老太太的疝气"--闭孔疝:病例报告和文献综述。

IF 0.5 Q4 SURGERY
Case Reports in Surgery Pub Date : 2024-06-18 eCollection Date: 2024-01-01 DOI:10.1155/2024/1039438
Enrique Salazar-Rios, Alexa Cruz Olascoaga
{"title":"老太太的疝气\"--闭孔疝:病例报告和文献综述。","authors":"Enrique Salazar-Rios, Alexa Cruz Olascoaga","doi":"10.1155/2024/1039438","DOIUrl":null,"url":null,"abstract":"<p><p>Obturator hernias, though rare, are clinically significant abdominal hernias, predominantly affecting elderly, thin women, with an estimated prevalence of less than 1%. The primary treatment involves surgical intervention to reduce and repair the defect, either through laparotomy or laparoscopy, with bowel resection needed in up to 75% of patients. Here, we present the case of an 83-year-old woman presenting with abdominal pain and a history of constipation. An abdominal computed tomography scan demonstrated a left obturator hernia with small bowel obstruction. Successful reduction of the hernia was achieved, albeit requiring intestinal resection via an open surgical approach. Subsequently, the patient achieved complete recovery.</p>","PeriodicalId":9600,"journal":{"name":"Case Reports in Surgery","volume":"2024 ","pages":"1039438"},"PeriodicalIF":0.5000,"publicationDate":"2024-06-18","publicationTypes":"Journal Article","fieldsOfStudy":null,"isOpenAccess":false,"openAccessPdf":"https://www.ncbi.nlm.nih.gov/pmc/articles/PMC11250703/pdf/","citationCount":"0","resultStr":"{\"title\":\"The \\\"Little-Old-Lady's Hernia\\\", Obturator Hernia: A Case Report and Literature Review.\",\"authors\":\"Enrique Salazar-Rios, Alexa Cruz Olascoaga\",\"doi\":\"10.1155/2024/1039438\",\"DOIUrl\":null,\"url\":null,\"abstract\":\"<p><p>Obturator hernias, though rare, are clinically significant abdominal hernias, predominantly affecting elderly, thin women, with an estimated prevalence of less than 1%. The primary treatment involves surgical intervention to reduce and repair the defect, either through laparotomy or laparoscopy, with bowel resection needed in up to 75% of patients. Here, we present the case of an 83-year-old woman presenting with abdominal pain and a history of constipation. An abdominal computed tomography scan demonstrated a left obturator hernia with small bowel obstruction. Successful reduction of the hernia was achieved, albeit requiring intestinal resection via an open surgical approach. Subsequently, the patient achieved complete recovery.</p>\",\"PeriodicalId\":9600,\"journal\":{\"name\":\"Case Reports in Surgery\",\"volume\":\"2024 \",\"pages\":\"1039438\"},\"PeriodicalIF\":0.5000,\"publicationDate\":\"2024-06-18\",\"publicationTypes\":\"Journal Article\",\"fieldsOfStudy\":null,\"isOpenAccess\":false,\"openAccessPdf\":\"https://www.ncbi.nlm.nih.gov/pmc/articles/PMC11250703/pdf/\",\"citationCount\":\"0\",\"resultStr\":null,\"platform\":\"Semanticscholar\",\"paperid\":null,\"PeriodicalName\":\"Case Reports in Surgery\",\"FirstCategoryId\":\"1085\",\"ListUrlMain\":\"https://doi.org/10.1155/2024/1039438\",\"RegionNum\":0,\"RegionCategory\":null,\"ArticlePicture\":[],\"TitleCN\":null,\"AbstractTextCN\":null,\"PMCID\":null,\"EPubDate\":\"2024/1/1 0:00:00\",\"PubModel\":\"eCollection\",\"JCR\":\"Q4\",\"JCRName\":\"SURGERY\",\"Score\":null,\"Total\":0}","platform":"Semanticscholar","paperid":null,"PeriodicalName":"Case Reports in Surgery","FirstCategoryId":"1085","ListUrlMain":"https://doi.org/10.1155/2024/1039438","RegionNum":0,"RegionCategory":null,"ArticlePicture":[],"TitleCN":null,"AbstractTextCN":null,"PMCID":null,"EPubDate":"2024/1/1 0:00:00","PubModel":"eCollection","JCR":"Q4","JCRName":"SURGERY","Score":null,"Total":0}
引用次数: 0

摘要

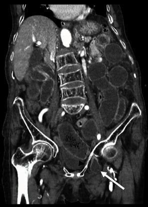
腹股沟疝虽然罕见,但在临床上是一种重要的腹部疝气,主要影响老年、瘦弱的女性,发病率估计不到 1%。主要治疗方法是通过开腹手术或腹腔镜手术进行手术干预,以缩小和修复缺损,多达 75% 的患者需要切除肠道。在此,我们介绍了一名 83 岁女性的病例,她因腹痛和便秘而就诊。腹部计算机断层扫描显示其左侧闭孔疝伴有小肠梗阻。尽管需要通过开腹手术切除肠道,但成功缩小了疝气。随后,患者完全康复。
本文章由计算机程序翻译,如有差异,请以英文原文为准。

The "Little-Old-Lady's Hernia", Obturator Hernia: A Case Report and Literature Review.

The "Little-Old-Lady's Hernia", Obturator Hernia: A Case Report and Literature Review.

The "Little-Old-Lady's Hernia", Obturator Hernia: A Case Report and Literature Review.

The "Little-Old-Lady's Hernia", Obturator Hernia: A Case Report and Literature Review.

Obturator hernias, though rare, are clinically significant abdominal hernias, predominantly affecting elderly, thin women, with an estimated prevalence of less than 1%. The primary treatment involves surgical intervention to reduce and repair the defect, either through laparotomy or laparoscopy, with bowel resection needed in up to 75% of patients. Here, we present the case of an 83-year-old woman presenting with abdominal pain and a history of constipation. An abdominal computed tomography scan demonstrated a left obturator hernia with small bowel obstruction. Successful reduction of the hernia was achieved, albeit requiring intestinal resection via an open surgical approach. Subsequently, the patient achieved complete recovery.

求助全文
通过发布文献求助,成功后即可免费获取论文全文。 去求助
来源期刊
自引率
0.00%
发文量
60
审稿时长
13 weeks
×
引用
GB/T 7714-2015
复制
MLA
复制
APA
复制
导出至
BibTeX EndNote RefMan NoteFirst NoteExpress
×
提示
您的信息不完整,为了账户安全,请先补充。
现在去补充
×
提示
您因"违规操作"
具体请查看互助需知
我知道了
×
提示
确定
请完成安全验证×
copy
已复制链接
快去分享给好友吧!
我知道了
右上角分享
点击右上角分享
0
联系我们:info@booksci.cn Book学术提供免费学术资源搜索服务,方便国内外学者检索中英文文献。致力于提供最便捷和优质的服务体验。 Copyright © 2023 布克学术 All rights reserved.
京ICP备2023020795号-1
ghs 京公网安备 11010802042870号
Book学术文献互助
Book学术文献互助群
群 号:604180095
Book学术官方微信