源自脂肪间充质干细胞的细胞外囊泡优先作用于 SOD1 小鼠受损的中枢部位,而不是外周部位。

IF 2.1 4区 生物学 Q4 CELL BIOLOGY
Ermanna Turano, Federica Virla, Ilaria Scambi, Sylwia Dabrowska, Oluwamolakun Bankole, Raffaella Mariotti
{"title":"源自脂肪间充质干细胞的细胞外囊泡优先作用于 SOD1 小鼠受损的中枢部位,而不是外周部位。","authors":"Ermanna Turano, Federica Virla, Ilaria Scambi, Sylwia Dabrowska, Oluwamolakun Bankole, Raffaella Mariotti","doi":"10.4081/ejh.2024.4040","DOIUrl":null,"url":null,"abstract":"<p><p>Amyotrophic lateral sclerosis (ALS) is a neurodegenerative disorder involving motor neuron (MN) loss in the motor cortex, brainstem and spinal cord leading to progressive paralysis and death. Due to the pathogenetic complexity, there are no effective therapies available. In this context the use of mesenchymal stem cells and their vesicular counterpart is an emerging therapeutic strategy to counteract neurodegeneration. The extracellular vesicles derived from adipose stem cells (ASC-EVs) recapitulate and ameliorate the neuroprotective effect of stem cells and, thanks to their small dimensions, makes their use suitable to develop novel therapeutic approaches for neurodegenerative diseases as ALS. Here we investigate a therapeutic regimen of ASC-EVs injection in SOD1(G93A) mice, the most widely used murine model of ALS. Repeated intranasal administrations of high doses of ASC-EVs were able to ameliorate motor performance of injected SOD1(G93A) mice at the early stage of the disease and produce a significant improvement at the end-stage in the lumbar MNs rescue. Moreover, ASC-EVs preserve the structure of neuromuscular junction without counteracting the muscle atrophy. The results indicate that the intranasal ASC-EVs administration acts in central nervous system sites rather than at peripheral level in SOD1(G93A) mice. These considerations allow us to identify future applications of ASC-EVs that involve different targets simultaneously to maximize the clinical and neuropathological outcomes in ALS in vivo models.</p>","PeriodicalId":50487,"journal":{"name":"European Journal of Histochemistry","volume":"68 3","pages":""},"PeriodicalIF":2.1000,"publicationDate":"2024-07-04","publicationTypes":"Journal Article","fieldsOfStudy":null,"isOpenAccess":false,"openAccessPdf":"https://www.ncbi.nlm.nih.gov/pmc/articles/PMC11256976/pdf/","citationCount":"0","resultStr":"{\"title\":\"Adipose mesenchymal stem cells-derived extracellular vesicles exert their preferential action in damaged central sites of SOD1 mice rather than peripherally.\",\"authors\":\"Ermanna Turano, Federica Virla, Ilaria Scambi, Sylwia Dabrowska, Oluwamolakun Bankole, Raffaella Mariotti\",\"doi\":\"10.4081/ejh.2024.4040\",\"DOIUrl\":null,\"url\":null,\"abstract\":\"<p><p>Amyotrophic lateral sclerosis (ALS) is a neurodegenerative disorder involving motor neuron (MN) loss in the motor cortex, brainstem and spinal cord leading to progressive paralysis and death. Due to the pathogenetic complexity, there are no effective therapies available. In this context the use of mesenchymal stem cells and their vesicular counterpart is an emerging therapeutic strategy to counteract neurodegeneration. The extracellular vesicles derived from adipose stem cells (ASC-EVs) recapitulate and ameliorate the neuroprotective effect of stem cells and, thanks to their small dimensions, makes their use suitable to develop novel therapeutic approaches for neurodegenerative diseases as ALS. Here we investigate a therapeutic regimen of ASC-EVs injection in SOD1(G93A) mice, the most widely used murine model of ALS. Repeated intranasal administrations of high doses of ASC-EVs were able to ameliorate motor performance of injected SOD1(G93A) mice at the early stage of the disease and produce a significant improvement at the end-stage in the lumbar MNs rescue. Moreover, ASC-EVs preserve the structure of neuromuscular junction without counteracting the muscle atrophy. The results indicate that the intranasal ASC-EVs administration acts in central nervous system sites rather than at peripheral level in SOD1(G93A) mice. These considerations allow us to identify future applications of ASC-EVs that involve different targets simultaneously to maximize the clinical and neuropathological outcomes in ALS in vivo models.</p>\",\"PeriodicalId\":50487,\"journal\":{\"name\":\"European Journal of Histochemistry\",\"volume\":\"68 3\",\"pages\":\"\"},\"PeriodicalIF\":2.1000,\"publicationDate\":\"2024-07-04\",\"publicationTypes\":\"Journal Article\",\"fieldsOfStudy\":null,\"isOpenAccess\":false,\"openAccessPdf\":\"https://www.ncbi.nlm.nih.gov/pmc/articles/PMC11256976/pdf/\",\"citationCount\":\"0\",\"resultStr\":null,\"platform\":\"Semanticscholar\",\"paperid\":null,\"PeriodicalName\":\"European Journal of Histochemistry\",\"FirstCategoryId\":\"99\",\"ListUrlMain\":\"https://doi.org/10.4081/ejh.2024.4040\",\"RegionNum\":4,\"RegionCategory\":\"生物学\",\"ArticlePicture\":[],\"TitleCN\":null,\"AbstractTextCN\":null,\"PMCID\":null,\"EPubDate\":\"\",\"PubModel\":\"\",\"JCR\":\"Q4\",\"JCRName\":\"CELL BIOLOGY\",\"Score\":null,\"Total\":0}","platform":"Semanticscholar","paperid":null,"PeriodicalName":"European Journal of Histochemistry","FirstCategoryId":"99","ListUrlMain":"https://doi.org/10.4081/ejh.2024.4040","RegionNum":4,"RegionCategory":"生物学","ArticlePicture":[],"TitleCN":null,"AbstractTextCN":null,"PMCID":null,"EPubDate":"","PubModel":"","JCR":"Q4","JCRName":"CELL BIOLOGY","Score":null,"Total":0}
引用次数: 0

