后排座位乘客继发腹壁完全横断。

IF 0.5 Q4 SURGERY
Case Reports in Surgery Pub Date : 2024-06-27 eCollection Date: 2024-01-01 DOI:10.1155/2024/4335543
Jamshed Zuberi, Yousef Masoudpoor, Severija Saladziute, Emma Morel, Daniel Garcia, Diya Khetan, Erem Tutal, Natasha Becker, Peter Park, Stephanie Bonne
{"title":"后排座位乘客继发腹壁完全横断。","authors":"Jamshed Zuberi, Yousef Masoudpoor, Severija Saladziute, Emma Morel, Daniel Garcia, Diya Khetan, Erem Tutal, Natasha Becker, Peter Park, Stephanie Bonne","doi":"10.1155/2024/4335543","DOIUrl":null,"url":null,"abstract":"<p><p>Garrett and Braunstein introduced the concept of the \"seat belt sign\" in motor vehicle collision (MVC) victims. They defined this as abdominal wall bruising from a lap belt. These signs of trauma are not uncommon. However, \"seat belt syndrome,\" a pattern of musculoskeletal and internal organ injuries resulting from deceleration forces exerted by the safety device is rarely seen. Here, we illustrate a case of traumatic closed rupture of the rectus abdominis muscle secondary to seat belt injury. This potential injury is important to recognize and our case will illustrate the need for careful imaging review and clinical assessment to identify associated intra-abdominal injuries.</p>","PeriodicalId":9600,"journal":{"name":"Case Reports in Surgery","volume":"2024 ","pages":"4335543"},"PeriodicalIF":0.5000,"publicationDate":"2024-06-27","publicationTypes":"Journal Article","fieldsOfStudy":null,"isOpenAccess":false,"openAccessPdf":"https://www.ncbi.nlm.nih.gov/pmc/articles/PMC11223902/pdf/","citationCount":"0","resultStr":"{\"title\":\"Complete Transection of the Abdominal Wall Secondary to Being a Rear Seat-Belted Passenger.\",\"authors\":\"Jamshed Zuberi, Yousef Masoudpoor, Severija Saladziute, Emma Morel, Daniel Garcia, Diya Khetan, Erem Tutal, Natasha Becker, Peter Park, Stephanie Bonne\",\"doi\":\"10.1155/2024/4335543\",\"DOIUrl\":null,\"url\":null,\"abstract\":\"<p><p>Garrett and Braunstein introduced the concept of the \\\"seat belt sign\\\" in motor vehicle collision (MVC) victims. They defined this as abdominal wall bruising from a lap belt. These signs of trauma are not uncommon. However, \\\"seat belt syndrome,\\\" a pattern of musculoskeletal and internal organ injuries resulting from deceleration forces exerted by the safety device is rarely seen. Here, we illustrate a case of traumatic closed rupture of the rectus abdominis muscle secondary to seat belt injury. This potential injury is important to recognize and our case will illustrate the need for careful imaging review and clinical assessment to identify associated intra-abdominal injuries.</p>\",\"PeriodicalId\":9600,\"journal\":{\"name\":\"Case Reports in Surgery\",\"volume\":\"2024 \",\"pages\":\"4335543\"},\"PeriodicalIF\":0.5000,\"publicationDate\":\"2024-06-27\",\"publicationTypes\":\"Journal Article\",\"fieldsOfStudy\":null,\"isOpenAccess\":false,\"openAccessPdf\":\"https://www.ncbi.nlm.nih.gov/pmc/articles/PMC11223902/pdf/\",\"citationCount\":\"0\",\"resultStr\":null,\"platform\":\"Semanticscholar\",\"paperid\":null,\"PeriodicalName\":\"Case Reports in Surgery\",\"FirstCategoryId\":\"1085\",\"ListUrlMain\":\"https://doi.org/10.1155/2024/4335543\",\"RegionNum\":0,\"RegionCategory\":null,\"ArticlePicture\":[],\"TitleCN\":null,\"AbstractTextCN\":null,\"PMCID\":null,\"EPubDate\":\"2024/1/1 0:00:00\",\"PubModel\":\"eCollection\",\"JCR\":\"Q4\",\"JCRName\":\"SURGERY\",\"Score\":null,\"Total\":0}","platform":"Semanticscholar","paperid":null,"PeriodicalName":"Case Reports in Surgery","FirstCategoryId":"1085","ListUrlMain":"https://doi.org/10.1155/2024/4335543","RegionNum":0,"RegionCategory":null,"ArticlePicture":[],"TitleCN":null,"AbstractTextCN":null,"PMCID":null,"EPubDate":"2024/1/1 0:00:00","PubModel":"eCollection","JCR":"Q4","JCRName":"SURGERY","Score":null,"Total":0}
引用次数: 0

