带有光敏剂的高功能十二指肠支架可用于代谢综合征的光动力疗法:猪模型的可行性和安全性研究。

IF 4.1 3区 医学 Q1 ENGINEERING, BIOMEDICAL
APL Bioengineering Pub Date : 2024-07-02 eCollection Date: 2024-09-01 DOI:10.1063/5.0206328
Chan Su Park, Hyun Jin Park, Ji Hoon Park, Jin Hee Lee, Hyun Jung Kee, Jung-Hoon Park, Jung Hyun Jo, Hee Seung Lee, Cheol Ryong Ku, Jeong Youp Park, Seungmin Bang, Jung Min Song, Kun Na, Sung Kwon Kang, Hwoon-Yong Jung, Moon Jae Chung
{"title":"带有光敏剂的高功能十二指肠支架可用于代谢综合征的光动力疗法:猪模型的可行性和安全性研究。","authors":"Chan Su Park, Hyun Jin Park, Ji Hoon Park, Jin Hee Lee, Hyun Jung Kee, Jung-Hoon Park, Jung Hyun Jo, Hee Seung Lee, Cheol Ryong Ku, Jeong Youp Park, Seungmin Bang, Jung Min Song, Kun Na, Sung Kwon Kang, Hwoon-Yong Jung, Moon Jae Chung","doi":"10.1063/5.0206328","DOIUrl":null,"url":null,"abstract":"<p><p>Duodenal mucosal resurfacing (DMR) by thermal ablation of the duodenal mucosa is a minimally invasive endoscopic procedure for controlling metabolic syndrome (MS). However, thermal energy can cause adverse effects due to deep mucosal injury, necessitating an additional mucosal lifting process, which complicate the procedures. Therefore, we aimed to develop a similar procedure using non-thermal photodynamic therapy (PDT) for DMR using a highly functional metal stent covered with photosensitizers (PSs) to minimize the potential risks of thermal ablation injury. We developed a novel PS stent enabling the controlled release of radical oxygen species with specific structures to prevent stent migration and duodenal stricture after ablation and performed an animal study (n = 8) to demonstrate the feasibility and safety of PDT for DMR. The stents were placed for 7 days to prevent duodenal strictures after PDT. To confirm PDT efficacy, we stained for gastric inhibitory polypeptide (GIP) and glucose transporter isoform 1. The PS stents were deployed, and PDT was applied without evidence of duodenal stricture, pancreatitis, or hemorrhage in any of the pigs. Microscopic evaluation indicated apoptosis of the mucosal cells in the irradiated duodenum on days 7 and 14, which recovered after day 28. Immunohistochemistry revealed suppressed GIP expression in the mucosal wall of the irradiated duodenum. Endoscopic PDT for DMR using PS stents could be applied safely in a porcine model and may result in decreased GIP secretion, which is a crucial mechanism in MS treatment. Further clinical studies are required to explore its safety and efficacy in patients with MS.</p>","PeriodicalId":46288,"journal":{"name":"APL Bioengineering","volume":"8 3","pages":"036103"},"PeriodicalIF":4.1000,"publicationDate":"2024-07-02","publicationTypes":"Journal Article","fieldsOfStudy":null,"isOpenAccess":false,"openAccessPdf":"https://www.ncbi.nlm.nih.gov/pmc/articles/PMC11232116/pdf/","citationCount":"0","resultStr":"{\"title\":\"Highly functional duodenal stent with photosensitizers enables photodynamic therapy for metabolic syndrome treatment: Feasibility and safety study in a porcine model.\",\"authors\":\"Chan Su Park, Hyun Jin Park, Ji Hoon Park, Jin Hee Lee, Hyun Jung Kee, Jung-Hoon Park, Jung Hyun Jo, Hee Seung Lee, Cheol Ryong Ku, Jeong Youp Park, Seungmin Bang, Jung Min Song, Kun Na, Sung Kwon Kang, Hwoon-Yong Jung, Moon Jae Chung\",\"doi\":\"10.1063/5.0206328\",\"DOIUrl\":null,\"url\":null,\"abstract\":\"<p><p>Duodenal mucosal resurfacing (DMR) by thermal ablation of the duodenal mucosa is a minimally invasive endoscopic procedure for controlling metabolic syndrome (MS). However, thermal energy can cause adverse effects due to deep mucosal injury, necessitating an additional mucosal lifting process, which complicate the procedures. Therefore, we aimed to develop a similar procedure using non-thermal photodynamic therapy (PDT) for DMR using a highly functional metal stent covered with photosensitizers (PSs) to minimize the potential risks of thermal ablation injury. We developed a novel PS stent enabling the controlled release of radical oxygen species with specific structures to prevent stent migration and duodenal stricture after ablation and performed an animal study (n = 8) to demonstrate the feasibility and safety of PDT for DMR. The stents were placed for 7 days to prevent duodenal strictures after PDT. To confirm PDT efficacy, we stained for gastric inhibitory polypeptide (GIP) and glucose transporter isoform 1. The PS stents were deployed, and PDT was applied without evidence of duodenal stricture, pancreatitis, or hemorrhage in any of the pigs. Microscopic evaluation indicated apoptosis of the mucosal cells in the irradiated duodenum on days 7 and 14, which recovered after day 28. Immunohistochemistry revealed suppressed GIP expression in the mucosal wall of the irradiated duodenum. Endoscopic PDT for DMR using PS stents could be applied safely in a porcine model and may result in decreased GIP secretion, which is a crucial mechanism in MS treatment. Further clinical studies are required to explore its safety and efficacy in patients with MS.</p>\",\"PeriodicalId\":46288,\"journal\":{\"name\":\"APL Bioengineering\",\"volume\":\"8 3\",\"pages\":\"036103\"},\"PeriodicalIF\":4.1000,\"publicationDate\":\"2024-07-02\",\"publicationTypes\":\"Journal Article\",\"fieldsOfStudy\":null,\"isOpenAccess\":false,\"openAccessPdf\":\"https://www.ncbi.nlm.nih.gov/pmc/articles/PMC11232116/pdf/\",\"citationCount\":\"0\",\"resultStr\":null,\"platform\":\"Semanticscholar\",\"paperid\":null,\"PeriodicalName\":\"APL Bioengineering\",\"FirstCategoryId\":\"5\",\"ListUrlMain\":\"https://doi.org/10.1063/5.0206328\",\"RegionNum\":3,\"RegionCategory\":\"医学\",\"ArticlePicture\":[],\"TitleCN\":null,\"AbstractTextCN\":null,\"PMCID\":null,\"EPubDate\":\"2024/9/1 0:00:00\",\"PubModel\":\"eCollection\",\"JCR\":\"Q1\",\"JCRName\":\"ENGINEERING, BIOMEDICAL\",\"Score\":null,\"Total\":0}","platform":"Semanticscholar","paperid":null,"PeriodicalName":"APL Bioengineering","FirstCategoryId":"5","ListUrlMain":"https://doi.org/10.1063/5.0206328","RegionNum":3,"RegionCategory":"医学","ArticlePicture":[],"TitleCN":null,"AbstractTextCN":null,"PMCID":null,"EPubDate":"2024/9/1 0:00:00","PubModel":"eCollection","JCR":"Q1","JCRName":"ENGINEERING, BIOMEDICAL","Score":null,"Total":0}
引用次数: 0

