头颅照射后的鼻窦恶性肿瘤:鼻窦畸胎肉瘤的范围综述和病例报告

IF 0.7 Q4 CLINICAL NEUROLOGY
Journal of Neurological Surgery Reports Pub Date : 2024-07-05 eCollection Date: 2024-07-01 DOI:10.1055/s-0044-1788310
Ben B Levy, Michael J De Biasio, Nilo Alvarez Toledo, Sunit Das, Mandolin Bartling, Fahad Aldahari, John R de Almeida, Ilan Weinreb, Yvonne Chan
{"title":"头颅照射后的鼻窦恶性肿瘤:鼻窦畸胎肉瘤的范围综述和病例报告","authors":"Ben B Levy, Michael J De Biasio, Nilo Alvarez Toledo, Sunit Das, Mandolin Bartling, Fahad Aldahari, John R de Almeida, Ilan Weinreb, Yvonne Chan","doi":"10.1055/s-0044-1788310","DOIUrl":null,"url":null,"abstract":"<p><p><b>Background</b>  Radiation therapy is a mainstay of treatment for brain tumors, but delayed complications include secondary malignancy which may occur months to years after treatment completion. <b>Methods</b>  We reviewed the medical records of a 41-year-old female treated with 60 Gy of radiation for a recurrent astrocytoma, who 6 years later developed a locally advanced sinonasal teratocarcinosarcoma. We searched MEDLINE, Embase, and Web of Science to conduct a scoping review of biopsy-proven sinonasal malignancy in patients who previously received cranial irradiation for a brain tumor. <b>Results</b>  To our knowledge, this is the first report of a patient to present with a sinonasal teratocarcinosarcoma after receiving irradiation for a brain tumor. Our scoping review of 1,907 studies produced 14 similar cases of secondary sinonasal malignancy. Median age of primary cancer diagnosis was 39.5 years old (standard deviation [SD]: 21.9), and median radiation dose was 54 Gy (SD: 20.3). Median latency time between the primary cancer and secondary sinonasal cancer was 9.5 years (SD: 5.8). Olfactory neuroblastoma was the most common sinonasal cancer ( <i>n</i>  = 4). Fifty percent of patients died from their sinonasal cancer within 1.5 years. <b>Conclusion</b>  Patients who receive radiation exposure to the sinonasal region for treatment of a primary brain tumor, including low doses or scatter radiation, may be at risk of a secondary sinonasal malignancy later in life. Physicians who monitor at-risk patients must be vigilant of symptoms which may suggest sinonasal malignancy, and surveillance should include radiographic review with careful monitoring for a secondary malignancy throughout the entire irradiated field.</p>","PeriodicalId":44256,"journal":{"name":"Journal of Neurological Surgery Reports","volume":"85 3","pages":"e101-e111"},"PeriodicalIF":0.7000,"publicationDate":"2024-07-05","publicationTypes":"Journal Article","fieldsOfStudy":null,"isOpenAccess":false,"openAccessPdf":"https://www.ncbi.nlm.nih.gov/pmc/articles/PMC11226344/pdf/","citationCount":"0","resultStr":"{\"title\":\"Sinonasal Malignancy Following Cranial Irradiation: A Scoping Review and Case Report of Sinonasal Teratocarcinosarcoma.