急性钙化性关节周围炎的影像学发现,重点是磁共振成像:图解文章。

Q3 Medicine
Radiologia Brasileira Pub Date : 2024-05-07 eCollection Date: 2024-01-01 DOI:10.1590/0100-3984.2023.0126-en
Letícia Bianco Gomes de Almeida, Marcelo Mantiolhe Martins, Vinícius Neves Marcos
{"title":"急性钙化性关节周围炎的影像学发现,重点是磁共振成像:图解文章。","authors":"Letícia Bianco Gomes de Almeida, Marcelo Mantiolhe Martins, Vinícius Neves Marcos","doi":"10.1590/0100-3984.2023.0126-en","DOIUrl":null,"url":null,"abstract":"<p><p>Acute calcific periarthritis (ACP) is defined as periarticular inflammation associated with intra-articular deposits of hydroxyapatite and other basic calcium phosphate crystals. Patients with ACP present with a sudden onset of pain, together with localized swelling, as well as erythema, tenderness, and reduced range of motion. Familiarity with the clinical and radiological manifestations of ACP aids in the diagnosis and helps differentiate it from other conditions, particularly infectious or inflammatory pathologies such as septic arthritis and gout, thereby reducing the number of unnecessary diagnostic and therapeutic procedures. The objective of this pictorial essay is to illustrate the imaging findings of ACP in various joints, with an emphasis on the findings obtained by magnetic resonance imaging.</p>","PeriodicalId":20842,"journal":{"name":"Radiologia Brasileira","volume":"57 ","pages":"e20230126en"},"PeriodicalIF":0.0000,"publicationDate":"2024-05-07","publicationTypes":"Journal Article","fieldsOfStudy":null,"isOpenAccess":false,"openAccessPdf":"https://www.ncbi.nlm.nih.gov/pmc/articles/PMC11235058/pdf/","citationCount":"0","resultStr":"{\"title\":\"Imaging findings of acute calcific periarthritis, with emphasis on magnetic resonance imaging: pictorial essay.\",\"authors\":\"Letícia Bianco Gomes de Almeida, Marcelo Mantiolhe Martins, Vinícius Neves Marcos\",\"doi\":\"10.1590/0100-3984.2023.0126-en\",\"DOIUrl\":null,\"url\":null,\"abstract\":\"<p><p>Acute calcific periarthritis (ACP) is defined as periarticular inflammation associated with intra-articular deposits of hydroxyapatite and other basic calcium phosphate crystals. Patients with ACP present with a sudden onset of pain, together with localized swelling, as well as erythema, tenderness, and reduced range of motion. Familiarity with the clinical and radiological manifestations of ACP aids in the diagnosis and helps differentiate it from other conditions, particularly infectious or inflammatory pathologies such as septic arthritis and gout, thereby reducing the number of unnecessary diagnostic and therapeutic procedures. The objective of this pictorial essay is to illustrate the imaging findings of ACP in various joints, with an emphasis on the findings obtained by magnetic resonance imaging.</p>\",\"PeriodicalId\":20842,\"journal\":{\"name\":\"Radiologia Brasileira\",\"volume\":\"57 \",\"pages\":\"e20230126en\"},\"PeriodicalIF\":0.0000,\"publicationDate\":\"2024-05-07\",\"publicationTypes\":\"Journal Article\",\"fieldsOfStudy\":null,\"isOpenAccess\":false,\"openAccessPdf\":\"https://www.ncbi.nlm.nih.gov/pmc/articles/PMC11235058/pdf/\",\"citationCount\":\"0\",\"resultStr\":null,\"platform\":\"Semanticscholar\",\"paperid\":null,\"PeriodicalName\":\"Radiologia Brasileira\",\"FirstCategoryId\":\"1085\",\"ListUrlMain\":\"https://doi.org/10.1590/0100-3984.2023.0126-en\",\"RegionNum\":0,\"RegionCategory\":null,\"ArticlePicture\":[],\"TitleCN\":null,\"AbstractTextCN\":null,\"PMCID\":null,\"EPubDate\":\"2024/1/1 0:00:00\",\"PubModel\":\"eCollection\",\"JCR\":\"Q3\",\"JCRName\":\"Medicine\",\"Score\":null,\"Total\":0}","platform":"Semanticscholar","paperid":null,"PeriodicalName":"Radiologia Brasileira","FirstCategoryId":"1085","ListUrlMain":"https://doi.org/10.1590/0100-3984.2023.0126-en","RegionNum":0,"RegionCategory":null,"ArticlePicture":[],"TitleCN":null,"AbstractTextCN":null,"PMCID":null,"EPubDate":"2024/1/1 0:00:00","PubModel":"eCollection","JCR":"Q3","JCRName":"Medicine","Score":null,"Total":0}
引用次数: 0

