成功评估基于图像的腕管综合征诊断新参数:对患者、健康志愿者和尸体的纵向正中神经滑动进行超声评估。

IF 3.4 3区 医学 Q1 REHABILITATION
Tobias Rossmann, Paata Pruidze, Michael Veldeman, Wolfgang J Weninger, Wolfgang Grisold, Ke-Vin Chang, Stefan Meng
{"title":"成功评估基于图像的腕管综合征诊断新参数:对患者、健康志愿者和尸体的纵向正中神经滑动进行超声评估。","authors":"Tobias Rossmann, Paata Pruidze, Michael Veldeman, Wolfgang J Weninger, Wolfgang Grisold, Ke-Vin Chang, Stefan Meng","doi":"10.23736/S1973-9087.24.08491-0","DOIUrl":null,"url":null,"abstract":"<p><strong>Background: </strong>Reduced longitudinal median nerve gliding is a new promising diagnostic feature in carpal tunnel syndrome (CTS). However, the complexity of existing ultrasound analysis protocols undermines the application in routine clinical practice.</p><p><strong>Aim: </strong>To provide a simple method for assessing longitudinal gliding with ultrasound, without the need for post-hoc image analysis.</p><p><strong>Design: </strong>1) Retrospective cohort study, validation by external blinded reviewers; 2) proof of concept in body donors.</p><p><strong>Setting: </strong>1) Outpatient clinic; 2) anatomy department.</p><p><strong>Population: </strong>The population included 48 patients with idiopathic CTS diagnosed by electrodiagnostic testing and ultrasound, as well as 15 healthy controls. Twelve, non-frozen, non-embalmed body donors were enrolled.</p><p><strong>Methods: </strong>Longitudinal gliding of the median nerve in the carpal tunnel was visualized in all patients with idiopathic CTS and healthy controls. All ultrasound videos were pseudonymized, equipped with a scale, and randomized. Videos were analyzed by four independent radiologists, all blinded to clinical characteristics. The endpoint was gliding rated as millimeters. Validity of the technique was tested by using speckle tracking software, and in body donors, directly measuring nerve excursion in situ, simultaneously to ultrasound.</p><p><strong>Results: </strong>Gliding differed significantly between controls and patients with CTS, decreasing with incremental CTS severity. A cut-off value of 3.5 mm to identify patients with CTS, yielded 93.8% sensitivity and 93.3% specificity. Intraclass correlation coefficient among senior author and raters was 0.798 (95% CI 0.513 to 0.900, P<0.001), indicating good reliability. Speckle tracking and especially direct validation in body donors correlated well with ultrasound findings.</p><p><strong>Conclusions: </strong>First, longitudinal median nerve gliding can reliably be assessed using this simple technique without the need for complicated procedures. Second, a decrease in gliding was found with progressive severity of CTS. Reproducibility for measured distances is good among raters.</p><p><strong>Clinical rehabilitation impact: </strong>An easy to apply sonography parameter would bolster the diagnostic ability of specialists in physical medicine and rehabilitation in daily routine.</p>","PeriodicalId":12044,"journal":{"name":"European journal of physical and rehabilitation medicine","volume":" ","pages":"671-679"},"PeriodicalIF":3.4000,"publicationDate":"2024-08-01","publicationTypes":"Journal Article","fieldsOfStudy":null,"isOpenAccess":false,"openAccessPdf":"https://www.ncbi.nlm.nih.gov/pmc/articles/PMC11407101/pdf/","citationCount":"0","resultStr":"{\"title\":\"Successful evaluation of a new image-based parameter for the diagnosis of carpal tunnel syndrome: ultrasound assessment of longitudinal median nerve gliding in patients, healthy volunteers, and cadavers.\",\"authors\":\"Tobias Rossmann, Paata Pruidze, Michael Veldeman, Wolfgang J Weninger, Wolfgang Grisold, Ke-Vin Chang, Stefan Meng\",\"doi\":\"10.23736/S1973-9087.24.08491-0\",\"DOIUrl\":null,\"url\":null,\"abstract\":\"<p><strong>Background: </strong>Reduced longitudinal median nerve gliding is a new promising diagnostic feature in carpal tunnel syndrome (CTS). However, the complexity of existing ultrasound analysis protocols undermines the application in routine clinical practice.</p><p><strong>Aim: </strong>To provide a simple method for assessing longitudinal gliding with ultrasound, without the need for post-hoc image analysis.</p><p><strong>Design: </strong>1) Retrospective cohort study, validation by external blinded reviewers; 2) proof of concept in body donors.</p><p><strong>Setting: </strong>1) Outpatient clinic; 2) anatomy department.</p><p><strong>Population: </strong>The population included 48 patients with idiopathic CTS diagnosed by electrodiagnostic testing and ultrasound, as well as 15 healthy controls. Twelve, non-frozen, non-embalmed body donors were enrolled.</p><p><strong>Methods: </strong>Longitudinal gliding of the median nerve in the carpal tunnel was visualized in all patients with idiopathic CTS and healthy controls. All ultrasound videos were pseudonymized, equipped with a scale, and randomized. Videos were analyzed by four independent radiologists, all blinded to clinical characteristics. The endpoint was gliding rated as millimeters. Validity of the technique was tested by using speckle tracking software, and in body donors, directly measuring nerve excursion in situ, simultaneously to ultrasound.</p><p><strong>Results: </strong>Gliding differed significantly between controls and patients with CTS, decreasing with incremental CTS severity. A cut-off value of 3.5 mm to identify patients with CTS, yielded 93.8% sensitivity and 93.3% specificity. Intraclass correlation coefficient among senior author and raters was 0.798 (95% CI 0.513 to 0.900, P<0.001), indicating good reliability. Speckle tracking and especially direct validation in body donors correlated well with ultrasound findings.</p><p><strong>Conclusions: </strong>First, longitudinal median nerve gliding can reliably be assessed using this simple technique without the need for complicated procedures. Second, a decrease in gliding was found with progressive severity of CTS. Reproducibility for measured distances is good among raters.</p><p><strong>Clinical rehabilitation impact: </strong>An easy to apply sonography parameter would bolster the diagnostic ability of specialists in physical medicine and rehabilitation in daily routine.</p>\",\"PeriodicalId\":12044,\"journal\":{\"name\":\"European journal of physical and rehabilitation medicine\",\"volume\":\" \",\"pages\":\"671-679\"},\"PeriodicalIF\":3.4000,\"publicationDate\":\"2024-08-01\",\"publicationTypes\":\"Journal Article\",\"fieldsOfStudy\":null,\"isOpenAccess\":false,\"openAccessPdf\":\"https://www.ncbi.nlm.nih.gov/pmc/articles/PMC11407101/pdf/\",\"citationCount\":\"0\",\"resultStr\":null,\"platform\":\"Semanticscholar\",\"paperid\":null,\"PeriodicalName\":\"European journal of physical and rehabilitation medicine\",\"FirstCategoryId\":\"3\",\"ListUrlMain\":\"https://doi.org/10.23736/S1973-9087.24.08491-0\",\"RegionNum\":3,\"RegionCategory\":\"医学\",\"ArticlePicture\":[],\"TitleCN\":null,\"AbstractTextCN\":null,\"PMCID\":null,\"EPubDate\":\"2024/7/15 0:00:00\",\"PubModel\":\"Epub\",\"JCR\":\"Q1\",\"JCRName\":\"REHABILITATION\",\"Score\":null,\"Total\":0}","platform":"Semanticscholar","paperid":null,"PeriodicalName":"European journal of physical and rehabilitation medicine","FirstCategoryId":"3","ListUrlMain":"https://doi.org/10.23736/S1973-9087.24.08491-0","RegionNum":3,"RegionCategory":"医学","ArticlePicture":[],"TitleCN":null,"AbstractTextCN":null,"PMCID":null,"EPubDate":"2024/7/15 0:00:00","PubModel":"Epub","JCR":"Q1","JCRName":"REHABILITATION","Score":null,"Total":0}
引用次数: 0

