水飞蓟宾可恢复 3T3-L1 脂肪细胞在肿瘤坏死因子-α 和脂多糖刺激后的葡萄糖摄取。

IF 3.1 4区 生物学 Q2 ENDOCRINOLOGY & METABOLISM
Adipocyte Pub Date : 2024-12-01 Epub Date: 2024-07-02 DOI:10.1080/21623945.2024.2374062
Alejandra Butanda-Nuñez, Octavio Rodríguez-Cortés, Espiridión Ramos-Martínez, Marco Antonio Cerbón, Galileo Escobedo, Anahí Chavarría
{"title":"水飞蓟宾可恢复 3T3-L1 脂肪细胞在肿瘤坏死因子-α 和脂多糖刺激后的葡萄糖摄取。","authors":"Alejandra Butanda-Nuñez, Octavio Rodríguez-Cortés, Espiridión Ramos-Martínez, Marco Antonio Cerbón, Galileo Escobedo, Anahí Chavarría","doi":"10.1080/21623945.2024.2374062","DOIUrl":null,"url":null,"abstract":"<p><p>Obesity is associated with a low-grade chronic inflammatory process characterized by higher circulating TNFα levels, thus contributing to insulin resistance. This study evaluated the effect of silybin, the main bioactive component of silymarin, which has anti-inflammatory properties, on TNFα levels and its impact on glucose uptake in the adipocyte cell line 3T3-L1 challenged with two different inflammatory stimuli, TNFα or lipopolysaccharide (LPS). Silybin's pre-treatment effect was evaluated in adipocytes pre-incubated with silybin (30 or 80 µM) before challenging with the inflammatory stimuli (TNFα or LPS). For the post-treatment effect, the adipocytes were first challenged with the inflammatory stimuli and then post-treated with silybin. After treatments, TNFα production, glucose uptake, and GLUT4 protein expression were determined. Both inflammatory stimuli increased TNFα secretion, diminished GLUT4 expression, and significantly decreased glucose uptake. Silybin 30 µM only reduced TNFα secretion after the LPS challenge. Silybin 80 µM as post-treatment or pre-treatment decreased TNFα levels, improving glucose uptake. However, glucose uptake enhancement induced by silybin did not depend on GLUT4 protein expression. These results show that silybin importantly reduced TNFα levels and upregulates glucose uptake, independently of GLUT4 protein expression.</p>","PeriodicalId":7226,"journal":{"name":"Adipocyte","volume":"13 1","pages":"2374062"},"PeriodicalIF":3.1000,"publicationDate":"2024-12-01","publicationTypes":"Journal Article","fieldsOfStudy":null,"isOpenAccess":false,"openAccessPdf":"https://www.ncbi.nlm.nih.gov/pmc/articles/PMC11221471/pdf/","citationCount":"0","resultStr":"{\"title\":\"Silybin restores glucose uptake after tumour necrosis factor-alpha and lipopolysaccharide stimulation in 3T3-L1 adipocytes.\",\"authors\":\"Alejandra Butanda-Nuñez, Octavio Rodríguez-Cortés, Espiridión Ramos-Martínez, Marco Antonio Cerbón, Galileo Escobedo, Anahí Chavarría\",\"doi\":\"10.1080/21623945.2024.2374062\",\"DOIUrl\":null,\"url\":null,\"abstract\":\"<p><p>Obesity is associated with a low-grade chronic inflammatory process characterized by higher circulating TNFα levels, thus contributing to insulin resistance. This study evaluated the effect of silybin, the main bioactive component of silymarin, which has anti-inflammatory properties, on TNFα levels and its impact on glucose uptake in the adipocyte cell line 3T3-L1 challenged with two different inflammatory stimuli, TNFα or lipopolysaccharide (LPS). Silybin's pre-treatment effect was evaluated in adipocytes pre-incubated with silybin (30 or 80 µM) before challenging with the inflammatory stimuli (TNFα or LPS). For the post-treatment effect, the adipocytes were first challenged with the inflammatory stimuli and then post-treated with silybin. After treatments, TNFα production, glucose uptake, and GLUT4 protein expression were determined. Both inflammatory stimuli increased TNFα secretion, diminished GLUT4 expression, and significantly decreased glucose uptake. Silybin 30 µM only reduced TNFα secretion after the LPS challenge. Silybin 80 µM as post-treatment or pre-treatment decreased TNFα levels, improving glucose uptake. However, glucose uptake enhancement induced by silybin did not depend on GLUT4 protein expression. These results show that silybin importantly reduced TNFα levels and upregulates glucose uptake, independently of GLUT4 protein expression.</p>\",\"PeriodicalId\":7226,\"journal\":{\"name\":\"Adipocyte\",\"volume\":\"13 1\",\"pages\":\"2374062\"},\"PeriodicalIF\":3.1000,\"publicationDate\":\"2024-12-01\",\"publicationTypes\":\"Journal Article\",\"fieldsOfStudy\":null,\"isOpenAccess\":false,\"openAccessPdf\":\"https://www.ncbi.nlm.nih.gov/pmc/articles/PMC11221471/pdf/\",\"citationCount\":\"0\",\"resultStr\":null,\"platform\":\"Semanticscholar\",\"paperid\":null,\"PeriodicalName\":\"Adipocyte\",\"FirstCategoryId\":\"99\",\"ListUrlMain\":\"https://doi.org/10.1080/21623945.2024.2374062\",\"RegionNum\":4,\"RegionCategory\":\"生物学\",\"ArticlePicture\":[],\"TitleCN\":null,\"AbstractTextCN\":null,\"PMCID\":null,\"EPubDate\":\"2024/7/2 0:00:00\",\"PubModel\":\"Epub\",\"JCR\":\"Q2\",\"JCRName\":\"ENDOCRINOLOGY & METABOLISM\",\"Score\":null,\"Total\":0}","platform":"Semanticscholar","paperid":null,"PeriodicalName":"Adipocyte","FirstCategoryId":"99","ListUrlMain":"https://doi.org/10.1080/21623945.2024.2374062","RegionNum":4,"RegionCategory":"生物学","ArticlePicture":[],"TitleCN":null,"AbstractTextCN":null,"PMCID":null,"EPubDate":"2024/7/2 0:00:00","PubModel":"Epub","JCR":"Q2","JCRName":"ENDOCRINOLOGY & METABOLISM","Score":null,"Total":0}
引用次数: 0