摘要

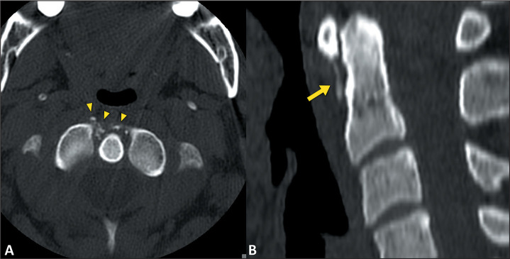
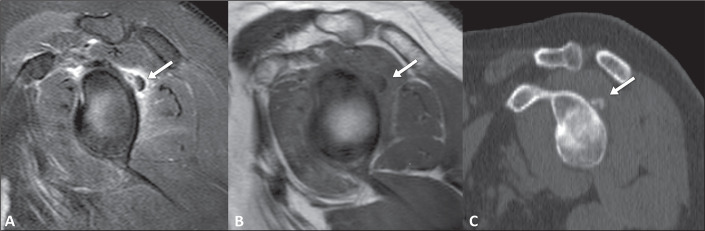
急性钙化性关节周围炎(ACP)是指与羟基磷灰石和其他碱性磷酸钙晶体在关节内沉积有关的关节周围炎。ACP 患者会突然出现疼痛、局部肿胀、红斑、压痛和活动范围减小。熟悉 ACP 的临床和影像学表现有助于诊断,并有助于将其与其他疾病(尤其是感染性或炎症性病变,如化脓性关节炎和痛风)区分开来,从而减少不必要的诊断和治疗过程。这篇图文并茂的文章旨在说明 ACP 在不同关节中的成像结果,重点是磁共振成像的结果。
本文章由计算机程序翻译,如有差异,请以英文原文为准。

Imaging findings of acute calcific periarthritis, with emphasis on magnetic resonance imaging: pictorial essay.

Imaging findings of acute calcific periarthritis, with emphasis on magnetic resonance imaging: pictorial essay.

Imaging findings of acute calcific periarthritis, with emphasis on magnetic resonance imaging: pictorial essay.

Imaging findings of acute calcific periarthritis, with emphasis on magnetic resonance imaging: pictorial essay.

Acute calcific periarthritis (ACP) is defined as periarticular inflammation associated with intra-articular deposits of hydroxyapatite and other basic calcium phosphate crystals. Patients with ACP present with a sudden onset of pain, together with localized swelling, as well as erythema, tenderness, and reduced range of motion. Familiarity with the clinical and radiological manifestations of ACP aids in the diagnosis and helps differentiate it from other conditions, particularly infectious or inflammatory pathologies such as septic arthritis and gout, thereby reducing the number of unnecessary diagnostic and therapeutic procedures. The objective of this pictorial essay is to illustrate the imaging findings of ACP in various joints, with an emphasis on the findings obtained by magnetic resonance imaging.

求助全文
通过发布文献求助,成功后即可免费获取论文全文。 去求助
来源期刊
Radiologia Brasileira
Radiologia Brasileira Medicine-Radiology, Nuclear Medicine and Imaging
CiteScore
2.60
自引率
0.00%
发文量
75
审稿时长
28 weeks
×
引用
GB/T 7714-2015
复制
MLA
复制
APA
复制
导出至
BibTeX EndNote RefMan NoteFirst NoteExpress
×
提示
您的信息不完整,为了账户安全,请先补充。
现在去补充
×
提示
您因"违规操作"
具体请查看互助需知
我知道了
×
提示
确定
请完成安全验证×
copy
已复制链接
快去分享给好友吧!
我知道了
右上角分享
点击右上角分享
0
联系我们:info@booksci.cn Book学术提供免费学术资源搜索服务,方便国内外学者检索中英文文献。致力于提供最便捷和优质的服务体验。 Copyright © 2023 布克学术 All rights reserved.
京ICP备2023020795号-1
ghs 京公网安备 11010802042870号
Book学术文献互助
Book学术文献互助群
群 号:604180095
Book学术官方微信