[可逆性脑血管收缩综合征。使用皮质类固醇治疗后雷鸣头痛复发]。

IF 0.8 4区 医学 Q4 CLINICAL NEUROLOGY
A Aldaz-Burgoa, N Rodríguez-Albacete, L Franco-Rubio, L López-Trashorras, P Abizanda-Saro, C I Gómez Escalonilla-Escobar, A López Frías-López Jurado, N González-García
{"title":"[可逆性脑血管收缩综合征。使用皮质类固醇治疗后雷鸣头痛复发]。","authors":"A Aldaz-Burgoa, N Rodríguez-Albacete, L Franco-Rubio, L López-Trashorras, P Abizanda-Saro, C I Gómez Escalonilla-Escobar, A López Frías-López Jurado, N González-García","doi":"10.33588/rn.7902.2024167","DOIUrl":null,"url":null,"abstract":"<p><strong>Introduction: </strong>Reversible cerebral vasoconstriction syndrome is a clinicoradiological entity with a self-limiting course that manifests with recurrent episodes of thunderclap headache, and is associated with certain triggers. Recurrence is very rare, and the pathophysiology is thought to be related to altered autoregulation of the cerebrovascular tone. We present a clinical case that raises questions about possible recurrences and triggers.</p><p><strong>Case report: </strong>A 44-year-old woman with a history of multiple sclerosis treated with interferon beta-1b who had four episodes of thunderclap headache while resting, after completing a course of corticosteroids due to a flare-up of optic neuritis. Three years earlier, the patient had presented several episodes of explosive-onset headache during a self-limited period of one month, only occurring during sexual intercourse. In the year prior to our assessment, she had suffered three thunderclap headaches with similar characteristics, but they were triggered only by intense physical exercise. She had not consulted a physician about these events. A cranial computed tomography scan was performed after the administration of contrast media and a cerebral arteriography, which were consistent with cerebral vasoconstriction syndrome, and its reversibility was confirmed three months later.</p><p><strong>Conclusions: </strong>Reversible cerebral vasoconstriction syndrome shares a phenotypic expression with primary exertion headaches. It is associated with drugs with vasoactive effects, including interferons, and corticosteroids are associated with a worse prognosis, and such their administration should be avoided.</p>","PeriodicalId":21281,"journal":{"name":"Revista de neurologia","volume":"79 2","pages":"67-70"},"PeriodicalIF":0.8000,"publicationDate":"2024-07-16","publicationTypes":"Journal Article","fieldsOfStudy":null,"isOpenAccess":false,"openAccessPdf":"https://www.ncbi.nlm.nih.gov/pmc/articles/PMC11469096/pdf/","citationCount":"0","resultStr":"{\"title\":\"[Reversible cerebral vasoconstriction syndrome. Recurrence of thunderclap headaches after treatment with corticosteroids].\",\"authors\":\"A Aldaz-Burgoa, N Rodríguez-Albacete, L Franco-Rubio, L López-Trashorras, P Abizanda-Saro, C I Gómez Escalonilla-Escobar, A López Frías-López Jurado, N González-García\",\"doi\":\"10.33588/rn.7902.2024167\",\"DOIUrl\":null,\"url\":null,\"abstract\":\"<p><strong>Introduction: </strong>Reversible cerebral vasoconstriction syndrome is a clinicoradiological entity with a self-limiting course that manifests with recurrent episodes of thunderclap headache, and is associated with certain triggers. Recurrence is very rare, and the pathophysiology is thought to be related to altered autoregulation of the cerebrovascular tone. We present a clinical case that raises questions about possible recurrences and triggers.</p><p><strong>Case report: </strong>A 44-year-old woman with a history of multiple sclerosis treated with interferon beta-1b who had four episodes of thunderclap headache while resting, after completing a course of corticosteroids due to a flare-up of optic neuritis. Three years earlier, the patient had presented several episodes of explosive-onset headache during a self-limited period of one month, only occurring during sexual intercourse. In the year prior to our assessment, she had suffered three thunderclap headaches with similar characteristics, but they were triggered only by intense physical exercise. She had not consulted a physician about these events. A cranial computed tomography scan was performed after the administration of contrast media and a cerebral arteriography, which were consistent with cerebral vasoconstriction syndrome, and its reversibility was confirmed three months later.</p><p><strong>Conclusions: </strong>Reversible cerebral vasoconstriction syndrome shares a phenotypic expression with primary exertion headaches. It is associated with drugs with vasoactive effects, including interferons, and corticosteroids are associated with a worse prognosis, and such their administration should be avoided.</p>\",\"PeriodicalId\":21281,\"journal\":{\"name\":\"Revista de neurologia\",\"volume\":\"79 2\",\"pages\":\"67-70\"},\"PeriodicalIF\":0.8000,\"publicationDate\":\"2024-07-16\",\"publicationTypes\":\"Journal Article\",\"fieldsOfStudy\":null,\"isOpenAccess\":false,\"openAccessPdf\":\"https://www.ncbi.nlm.nih.gov/pmc/articles/PMC11469096/pdf/\",\"citationCount\":\"0\",\"resultStr\":null,\"platform\":\"Semanticscholar\",\"paperid\":null,\"PeriodicalName\":\"Revista de neurologia\",\"FirstCategoryId\":\"3\",\"ListUrlMain\":\"https://doi.org/10.33588/rn.7902.2024167\",\"RegionNum\":4,\"RegionCategory\":\"医学\",\"ArticlePicture\":[],\"TitleCN\":null,\"AbstractTextCN\":null,\"PMCID\":null,\"EPubDate\":\"\",\"PubModel\":\"\",\"JCR\":\"Q4\",\"JCRName\":\"CLINICAL NEUROLOGY\",\"Score\":null,\"Total\":0}","platform":"Semanticscholar","paperid":null,"PeriodicalName":"Revista de neurologia","FirstCategoryId":"3","ListUrlMain":"https://doi.org/10.33588/rn.7902.2024167","RegionNum":4,"RegionCategory":"医学","ArticlePicture":[],"TitleCN":null,"AbstractTextCN":null,"PMCID":null,"EPubDate":"","PubModel":"","JCR":"Q4","JCRName":"CLINICAL NEUROLOGY","Score":null,"Total":0}
引用次数: 0

