双侧泪腺淋巴瘤--病例介绍。

Violeta Ioana Prună, Diana Mihaela Ciuc, Valeriu Gabi Dincă, Viorel Mihai Prună
{"title":"双侧泪腺淋巴瘤--病例介绍。","authors":"Violeta Ioana Prună, Diana Mihaela Ciuc, Valeriu Gabi Dincă, Viorel Mihai Prună","doi":"10.22336/rjo.2024.36","DOIUrl":null,"url":null,"abstract":"<p><p>Lacrimal gland lymphomas are rare orbital tumors, constituting a minor fraction of all orbital and ocular adnexal malignancies. This case study presents an 83-year-old male with bilateral lacrimal gland tumors, more prominent in the left orbit, causing decreased visual acuity, red eye, excessive tearing, and diplopia. Initial ophthalmological evaluations and imaging suggested bilateral lacrimal gland lymphoma, confirmed by histopathology as diffuse large B-cell non-Hodgkin lymphoma of the MALT type. Due to the significant tumor size and risk of visual function loss, surgical intervention was performed, followed by corticosteroid therapy. Postoperatively, a marked improvement in symptoms and a reduction in tumor size were observed. This case underscores the importance of comprehensive diagnostic approaches, including clinical, imaging, and histopathological evaluations, highlighting the need for a multidisciplinary approach in managing rare orbital tumors like lacrimal gland lymphoma. The patient's postoperative and follow-up care included oncological management to monitor and ensure long-term disease control and patient well-being. <b>Abbreviations:</b> RE = right eye, LE = left eye, CT = Computer tomography, MRI = Magnetic Resonance Imaging, TOD = intraocular pressure of right eye, TOS = intraocular pressure of left eye, US = ultrasound.</p>","PeriodicalId":94355,"journal":{"name":"Romanian journal of ophthalmology","volume":"68 2","pages":"191-197"},"PeriodicalIF":0.0000,"publicationDate":"2024-04-01","publicationTypes":"Journal Article","fieldsOfStudy":null,"isOpenAccess":false,"openAccessPdf":"https://www.ncbi.nlm.nih.gov/pmc/articles/PMC11238863/pdf/","citationCount":"0","resultStr":"{\"title\":\"Bilateral Lacrimal Gland Lymphoma - Case Presentation.\",\"authors\":\"Violeta Ioana Prună, Diana Mihaela Ciuc, Valeriu Gabi Dincă, Viorel Mihai Prună\",\"doi\":\"10.22336/rjo.2024.36\",\"DOIUrl\":null,\"url\":null,\"abstract\":\"<p><p>Lacrimal gland lymphomas are rare orbital tumors, constituting a minor fraction of all orbital and ocular adnexal malignancies. This case study presents an 83-year-old male with bilateral lacrimal gland tumors, more prominent in the left orbit, causing decreased visual acuity, red eye, excessive tearing, and diplopia. Initial ophthalmological evaluations and imaging suggested bilateral lacrimal gland lymphoma, confirmed by histopathology as diffuse large B-cell non-Hodgkin lymphoma of the MALT type. Due to the significant tumor size and risk of visual function loss, surgical intervention was performed, followed by corticosteroid therapy. Postoperatively, a marked improvement in symptoms and a reduction in tumor size were observed. This case underscores the importance of comprehensive diagnostic approaches, including clinical, imaging, and histopathological evaluations, highlighting the need for a multidisciplinary approach in managing rare orbital tumors like lacrimal gland lymphoma. The patient's postoperative and follow-up care included oncological management to monitor and ensure long-term disease control and patient well-being. <b>Abbreviations:</b> RE = right eye, LE = left eye, CT = Computer tomography, MRI = Magnetic Resonance Imaging, TOD = intraocular pressure of right eye, TOS = intraocular pressure of left eye, US = ultrasound.</p>\",\"PeriodicalId\":94355,\"journal\":{\"name\":\"Romanian journal of ophthalmology\",\"volume\":\"68 2\",\"pages\":\"191-197\"},\"PeriodicalIF\":0.0000,\"publicationDate\":\"2024-04-01\",\"publicationTypes\":\"Journal Article\",\"fieldsOfStudy\":null,\"isOpenAccess\":false,\"openAccessPdf\":\"https://www.ncbi.nlm.nih.gov/pmc/articles/PMC11238863/pdf/\",\"citationCount\":\"0\",\"resultStr\":null,\"platform\":\"Semanticscholar\",\"paperid\":null,\"PeriodicalName\":\"Romanian journal of ophthalmology\",\"FirstCategoryId\":\"1085\",\"ListUrlMain\":\"https://doi.org/10.22336/rjo.2024.36\",\"RegionNum\":0,\"RegionCategory\":null,\"ArticlePicture\":[],\"TitleCN\":null,\"AbstractTextCN\":null,\"PMCID\":null,\"EPubDate\":\"\",\"PubModel\":\"\",\"JCR\":\"\",\"JCRName\":\"\",\"Score\":null,\"Total\":0}","platform":"Semanticscholar","paperid":null,"PeriodicalName":"Romanian journal of ophthalmology","FirstCategoryId":"1085","ListUrlMain":"https://doi.org/10.22336/rjo.2024.36","RegionNum":0,"RegionCategory":null,"ArticlePicture":[],"TitleCN":null,"AbstractTextCN":null,"PMCID":null,"EPubDate":"","PubModel":"","JCR":"","JCRName":"","Score":null,"Total":0}
引用次数: 0

