口腔之外:通过口腔症状发现非分泌型多发性骨髓瘤。

IF 2.1 Q3 DENTISTRY, ORAL SURGERY & MEDICINE
Imaging Science in Dentistry Pub Date : 2024-06-01 Epub Date: 2024-04-01 DOI:10.5624/isd.20230257
Pedro Henrique Chaves Isaias, Fábio Wildson Gurgel Costa, Pedro Henrique Gonçalves Holanda Amorim, Raul Anderson Domingues Alves da Silva, Fabrício Bitu Sousa, Karuza Maria Alves Pereira, Ana Paula Negreiros Nunes Alves, Mário Rogério Lima Mota
{"title":"口腔之外:通过口腔症状发现非分泌型多发性骨髓瘤。","authors":"Pedro Henrique Chaves Isaias, Fábio Wildson Gurgel Costa, Pedro Henrique Gonçalves Holanda Amorim, Raul Anderson Domingues Alves da Silva, Fabrício Bitu Sousa, Karuza Maria Alves Pereira, Ana Paula Negreiros Nunes Alves, Mário Rogério Lima Mota","doi":"10.5624/isd.20230257","DOIUrl":null,"url":null,"abstract":"<p><p>Non-secretory multiple myeloma (NSMM) is a rare cancer of plasma cells characterized by the absence of detectable monoclonal M protein in the blood or urine. A 57-year-old woman presented with mandibular pain but without intraoral swelling. Imaging studies revealed multiple osteolytic lesions in her mandible and pronounced root resorption of the left mandibular second molar. Biopsy results showed atypical plasmacytoid cells positive for anti-kappa, CD138, MUM1, and CD79a antibodies, but negative for anti-lambda and CD20. These results were indicative of a malignant plasma cell neoplasm. No abnormalities were revealed by free light chain assay or by serum or urine protein electrophoresis, leading to a diagnosis of NSMM. The patient began chemotherapy in conjunction with bisphosphonate therapy and achieved remission following treatment. This case underscores the critical role of dentists in the early detection and prevention of NSMM complications, as the disease can initially present in the oral cavity.</p>","PeriodicalId":51714,"journal":{"name":"Imaging Science in Dentistry","volume":"54 2","pages":"211-220"},"PeriodicalIF":2.1000,"publicationDate":"2024-06-01","publicationTypes":"Journal Article","fieldsOfStudy":null,"isOpenAccess":false,"openAccessPdf":"https://www.ncbi.nlm.nih.gov/pmc/articles/PMC11211024/pdf/","citationCount":"0","resultStr":"{\"title\":\"Beyond the mouth: Uncovering non-secretory multiple myeloma through oral symptoms.\",\"authors\":\"Pedro Henrique Chaves Isaias, Fábio Wildson Gurgel Costa, Pedro Henrique Gonçalves Holanda Amorim, Raul Anderson Domingues Alves da Silva, Fabrício Bitu Sousa, Karuza Maria Alves Pereira, Ana Paula Negreiros Nunes Alves, Mário Rogério Lima Mota\",\"doi\":\"10.5624/isd.20230257\",\"DOIUrl\":null,\"url\":null,\"abstract\":\"<p><p>Non-secretory multiple myeloma (NSMM) is a rare cancer of plasma cells characterized by the absence of detectable monoclonal M protein in the blood or urine. A 57-year-old woman presented with mandibular pain but without intraoral swelling. Imaging studies revealed multiple osteolytic lesions in her mandible and pronounced root resorption of the left mandibular second molar. Biopsy results showed atypical plasmacytoid cells positive for anti-kappa, CD138, MUM1, and CD79a antibodies, but negative for anti-lambda and CD20. These results were indicative of a malignant plasma cell neoplasm. No abnormalities were revealed by free light chain assay or by serum or urine protein electrophoresis, leading to a diagnosis of NSMM. The patient began chemotherapy in conjunction with bisphosphonate therapy and achieved remission following treatment. This case underscores the critical role of dentists in the early detection and prevention of NSMM complications, as the disease can initially present in the oral cavity.</p>\",\"PeriodicalId\":51714,\"journal\":{\"name\":\"Imaging Science in Dentistry\",\"volume\":\"54 2\",\"pages\":\"211-220\"},\"PeriodicalIF\":2.1000,\"publicationDate\":\"2024-06-01\",\"publicationTypes\":\"Journal Article\",\"fieldsOfStudy\":null,\"isOpenAccess\":false,\"openAccessPdf\":\"https://www.ncbi.nlm.nih.gov/pmc/articles/PMC11211024/pdf/\",\"citationCount\":\"0\",\"resultStr\":null,\"platform\":\"Semanticscholar\",\"paperid\":null,\"PeriodicalName\":\"Imaging Science in Dentistry\",\"FirstCategoryId\":\"1085\",\"ListUrlMain\":\"https://doi.org/10.5624/isd.20230257\",\"RegionNum\":0,\"RegionCategory\":null,\"ArticlePicture\":[],\"TitleCN\":null,\"AbstractTextCN\":null,\"PMCID\":null,\"EPubDate\":\"2024/4/1 0:00:00\",\"PubModel\":\"Epub\",\"JCR\":\"Q3\",\"JCRName\":\"DENTISTRY, ORAL SURGERY & MEDICINE\",\"Score\":null,\"Total\":0}","platform":"Semanticscholar","paperid":null,"PeriodicalName":"Imaging Science in Dentistry","FirstCategoryId":"1085","ListUrlMain":"https://doi.org/10.5624/isd.20230257","RegionNum":0,"RegionCategory":null,"ArticlePicture":[],"TitleCN":null,"AbstractTextCN":null,"PMCID":null,"EPubDate":"2024/4/1 0:00:00","PubModel":"Epub","JCR":"Q3","JCRName":"DENTISTRY, ORAL SURGERY & MEDICINE","Score":null,"Total":0}
引用次数: 0

