组织学对鼻窦癌放疗疗效的影响:一家医疗机构的经验。

Radiation oncology journal Pub Date : 2024-06-01 Epub Date: 2024-05-30 DOI:10.3857/roj.2022.00514
Ali Kazemian, Borna Farazmand, Maryam Taherioun, Mahdie Razmkhah, Mohammad Shirkhoda, Amirmohsen Jalaeefar, Ata Garajei, Mehrdad Jafari, Farrokh Heidari, Mahdi Aghili, Reza Ghalehtaki
{"title":"组织学对鼻窦癌放疗疗效的影响:一家医疗机构的经验。","authors":"Ali Kazemian, Borna Farazmand, Maryam Taherioun, Mahdie Razmkhah, Mohammad Shirkhoda, Amirmohsen Jalaeefar, Ata Garajei, Mehrdad Jafari, Farrokh Heidari, Mahdi Aghili, Reza Ghalehtaki","doi":"10.3857/roj.2022.00514","DOIUrl":null,"url":null,"abstract":"<p><strong>Purpose: </strong>Sinonasal malignancies are a rare group of head and neck cancers. We aimed to report the oncological outcomes based on histological types in patients who underwent radiotherapy.</p><p><strong>Materials and methods: </strong>In this single-institution study, we retrospectively retrieved and analyzed data of patients with sinonasal carcinomas who underwent radiotherapy during 2011-2016 as part of their treatment. The 3-year rate of local, regional, and distant recurrences, and overall survival were evaluated according to the histological type.</p><p><strong>Results: </strong>A total of 28 patients were evaluated in this study, the majority of whom were male (60%). Squamous cell carcinoma (SCC), adenoid cystic carcinoma (ACC), and adenocarcinoma (ADC) were found in 15 patients (53.5%), 8 (28.5%), and 5 (18%), respectively. The highest rates of local and regional recurrences were observed in ACC and SCC, respectively. Distant recurrences were numerically more common in ADC. The 3-year OS was 48%, 50%, and 73% in SCC, ADC, and ACC, respectively.</p><p><strong>Conclusion: </strong>Different histopathologies of sinonasal cancer seem to have different patterns of failure, and this may be considered in the treatment approach.</p>","PeriodicalId":94184,"journal":{"name":"Radiation oncology journal","volume":"42 2","pages":"116-123"},"PeriodicalIF":0.0000,"publicationDate":"2024-06-01","publicationTypes":"Journal Article","fieldsOfStudy":null,"isOpenAccess":false,"openAccessPdf":"https://www.ncbi.nlm.nih.gov/pmc/articles/PMC11215502/pdf/","citationCount":"0","resultStr":"{\"title\":\"The role of histology on the outcome of sinonasal carcinomas treated with radiotherapy: a single institution experience.\",\"authors\":\"Ali Kazemian, Borna Farazmand, Maryam Taherioun, Mahdie Razmkhah, Mohammad Shirkhoda, Amirmohsen Jalaeefar, Ata Garajei, Mehrdad Jafari, Farrokh Heidari, Mahdi Aghili, Reza Ghalehtaki\",\"doi\":\"10.3857/roj.2022.00514\",\"DOIUrl\":null,\"url\":null,\"abstract\":\"<p><strong>Purpose: </strong>Sinonasal malignancies are a rare group of head and neck cancers. We aimed to report the oncological outcomes based on histological types in patients who underwent radiotherapy.</p><p><strong>Materials and methods: </strong>In this single-institution study, we retrospectively retrieved and analyzed data of patients with sinonasal carcinomas who underwent radiotherapy during 2011-2016 as part of their treatment. The 3-year rate of local, regional, and distant recurrences, and overall survival were evaluated according to the histological type.</p><p><strong>Results: </strong>A total of 28 patients were evaluated in this study, the majority of whom were male (60%). Squamous cell carcinoma (SCC), adenoid cystic carcinoma (ACC), and adenocarcinoma (ADC) were found in 15 patients (53.5%), 8 (28.5%), and 5 (18%), respectively. The highest rates of local and regional recurrences were observed in ACC and SCC, respectively. Distant recurrences were numerically more common in ADC. The 3-year OS was 48%, 50%, and 73% in SCC, ADC, and ACC, respectively.</p><p><strong>Conclusion: </strong>Different histopathologies of sinonasal cancer seem to have different patterns of failure, and this may be considered in the treatment approach.</p>\",\"PeriodicalId\":94184,\"journal\":{\"name\":\"Radiation oncology journal\",\"volume\":\"42 2\",\"pages\":\"116-123\"},\"PeriodicalIF\":0.0000,\"publicationDate\":\"2024-06-01\",\"publicationTypes\":\"Journal Article\",\"fieldsOfStudy\":null,\"isOpenAccess\":false,\"openAccessPdf\":\"https://www.ncbi.nlm.nih.gov/pmc/articles/PMC11215502/pdf/\",\"citationCount\":\"0\",\"resultStr\":null,\"platform\":\"Semanticscholar\",\"paperid\":null,\"PeriodicalName\":\"Radiation oncology journal\",\"FirstCategoryId\":\"1085\",\"ListUrlMain\":\"https://doi.org/10.3857/roj.2022.00514\",\"RegionNum\":0,\"RegionCategory\":null,\"ArticlePicture\":[],\"TitleCN\":null,\"AbstractTextCN\":null,\"PMCID\":null,\"EPubDate\":\"2024/5/30 0:00:00\",\"PubModel\":\"Epub\",\"JCR\":\"\",\"JCRName\":\"\",\"Score\":null,\"Total\":0}","platform":"Semanticscholar","paperid":null,"PeriodicalName":"Radiation oncology journal","FirstCategoryId":"1085","ListUrlMain":"https://doi.org/10.3857/roj.2022.00514","RegionNum":0,"RegionCategory":null,"ArticlePicture":[],"TitleCN":null,"AbstractTextCN":null,"PMCID":null,"EPubDate":"2024/5/30 0:00:00","PubModel":"Epub","JCR":"","JCRName":"","Score":null,"Total":0}
引用次数: 0