\",\"authors\":\"Ben B Levy, Michael J De Biasio, Nilo Alvarez Toledo, Sunit Das, Mandolin Bartling, Fahad Aldahari, John R de Almeida, Ilan Weinreb, Yvonne Chan\",\"doi\":\"10.1055/s-0044-1788310\",\"DOIUrl\":null,\"url\":null,\"abstract\":\"<p><p><b>Background</b>  Radiation therapy is a mainstay of treatment for brain tumors, but delayed complications include secondary malignancy which may occur months to years after treatment completion. <b>Methods</b>  We reviewed the medical records of a 41-year-old female treated with 60 Gy of radiation for a recurrent astrocytoma, who 6 years later developed a locally advanced sinonasal teratocarcinosarcoma. We searched MEDLINE, Embase, and Web of Science to conduct a scoping review of biopsy-proven sinonasal malignancy in patients who previously received cranial irradiation for a brain tumor. <b>Results</b>  To our knowledge, this is the first report of a patient to present with a sinonasal teratocarcinosarcoma after receiving irradiation for a brain tumor. Our scoping review of 1,907 studies produced 14 similar cases of secondary sinonasal malignancy. Median age of primary cancer diagnosis was 39.5 years old (standard deviation [SD]: 21.9), and median radiation dose was 54 Gy (SD: 20.3). Median latency time between the primary cancer and secondary sinonasal cancer was 9.5 years (SD: 5.8). Olfactory neuroblastoma was the most common sinonasal cancer ( <i>n</i>  = 4). Fifty percent of patients died from their sinonasal cancer within 1.5 years. <b>Conclusion</b>  Patients who receive radiation exposure to the sinonasal region for treatment of a primary brain tumor, including low doses or scatter radiation, may be at risk of a secondary sinonasal malignancy later in life. Physicians who monitor at-risk patients must be vigilant of symptoms which may suggest sinonasal malignancy, and surveillance should include radiographic review with careful monitoring for a secondary malignancy throughout the entire irradiated field.</p>\",\"PeriodicalId\":44256,\"journal\":{\"name\":\"Journal of Neurological Surgery Reports\",\"volume\":\"85 3\",\"pages\":\"e101-e111\"},\"PeriodicalIF\":0.7000,\"publicationDate\":\"2024-07-05\",\"publicationTypes\":\"Journal Article\",\"fieldsOfStudy\":null,\"isOpenAccess\":false,\"openAccessPdf\":\"https://www.ncbi.nlm.nih.gov/pmc/articles/PMC11226344/pdf/\",\"citationCount\":\"0\",\"resultStr\":null,\"platform\":\"Semanticscholar\",\"paperid\":null,\"PeriodicalName\":\"Journal of Neurological Surgery Reports\",\"FirstCategoryId\":\"1085\",\"ListUrlMain\":\"https://doi.org/10.1055/s-0044-1788310\",\"RegionNum\":0,\"RegionCategory\":null,\"ArticlePicture\":[],\"TitleCN\":null,\"AbstractTextCN\":null,\"PMCID\":null,\"EPubDate\":\"2024/7/1 0:00:00\",\"PubModel\":\"eCollection\",\"JCR\":\"Q4\",\"JCRName\":\"CLINICAL NEUROLOGY\",\"Score\":null,\"Total\":0}","platform":"Semanticscholar","paperid":null,"PeriodicalName":"Journal of Neurological Surgery Reports","FirstCategoryId":"1085","ListUrlMain":"https://doi.org/10.1055/s-0044-1788310","RegionNum":0,"RegionCategory":null,"ArticlePicture":[],"TitleCN":null,"AbstractTextCN":null,"PMCID":null,"EPubDate":"2024/7/1 0:00:00","PubModel":"eCollection","JCR":"Q4","JCRName":"CLINICAL NEUROLOGY","Score":null,"Total":0}
引用次数: 0

