并发肝出血的法氏囊病肝阶段:三个病例的介绍

IF 0.9 4区 医学 Q4 PARASITOLOGY
Feyzullah Uçmak, Muhsin Kaya
{"title":"并发肝出血的法氏囊病肝阶段:三个病例的介绍","authors":"Feyzullah Uçmak, Muhsin Kaya","doi":"10.18502/ijpa.v19i2.15863","DOIUrl":null,"url":null,"abstract":"<p><p>Bleeding is a very rare complication of <i>Fasciola</i> species (<i>F. hepatica</i> or <i>F. gigantica</i>) infection. We present here three cases of subcapsular liver bleeding caused by the hepatic phase of <i>Fasciola</i> spp. infection in patients, two of whom were women, aged 22, 66, and 84 years in Diyarbakir Province, southeastern Turkey. They had symptoms of right upper quadrant pain (n = 3), nausea (n = 1), and vomiting (n = 2) for periods ranging from 6 hours to 15 days. All patients with clinical presentations ranging from moderate abdominal pain to hypovolemic shock and ischemic hepatitis were improved with supportive treatment without the need for surgery. They showed complete clinical and laboratory recovery after triclabendazole administration in their follow-up. In conclusion, <i>Fasciola</i> spp. infection should be considered in the etiology of bleeding from liver disease.</p>","PeriodicalId":14669,"journal":{"name":"Iranian Journal of Parasitology","volume":"19 2","pages":"267-272"},"PeriodicalIF":0.9000,"publicationDate":"2024-04-01","publicationTypes":"Journal Article","fieldsOfStudy":null,"isOpenAccess":false,"openAccessPdf":"https://www.ncbi.nlm.nih.gov/pmc/articles/PMC11246206/pdf/","citationCount":"0","resultStr":"{\"title\":\"The Hepatic Phase of Fascioliasis Complicated with Liver Bleeding: Presentation of Three Cases.\",\"authors\":\"Feyzullah Uçmak, Muhsin Kaya\",\"doi\":\"10.18502/ijpa.v19i2.15863\",\"DOIUrl\":null,\"url\":null,\"abstract\":\"<p><p>Bleeding is a very rare complication of <i>Fasciola</i> species (<i>F. hepatica</i> or <i>F. gigantica</i>) infection. We present here three cases of subcapsular liver bleeding caused by the hepatic phase of <i>Fasciola</i> spp. infection in patients, two of whom were women, aged 22, 66, and 84 years in Diyarbakir Province, southeastern Turkey. They had symptoms of right upper quadrant pain (n = 3), nausea (n = 1), and vomiting (n = 2) for periods ranging from 6 hours to 15 days. All patients with clinical presentations ranging from moderate abdominal pain to hypovolemic shock and ischemic hepatitis were improved with supportive treatment without the need for surgery. They showed complete clinical and laboratory recovery after triclabendazole administration in their follow-up. In conclusion, <i>Fasciola</i> spp. infection should be considered in the etiology of bleeding from liver disease.</p>\",\"PeriodicalId\":14669,\"journal\":{\"name\":\"Iranian Journal of Parasitology\",\"volume\":\"19 2\",\"pages\":\"267-272\"},\"PeriodicalIF\":0.9000,\"publicationDate\":\"2024-04-01\",\"publicationTypes\":\"Journal Article\",\"fieldsOfStudy\":null,\"isOpenAccess\":false,\"openAccessPdf\":\"https://www.ncbi.nlm.nih.gov/pmc/articles/PMC11246206/pdf/\",\"citationCount\":\"0\",\"resultStr\":null,\"platform\":\"Semanticscholar\",\"paperid\":null,\"PeriodicalName\":\"Iranian Journal of Parasitology\",\"FirstCategoryId\":\"3\",\"ListUrlMain\":\"https://doi.org/10.18502/ijpa.v19i2.15863\",\"RegionNum\":4,\"RegionCategory\":\"医学\",\"ArticlePicture\":[],\"TitleCN\":null,\"AbstractTextCN\":null,\"PMCID\":null,\"EPubDate\":\"\",\"PubModel\":\"\",\"JCR\":\"Q4\",\"JCRName\":\"PARASITOLOGY\",\"Score\":null,\"Total\":0}","platform":"Semanticscholar","paperid":null,"PeriodicalName":"Iranian Journal of Parasitology","FirstCategoryId":"3","ListUrlMain":"https://doi.org/10.18502/ijpa.v19i2.15863","RegionNum":4,"RegionCategory":"医学","ArticlePicture":[],"TitleCN":null,"AbstractTextCN":null,"PMCID":null,"EPubDate":"","PubModel":"","JCR":"Q4","JCRName":"PARASITOLOGY","Score":null,"Total":0}
引用次数: 0