摘要

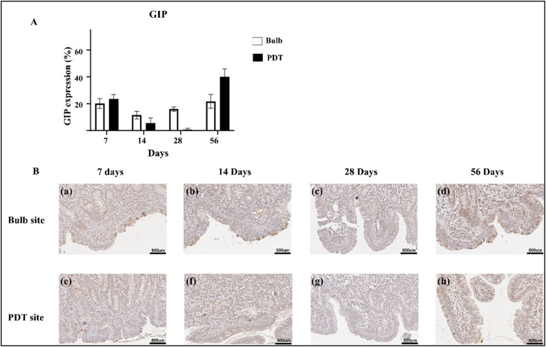
十二指肠粘膜热消融术(DMR)是一种控制代谢综合征(MS)的微创内窥镜手术。然而,热能可能会因深层粘膜损伤而造成不良影响,因此需要额外的粘膜提升过程,从而使手术复杂化。因此,我们旨在开发一种类似的非热性光动力疗法(PDT)DMR 程序,使用一种覆盖有光敏剂(PSs)的高功能金属支架,以最大限度地降低热消融损伤的潜在风险。我们开发了一种新型光敏剂支架,可控制释放具有特定结构的自由基氧物种,防止消融后支架移位和十二指肠狭窄,并进行了一项动物实验(n = 8),以证明 PDT 治疗 DMR 的可行性和安全性。支架放置了 7 天,以防止 PDT 后出现十二指肠狭窄。为确认光动力疗法的疗效,我们对胃抑制多肽(GIP)和葡萄糖转运体同工酶 1 进行了染色。PS支架安装完毕后,进行了PDT治疗,没有发现任何猪出现十二指肠狭窄、胰腺炎或出血。显微镜评估显示,照射后的十二指肠粘膜细胞在第 7 天和第 14 天凋亡,第 28 天后恢复。免疫组化显示,受照射的十二指肠粘膜壁的 GIP 表达受到抑制。使用 PS 支架的内镜光导治疗 DMR 可在猪模型中安全应用,并可能导致 GIP 分泌减少,而 GIP 分泌减少是 MS 治疗的关键机制。还需要进一步的临床研究来探讨其对多发性硬化症患者的安全性和有效性。
本文章由计算机程序翻译,如有差异,请以英文原文为准。