摘要

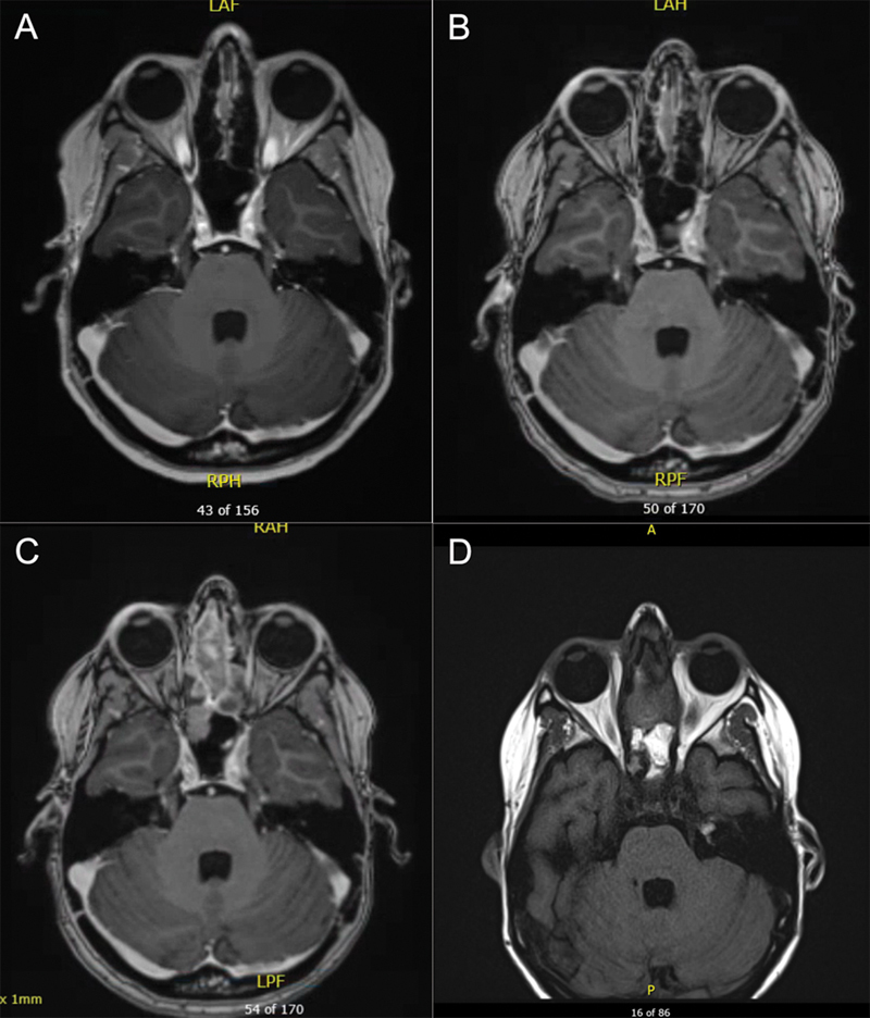
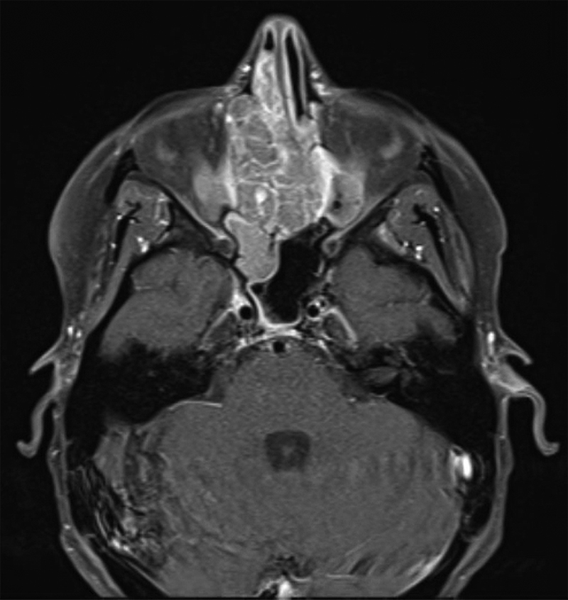
背景 放射治疗是治疗脑肿瘤的主要方法,但延迟并发症包括继发性恶性肿瘤,可能在治疗结束后数月至数年发生。方法 我们回顾了一名 41 岁女性的病历,她因复发性星形细胞瘤接受了 60 Gy 的放射治疗,6 年后又患上了局部晚期鼻窦畸胎肉瘤。我们检索了MEDLINE、Embase和Web of Science,对曾因脑肿瘤接受过头颅照射的患者中经活检证实的鼻窦恶性肿瘤进行了范围界定。结果 据我们所知,这是首例因脑瘤接受颅内照射后出现鼻窦畸胎肉瘤的患者报告。我们对 1907 项研究进行了范围审查,发现了 14 例类似的继发性鼻窦恶性肿瘤病例。原发癌诊断的中位年龄为 39.5 岁(标准差 [SD]:21.9),中位放射剂量为 54 Gy(标准差:20.3)。原发性癌症与继发性鼻窦癌之间的中位潜伏期为 9.5 年(标准差:5.8)。嗅神经母细胞瘤是最常见的鼻窦癌(4 例)。50%的患者在1.5年内死于鼻窦癌。结论 因治疗原发性脑肿瘤而接受鼻窦部位放射线照射(包括低剂量或散射辐射)的患者可能会面临日后罹患继发性鼻窦恶性肿瘤的风险。监测高危患者的医生必须对可能提示鼻窦恶性肿瘤的症状保持警惕,监测工作应包括对整个照射区域进行放射学检查,并仔细观察是否存在继发性恶性肿瘤。
本文章由计算机程序翻译,如有差异,请以英文原文为准。

