含蛹虫草素的聚乙二醇脂质体对阿脲诱导的大鼠糖尿病神经病变有保护作用:内质网应激和自噬之间的相互作用

IF 4.6 2区 生物学 Q1 BIOLOGY
Mahran Mohamed Abd El-Emam, Amany Behairy, Mahmoud Mostafa, Tarek Khamis, Noura M S Osman, Amira Ebrahim Alsemeh, Mohamed Fouad Mansour
{"title":"含蛹虫草素的聚乙二醇脂质体对阿脲诱导的大鼠糖尿病神经病变有保护作用:内质网应激和自噬之间的相互作用","authors":"Mahran Mohamed Abd El-Emam, Amany Behairy, Mahmoud Mostafa, Tarek Khamis, Noura M S Osman, Amira Ebrahim Alsemeh, Mohamed Fouad Mansour","doi":"10.1186/s40659-024-00521-1","DOIUrl":null,"url":null,"abstract":"<p><strong>Background: </strong>Diabetic neuropathy (DN) is recognized as a significant complication arising from diabetes mellitus (DM). Pathogenesis of DN is accelerated by endoplasmic reticulum (ER) stress, which inhibits autophagy and contributes to disease progression. Autophagy is a highly conserved mechanism crucial in mitigating cell death induced by ER stress. Chrysin, a naturally occurring flavonoid, can be found abundantly in honey, propolis, and various plant extracts. Despite possessing advantageous attributes such as being an antioxidant, anti-allergic, anti-inflammatory, anti-fibrotic, and anticancer agent, chrysin exhibits limited bioavailability. The current study aimed to produce a more bioavailable form of chrysin and discover how administering chrysin could alter the neuropathy induced by Alloxan in male rats.</p><p><strong>Methods: </strong>Chrysin was formulated using PEGylated liposomes to boost its bioavailability and formulation. Chrysin PEGylated liposomes (Chr-PLs) were characterized for particle size diameter, zeta potential, polydispersity index, transmission electron microscopy, and in vitro drug release. Rats were divided into four groups: control, Alloxan, metformin, and Chr-PLs. In order to determine Chr- PLs' antidiabetic activity and, by extension, its capacity to ameliorate DN, several experiments were carried out. These included measuring acetylcholinesterase, fasting blood glucose, insulin, genes dependent on autophagy or stress in the endoplasmic reticulum, and histopathological analysis.</p><p><strong>Results: </strong>According to the results, the prepared Chr-PLs exhibited an average particle size of approximately 134 nm. They displayed even distribution of particle sizes. The maximum entrapment efficiency of 90.48 ± 7.75% was achieved. Chr-PLs effectively decreased blood glucose levels by 67.7% and elevated serum acetylcholinesterase levels by 40% compared to diabetic rats. Additionally, Chr-PLs suppressed the expression of ER stress-related genes (ATF-6, CHOP, XBP-1, BiP, JNK, PI3K, Akt, and mTOR by 33%, 39.5%, 32.2%, 44.4%, 40.4%, 39.2%, 39%, and 35.9%, respectively). They also upregulated the miR-301a-5p expression levels by 513% and downregulated miR-301a-5p expression levels by 65%. They also boosted the expression of autophagic markers (AMPK, ULK1, Beclin 1, and LC3-II by 90.3%, 181%, 109%, and 78%, respectively) in the sciatic nerve. The histopathological analysis also showed that Chr-PLs inhibited sciatic nerve degeneration.</p><p><strong>Conclusion: </strong>The findings suggest that Chr-PLs may be helpful in the protection against DN via regulation of ER stress and autophagy.</p>","PeriodicalId":9084,"journal":{"name":"Biological Research","volume":"57 1","pages":"45"},"PeriodicalIF":4.6000,"publicationDate":"2024-07-09","publicationTypes":"Journal Article","fieldsOfStudy":null,"isOpenAccess":false,"openAccessPdf":"https://www.ncbi.nlm.nih.gov/pmc/articles/PMC11232158/pdf/","citationCount":"0","resultStr":"{\"title\":\"Chrysin-loaded PEGylated liposomes protect against alloxan-induced diabetic neuropathy in rats: the interplay between endoplasmic reticulum stress and autophagy.