眼眶病变的放射病理学相关性。

IF 0.3 Q4 OPHTHALMOLOGY
Middle East African Journal of Ophthalmology Pub Date : 2024-06-14 eCollection Date: 2023-04-01 DOI:10.4103/meajo.meajo_7_23
Bipasha Mukherjee, Varsha Backiavathy, C Umadevi, Olma V Noronha
{"title":"眼眶病变的放射病理学相关性。","authors":"Bipasha Mukherjee, Varsha Backiavathy, C Umadevi, Olma V Noronha","doi":"10.4103/meajo.meajo_7_23","DOIUrl":null,"url":null,"abstract":"<p><strong>Purpose: </strong>The objective is to analyze the radiological diagnosis of orbital lesions and their correlation with the final histopathological findings. We compared the initial reports by extramural radiologists and an in-house radiologist specialized in orbital imaging to evaluate the diagnostic accuracy in the interpretation of orbital imaging.</p><p><strong>Methods: </strong>This was a retrospective chart review of forty patients referred to a Tertiary Eye Care Center in South India over a period of 7 years. These patients already had their imaging done elsewhere. The imaging was re-evaluated by an in-house radiologist. The radiological findings were correlated with the histopathological diagnosis. The diagnostic accuracy between the two radiologists was compared. The sensitivity, specificity, positive predictive value (PPV), and negative predictive value in differentiating malignant from benign lesions were calculated in both groups. The sensitivity and PPV of the radiological diagnosis for neoplastic and inflammatory lesions in both groups were analyzed.</p><p><strong>Results: </strong>The accuracy in differentiating malignant from benign and inflammatory lesions by our in-house radiologist and extramural radiologists was 95% (κ = 0.9 [0.764, 0.997]) and 50% (κ = 0.036 [-0.160, 0.232]), respectively. The sensitivity and PPV of the radiological diagnosis by our in-house radiologist were 93.31% and 100% for benign lesions and 95.24% and 95.24% for malignant lesions. On the contrary, reports from the extramural radiologists showed a sensitivity and PPV of 76.92% and 66.67% for benign lesions and 14.28% and 60% for malignant lesions.</p><p><strong>Conclusion: </strong>A high radiological diagnostic accuracy is possible when analyzed by radiologists experienced in orbital imaging.</p>","PeriodicalId":18740,"journal":{"name":"Middle East African Journal of Ophthalmology","volume":"30 2","pages":"98-102"},"PeriodicalIF":0.3000,"publicationDate":"2024-06-14","publicationTypes":"Journal Article","fieldsOfStudy":null,"isOpenAccess":false,"openAccessPdf":"https://www.ncbi.nlm.nih.gov/pmc/articles/PMC11238925/pdf/","citationCount":"0","resultStr":"{\"title\":\"Radiopathological Correlation in Orbital Lesions.\",\"authors\":\"Bipasha Mukherjee, Varsha Backiavathy, C Umadevi, Olma V Noronha\",\"doi\":\"10.4103/meajo.meajo_7_23\",\"DOIUrl\":null,\"url\":null,\"abstract\":\"<p><strong>Purpose: </strong>The objective is to analyze the radiological diagnosis of orbital lesions and their correlation with the final histopathological findings. We compared the initial reports by extramural radiologists and an in-house radiologist specialized in orbital imaging to evaluate the diagnostic accuracy in the interpretation of orbital imaging.</p><p><strong>Methods: </strong>This was a retrospective chart review of forty patients referred to a Tertiary Eye Care Center in South India over a period of 7 years. These patients already had their imaging done elsewhere. The imaging was re-evaluated by an in-house radiologist. The radiological findings were correlated with the histopathological diagnosis. The diagnostic accuracy between the two radiologists was compared. The sensitivity, specificity, positive predictive value (PPV), and negative predictive value in differentiating malignant from benign lesions were calculated in both groups. The sensitivity and PPV of the radiological diagnosis for neoplastic and inflammatory lesions in both groups were analyzed.</p><p><strong>Results: </strong>The accuracy in differentiating malignant from benign and inflammatory lesions by our in-house radiologist and extramural radiologists was 95% (κ = 0.9 [0.764, 0.997]) and 50% (κ = 0.036 [-0.160, 0.232]), respectively. The sensitivity and PPV of the radiological diagnosis by our in-house radiologist were 93.31% and 100% for benign lesions and 95.24% and 95.24% for malignant lesions. On the contrary, reports from the extramural radiologists showed a sensitivity and PPV of 76.92% and 66.67% for benign lesions and 14.28% and 60% for malignant lesions.</p><p><strong>Conclusion: </strong>A high radiological diagnostic accuracy is possible when analyzed by radiologists experienced in orbital imaging.</p>\",\"PeriodicalId\":18740,\"journal\":{\"name\":\"Middle East African Journal of Ophthalmology\",\"volume\":\"30 2\",\"pages\":\"98-102\"},\"PeriodicalIF\":0.3000,\"publicationDate\":\"2024-06-14\",\"publicationTypes\":\"Journal Article\",\"fieldsOfStudy\":null,\"isOpenAccess\":false,\"openAccessPdf\":\"https://www.ncbi.nlm.nih.gov/pmc/articles/PMC11238925/pdf/\",\"citationCount\":\"0\",\"resultStr\":null,\"platform\":\"Semanticscholar\",\"paperid\":null,\"PeriodicalName\":\"Middle East African Journal of Ophthalmology\",\"FirstCategoryId\":\"1085\",\"ListUrlMain\":\"https://doi.org/10.4103/meajo.meajo_7_23\",\"RegionNum\":0,\"RegionCategory\":null,\"ArticlePicture\":[],\"TitleCN\":null,\"AbstractTextCN\":null,\"PMCID\":null,\"EPubDate\":\"2023/4/1 0:00:00\",\"PubModel\":\"eCollection\",\"JCR\":\"Q4\",\"JCRName\":\"OPHTHALMOLOGY\",\"Score\":null,\"Total\":0}","platform":"Semanticscholar","paperid":null,"PeriodicalName":"Middle East African Journal of Ophthalmology","FirstCategoryId":"1085","ListUrlMain":"https://doi.org/10.4103/meajo.meajo_7_23","RegionNum":0,"RegionCategory":null,"ArticlePicture":[],"TitleCN":null,"AbstractTextCN":null,"PMCID":null,"EPubDate":"2023/4/1 0:00:00","PubModel":"eCollection","JCR":"Q4","JCRName":"OPHTHALMOLOGY","Score":null,"Total":0}
引用次数: 0