Sinonasal Malignancy Following Cranial Irradiation: A Scoping Review and Case Report of Sinonasal Teratocarcinosarcoma.

Sinonasal Malignancy Following Cranial Irradiation: A Scoping Review and Case Report of Sinonasal Teratocarcinosarcoma.

Sinonasal Malignancy Following Cranial Irradiation: A Scoping Review and Case Report of Sinonasal Teratocarcinosarcoma.

Sinonasal Malignancy Following Cranial Irradiation: A Scoping Review and Case Report of Sinonasal Teratocarcinosarcoma.

Background  Radiation therapy is a mainstay of treatment for brain tumors, but delayed complications include secondary malignancy which may occur months to years after treatment completion. Methods  We reviewed the medical records of a 41-year-old female treated with 60 Gy of radiation for a recurrent astrocytoma, who 6 years later developed a locally advanced sinonasal teratocarcinosarcoma. We searched MEDLINE, Embase, and Web of Science to conduct a scoping review of biopsy-proven sinonasal malignancy in patients who previously received cranial irradiation for a brain tumor. Results  To our knowledge, this is the first report of a patient to present with a sinonasal teratocarcinosarcoma after receiving irradiation for a brain tumor. Our scoping review of 1,907 studies produced 14 similar cases of secondary sinonasal malignancy. Median age of primary cancer diagnosis was 39.5 years old (standard deviation [SD]: 21.9), and median radiation dose was 54 Gy (SD: 20.3). Median latency time between the primary cancer and secondary sinonasal cancer was 9.5 years (SD: 5.8). Olfactory neuroblastoma was the most common sinonasal cancer ( n  = 4). Fifty percent of patients died from their sinonasal cancer within 1.5 years. Conclusion  Patients who receive radiation exposure to the sinonasal region for treatment of a primary brain tumor, including low doses or scatter radiation, may be at risk of a secondary sinonasal malignancy later in life. Physicians who monitor at-risk patients must be vigilant of symptoms which may suggest sinonasal malignancy, and surveillance should include radiographic review with careful monitoring for a secondary malignancy throughout the entire irradiated field.

求助全文
通过发布文献求助,成功后即可免费获取论文全文。 去求助
来源期刊
自引率
0.00%
发文量
31
审稿时长
12 weeks
×
引用
GB/T 7714-2015
复制
MLA
复制
APA
复制
导出至
BibTeX EndNote RefMan NoteFirst NoteExpress
×
提示
您的信息不完整,为了账户安全,请先补充。
现在去补充
×
提示
您因"违规操作"
具体请查看互助需知
我知道了
×
提示
确定
请完成安全验证×
copy
已复制链接
快去分享给好友吧!
我知道了
右上角分享
点击右上角分享
0
联系我们:info@booksci.cn Book学术提供免费学术资源搜索服务,方便国内外学者检索中英文文献。致力于提供最便捷和优质的服务体验。 Copyright © 2023 布克学术 All rights reserved.
京ICP备2023020795号-1
ghs 京公网安备 11010802042870号
Book学术文献互助
Book学术文献互助群
群 号:604180095
Book学术官方微信