当前儿科足部 X 射线检查中使用的线和角度:文献综述。

J Doski
{"title":"当前儿科足部 X 射线检查中使用的线和角度:文献综述。","authors":"J Doski","doi":"","DOIUrl":null,"url":null,"abstract":"<p><strong>Objective: </strong>This article aimed to review the main currently described lines and angles and gather them in a single article and arrange them in a systematic way to facilitate the process of assessment of the pediatric foot for deformities.</p><p><strong>Methods: </strong>The review was a scoping literature review. Electronic database websites such as PubMed, Europe PMC, Cochrane Library, and Google Scholar in addition to some books on anatomy and human movements biomechanics, diagnostic radiology, and orthopedics were searched for relevant articles for the topic of the present review. No statistical analysis was applied in this review.</p><p><strong>Results: </strong>Data from thirty articles included in this review were arranged into different subheadings. In the anteroposterior view (AP), assessment of the hindfoot deviation was by the AP talo-calcaneal angle (Kite's angle); the forefoot and midfoot for abduction and adduction alignment was by the AP talo-first metatarsal angle, the talo-second metatarsal angle, the calcaneo-second metatarsal angle, the calcaneofifth metatarsal angle; the forefoot and midfoot rotation was by observing the normal proximal convergence of the metatarsal bones axes. In the lateral view, assessment of the hindfoot sagittal plane alignment was by the lateral tibio-calcaneal angle; hindfoot varus or valgus deviation by the lateral talo-calcaneal angle; talus bone alignment by talar declination angle and the tibio-talar angle; calcaneal bone alignment by the calcaneal inclination angle and the tibio-calcaneal angle, the midfoot and forefoot sagittal plane alignment for the plantar arch by the lateral talo-first metatarsal -Meary's- angle, the calcaneal inclination angle, and the lateral calcaneofirst metatarsal -Hibbs- angle; forefoot and midfoot rotational alignment by observing the overlap shadows of the metatarsals' shafts and drawing their axes.</p><p><strong>Conclusion: </strong>Drawing certain lines and angles with a systematic approach to assess different regions of the foot in the radiographic films of children can facilitate the process of assessment of the foot (as a whole) for deformities.</p>","PeriodicalId":72221,"journal":{"name":"Annals of Ibadan postgraduate medicine","volume":"22 1","pages":"51-61"},"PeriodicalIF":0.0000,"publicationDate":"2024-04-30","publicationTypes":"Journal Article","fieldsOfStudy":null,"isOpenAccess":false,"openAccessPdf":"https://www.ncbi.nlm.nih.gov/pmc/articles/PMC11205722/pdf/","citationCount":"0","resultStr":"{\"title\":\"CURRENT LINES AND ANGLES USED IN PAEDIATRIC FOOT RADIOGRAPH: A SCOPING REVIEW OF LITERATURE.\",\"authors\":\"J Doski\",\"doi\":\"\",\"DOIUrl\":null,\"url\":null,\"abstract\":\"<p><strong>Objective: </strong>This article aimed to review the main currently described lines and angles and gather them in a single article and arrange them in a systematic way to facilitate the process of assessment of the pediatric foot for deformities.</p><p><strong>Methods: </strong>The review was a scoping literature review. Electronic database websites such as PubMed, Europe PMC, Cochrane Library, and Google Scholar in addition to some books on anatomy and human movements biomechanics, diagnostic radiology, and orthopedics were searched for relevant articles for the topic of the present review. No statistical analysis was applied in this review.</p><p><strong>Results: </strong>Data from thirty articles included in this review were arranged into different subheadings. In the anteroposterior view (AP), assessment of the hindfoot deviation was by the AP talo-calcaneal angle (Kite's angle); the forefoot and midfoot for abduction and adduction alignment was by the AP talo-first metatarsal angle, the talo-second metatarsal angle, the calcaneo-second metatarsal angle, the calcaneofifth metatarsal angle; the forefoot and midfoot rotation was by observing the normal proximal convergence of the metatarsal bones axes. In the lateral view, assessment of the hindfoot sagittal plane alignment was by the lateral tibio-calcaneal angle; hindfoot varus or valgus deviation by the lateral talo-calcaneal angle; talus bone alignment by talar declination angle and the tibio-talar angle; calcaneal bone alignment by the calcaneal inclination angle and the tibio-calcaneal angle, the midfoot and forefoot sagittal plane alignment for the plantar arch by the lateral talo-first metatarsal -Meary's- angle, the calcaneal inclination angle, and the lateral calcaneofirst metatarsal -Hibbs- angle; forefoot and midfoot rotational alignment by observing the overlap shadows of the metatarsals' shafts and drawing their axes.</p><p><strong>Conclusion: </strong>Drawing certain lines and angles with a systematic approach to assess different regions of the foot in the radiographic films of children can facilitate the process of assessment of the foot (as a whole) for deformities.</p>\",\"PeriodicalId\":72221,\"journal\":{\"name\":\"Annals of Ibadan postgraduate medicine\",\"volume\":\"22 1\",\"pages\":\"51-61\"},\"PeriodicalIF\":0.0000,\"publicationDate\":\"2024-04-30\",\"publicationTypes\":\"Journal Article\",\"fieldsOfStudy\":null,\"isOpenAccess\":false,\"openAccessPdf\":\"https://www.ncbi.nlm.nih.gov/pmc/articles/PMC11205722/pdf/\",\"citationCount\":\"0\",\"resultStr\":null,\"platform\":\"Semanticscholar\",\"paperid\":null,\"PeriodicalName\":\"Annals of Ibadan postgraduate medicine\",\"FirstCategoryId\":\"1085\",\"ListUrlMain\":\"\",\"RegionNum\":0,\"RegionCategory\":null,\"ArticlePicture\":[],\"TitleCN\":null,\"AbstractTextCN\":null,\"PMCID\":null,\"EPubDate\":\"\",\"PubModel\":\"\",\"JCR\":\"\",\"JCRName\":\"\",\"Score\":null,\"Total\":0}","platform":"Semanticscholar","paperid":null,"PeriodicalName":"Annals of Ibadan postgraduate medicine","FirstCategoryId":"1085","ListUrlMain":"","RegionNum":0,"RegionCategory":null,"ArticlePicture":[],"TitleCN":null,"AbstractTextCN":null,"PMCID":null,"EPubDate":"","PubModel":"","JCR":"","JCRName":"","Score":null,"Total":0}
引用次数: 0