摘要

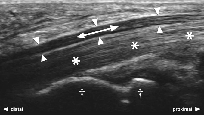
背景:正中神经纵向滑动减少是腕管综合征(CTS)的一个新的诊断特征。设计:1)回顾性队列研究,由外部盲审稿人验证;2)供体概念验证:1)门诊;2)解剖部门:研究对象包括 48 名通过电诊断测试和超声波检查确诊的特发性 CTS 患者,以及 15 名健康对照者。方法:正中神经纵向滑行:方法:对所有特发性 CTS 患者和健康对照组的正中神经在腕管内的纵向滑动情况进行观察。所有超声波视频均为化名,配有刻度,并进行了随机化处理。视频由四位独立的放射科医生进行分析,所有医生均对临床特征保密。终点是以毫米为单位的滑动。该技术的有效性通过使用斑点追踪软件进行测试,在人体捐献者中,直接在原位测量神经偏移,同时进行超声波检查:结果:对照组和 CTS 患者的滑动明显不同,随着 CTS 严重程度的增加而减少。以 3.5 毫米为临界值识别 CTS 患者,灵敏度为 93.8%,特异度为 93.3%。资深作者与评分者之间的类内相关系数为 0.798(95% CI 0.513 至 0.900,PC 结论):首先,使用这种简单的技术可以可靠地评估正中神经纵向滑动,而无需复杂的程序。其次,随着 CTS 病情的逐渐严重,正中神经的滑行能力也会下降。评定者之间测量距离的再现性良好:对临床康复的影响:简单易用的超声参数将提高物理医学和康复专家的日常诊断能力。
本文章由计算机程序翻译,如有差异,请以英文原文为准。

