局部硬皮病与缺血性中风:病例报告。

Postepy psychiatrii neurologii Pub Date : 2024-03-01 Epub Date: 2024-01-18 DOI:10.5114/ppn.2023.134450
Bünyamin Tosunoğlu, Hafize Nalan Güneş, Burcu Gökçe Çokal, Selda Keskin Güler
{"title":"局部硬皮病与缺血性中风:病例报告。","authors":"Bünyamin Tosunoğlu, Hafize Nalan Güneş, Burcu Gökçe Çokal, Selda Keskin Güler","doi":"10.5114/ppn.2023.134450","DOIUrl":null,"url":null,"abstract":"<p><strong>Purpose: </strong>Scleroderma is a multisystemic disorder characterised by inflammatory and vascular anomalies, and excess fibrosis. Progressive systemic sclerosis (PSS) mainly progresses with skin, joint, lung, heart, and kidney involvement. Involvement of cerebral vessels is rare in both localised scleroderma and PSS. Transient ischemic attack and stroke are rare complications of scleroderma.</p><p><strong>Case description: </strong>We present a 60-year-old stroke patient with localised scleroderma presenting with impaired speech, forgetting words, and occasional temporary memory loss.</p><p><strong>Comment: </strong>In the case we present, no pathology was found in the clinical and laboratory tests performed in terms of ischemic risk factors. Skin findings included contracture, skin biopsy results, and antibody positivity related to scleroderma. Given the current pathogenesis of scleroderma, the patient was suspected of having a stroke.</p>","PeriodicalId":74481,"journal":{"name":"Postepy psychiatrii neurologii","volume":"33 1","pages":"35-38"},"PeriodicalIF":0.0000,"publicationDate":"2024-03-01","publicationTypes":"Journal Article","fieldsOfStudy":null,"isOpenAccess":false,"openAccessPdf":"https://www.ncbi.nlm.nih.gov/pmc/articles/PMC11211915/pdf/","citationCount":"0","resultStr":"{\"title\":\"Localised scleroderma and ischemic stroke: case report.\",\"authors\":\"Bünyamin Tosunoğlu, Hafize Nalan Güneş, Burcu Gökçe Çokal, Selda Keskin Güler\",\"doi\":\"10.5114/ppn.2023.134450\",\"DOIUrl\":null,\"url\":null,\"abstract\":\"<p><strong>Purpose: </strong>Scleroderma is a multisystemic disorder characterised by inflammatory and vascular anomalies, and excess fibrosis. Progressive systemic sclerosis (PSS) mainly progresses with skin, joint, lung, heart, and kidney involvement. Involvement of cerebral vessels is rare in both localised scleroderma and PSS. Transient ischemic attack and stroke are rare complications of scleroderma.</p><p><strong>Case description: </strong>We present a 60-year-old stroke patient with localised scleroderma presenting with impaired speech, forgetting words, and occasional temporary memory loss.</p><p><strong>Comment: </strong>In the case we present, no pathology was found in the clinical and laboratory tests performed in terms of ischemic risk factors. Skin findings included contracture, skin biopsy results, and antibody positivity related to scleroderma. Given the current pathogenesis of scleroderma, the patient was suspected of having a stroke.</p>\",\"PeriodicalId\":74481,\"journal\":{\"name\":\"Postepy psychiatrii neurologii\",\"volume\":\"33 1\",\"pages\":\"35-38\"},\"PeriodicalIF\":0.0000,\"publicationDate\":\"2024-03-01\",\"publicationTypes\":\"Journal Article\",\"fieldsOfStudy\":null,\"isOpenAccess\":false,\"openAccessPdf\":\"https://www.ncbi.nlm.nih.gov/pmc/articles/PMC11211915/pdf/\",\"citationCount\":\"0\",\"resultStr\":null,\"platform\":\"Semanticscholar\",\"paperid\":null,\"PeriodicalName\":\"Postepy psychiatrii neurologii\",\"FirstCategoryId\":\"1085\",\"ListUrlMain\":\"https://doi.org/10.5114/ppn.2023.134450\",\"RegionNum\":0,\"RegionCategory\":null,\"ArticlePicture\":[],\"TitleCN\":null,\"AbstractTextCN\":null,\"PMCID\":null,\"EPubDate\":\"2024/1/18 0:00:00\",\"PubModel\":\"Epub\",\"JCR\":\"\",\"JCRName\":\"\",\"Score\":null,\"Total\":0}","platform":"Semanticscholar","paperid":null,"PeriodicalName":"Postepy psychiatrii neurologii","FirstCategoryId":"1085","ListUrlMain":"https://doi.org/10.5114/ppn.2023.134450","RegionNum":0,"RegionCategory":null,"ArticlePicture":[],"TitleCN":null,"AbstractTextCN":null,"PMCID":null,"EPubDate":"2024/1/18 0:00:00","PubModel":"Epub","JCR":"","JCRName":"","Score":null,"Total":0}
引用次数: 0