摘要

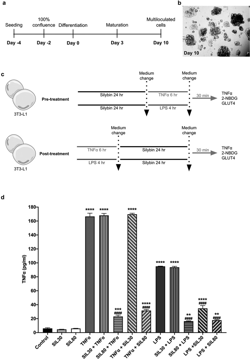
肥胖与低度慢性炎症过程有关,其特点是循环 TNFα 水平较高,从而导致胰岛素抵抗。水飞蓟素的主要生物活性成分水飞蓟宾具有抗炎特性,本研究评估了水飞蓟宾对TNFα水平的影响及其对受到TNFα或脂多糖(LPS)两种不同炎症刺激的脂肪细胞系3T3-L1的葡萄糖摄取的影响。在受到炎症刺激(TNFα 或 LPS)之前,先用水飞蓟宾(30 或 80 µM)预孵育脂肪细胞,以评估水飞蓟宾的预处理效果。至于处理后的效果,则是先用炎症刺激物刺激脂肪细胞,然后再用水飞蓟宾进行后处理。处理后,测定 TNFα 的产生、葡萄糖摄取和 GLUT4 蛋白表达。两种炎症刺激都增加了 TNFα 的分泌,降低了 GLUT4 的表达,并显著减少了葡萄糖的摄取。水飞蓟宾 30 µM 只减少了 LPS 刺激后 TNFα 的分泌。水飞蓟宾 80 µM 作为治疗后或治疗前可降低 TNFα 水平,改善葡萄糖摄取。然而,水飞蓟宾诱导的葡萄糖摄取增强与 GLUT4 蛋白表达无关。这些结果表明,水飞蓟宾可显著降低 TNFα 水平并上调葡萄糖摄取,而与 GLUT4 蛋白表达无关。
本文章由计算机程序翻译,如有差异,请以英文原文为准。

Silybin restores glucose uptake after tumour necrosis factor-alpha and lipopolysaccharide stimulation in 3T3-L1 adipocytes.