摘要

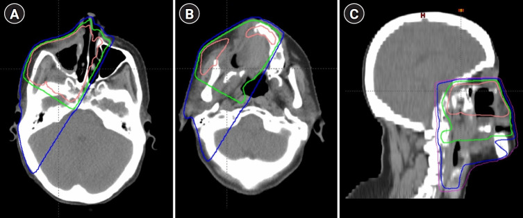
目的:鼻窦恶性肿瘤是一类罕见的头颈部癌症。我们旨在报告接受放射治疗的患者根据组织学类型得出的肿瘤学结果:在这项单一机构研究中,我们回顾性检索并分析了 2011-2016 年期间接受放疗的鼻窦癌患者的数据,作为治疗的一部分。根据组织学类型评估了3年的局部、区域和远处复发率以及总生存率:本研究共评估了 28 名患者,其中大部分为男性(60%)。发现鳞状细胞癌(SCC)、腺样囊性癌(ACC)和腺癌(ADC)的患者分别为 15 人(53.5%)、8 人(28.5%)和 5 人(18%)。ACC 和 SCC 的局部和区域复发率分别最高。远处复发在 ADC 中更为常见。SCC、ADC和ACC的3年OS分别为48%、50%和73%:结论:不同组织病理学的鼻窦癌似乎有不同的失败模式,这一点可在治疗方法中加以考虑。
本文章由计算机程序翻译,如有差异,请以英文原文为准。

The role of histology on the outcome of sinonasal carcinomas treated with radiotherapy: a single institution experience.

The role of histology on the outcome of sinonasal carcinomas treated with radiotherapy: a single institution experience.

The role of histology on the outcome of sinonasal carcinomas treated with radiotherapy: a single institution experience.

The role of histology on the outcome of sinonasal carcinomas treated with radiotherapy: a single institution experience.

Purpose: Sinonasal malignancies are a rare group of head and neck cancers. We aimed to report the oncological outcomes based on histological types in patients who underwent radiotherapy.

Materials and methods: In this single-institution study, we retrospectively retrieved and analyzed data of patients with sinonasal carcinomas who underwent radiotherapy during 2011-2016 as part of their treatment. The 3-year rate of local, regional, and distant recurrences, and overall survival were evaluated according to the histological type.

Results: A total of 28 patients were evaluated in this study, the majority of whom were male (60%). Squamous cell carcinoma (SCC), adenoid cystic carcinoma (ACC), and adenocarcinoma (ADC) were found in 15 patients (53.5%), 8 (28.5%), and 5 (18%), respectively. The highest rates of local and regional recurrences were observed in ACC and SCC, respectively. Distant recurrences were numerically more common in ADC. The 3-year OS was 48%, 50%, and 73% in SCC, ADC, and ACC, respectively.

Conclusion: Different histopathologies of sinonasal cancer seem to have different patterns of failure, and this may be considered in the treatment approach.

求助全文
通过发布文献求助,成功后即可免费获取论文全文。 去求助
来源期刊
CiteScore
3.80
自引率
0.00%
发文量
0
×
引用
GB/T 7714-2015
复制
MLA
复制
APA
复制
导出至
BibTeX EndNote RefMan NoteFirst NoteExpress
×
提示
您的信息不完整,为了账户安全,请先补充。
现在去补充
×
提示
您因"违规操作"
具体请查看互助需知
我知道了
×
提示
确定
请完成安全验证×
copy
已复制链接
快去分享给好友吧!
我知道了
右上角分享
点击右上角分享
0
联系我们:info@booksci.cn Book学术提供免费学术资源搜索服务,方便国内外学者检索中英文文献。致力于提供最便捷和优质的服务体验。 Copyright © 2023 布克学术 All rights reserved.
京ICP备2023020795号-1
ghs 京公网安备 11010802042870号
Book学术文献互助
Book学术文献互助群
群 号:604180095
Book学术官方微信