\",\"authors\":\"Mahran Mohamed Abd El-Emam, Amany Behairy, Mahmoud Mostafa, Tarek Khamis, Noura M S Osman, Amira Ebrahim Alsemeh, Mohamed Fouad Mansour\",\"doi\":\"10.1186/s40659-024-00521-1\",\"DOIUrl\":null,\"url\":null,\"abstract\":\"<p><strong>Background: </strong>Diabetic neuropathy (DN) is recognized as a significant complication arising from diabetes mellitus (DM). Pathogenesis of DN is accelerated by endoplasmic reticulum (ER) stress, which inhibits autophagy and contributes to disease progression. Autophagy is a highly conserved mechanism crucial in mitigating cell death induced by ER stress. Chrysin, a naturally occurring flavonoid, can be found abundantly in honey, propolis, and various plant extracts. Despite possessing advantageous attributes such as being an antioxidant, anti-allergic, anti-inflammatory, anti-fibrotic, and anticancer agent, chrysin exhibits limited bioavailability. The current study aimed to produce a more bioavailable form of chrysin and discover how administering chrysin could alter the neuropathy induced by Alloxan in male rats.</p><p><strong>Methods: </strong>Chrysin was formulated using PEGylated liposomes to boost its bioavailability and formulation. Chrysin PEGylated liposomes (Chr-PLs) were characterized for particle size diameter, zeta potential, polydispersity index, transmission electron microscopy, and in vitro drug release. Rats were divided into four groups: control, Alloxan, metformin, and Chr-PLs. In order to determine Chr- PLs' antidiabetic activity and, by extension, its capacity to ameliorate DN, several experiments were carried out. These included measuring acetylcholinesterase, fasting blood glucose, insulin, genes dependent on autophagy or stress in the endoplasmic reticulum, and histopathological analysis.</p><p><strong>Results: </strong>According to the results, the prepared Chr-PLs exhibited an average particle size of approximately 134 nm. They displayed even distribution of particle sizes. The maximum entrapment efficiency of 90.48 ± 7.75% was achieved. Chr-PLs effectively decreased blood glucose levels by 67.7% and elevated serum acetylcholinesterase levels by 40% compared to diabetic rats. Additionally, Chr-PLs suppressed the expression of ER stress-related genes (ATF-6, CHOP, XBP-1, BiP, JNK, PI3K, Akt, and mTOR by 33%, 39.5%, 32.2%, 44.4%, 40.4%, 39.2%, 39%, and 35.9%, respectively). They also upregulated the miR-301a-5p expression levels by 513% and downregulated miR-301a-5p expression levels by 65%. They also boosted the expression of autophagic markers (AMPK, ULK1, Beclin 1, and LC3-II by 90.3%, 181%, 109%, and 78%, respectively) in the sciatic nerve. The histopathological analysis also showed that Chr-PLs inhibited sciatic nerve degeneration.</p><p><strong>Conclusion: </strong>The findings suggest that Chr-PLs may be helpful in the protection against DN via regulation of ER stress and autophagy.</p>\",\"PeriodicalId\":9084,\"journal\":{\"name\":\"Biological Research\",\"volume\":\"57 1\",\"pages\":\"45\"},\"PeriodicalIF\":4.6000,\"publicationDate\":\"2024-07-09\",\"publicationTypes\":\"Journal Article\",\"fieldsOfStudy\":null,\"isOpenAccess\":false,\"openAccessPdf\":\"https://www.ncbi.nlm.nih.gov/pmc/articles/PMC11232158/pdf/\",\"citationCount\":\"0\",\"resultStr\":null,\"platform\":\"Semanticscholar\",\"paperid\":null,\"PeriodicalName\":\"Biological Research\",\"FirstCategoryId\":\"99\",\"ListUrlMain\":\"https://doi.org/10.1186/s40659-024-00521-1\",\"RegionNum\":2,\"RegionCategory\":\"生物学\",\"ArticlePicture\":[],\"TitleCN\":null,\"AbstractTextCN\":null,\"PMCID\":null,\"EPubDate\":\"\",\"PubModel\":\"\",\"JCR\":\"Q1\",\"JCRName\":\"BIOLOGY\",\"Score\":null,\"Total\":0}","platform":"Semanticscholar","paperid":null,"PeriodicalName":"Biological Research","FirstCategoryId":"99","ListUrlMain":"https://doi.org/10.1186/s40659-024-00521-1","RegionNum":2,"RegionCategory":"生物学","ArticlePicture":[],"TitleCN":null,"AbstractTextCN":null,"PMCID":null,"EPubDate":"","PubModel":"","JCR":"Q1","JCRName":"BIOLOGY","Score":null,"Total":0}
引用次数: 0

