SMARCB1/INI1缺陷型胸部未分化肿瘤:病例报告和文献综述。

IF 2.9 Q1 PATHOLOGY
PATHOLOGICA Pub Date : 2024-06-01 DOI:10.32074/1591-951X-955
Moreno Zagni, Alessandro Marando, Mariachiara Negrelli, Calogero Lauricella, Valentina Motta, Giulia Paglino, Silvio Veronese, Emanuele Valtorta, Emanuela Bonoldi, Giuseppe Pelosi
{"title":"SMARCB1/INI1缺陷型胸部未分化肿瘤:病例报告和文献综述。","authors":"Moreno Zagni, Alessandro Marando, Mariachiara Negrelli, Calogero Lauricella, Valentina Motta, Giulia Paglino, Silvio Veronese, Emanuele Valtorta, Emanuela Bonoldi, Giuseppe Pelosi","doi":"10.32074/1591-951X-955","DOIUrl":null,"url":null,"abstract":"<p><p>The 5th WHO classification of thoracic tumours includes thoracic SMARCA4-deficient undifferentiated tumour (SMARCA4-UT) among the \"other epithelial tumours of the lung\" chapter. Herein, we present a case of undifferentiated thoracic neoplasm with retention of SMARCA4 expression, lack of NUT fusion protein and loss of SMARCB1/INI1 expression. After presenting the clinical and pathological features of the tumour, we carried out a review of the literature on the same topic. Albeit very rare, we believe this entity should be included in the heterogeneous group of undifferentiated neoplasms of the thorax.</p>","PeriodicalId":45893,"journal":{"name":"PATHOLOGICA","volume":"116 3","pages":"163-169"},"PeriodicalIF":2.9000,"publicationDate":"2024-06-01","publicationTypes":"Journal Article","fieldsOfStudy":null,"isOpenAccess":false,"openAccessPdf":"https://www.ncbi.nlm.nih.gov/pmc/articles/PMC11447651/pdf/","citationCount":"0","resultStr":"{\"title\":\"SMARCB1/INI1-deficient undifferentiated tumour of the thorax: a case report and review of the literature.\",\"authors\":\"Moreno Zagni, Alessandro Marando, Mariachiara Negrelli, Calogero Lauricella, Valentina Motta, Giulia Paglino, Silvio Veronese, Emanuele Valtorta, Emanuela Bonoldi, Giuseppe Pelosi\",\"doi\":\"10.32074/1591-951X-955\",\"DOIUrl\":null,\"url\":null,\"abstract\":\"<p><p>The 5th WHO classification of thoracic tumours includes thoracic SMARCA4-deficient undifferentiated tumour (SMARCA4-UT) among the \\\"other epithelial tumours of the lung\\\" chapter. Herein, we present a case of undifferentiated thoracic neoplasm with retention of SMARCA4 expression, lack of NUT fusion protein and loss of SMARCB1/INI1 expression. After presenting the clinical and pathological features of the tumour, we carried out a review of the literature on the same topic. Albeit very rare, we believe this entity should be included in the heterogeneous group of undifferentiated neoplasms of the thorax.</p>\",\"PeriodicalId\":45893,\"journal\":{\"name\":\"PATHOLOGICA\",\"volume\":\"116 3\",\"pages\":\"163-169\"},\"PeriodicalIF\":2.9000,\"publicationDate\":\"2024-06-01\",\"publicationTypes\":\"Journal Article\",\"fieldsOfStudy\":null,\"isOpenAccess\":false,\"openAccessPdf\":\"https://www.ncbi.nlm.nih.gov/pmc/articles/PMC11447651/pdf/\",\"citationCount\":\"0\",\"resultStr\":null,\"platform\":\"Semanticscholar\",\"paperid\":null,\"PeriodicalName\":\"PATHOLOGICA\",\"FirstCategoryId\":\"1085\",\"ListUrlMain\":\"https://doi.org/10.32074/1591-951X-955\",\"RegionNum\":0,\"RegionCategory\":null,\"ArticlePicture\":[],\"TitleCN\":null,\"AbstractTextCN\":null,\"PMCID\":null,\"EPubDate\":\"\",\"PubModel\":\"\",\"JCR\":\"Q1\",\"JCRName\":\"PATHOLOGY\",\"Score\":null,\"Total\":0}","platform":"Semanticscholar","paperid":null,"PeriodicalName":"PATHOLOGICA","FirstCategoryId":"1085","ListUrlMain":"https://doi.org/10.32074/1591-951X-955","RegionNum":0,"RegionCategory":null,"ArticlePicture":[],"TitleCN":null,"AbstractTextCN":null,"PMCID":null,"EPubDate":"","PubModel":"","JCR":"Q1","JCRName":"PATHOLOGY","Score":null,"Total":0}
引用次数: 0

