID-19 vaccination.</p><p><strong>Case presentation: </strong>Here, we report a 52-year-old female patient who developed diffuse skin eruptions 3 weeks after the second dose of COVID-19 vaccination.</p><p><strong>Conclusion: </strong>As per our knowledge, this is the first case of eruptive PG following COVID-19 vaccination. Oral propranolol and PDL laser therapy were administered after obtaining inconvenient results from electro-cautery, and there was a good response within 6 weeks of starting therapy, defined by the cessation of new lesion formation and a decrease in the size of large lesions.</p>","PeriodicalId":9619,"journal":{"name":"Case Reports in Dermatology","volume":"16 1","pages":"190-197"},"PeriodicalIF":0.8000,"publicationDate":"2024-07-15","publicationTypes":"Journal Article","fieldsOfStudy":null,"isOpenAccess":false,"openAccessPdf":"https://www.ncbi.nlm.nih.gov/pmc/articles/PMC11250667/pdf/","citationCount":"0","resultStr":"{\"title\":\"The First Case of Eruptive Pyogenic Granuloma following COVID-19 Vaccination.\",\"authors\":\"Saman Al-Zahawi, Alireza Ghanadan, Fatema Saberi, Kamran Balighi, Zahra Razavi\",\"doi\":\"10.1159/000539849\",\"DOIUrl\":null,\"url\":null,\"abstract\":\"<p><strong>Introduction: </strong>Pyogenic granuloma presents clinically as a rapidly growing, friable, red papule of skin or mucosa, commonly measuring less than 10 mm with frequent bleeding due to ulceration. Angioproliferative diseases including pyogenic granuloma and cherry angioma have been reported during COVID-19 infection or following COVID-19 vaccination.</p><p><strong>Case presentation: </strong>Here, we report a 52-year-old female patient who developed diffuse skin eruptions 3 weeks after the second dose of COVID-19 vaccination.</p><p><strong>Conclusion: </strong>As per our knowledge, this is the first case of eruptive PG following COVID-19 vaccination. Oral propranolol and PDL laser therapy were administered after obtaining inconvenient results from electro-cautery, and there was a good response within 6 weeks of starting therapy, defined by the cessation of new lesion formation and a decrease in the size of large lesions.</p>\",\"PeriodicalId\":9619,\"journal\":{\"name\":\"Case Reports in Dermatology\",\"volume\":\"16 1\",\"pages\":\"190-197\"},\"PeriodicalIF\":0.8000,\"publicationDate\":\"2024-07-15\",\"publicationTypes\":\"Journal Article\",\"fieldsOfStudy\":null,\"isOpenAccess\":false,\"openAccessPdf\":\"https://www.ncbi.nlm.nih.gov/pmc/articles/PMC11250667/pdf/\",\"citationCount\":\"0\",\"resultStr\":null,\"platform\":\"Semanticscholar\",\"paperid\":null,\"PeriodicalName\":\"Case Reports in Dermatology\",\"FirstCategoryId\":\"1085\",\"ListUrlMain\":\"https://doi.org/10.1159/000539849\",\"RegionNum\":0,\"RegionCategory\":null,\"ArticlePicture\":[],\"TitleCN\":null,\"AbstractTextCN\":null,\"PMCID\":null,\"EPubDate\":\"2024/1/1 0:00:00\",\"PubModel\":\"eCollection\",\"JCR\":\"Q4\",\"JCRName\":\"DERMATOLOGY\",\"Score\":null,\"Total\":0}","platform":"Semanticscholar","paperid":null,"PeriodicalName":"Case Reports in Dermatology","FirstCategoryId":"1085","ListUrlMain":"https://doi.org/10.1159/000539849","RegionNum":0,"RegionCategory":null,"ArticlePicture":[],"TitleCN":null,"AbstractTextCN":null,"PMCID":null,"EPubDate":"2024/1/1 0:00:00","PubModel":"eCollection","JCR":"Q4","JCRName":"DERMATOLOGY","Score":null,"Total":0}
引用次数: 0

摘要

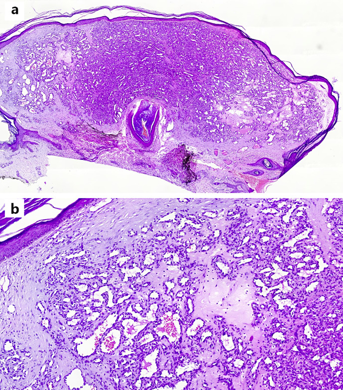
导言:化脓性肉芽肿临床表现为皮肤或粘膜上迅速生长、易碎的红色丘疹,通常小于10毫米,经常因溃疡而出血。在感染 COVID-19 或接种 COVID-19 疫苗后,曾有包括化脓性肉芽肿和樱桃状血管瘤在内的血管增生性疾病的报道:在此,我们报告了一名 52 岁的女性患者,她在接种第二剂 COVID-19 疫苗 3 周后出现弥漫性皮肤糜烂:据我们所知,这是首例接种 COVID-19 疫苗后出现糜烂性 PG 的病例。口服普萘洛尔和 PDL 激光治疗是在电灼治疗效果不佳的情况下进行的,在开始治疗的 6 周内取得了良好的反应,即新皮损停止形成,大面积皮损面积缩小。
本文章由计算机程序翻译,如有差异,请以英文原文为准。

The First Case of Eruptive Pyogenic Granuloma following COVID-19 Vaccination.

The First Case of Eruptive Pyogenic Granuloma following COVID-19 Vaccination.

The First Case of Eruptive Pyogenic Granuloma following COVID-19 Vaccination.

The First Case of Eruptive Pyogenic Granuloma following COVID-19 Vaccination.

Introduction: Pyogenic granuloma presents clinically as a rapidly growing, friable, red papule of skin or mucosa, commonly measuring less than 10 mm with frequent bleeding due to ulceration. Angioproliferative diseases including pyogenic granuloma and cherry angioma have been reported during COVID-19 infection or following COVID-19 vaccination.

Case presentation: Here, we report a 52-year-old female patient who developed diffuse skin eruptions 3 weeks after the second dose of COVID-19 vaccination.

Conclusion: As per our knowledge, this is the first case of eruptive PG following COVID-19 vaccination. Oral propranolol and PDL laser therapy were administered after obtaining inconvenient results from electro-cautery, and there was a good response within 6 weeks of starting therapy, defined by the cessation of new lesion formation and a decrease in the size of large lesions.

求助全文
通过发布文献求助,成功后即可免费获取论文全文。 去求助
来源期刊
CiteScore
1.60
自引率
0.00%
发文量
57
审稿时长
9 weeks
×
引用
GB/T 7714-2015
复制
MLA
复制
APA
复制
导出至
BibTeX EndNote RefMan NoteFirst NoteExpress
×
提示
您的信息不完整,为了账户安全,请先补充。
现在去补充
×
提示
您因"违规操作"
具体请查看互助需知
我知道了
×
提示
确定
请完成安全验证×
copy
已复制链接
快去分享给好友吧!
我知道了
右上角分享
点击右上角分享
0
联系我们:info@booksci.cn Book学术提供免费学术资源搜索服务,方便国内外学者检索中英文文献。致力于提供最便捷和优质的服务体验。 Copyright © 2023 布克学术 All rights reserved.
京ICP备2023020795号-1
ghs 京公网安备 11010802042870号
Book学术文献互助
Book学术文献互助群
群 号:604180095
Book学术官方微信