摘要

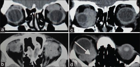
目的:旨在分析眼眶病变的放射学诊断及其与最终组织病理学结果的相关性。我们比较了外部放射科医生和内部专门从事眼眶成像的放射科医生的初步报告,以评估眼眶成像诊断的准确性:这是一项回顾性病历审查,对象是 7 年间转诊到南印度一家三级眼科医疗中心的 40 名患者。这些患者已经在其他地方做了眼眶造影。内部放射科医生重新评估了影像学检查结果。放射学检查结果与组织病理学诊断结果相互关联。比较了两位放射科医生的诊断准确性。计算了两组患者区分恶性和良性病变的敏感性、特异性、阳性预测值(PPV)和阴性预测值。分析了两组放射诊断对肿瘤性和炎症性病变的敏感性和 PPV:本院放射科医生和院外放射科医生区分恶性病变和良性病变及炎症性病变的准确率分别为 95% (κ = 0.9 [0.764, 0.997])和 50% (κ = 0.036 [-0.160, 0.232])。本院放射科医生对良性病变的放射诊断灵敏度和 PPV 分别为 93.31% 和 100%,对恶性病变的灵敏度和 PPV 分别为 95.24% 和 95.24%。相反,外部放射科医生的报告显示,良性病变的敏感性和 PPV 分别为 76.92% 和 66.67%,恶性病变的敏感性和 PPV 分别为 14.28% 和 60%:结论:如果由在眼眶成像方面经验丰富的放射科医生进行分析,放射诊断的准确性会很高。
本文章由计算机程序翻译,如有差异,请以英文原文为准。

Radiopathological Correlation in Orbital Lesions.

Radiopathological Correlation in Orbital Lesions.

Radiopathological Correlation in Orbital Lesions.

Purpose: The objective is to analyze the radiological diagnosis of orbital lesions and their correlation with the final histopathological findings. We compared the initial reports by extramural radiologists and an in-house radiologist specialized in orbital imaging to evaluate the diagnostic accuracy in the interpretation of orbital imaging.

Methods: This was a retrospective chart review of forty patients referred to a Tertiary Eye Care Center in South India over a period of 7 years. These patients already had their imaging done elsewhere. The imaging was re-evaluated by an in-house radiologist. The radiological findings were correlated with the histopathological diagnosis. The diagnostic accuracy between the two radiologists was compared. The sensitivity, specificity, positive predictive value (PPV), and negative predictive value in differentiating malignant from benign lesions were calculated in both groups. The sensitivity and PPV of the radiological diagnosis for neoplastic and inflammatory lesions in both groups were analyzed.

Results: The accuracy in differentiating malignant from benign and inflammatory lesions by our in-house radiologist and extramural radiologists was 95% (κ = 0.9 [0.764, 0.997]) and 50% (κ = 0.036 [-0.160, 0.232]), respectively. The sensitivity and PPV of the radiological diagnosis by our in-house radiologist were 93.31% and 100% for benign lesions and 95.24% and 95.24% for malignant lesions. On the contrary, reports from the extramural radiologists showed a sensitivity and PPV of 76.92% and 66.67% for benign lesions and 14.28% and 60% for malignant lesions.

Conclusion: A high radiological diagnostic accuracy is possible when analyzed by radiologists experienced in orbital imaging.

求助全文
通过发布文献求助,成功后即可免费获取论文全文。 去求助
来源期刊
CiteScore
1.40
自引率
0.00%
发文量
1
期刊介绍: The Middle East African Journal of Ophthalmology (MEAJO), published four times per year in print and online, is an official journal of the Middle East African Council of Ophthalmology (MEACO). It is an international, peer-reviewed journal whose mission includes publication of original research of interest to ophthalmologists in the Middle East and Africa, and to provide readers with high quality educational review articles from world-renown experts. MEAJO, previously known as Middle East Journal of Ophthalmology (MEJO) was founded by Dr Akef El Maghraby in 1993.
×
引用
GB/T 7714-2015
复制
MLA
复制
APA
复制
导出至
BibTeX EndNote RefMan NoteFirst NoteExpress
×
提示
您的信息不完整,为了账户安全,请先补充。
现在去补充
×
提示
您因"违规操作"
具体请查看互助需知
我知道了
×
提示
确定
请完成安全验证×
copy
已复制链接
快去分享给好友吧!
我知道了
右上角分享
点击右上角分享
0
联系我们:info@booksci.cn Book学术提供免费学术资源搜索服务,方便国内外学者检索中英文文献。致力于提供最便捷和优质的服务体验。 Copyright © 2023 布克学术 All rights reserved.
京ICP备2023020795号-1
ghs 京公网安备 11010802042870号
Book学术文献互助
Book学术文献互助群
群 号:604180095
Book学术官方微信