摘要

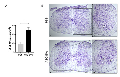
肌萎缩性脊髓侧索硬化症(ALS)是一种神经退行性疾病,涉及运动皮质、脑干和脊髓中运动神经元(MN)的缺失,导致进行性瘫痪和死亡。由于病因复杂,目前尚无有效的治疗方法。在这种情况下,使用间充质干细胞及其对应的囊泡是对抗神经变性的一种新兴治疗策略。源自脂肪干细胞的细胞外囊泡(ASC-EVs)再现并改善了干细胞的神经保护作用,由于其体积小,适合用于开发治疗神经退行性疾病(如渐冻人症)的新型疗法。在这里,我们研究了在SOD1(G93A)小鼠(最广泛使用的肌萎缩性脊髓侧索硬化症小鼠模型)中注射ASC-EVs的治疗方案。重复鼻内注射高剂量的 ASC-EVs 能够在疾病早期改善注射 SOD1(G93A) 小鼠的运动表现,并在疾病晚期显著改善腰部 MNs 救治效果。此外,ASC-EVs还能保留神经肌肉接头的结构,而不会抵消肌肉萎缩。这些结果表明,鼻内注射 ASC-EVs 对 SOD1(G93A)小鼠的中枢神经系统部位而非外周水平起作用。考虑到这些因素,我们可以确定 ASC-EVs 未来的应用,同时涉及不同的靶点,以最大限度地提高 ALS 体内模型的临床和神经病理学结果。
本文章由计算机程序翻译,如有差异,请以英文原文为准。

Adipose mesenchymal stem cells-derived extracellular vesicles exert their preferential action in damaged central sites of SOD1 mice rather than peripherally.