摘要

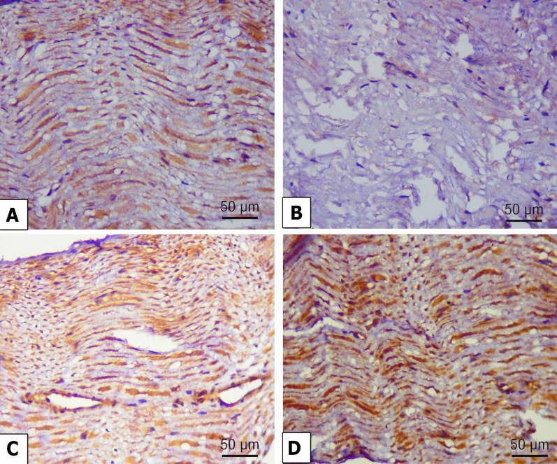
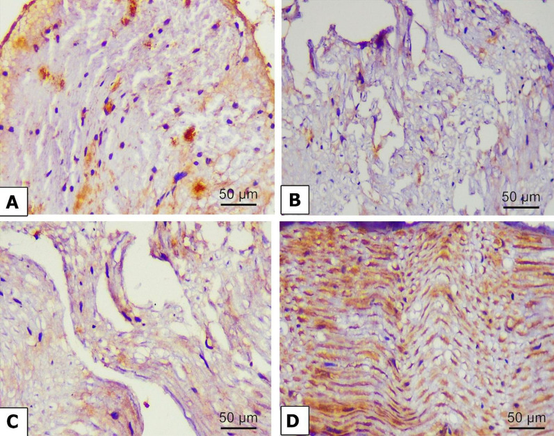
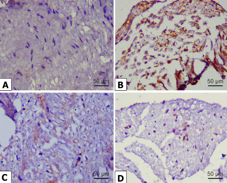
背景:糖尿病神经病变(DN)被认为是糖尿病(DM)引起的一种重要并发症。糖尿病神经病变的发病机制因内质网(ER)应激而加速,ER应激会抑制自噬并导致疾病进展。自噬是一种高度保守的机制,对减轻ER应激诱导的细胞死亡至关重要。蛹虫草素是一种天然黄酮类化合物,大量存在于蜂蜜、蜂胶和各种植物提取物中。尽管菊黄素具有抗氧化、抗过敏、抗炎、抗纤维化和抗癌等优点,但其生物利用度有限。目前的研究旨在生产一种生物利用度更高的菊黄素,并探索服用菊黄素如何改变阿脲诱导的雄性大鼠神经病变:方法:使用 PEG 化脂质体配制金丝桃素,以提高其生物利用度和配方。对蛹素 PEG 化脂质体(Chr-PLs)的粒径、ZETA 电位、多分散指数、透射电子显微镜和体外药物释放进行了表征。大鼠被分为四组:对照组、阿洛欣组、二甲双胍组和 Chr-PLs 组。为了确定 Chr-PLs 的抗糖尿病活性,并进而确定其改善 DN 的能力,进行了多项实验。这些实验包括测量乙酰胆碱酯酶、空腹血糖、胰岛素、依赖于自噬或内质网压力的基因以及组织病理学分析:结果表明,制备的 Chr-PLs 平均粒径约为 134 nm。它们的粒径分布均匀。最大夹带效率为 90.48 ± 7.75%。与糖尿病大鼠相比,Chr-PLs 能有效降低 67.7% 的血糖水平,提高 40% 的血清乙酰胆碱酯酶水平。此外,Chr-PLs 还抑制了 ER 应激相关基因的表达(ATF-6、CHOP、XBP-1、BiP、JNK、PI3K、Akt 和 mTOR 的表达分别为 33%、39.5%、32.2%、44.4%、40.4%、39.2%、39% 和 35.9%)。它们还将 miR-301a-5p 的表达水平上调了 513%,将 miR-301a-5p 的表达水平下调了 65%。它们还提高了坐骨神经中自噬标记物(AMPK、ULK1、Beclin 1 和 LC3-II)的表达,分别提高了 90.3%、181%、109% 和 78%。组织病理学分析也表明,Chr-PLs 可抑制坐骨神经变性:结论:研究结果表明,Chr-PLs可通过调节ER应激和自噬作用来预防DN。
本文章由计算机程序翻译,如有差异,请以英文原文为准。

Chrysin-loaded PEGylated liposomes protect against alloxan-induced diabetic neuropathy in rats: the interplay between endoplasmic reticulum stress and autophagy.

