伪装成透析性肺旁积液的肺水囊肿破裂:病例报告。

IF 0.9 4区 医学 Q4 PARASITOLOGY
Brahmansh Singh, Kundan Nikit Mehta
{"title":"伪装成透析性肺旁积液的肺水囊肿破裂:病例报告。","authors":"Brahmansh Singh, Kundan Nikit Mehta","doi":"10.18502/ijpa.v19i2.15864","DOIUrl":null,"url":null,"abstract":"<p><p>Hydatid disease can virtually involve any organs, liver being the most common followed by lungs. Pleural effusion as a complication of pulmonary hydatid cyst is exceptionally rare and its diagnosis and treatment pose significant challenges. We present an intriguing case managed in Dr D Y Patil medical college and Hospital in west India in June 2023 involving a 70-year-old female who presented with symptoms of right-sided chest pain and acute-onset dyspnoea. Referred from a local hospital, a chest radiograph revealed the presence of right pleural effusion. Subsequent radiological investigations including a contrast enhanced CT at our centre exposed two large, well-defined hypodense lesions with fluid density, encased by thick enhancing walls, along with right-sided pleural effusion and hence a diagnosis of lung abscess with right pleural effusion (right parapneumonic effusion) was established. Despite ongoing care, clinical improvement eluded us. Thoracocentesis yielded a surprising revelation - the pleural fluid was transudative with visible hooklets and protoscolices, indicating a ruptured pulmonary hydatid cyst. The patient began albendazole treatment and received a CVTS consultation. They recommended a right lower lobe lobectomy, now scheduled for the near future.</p>","PeriodicalId":14669,"journal":{"name":"Iranian Journal of Parasitology","volume":"19 2","pages":"273-277"},"PeriodicalIF":0.9000,"publicationDate":"2024-04-01","publicationTypes":"Journal Article","fieldsOfStudy":null,"isOpenAccess":false,"openAccessPdf":"https://www.ncbi.nlm.nih.gov/pmc/articles/PMC11246210/pdf/","citationCount":"0","resultStr":"{\"title\":\"Ruptured Lung Hydatid Cyst Masquerading as a Transudative Parapneumonic Effusion: A Case Report.\",\"authors\":\"Brahmansh Singh, Kundan Nikit Mehta\",\"doi\":\"10.18502/ijpa.v19i2.15864\",\"DOIUrl\":null,\"url\":null,\"abstract\":\"<p><p>Hydatid disease can virtually involve any organs, liver being the most common followed by lungs. Pleural effusion as a complication of pulmonary hydatid cyst is exceptionally rare and its diagnosis and treatment pose significant challenges. We present an intriguing case managed in Dr D Y Patil medical college and Hospital in west India in June 2023 involving a 70-year-old female who presented with symptoms of right-sided chest pain and acute-onset dyspnoea. Referred from a local hospital, a chest radiograph revealed the presence of right pleural effusion. Subsequent radiological investigations including a contrast enhanced CT at our centre exposed two large, well-defined hypodense lesions with fluid density, encased by thick enhancing walls, along with right-sided pleural effusion and hence a diagnosis of lung abscess with right pleural effusion (right parapneumonic effusion) was established. Despite ongoing care, clinical improvement eluded us. Thoracocentesis yielded a surprising revelation - the pleural fluid was transudative with visible hooklets and protoscolices, indicating a ruptured pulmonary hydatid cyst. The patient began albendazole treatment and received a CVTS consultation. They recommended a right lower lobe lobectomy, now scheduled for the near future.</p>\",\"PeriodicalId\":14669,\"journal\":{\"name\":\"Iranian Journal of Parasitology\",\"volume\":\"19 2\",\"pages\":\"273-277\"},\"PeriodicalIF\":0.9000,\"publicationDate\":\"2024-04-01\",\"publicationTypes\":\"Journal Article\",\"fieldsOfStudy\":null,\"isOpenAccess\":false,\"openAccessPdf\":\"https://www.ncbi.nlm.nih.gov/pmc/articles/PMC11246210/pdf/\",\"citationCount\":\"0\",\"resultStr\":null,\"platform\":\"Semanticscholar\",\"paperid\":null,\"PeriodicalName\":\"Iranian Journal of Parasitology\",\"FirstCategoryId\":\"3\",\"ListUrlMain\":\"https://doi.org/10.18502/ijpa.v19i2.15864\",\"RegionNum\":4,\"RegionCategory\":\"医学\",\"ArticlePicture\":[],\"TitleCN\":null,\"AbstractTextCN\":null,\"PMCID\":null,\"EPubDate\":\"\",\"PubModel\":\"\",\"JCR\":\"Q4\",\"JCRName\":\"PARASITOLOGY\",\"Score\":null,\"Total\":0}","platform":"Semanticscholar","paperid":null,"PeriodicalName":"Iranian Journal of Parasitology","FirstCategoryId":"3","ListUrlMain":"https://doi.org/10.18502/ijpa.v19i2.15864","RegionNum":4,"RegionCategory":"医学","ArticlePicture":[],"TitleCN":null,"AbstractTextCN":null,"PMCID":null,"EPubDate":"","PubModel":"","JCR":"Q4","JCRName":"PARASITOLOGY","Score":null,"Total":0}
引用次数: 0