摘要

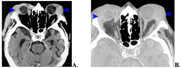
泪腺淋巴瘤是一种罕见的眼眶肿瘤,在所有眼眶和眼部附件恶性肿瘤中只占一小部分。本病例研究显示,一名83岁的男性患有双侧泪腺肿瘤,以左侧眼眶更为突出,导致视力下降、红眼、多泪和复视。初步眼科评估和影像学检查提示为双侧泪腺淋巴瘤,组织病理学证实为弥漫大 B 细胞 MALT 型非霍奇金淋巴瘤。由于肿瘤巨大且有丧失视功能的风险,患者接受了手术治疗,随后又接受了皮质类固醇治疗。术后症状明显改善,肿瘤体积缩小。该病例强调了综合诊断方法的重要性,包括临床、影像学和组织病理学评估,突出了多学科方法治疗泪腺淋巴瘤等罕见眼眶肿瘤的必要性。患者的术后和随访护理包括肿瘤学管理,以监测和确保疾病的长期控制和患者的健康。缩写:缩写:RE = 右眼,LE = 左眼,CT = 计算机断层扫描,MRI = 磁共振成像,TOD = 右眼眼压,TOS = 左眼眼压,US = 超声波。
本文章由计算机程序翻译,如有差异,请以英文原文为准。

Bilateral Lacrimal Gland Lymphoma - Case Presentation.

Bilateral Lacrimal Gland Lymphoma - Case Presentation.

Bilateral Lacrimal Gland Lymphoma - Case Presentation.

Bilateral Lacrimal Gland Lymphoma - Case Presentation.

Lacrimal gland lymphomas are rare orbital tumors, constituting a minor fraction of all orbital and ocular adnexal malignancies. This case study presents an 83-year-old male with bilateral lacrimal gland tumors, more prominent in the left orbit, causing decreased visual acuity, red eye, excessive tearing, and diplopia. Initial ophthalmological evaluations and imaging suggested bilateral lacrimal gland lymphoma, confirmed by histopathology as diffuse large B-cell non-Hodgkin lymphoma of the MALT type. Due to the significant tumor size and risk of visual function loss, surgical intervention was performed, followed by corticosteroid therapy. Postoperatively, a marked improvement in symptoms and a reduction in tumor size were observed. This case underscores the importance of comprehensive diagnostic approaches, including clinical, imaging, and histopathological evaluations, highlighting the need for a multidisciplinary approach in managing rare orbital tumors like lacrimal gland lymphoma. The patient's postoperative and follow-up care included oncological management to monitor and ensure long-term disease control and patient well-being. Abbreviations: RE = right eye, LE = left eye, CT = Computer tomography, MRI = Magnetic Resonance Imaging, TOD = intraocular pressure of right eye, TOS = intraocular pressure of left eye, US = ultrasound.

求助全文
通过发布文献求助,成功后即可免费获取论文全文。 去求助
来源期刊
自引率
0.00%
发文量
0
×
引用
GB/T 7714-2015
复制
MLA
复制
APA
复制
导出至
BibTeX EndNote RefMan NoteFirst NoteExpress
×
提示
您的信息不完整,为了账户安全,请先补充。
现在去补充
×
提示
您因"违规操作"
具体请查看互助需知
我知道了
×
提示
确定
请完成安全验证×
copy
已复制链接
快去分享给好友吧!
我知道了
右上角分享
点击右上角分享
0
联系我们:info@booksci.cn Book学术提供免费学术资源搜索服务,方便国内外学者检索中英文文献。致力于提供最便捷和优质的服务体验。 Copyright © 2023 布克学术 All rights reserved.
京ICP备2023020795号-1
ghs 京公网安备 11010802042870号
Book学术文献互助
Book学术文献互助群
群 号:604180095
Book学术官方微信