摘要

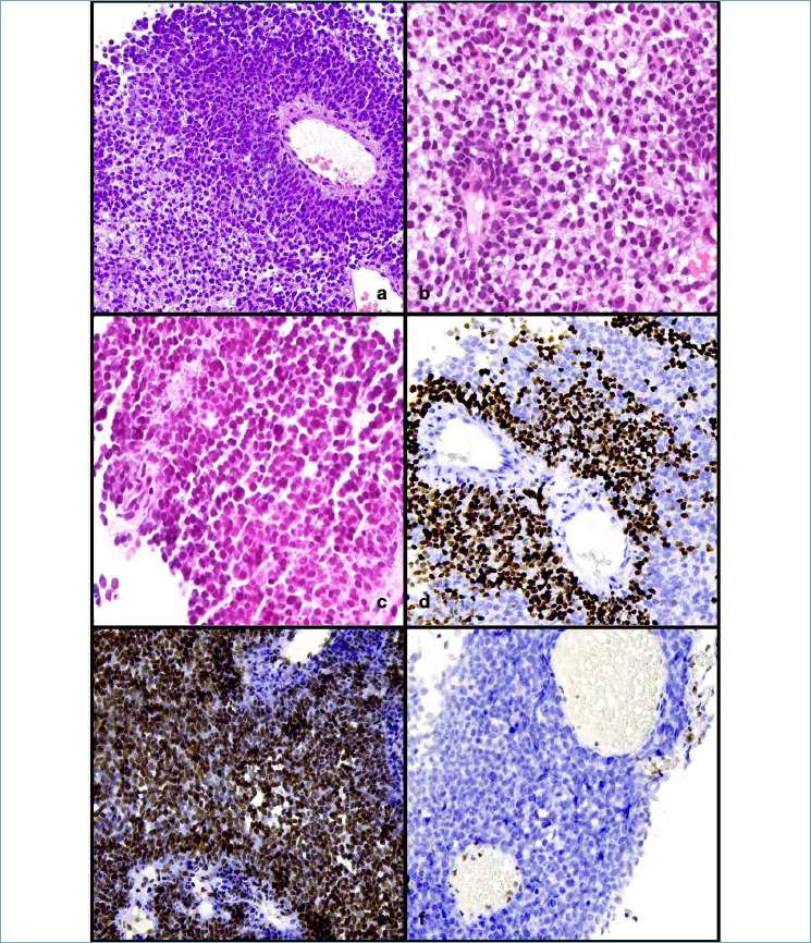
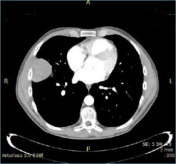
世界卫生组织第五次胸部肿瘤分类将胸部SMARCA4缺失性未分化肿瘤(SMARCA4-UT)列入 "肺部其他上皮性肿瘤 "一章。在此,我们介绍了一例保留 SMARCA4 表达、缺乏 NUT 融合蛋白和 SMARCB1/INI1 表达缺失的胸腔未分化肿瘤。在介绍了该肿瘤的临床和病理特征后,我们对相关文献进行了综述。尽管该肿瘤非常罕见,但我们认为应将其归入胸部未分化肿瘤的异质性组别中。
本文章由计算机程序翻译,如有差异,请以英文原文为准。

SMARCB1/INI1-deficient undifferentiated tumour of the thorax: a case report and review of the literature.

SMARCB1/INI1-deficient undifferentiated tumour of the thorax: a case report and review of the literature.

SMARCB1/INI1-deficient undifferentiated tumour of the thorax: a case report and review of the literature.

The 5th WHO classification of thoracic tumours includes thoracic SMARCA4-deficient undifferentiated tumour (SMARCA4-UT) among the "other epithelial tumours of the lung" chapter. Herein, we present a case of undifferentiated thoracic neoplasm with retention of SMARCA4 expression, lack of NUT fusion protein and loss of SMARCB1/INI1 expression. After presenting the clinical and pathological features of the tumour, we carried out a review of the literature on the same topic. Albeit very rare, we believe this entity should be included in the heterogeneous group of undifferentiated neoplasms of the thorax.

求助全文
通过发布文献求助,成功后即可免费获取论文全文。 去求助
来源期刊
PATHOLOGICA
PATHOLOGICA PATHOLOGY-
CiteScore
5.90
自引率
5.70%
发文量
108
×
引用
GB/T 7714-2015
复制
MLA
复制
APA
复制
导出至
BibTeX EndNote RefMan NoteFirst NoteExpress
×
提示
您的信息不完整,为了账户安全,请先补充。
现在去补充
×
提示
您因"违规操作"
具体请查看互助需知
我知道了
×
提示
确定
请完成安全验证×
copy
已复制链接
快去分享给好友吧!
我知道了
右上角分享
点击右上角分享
0
联系我们:info@booksci.cn Book学术提供免费学术资源搜索服务,方便国内外学者检索中英文文献。致力于提供最便捷和优质的服务体验。 Copyright © 2023 布克学术 All rights reserved.
京ICP备2023020795号-1
ghs 京公网安备 11010802042870号
Book学术文献互助
Book学术文献互助群
群 号:604180095
Book学术官方微信