摘要

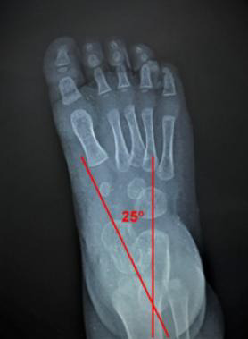
目的本文旨在回顾目前描述的主要线条和角度,并将其汇集到一篇文章中,以系统的方式进行排列,以方便对小儿足部畸形进行评估:方法:本综述为范围性文献综述。除了一些关于解剖学和人体运动生物力学、放射诊断学和矫形外科的书籍外,还搜索了 PubMed、Europe PMC、Cochrane Library 和 Google Scholar 等电子数据库网站,以查找与本综述主题相关的文章。本综述未进行统计分析:本综述共收录了 30 篇文章的数据,并按不同的小标题进行了排列。在前正视图(AP)中,通过AP距骨-跗骨角(Kite's角)评估后足偏位;前足和中足的外展和内收对齐是通过 AP 距骨-第一跖骨角、距骨-第二跖骨角、小跖骨-第二跖骨角、小跖骨-第五跖骨角来评估的;前足和中足的旋转是通过观察跖骨轴的正常近端会聚来评估的。在侧视图中,通过胫骨-钙骨外侧角评估后足矢状面对齐情况;通过距骨-钙骨外侧角评估后足内翻或外翻偏差;通过距骨倾角和胫骨-距骨角评估距骨对齐情况;结论以系统的方法绘制特定的线和角度来评估儿童足部不同区域的X光片,可促进足部(整体)畸形的评估过程。
本文章由计算机程序翻译,如有差异,请以英文原文为准。

CURRENT LINES AND ANGLES USED IN PAEDIATRIC FOOT RADIOGRAPH: A SCOPING REVIEW OF LITERATURE.

CURRENT LINES AND ANGLES USED IN PAEDIATRIC FOOT RADIOGRAPH: A SCOPING REVIEW OF LITERATURE.

CURRENT LINES AND ANGLES USED IN PAEDIATRIC FOOT RADIOGRAPH: A SCOPING REVIEW OF LITERATURE.

CURRENT LINES AND ANGLES USED IN PAEDIATRIC FOOT RADIOGRAPH: A SCOPING REVIEW OF LITERATURE.

Objective: This article aimed to review the main currently described lines and angles and gather them in a single article and arrange them in a systematic way to facilitate the process of assessment of the pediatric foot for deformities.

Methods: The review was a scoping literature review. Electronic database websites such as PubMed, Europe PMC, Cochrane Library, and Google Scholar in addition to some books on anatomy and human movements biomechanics, diagnostic radiology, and orthopedics were searched for relevant articles for the topic of the present review. No statistical analysis was applied in this review.

Results: Data from thirty articles included in this review were arranged into different subheadings. In the anteroposterior view (AP), assessment of the hindfoot deviation was by the AP talo-calcaneal angle (Kite's angle); the forefoot and midfoot for abduction and adduction alignment was by the AP talo-first metatarsal angle, the talo-second metatarsal angle, the calcaneo-second metatarsal angle, the calcaneofifth metatarsal angle; the forefoot and midfoot rotation was by observing the normal proximal convergence of the metatarsal bones axes. In the lateral view, assessment of the hindfoot sagittal plane alignment was by the lateral tibio-calcaneal angle; hindfoot varus or valgus deviation by the lateral talo-calcaneal angle; talus bone alignment by talar declination angle and the tibio-talar angle; calcaneal bone alignment by the calcaneal inclination angle and the tibio-calcaneal angle, the midfoot and forefoot sagittal plane alignment for the plantar arch by the lateral talo-first metatarsal -Meary's- angle, the calcaneal inclination angle, and the lateral calcaneofirst metatarsal -Hibbs- angle; forefoot and midfoot rotational alignment by observing the overlap shadows of the metatarsals' shafts and drawing their axes.

Conclusion: Drawing certain lines and angles with a systematic approach to assess different regions of the foot in the radiographic films of children can facilitate the process of assessment of the foot (as a whole) for deformities.

求助全文
通过发布文献求助,成功后即可免费获取论文全文。 去求助
来源期刊
自引率
0.00%
发文量
0
×
引用
GB/T 7714-2015
复制
MLA
复制
APA
复制
导出至
BibTeX EndNote RefMan NoteFirst NoteExpress
×
提示
您的信息不完整,为了账户安全,请先补充。
现在去补充
×
提示
您因"违规操作"
具体请查看互助需知
我知道了
×
提示
确定
请完成安全验证×
copy
已复制链接
快去分享给好友吧!
我知道了
右上角分享
点击右上角分享
0
联系我们:info@booksci.cn Book学术提供免费学术资源搜索服务,方便国内外学者检索中英文文献。致力于提供最便捷和优质的服务体验。 Copyright © 2023 布克学术 All rights reserved.
京ICP备2023020795号-1
ghs 京公网安备 11010802042870号
Book学术文献互助
Book学术文献互助群
群 号:604180095
Book学术官方微信