Highly functional duodenal stent with photosensitizers enables photodynamic therapy for metabolic syndrome treatment: Feasibility and safety study in a porcine model.

Highly functional duodenal stent with photosensitizers enables photodynamic therapy for metabolic syndrome treatment: Feasibility and safety study in a porcine model.

Highly functional duodenal stent with photosensitizers enables photodynamic therapy for metabolic syndrome treatment: Feasibility and safety study in a porcine model.

Highly functional duodenal stent with photosensitizers enables photodynamic therapy for metabolic syndrome treatment: Feasibility and safety study in a porcine model.

Duodenal mucosal resurfacing (DMR) by thermal ablation of the duodenal mucosa is a minimally invasive endoscopic procedure for controlling metabolic syndrome (MS). However, thermal energy can cause adverse effects due to deep mucosal injury, necessitating an additional mucosal lifting process, which complicate the procedures. Therefore, we aimed to develop a similar procedure using non-thermal photodynamic therapy (PDT) for DMR using a highly functional metal stent covered with photosensitizers (PSs) to minimize the potential risks of thermal ablation injury. We developed a novel PS stent enabling the controlled release of radical oxygen species with specific structures to prevent stent migration and duodenal stricture after ablation and performed an animal study (n = 8) to demonstrate the feasibility and safety of PDT for DMR. The stents were placed for 7 days to prevent duodenal strictures after PDT. To confirm PDT efficacy, we stained for gastric inhibitory polypeptide (GIP) and glucose transporter isoform 1. The PS stents were deployed, and PDT was applied without evidence of duodenal stricture, pancreatitis, or hemorrhage in any of the pigs. Microscopic evaluation indicated apoptosis of the mucosal cells in the irradiated duodenum on days 7 and 14, which recovered after day 28. Immunohistochemistry revealed suppressed GIP expression in the mucosal wall of the irradiated duodenum. Endoscopic PDT for DMR using PS stents could be applied safely in a porcine model and may result in decreased GIP secretion, which is a crucial mechanism in MS treatment. Further clinical studies are required to explore its safety and efficacy in patients with MS.

求助全文
通过发布文献求助,成功后即可免费获取论文全文。 去求助
来源期刊
APL Bioengineering
APL Bioengineering ENGINEERING, BIOMEDICAL-
CiteScore
9.30
自引率
6.70%
发文量
39
审稿时长
19 weeks
期刊介绍: APL Bioengineering is devoted to research at the intersection of biology, physics, and engineering. The journal publishes high-impact manuscripts specific to the understanding and advancement of physics and engineering of biological systems. APL Bioengineering is the new home for the bioengineering and biomedical research communities. APL Bioengineering publishes original research articles, reviews, and perspectives. Topical coverage includes: -Biofabrication and Bioprinting -Biomedical Materials, Sensors, and Imaging -Engineered Living Systems -Cell and Tissue Engineering -Regenerative Medicine -Molecular, Cell, and Tissue Biomechanics -Systems Biology and Computational Biology
×
引用
GB/T 7714-2015
复制
MLA
复制
APA
复制
导出至
BibTeX EndNote RefMan NoteFirst NoteExpress
×
提示
您的信息不完整,为了账户安全,请先补充。
现在去补充
×
提示
您因"违规操作"
具体请查看互助需知
我知道了
×
提示
确定
请完成安全验证×
copy
已复制链接
快去分享给好友吧!
我知道了
右上角分享
点击右上角分享
0
联系我们:info@booksci.cn Book学术提供免费学术资源搜索服务,方便国内外学者检索中英文文献。致力于提供最便捷和优质的服务体验。 Copyright © 2023 布克学术 All rights reserved.
京ICP备2023020795号-1
ghs 京公网安备 11010802042870号
Book学术文献互助
Book学术文献互助群
群 号:604180095
Book学术官方微信