摘要

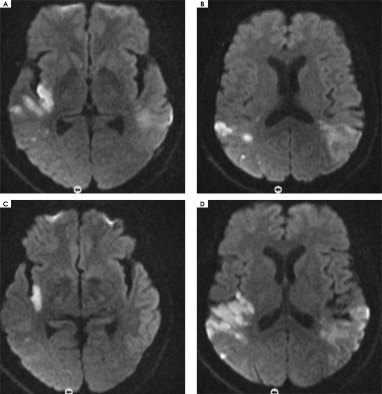
目的:硬皮病是一种多系统疾病,以炎症、血管异常和过度纤维化为特征。进行性系统性硬化症(PSS)主要表现为皮肤、关节、肺、心脏和肾脏受累。局部性硬皮病和进行性系统性硬化症很少累及脑血管。短暂性脑缺血发作和中风是硬皮病罕见的并发症:我们为您介绍一位 60 岁的中风患者,她患有局部性硬皮病,表现为语言障碍、忘词和偶尔的暂时性失忆:在我们介绍的病例中,临床和实验室检查均未发现缺血性危险因素方面的病理变化。皮肤检查结果包括挛缩、皮肤活检结果以及与硬皮病有关的抗体阳性。考虑到硬皮病目前的发病机制,我们怀疑患者患有中风。
本文章由计算机程序翻译,如有差异,请以英文原文为准。

Localised scleroderma and ischemic stroke: case report.

Localised scleroderma and ischemic stroke: case report.

Localised scleroderma and ischemic stroke: case report.

Purpose: Scleroderma is a multisystemic disorder characterised by inflammatory and vascular anomalies, and excess fibrosis. Progressive systemic sclerosis (PSS) mainly progresses with skin, joint, lung, heart, and kidney involvement. Involvement of cerebral vessels is rare in both localised scleroderma and PSS. Transient ischemic attack and stroke are rare complications of scleroderma.

Case description: We present a 60-year-old stroke patient with localised scleroderma presenting with impaired speech, forgetting words, and occasional temporary memory loss.

Comment: In the case we present, no pathology was found in the clinical and laboratory tests performed in terms of ischemic risk factors. Skin findings included contracture, skin biopsy results, and antibody positivity related to scleroderma. Given the current pathogenesis of scleroderma, the patient was suspected of having a stroke.

求助全文
通过发布文献求助,成功后即可免费获取论文全文。 去求助
来源期刊
自引率
0.00%
发文量
0
×
引用
GB/T 7714-2015
复制
MLA
复制
APA
复制
导出至
BibTeX EndNote RefMan NoteFirst NoteExpress
×
提示
您的信息不完整,为了账户安全,请先补充。
现在去补充
×
提示
您因"违规操作"
具体请查看互助需知
我知道了
×
提示
确定
请完成安全验证×
copy
已复制链接
快去分享给好友吧!
我知道了
右上角分享
点击右上角分享
0
联系我们:info@booksci.cn Book学术提供免费学术资源搜索服务,方便国内外学者检索中英文文献。致力于提供最便捷和优质的服务体验。 Copyright © 2023 布克学术 All rights reserved.
京ICP备2023020795号-1
ghs 京公网安备 11010802042870号
Book学术文献互助
Book学术文献互助群
群 号:604180095
Book学术官方微信