摘要

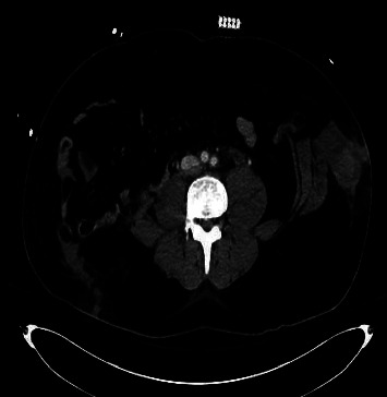
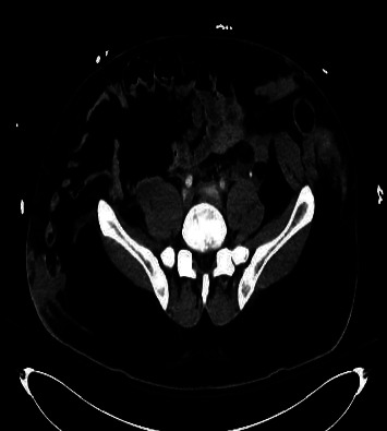
加勒特和布劳恩斯坦提出了机动车碰撞(MVC)受害者 "安全带征兆 "的概念。他们将其定义为腹带造成的腹壁瘀伤。这些创伤征兆并不少见。然而,"安全带综合症",一种因安全装置产生的减速力而导致的肌肉骨骼和内脏器官损伤的模式,却很少见。在此,我们展示了一例因安全带损伤而导致的腹直肌创伤性闭合性断裂。识别这种潜在的损伤非常重要,我们的病例将说明有必要进行仔细的影像检查和临床评估,以识别相关的腹内损伤。
本文章由计算机程序翻译,如有差异,请以英文原文为准。

Complete Transection of the Abdominal Wall Secondary to Being a Rear Seat-Belted Passenger.

Complete Transection of the Abdominal Wall Secondary to Being a Rear Seat-Belted Passenger.

Complete Transection of the Abdominal Wall Secondary to Being a Rear Seat-Belted Passenger.

Complete Transection of the Abdominal Wall Secondary to Being a Rear Seat-Belted Passenger.

Garrett and Braunstein introduced the concept of the "seat belt sign" in motor vehicle collision (MVC) victims. They defined this as abdominal wall bruising from a lap belt. These signs of trauma are not uncommon. However, "seat belt syndrome," a pattern of musculoskeletal and internal organ injuries resulting from deceleration forces exerted by the safety device is rarely seen. Here, we illustrate a case of traumatic closed rupture of the rectus abdominis muscle secondary to seat belt injury. This potential injury is important to recognize and our case will illustrate the need for careful imaging review and clinical assessment to identify associated intra-abdominal injuries.

求助全文
通过发布文献求助,成功后即可免费获取论文全文。 去求助
来源期刊
自引率
0.00%
发文量
60
审稿时长
13 weeks
×
引用
GB/T 7714-2015
复制
MLA
复制
APA
复制
导出至
BibTeX EndNote RefMan NoteFirst NoteExpress
×
提示
您的信息不完整,为了账户安全,请先补充。
现在去补充
×
提示
您因"违规操作"
具体请查看互助需知
我知道了
×
提示
确定
请完成安全验证×
copy
已复制链接
快去分享给好友吧!
我知道了
右上角分享
点击右上角分享
0
联系我们:info@booksci.cn Book学术提供免费学术资源搜索服务,方便国内外学者检索中英文文献。致力于提供最便捷和优质的服务体验。 Copyright © 2023 布克学术 All rights reserved.
京ICP备2023020795号-1
ghs 京公网安备 11010802042870号
Book学术文献互助
Book学术文献互助群
群 号:604180095
Book学术官方微信