Chrysin-loaded PEGylated liposomes protect against alloxan-induced diabetic neuropathy in rats: the interplay between endoplasmic reticulum stress and autophagy.

Chrysin-loaded PEGylated liposomes protect against alloxan-induced diabetic neuropathy in rats: the interplay between endoplasmic reticulum stress and autophagy.

Chrysin-loaded PEGylated liposomes protect against alloxan-induced diabetic neuropathy in rats: the interplay between endoplasmic reticulum stress and autophagy.

Background: Diabetic neuropathy (DN) is recognized as a significant complication arising from diabetes mellitus (DM). Pathogenesis of DN is accelerated by endoplasmic reticulum (ER) stress, which inhibits autophagy and contributes to disease progression. Autophagy is a highly conserved mechanism crucial in mitigating cell death induced by ER stress. Chrysin, a naturally occurring flavonoid, can be found abundantly in honey, propolis, and various plant extracts. Despite possessing advantageous attributes such as being an antioxidant, anti-allergic, anti-inflammatory, anti-fibrotic, and anticancer agent, chrysin exhibits limited bioavailability. The current study aimed to produce a more bioavailable form of chrysin and discover how administering chrysin could alter the neuropathy induced by Alloxan in male rats.

Methods: Chrysin was formulated using PEGylated liposomes to boost its bioavailability and formulation. Chrysin PEGylated liposomes (Chr-PLs) were characterized for particle size diameter, zeta potential, polydispersity index, transmission electron microscopy, and in vitro drug release. Rats were divided into four groups: control, Alloxan, metformin, and Chr-PLs. In order to determine Chr- PLs' antidiabetic activity and, by extension, its capacity to ameliorate DN, several experiments were carried out. These included measuring acetylcholinesterase, fasting blood glucose, insulin, genes dependent on autophagy or stress in the endoplasmic reticulum, and histopathological analysis.

Results: According to the results, the prepared Chr-PLs exhibited an average particle size of approximately 134 nm. They displayed even distribution of particle sizes. The maximum entrapment efficiency of 90.48 ± 7.75% was achieved. Chr-PLs effectively decreased blood glucose levels by 67.7% and elevated serum acetylcholinesterase levels by 40% compared to diabetic rats. Additionally, Chr-PLs suppressed the expression of ER stress-related genes (ATF-6, CHOP, XBP-1, BiP, JNK, PI3K, Akt, and mTOR by 33%, 39.5%, 32.2%, 44.4%, 40.4%, 39.2%, 39%, and 35.9%, respectively). They also upregulated the miR-301a-5p expression levels by 513% and downregulated miR-301a-5p expression levels by 65%. They also boosted the expression of autophagic markers (AMPK, ULK1, Beclin 1, and LC3-II by 90.3%, 181%, 109%, and 78%, respectively) in the sciatic nerve. The histopathological analysis also showed that Chr-PLs inhibited sciatic nerve degeneration.

Conclusion: The findings suggest that Chr-PLs may be helpful in the protection against DN via regulation of ER stress and autophagy.

求助全文
通过发布文献求助,成功后即可免费获取论文全文。 去求助
来源期刊
Biological Research
Biological Research 生物-生物学
CiteScore
10.10
自引率
0.00%
发文量
33
审稿时长
>12 weeks
期刊介绍: Biological Research is an open access, peer-reviewed journal that encompasses diverse fields of experimental biology, such as biochemistry, bioinformatics, biotechnology, cell biology, cancer, chemical biology, developmental biology, evolutionary biology, genetics, genomics, immunology, marine biology, microbiology, molecular biology, neuroscience, plant biology, physiology, stem cell research, structural biology and systems biology.
×
引用
GB/T 7714-2015
复制
MLA
复制
APA
复制
导出至
BibTeX EndNote RefMan NoteFirst NoteExpress
×
提示
您的信息不完整,为了账户安全,请先补充。
现在去补充
×
提示
您因"违规操作"
具体请查看互助需知
我知道了
×
提示
确定
请完成安全验证×
copy
已复制链接
快去分享给好友吧!
我知道了
右上角分享
点击右上角分享
0
联系我们:info@booksci.cn Book学术提供免费学术资源搜索服务,方便国内外学者检索中英文文献。致力于提供最便捷和优质的服务体验。 Copyright © 2023 布克学术 All rights reserved.
京ICP备2023020795号-1
ghs 京公网安备 11010802042870号
Book学术文献互助
Book学术文献互助群
群 号:604180095
Book学术官方微信