摘要

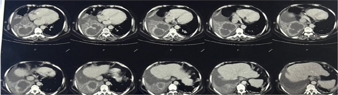
包虫病几乎可以累及任何器官,肝脏是最常见的器官,其次是肺。作为肺包虫囊肿并发症的胸腔积液异常罕见,其诊断和治疗带来了巨大挑战。2023 年 6 月,印度西部的 D Y Patil 医学院和医院接诊了一例有趣的病例,患者是一名 70 岁女性,出现右侧胸痛和急性呼吸困难症状。经当地医院转诊,胸片检查发现右侧胸腔积液。随后在本中心进行了放射学检查,包括造影剂增强 CT 检查,结果显示有两个大的、界限清楚的低密度病灶,病灶内有液体密度,被厚厚的增强壁包裹,同时伴有右侧胸腔积液,因此确诊为肺脓肿伴右侧胸腔积液(右肺旁积液)。尽管一直在接受治疗,但临床症状仍未得到改善。胸腔穿刺术得出了一个令人惊讶的结果--胸腔积液呈渗出性,并伴有可见的钩状小体和原包涵体,表明肺水瘤囊肿已经破裂。患者开始接受阿苯达唑治疗,并接受了 CVTS 会诊。他们建议进行右肺下叶切除术,目前已安排在近期进行。
本文章由计算机程序翻译,如有差异,请以英文原文为准。

Ruptured Lung Hydatid Cyst Masquerading as a Transudative Parapneumonic Effusion: A Case Report.

Ruptured Lung Hydatid Cyst Masquerading as a Transudative Parapneumonic Effusion: A Case Report.

Ruptured Lung Hydatid Cyst Masquerading as a Transudative Parapneumonic Effusion: A Case Report.

Hydatid disease can virtually involve any organs, liver being the most common followed by lungs. Pleural effusion as a complication of pulmonary hydatid cyst is exceptionally rare and its diagnosis and treatment pose significant challenges. We present an intriguing case managed in Dr D Y Patil medical college and Hospital in west India in June 2023 involving a 70-year-old female who presented with symptoms of right-sided chest pain and acute-onset dyspnoea. Referred from a local hospital, a chest radiograph revealed the presence of right pleural effusion. Subsequent radiological investigations including a contrast enhanced CT at our centre exposed two large, well-defined hypodense lesions with fluid density, encased by thick enhancing walls, along with right-sided pleural effusion and hence a diagnosis of lung abscess with right pleural effusion (right parapneumonic effusion) was established. Despite ongoing care, clinical improvement eluded us. Thoracocentesis yielded a surprising revelation - the pleural fluid was transudative with visible hooklets and protoscolices, indicating a ruptured pulmonary hydatid cyst. The patient began albendazole treatment and received a CVTS consultation. They recommended a right lower lobe lobectomy, now scheduled for the near future.

求助全文
通过发布文献求助,成功后即可免费获取论文全文。 去求助
来源期刊
CiteScore
1.80
自引率
0.00%
发文量
55
审稿时长
6-12 weeks
期刊介绍: Iranian Journal of Parasitology (IJP) is the official publication of Iranian Society of Parasitology (ISP) launched in 2006. The society was inaugurated in 1994 and pursues the improvement of the knowledge on the parasites and parasitic diseases, exchange of scientific knowledge with foreign societies, publicity activities, and consultation on the parasitic diseases, and intimate relationship among society members. The main aims of the Journal are: contribution to the field of Parasitology, including all aspects of parasites and parasitic diseases (medical and veterinary) and related fields such as Entomology which may be submitted by scientists from Iran and all over the world.
×
引用
GB/T 7714-2015
复制
MLA
复制
APA
复制
导出至
BibTeX EndNote RefMan NoteFirst NoteExpress
×
提示
您的信息不完整,为了账户安全,请先补充。
现在去补充
×
提示
您因"违规操作"
具体请查看互助需知
我知道了
×
提示
确定
请完成安全验证×
copy
已复制链接
快去分享给好友吧!
我知道了
右上角分享
点击右上角分享
0
联系我们:info@booksci.cn Book学术提供免费学术资源搜索服务,方便国内外学者检索中英文文献。致力于提供最便捷和优质的服务体验。 Copyright © 2023 布克学术 All rights reserved.
京ICP备2023020795号-1
ghs 京公网安备 11010802042870号
Book学术文献互助
Book学术文献互助群
群 号:604180095
Book学术官方微信