Successful evaluation of a new image-based parameter for the diagnosis of carpal tunnel syndrome: ultrasound assessment of longitudinal median nerve gliding in patients, healthy volunteers, and cadavers.

Successful evaluation of a new image-based parameter for the diagnosis of carpal tunnel syndrome: ultrasound assessment of longitudinal median nerve gliding in patients, healthy volunteers, and cadavers.

Successful evaluation of a new image-based parameter for the diagnosis of carpal tunnel syndrome: ultrasound assessment of longitudinal median nerve gliding in patients, healthy volunteers, and cadavers.

Successful evaluation of a new image-based parameter for the diagnosis of carpal tunnel syndrome: ultrasound assessment of longitudinal median nerve gliding in patients, healthy volunteers, and cadavers.

Background: Reduced longitudinal median nerve gliding is a new promising diagnostic feature in carpal tunnel syndrome (CTS). However, the complexity of existing ultrasound analysis protocols undermines the application in routine clinical practice.

Aim: To provide a simple method for assessing longitudinal gliding with ultrasound, without the need for post-hoc image analysis.

Design: 1) Retrospective cohort study, validation by external blinded reviewers; 2) proof of concept in body donors.

Setting: 1) Outpatient clinic; 2) anatomy department.

Population: The population included 48 patients with idiopathic CTS diagnosed by electrodiagnostic testing and ultrasound, as well as 15 healthy controls. Twelve, non-frozen, non-embalmed body donors were enrolled.

Methods: Longitudinal gliding of the median nerve in the carpal tunnel was visualized in all patients with idiopathic CTS and healthy controls. All ultrasound videos were pseudonymized, equipped with a scale, and randomized. Videos were analyzed by four independent radiologists, all blinded to clinical characteristics. The endpoint was gliding rated as millimeters. Validity of the technique was tested by using speckle tracking software, and in body donors, directly measuring nerve excursion in situ, simultaneously to ultrasound.

Results: Gliding differed significantly between controls and patients with CTS, decreasing with incremental CTS severity. A cut-off value of 3.5 mm to identify patients with CTS, yielded 93.8% sensitivity and 93.3% specificity. Intraclass correlation coefficient among senior author and raters was 0.798 (95% CI 0.513 to 0.900, P<0.001), indicating good reliability. Speckle tracking and especially direct validation in body donors correlated well with ultrasound findings.

Conclusions: First, longitudinal median nerve gliding can reliably be assessed using this simple technique without the need for complicated procedures. Second, a decrease in gliding was found with progressive severity of CTS. Reproducibility for measured distances is good among raters.

Clinical rehabilitation impact: An easy to apply sonography parameter would bolster the diagnostic ability of specialists in physical medicine and rehabilitation in daily routine.

求助全文
通过发布文献求助,成功后即可免费获取论文全文。 去求助
来源期刊
CiteScore
8.50
自引率
4.40%
发文量
162
审稿时长
6-12 weeks
期刊介绍: The European Journal of Physical and Rehabilitation Medicine publishes papers of clinical interest in physical and rehabilitation medicine.
×
引用
GB/T 7714-2015
复制
MLA
复制
APA
复制
导出至
BibTeX EndNote RefMan NoteFirst NoteExpress
×
提示
您的信息不完整,为了账户安全,请先补充。
现在去补充
×
提示
您因"违规操作"
具体请查看互助需知
我知道了
×
提示
确定
请完成安全验证×
copy
已复制链接
快去分享给好友吧!
我知道了
右上角分享
点击右上角分享
0
联系我们:info@booksci.cn Book学术提供免费学术资源搜索服务,方便国内外学者检索中英文文献。致力于提供最便捷和优质的服务体验。 Copyright © 2023 布克学术 All rights reserved.
京ICP备2023020795号-1
ghs 京公网安备 11010802042870号
Book学术文献互助
Book学术文献互助群
群 号:604180095
Book学术官方微信