Silybin restores glucose uptake after tumour necrosis factor-alpha and lipopolysaccharide stimulation in 3T3-L1 adipocytes.

Silybin restores glucose uptake after tumour necrosis factor-alpha and lipopolysaccharide stimulation in 3T3-L1 adipocytes.

Silybin restores glucose uptake after tumour necrosis factor-alpha and lipopolysaccharide stimulation in 3T3-L1 adipocytes.

Obesity is associated with a low-grade chronic inflammatory process characterized by higher circulating TNFα levels, thus contributing to insulin resistance. This study evaluated the effect of silybin, the main bioactive component of silymarin, which has anti-inflammatory properties, on TNFα levels and its impact on glucose uptake in the adipocyte cell line 3T3-L1 challenged with two different inflammatory stimuli, TNFα or lipopolysaccharide (LPS). Silybin's pre-treatment effect was evaluated in adipocytes pre-incubated with silybin (30 or 80 µM) before challenging with the inflammatory stimuli (TNFα or LPS). For the post-treatment effect, the adipocytes were first challenged with the inflammatory stimuli and then post-treated with silybin. After treatments, TNFα production, glucose uptake, and GLUT4 protein expression were determined. Both inflammatory stimuli increased TNFα secretion, diminished GLUT4 expression, and significantly decreased glucose uptake. Silybin 30 µM only reduced TNFα secretion after the LPS challenge. Silybin 80 µM as post-treatment or pre-treatment decreased TNFα levels, improving glucose uptake. However, glucose uptake enhancement induced by silybin did not depend on GLUT4 protein expression. These results show that silybin importantly reduced TNFα levels and upregulates glucose uptake, independently of GLUT4 protein expression.

求助全文
通过发布文献求助,成功后即可免费获取论文全文。 去求助
来源期刊
Adipocyte
Adipocyte Medicine-Histology
CiteScore
6.50
自引率
3.00%
发文量
46
审稿时长
32 weeks
期刊介绍: Adipocyte recognizes that the adipose tissue is the largest endocrine organ in the body, and explores the link between dysfunctional adipose tissue and the growing number of chronic diseases including diabetes, hypertension, cardiovascular disease and cancer. Historically, the primary function of the adipose tissue was limited to energy storage and thermoregulation. However, a plethora of research over the past 3 decades has recognized the dynamic role of the adipose tissue and its contribution to a variety of physiological processes including reproduction, angiogenesis, apoptosis, inflammation, blood pressure, coagulation, fibrinolysis, immunity and general metabolic homeostasis. The field of Adipose Tissue research has grown tremendously, and Adipocyte is the first international peer-reviewed journal of its kind providing a multi-disciplinary forum for research focusing exclusively on all aspects of adipose tissue physiology and pathophysiology. Adipocyte accepts high-profile submissions in basic, translational and clinical research.
×
引用
GB/T 7714-2015
复制
MLA
复制
APA
复制
导出至
BibTeX EndNote RefMan NoteFirst NoteExpress
×
提示
您的信息不完整,为了账户安全,请先补充。
现在去补充
×
提示
您因"违规操作"
具体请查看互助需知
我知道了
×
提示
确定
请完成安全验证×
copy
已复制链接
快去分享给好友吧!
我知道了
右上角分享
点击右上角分享
0
联系我们:info@booksci.cn Book学术提供免费学术资源搜索服务,方便国内外学者检索中英文文献。致力于提供最便捷和优质的服务体验。 Copyright © 2023 布克学术 All rights reserved.
京ICP备2023020795号-1
ghs 京公网安备 11010802042870号
Book学术文献互助
Book学术文献互助群
群 号:604180095
Book学术官方微信