Adipose mesenchymal stem cells-derived extracellular vesicles exert their preferential action in damaged central sites of SOD1 mice rather than peripherally.

Adipose mesenchymal stem cells-derived extracellular vesicles exert their preferential action in damaged central sites of SOD1 mice rather than peripherally.

Adipose mesenchymal stem cells-derived extracellular vesicles exert their preferential action in damaged central sites of SOD1 mice rather than peripherally.

Amyotrophic lateral sclerosis (ALS) is a neurodegenerative disorder involving motor neuron (MN) loss in the motor cortex, brainstem and spinal cord leading to progressive paralysis and death. Due to the pathogenetic complexity, there are no effective therapies available. In this context the use of mesenchymal stem cells and their vesicular counterpart is an emerging therapeutic strategy to counteract neurodegeneration. The extracellular vesicles derived from adipose stem cells (ASC-EVs) recapitulate and ameliorate the neuroprotective effect of stem cells and, thanks to their small dimensions, makes their use suitable to develop novel therapeutic approaches for neurodegenerative diseases as ALS. Here we investigate a therapeutic regimen of ASC-EVs injection in SOD1(G93A) mice, the most widely used murine model of ALS. Repeated intranasal administrations of high doses of ASC-EVs were able to ameliorate motor performance of injected SOD1(G93A) mice at the early stage of the disease and produce a significant improvement at the end-stage in the lumbar MNs rescue. Moreover, ASC-EVs preserve the structure of neuromuscular junction without counteracting the muscle atrophy. The results indicate that the intranasal ASC-EVs administration acts in central nervous system sites rather than at peripheral level in SOD1(G93A) mice. These considerations allow us to identify future applications of ASC-EVs that involve different targets simultaneously to maximize the clinical and neuropathological outcomes in ALS in vivo models.

求助全文
通过发布文献求助,成功后即可免费获取论文全文。 去求助
来源期刊
European Journal of Histochemistry
European Journal of Histochemistry 生物-细胞生物学
CiteScore
3.70
自引率
5.00%
发文量
47
审稿时长
3 months
期刊介绍: The Journal publishes original papers concerning investigations by histochemical and immunohistochemical methods, and performed with the aid of light, super-resolution and electron microscopy, cytometry and imaging techniques. Coverage extends to: functional cell and tissue biology in animals and plants; cell differentiation and death; cell-cell interaction and molecular trafficking; biology of cell development and senescence; nerve and muscle cell biology; cellular basis of diseases. The histochemical approach is nowadays essentially aimed at locating molecules in the very place where they exert their biological roles, and at describing dynamically specific chemical activities in living cells. Basic research on cell functional organization is essential for understanding the mechanisms underlying major biological processes such as differentiation, the control of tissue homeostasis, and the regulation of normal and tumor cell growth. Even more than in the past, the European Journal of Histochemistry, as a journal of functional cytology, represents the venue where cell scientists may present and discuss their original results, technical improvements and theories.
×
引用
GB/T 7714-2015
复制
MLA
复制
APA
复制
导出至
BibTeX EndNote RefMan NoteFirst NoteExpress
×
提示
您的信息不完整,为了账户安全,请先补充。
现在去补充
×
提示
您因"违规操作"
具体请查看互助需知
我知道了
×
提示
确定
请完成安全验证×
copy
已复制链接
快去分享给好友吧!
我知道了
右上角分享
点击右上角分享
0
联系我们:info@booksci.cn Book学术提供免费学术资源搜索服务,方便国内外学者检索中英文文献。致力于提供最便捷和优质的服务体验。 Copyright © 2023 布克学术 All rights reserved.
京ICP备2023020795号-1
ghs 京公网安备 11010802042870号
Book学术文献互助
Book学术文献互助群
群 号:604180095
Book学术官方微信