摘要

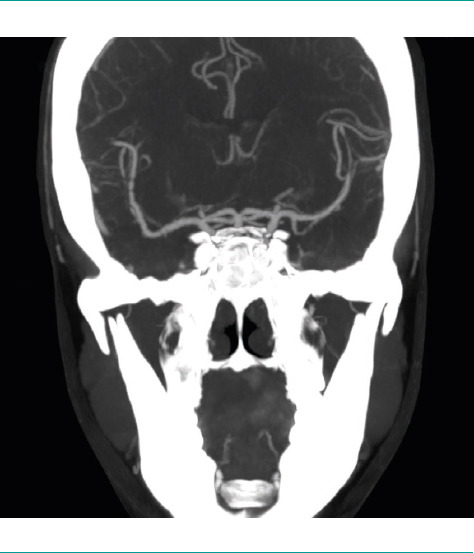
简介可逆性脑血管收缩综合征是一种临床放射学疾病,病程自限,表现为反复发作的雷鸣样头痛,与某些诱因有关。复发非常罕见,其病理生理学被认为与脑血管张力的自动调节改变有关。我们介绍了一个临床病例,该病例提出了有关可能的复发和诱发因素的问题:病例报告:一名 44 岁女性,有多发性硬化症病史,接受过干扰素 beta-1b 治疗,因视神经炎复发而服用皮质类固醇疗程结束后,在休息时出现四次雷鸣般的头痛。三年前,患者曾在一个月的自限期内数次出现爆发性头痛,仅在性交时发作。在我们对她进行评估的前一年,她曾出现过三次具有类似特征的雷鸣般的头痛,但这些头痛仅在剧烈运动时才会被触发。她没有向医生咨询过这些情况。在使用造影剂和脑动脉造影后进行了头颅计算机断层扫描,结果与脑血管收缩综合征一致,三个月后证实了其可逆性:可逆性脑血管收缩综合征与原发性劳累性头痛有相同的表型表现。结论:可逆性脑血管收缩综合征与原发性劳累性头痛具有相同的表型表现,与包括干扰素在内的具有血管活性作用的药物有关,皮质类固醇类药物会导致预后恶化,因此应避免使用。
本文章由计算机程序翻译,如有差异,请以英文原文为准。

[Reversible cerebral vasoconstriction syndrome. Recurrence of thunderclap headaches after treatment with corticosteroids].

[Reversible cerebral vasoconstriction syndrome. Recurrence of thunderclap headaches after treatment with corticosteroids].

[Reversible cerebral vasoconstriction syndrome. Recurrence of thunderclap headaches after treatment with corticosteroids].

Introduction: Reversible cerebral vasoconstriction syndrome is a clinicoradiological entity with a self-limiting course that manifests with recurrent episodes of thunderclap headache, and is associated with certain triggers. Recurrence is very rare, and the pathophysiology is thought to be related to altered autoregulation of the cerebrovascular tone. We present a clinical case that raises questions about possible recurrences and triggers.

Case report: A 44-year-old woman with a history of multiple sclerosis treated with interferon beta-1b who had four episodes of thunderclap headache while resting, after completing a course of corticosteroids due to a flare-up of optic neuritis. Three years earlier, the patient had presented several episodes of explosive-onset headache during a self-limited period of one month, only occurring during sexual intercourse. In the year prior to our assessment, she had suffered three thunderclap headaches with similar characteristics, but they were triggered only by intense physical exercise. She had not consulted a physician about these events. A cranial computed tomography scan was performed after the administration of contrast media and a cerebral arteriography, which were consistent with cerebral vasoconstriction syndrome, and its reversibility was confirmed three months later.

Conclusions: Reversible cerebral vasoconstriction syndrome shares a phenotypic expression with primary exertion headaches. It is associated with drugs with vasoactive effects, including interferons, and corticosteroids are associated with a worse prognosis, and such their administration should be avoided.

求助全文
通过发布文献求助,成功后即可免费获取论文全文。 去求助
来源期刊
Revista de neurologia
Revista de neurologia 医学-临床神经学
CiteScore
2.50
自引率
8.30%
发文量
117
审稿时长
3-8 weeks
期刊介绍: Revista de Neurología fomenta y difunde el conocimiento generado en lengua española sobre neurociencia, tanto clínica como experimental.
×
引用
GB/T 7714-2015
复制
MLA
复制
APA
复制
导出至
BibTeX EndNote RefMan NoteFirst NoteExpress
×
提示
您的信息不完整,为了账户安全,请先补充。
现在去补充
×
提示
您因"违规操作"
具体请查看互助需知
我知道了
×
提示
确定
请完成安全验证×
copy
已复制链接
快去分享给好友吧!
我知道了
右上角分享
点击右上角分享
0
联系我们:info@booksci.cn Book学术提供免费学术资源搜索服务,方便国内外学者检索中英文文献。致力于提供最便捷和优质的服务体验。 Copyright © 2023 布克学术 All rights reserved.
京ICP备2023020795号-1
ghs 京公网安备 11010802042870号
Book学术文献互助
Book学术文献互助群
群 号:604180095
Book学术官方微信