摘要

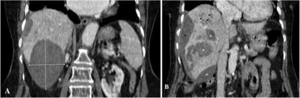
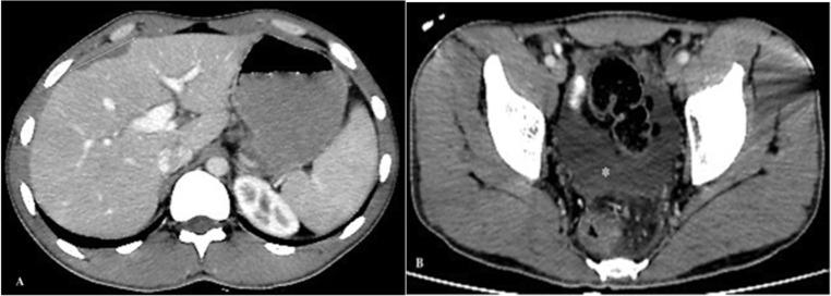
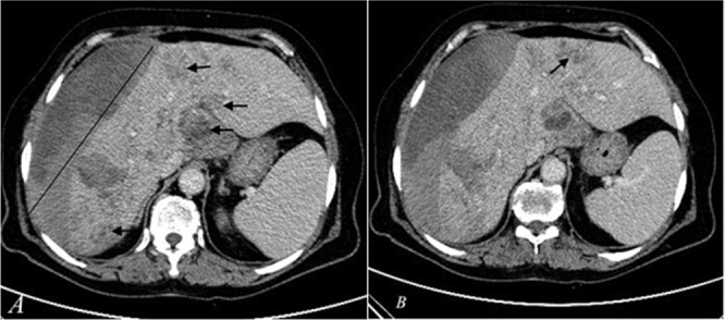
出血是一种非常罕见的法氏囊属(F. hepatica 或 F. gigantica)感染并发症。我们在此报告了土耳其东南部迪亚巴克尔省的三例由肝期法氏囊属感染引起的肝囊下出血病例,其中两例为女性,年龄分别为22岁、66岁和84岁。他们的症状包括右上腹疼痛(3 例)、恶心(1 例)和呕吐(2 例),持续时间从 6 小时到 15 天不等。所有患者的临床表现从中度腹痛到低血容量性休克和缺血性肝炎,均在支持性治疗后得到改善,无需手术。他们在服用曲克芦苯咪唑后,临床和化验指标均完全恢复。总之,肝病出血的病因应考虑法氏囊属感染。
本文章由计算机程序翻译,如有差异,请以英文原文为准。

The Hepatic Phase of Fascioliasis Complicated with Liver Bleeding: Presentation of Three Cases.

The Hepatic Phase of Fascioliasis Complicated with Liver Bleeding: Presentation of Three Cases.

The Hepatic Phase of Fascioliasis Complicated with Liver Bleeding: Presentation of Three Cases.

The Hepatic Phase of Fascioliasis Complicated with Liver Bleeding: Presentation of Three Cases.

Bleeding is a very rare complication of Fasciola species (F. hepatica or F. gigantica) infection. We present here three cases of subcapsular liver bleeding caused by the hepatic phase of Fasciola spp. infection in patients, two of whom were women, aged 22, 66, and 84 years in Diyarbakir Province, southeastern Turkey. They had symptoms of right upper quadrant pain (n = 3), nausea (n = 1), and vomiting (n = 2) for periods ranging from 6 hours to 15 days. All patients with clinical presentations ranging from moderate abdominal pain to hypovolemic shock and ischemic hepatitis were improved with supportive treatment without the need for surgery. They showed complete clinical and laboratory recovery after triclabendazole administration in their follow-up. In conclusion, Fasciola spp. infection should be considered in the etiology of bleeding from liver disease.

求助全文
通过发布文献求助,成功后即可免费获取论文全文。 去求助
来源期刊
CiteScore
1.80
自引率
0.00%
发文量
55
审稿时长
6-12 weeks
期刊介绍: Iranian Journal of Parasitology (IJP) is the official publication of Iranian Society of Parasitology (ISP) launched in 2006. The society was inaugurated in 1994 and pursues the improvement of the knowledge on the parasites and parasitic diseases, exchange of scientific knowledge with foreign societies, publicity activities, and consultation on the parasitic diseases, and intimate relationship among society members. The main aims of the Journal are: contribution to the field of Parasitology, including all aspects of parasites and parasitic diseases (medical and veterinary) and related fields such as Entomology which may be submitted by scientists from Iran and all over the world.
×
引用
GB/T 7714-2015
复制
MLA
复制
APA
复制
导出至
BibTeX EndNote RefMan NoteFirst NoteExpress
×
提示
您的信息不完整,为了账户安全,请先补充。
现在去补充
×
提示
您因"违规操作"
具体请查看互助需知
我知道了
×
提示
确定
请完成安全验证×
copy
已复制链接
快去分享给好友吧!
我知道了
右上角分享
点击右上角分享
0
联系我们:info@booksci.cn Book学术提供免费学术资源搜索服务,方便国内外学者检索中英文文献。致力于提供最便捷和优质的服务体验。 Copyright © 2023 布克学术 All rights reserved.
京ICP备2023020795号-1
ghs 京公网安备 11010802042870号
Book学术文献互助
Book学术文献互助群
群 号:604180095
Book学术官方微信