摘要

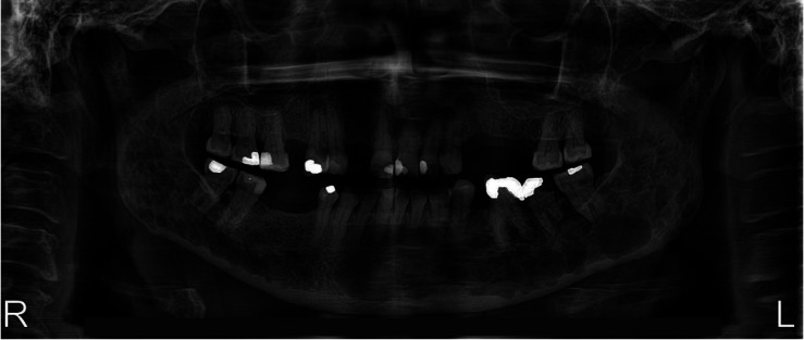
非分泌性多发性骨髓瘤(NSMM)是一种罕见的浆细胞癌症,其特点是血液或尿液中检测不到单克隆M蛋白。一名 57 岁的妇女出现下颌骨疼痛,但无口内肿胀。影像学检查发现她的下颌骨有多处溶骨性病变,左下颌第二磨牙的牙根明显吸收。活检结果显示,非典型浆细胞的抗卡帕抗体、CD138抗体、MUM1抗体和CD79a抗体呈阳性,但抗蓝斑抗体和CD20抗体呈阴性。这些结果表明是恶性浆细胞肿瘤。游离轻链检测、血清或尿蛋白电泳均未发现异常,因此诊断为非小细胞肺癌。患者开始接受化疗和双膦酸盐治疗,治疗后病情得到缓解。本病例强调了牙科医生在早期发现和预防NSMM并发症方面的关键作用,因为这种疾病最初可能出现在口腔中。
本文章由计算机程序翻译,如有差异,请以英文原文为准。

Beyond the mouth: Uncovering non-secretory multiple myeloma through oral symptoms.

Beyond the mouth: Uncovering non-secretory multiple myeloma through oral symptoms.

Beyond the mouth: Uncovering non-secretory multiple myeloma through oral symptoms.

Beyond the mouth: Uncovering non-secretory multiple myeloma through oral symptoms.

Non-secretory multiple myeloma (NSMM) is a rare cancer of plasma cells characterized by the absence of detectable monoclonal M protein in the blood or urine. A 57-year-old woman presented with mandibular pain but without intraoral swelling. Imaging studies revealed multiple osteolytic lesions in her mandible and pronounced root resorption of the left mandibular second molar. Biopsy results showed atypical plasmacytoid cells positive for anti-kappa, CD138, MUM1, and CD79a antibodies, but negative for anti-lambda and CD20. These results were indicative of a malignant plasma cell neoplasm. No abnormalities were revealed by free light chain assay or by serum or urine protein electrophoresis, leading to a diagnosis of NSMM. The patient began chemotherapy in conjunction with bisphosphonate therapy and achieved remission following treatment. This case underscores the critical role of dentists in the early detection and prevention of NSMM complications, as the disease can initially present in the oral cavity.

求助全文
通过发布文献求助,成功后即可免费获取论文全文。 去求助
来源期刊
Imaging Science in Dentistry
Imaging Science in Dentistry DENTISTRY, ORAL SURGERY & MEDICINE-
CiteScore
2.90
自引率
11.10%
发文量
42
×
引用
GB/T 7714-2015
复制
MLA
复制
APA
复制
导出至
BibTeX EndNote RefMan NoteFirst NoteExpress
×
提示
您的信息不完整,为了账户安全,请先补充。
现在去补充
×
提示
您因"违规操作"
具体请查看互助需知
我知道了
×
提示
确定
请完成安全验证×
copy
已复制链接
快去分享给好友吧!
我知道了
右上角分享
点击右上角分享
0
联系我们:info@booksci.cn Book学术提供免费学术资源搜索服务,方便国内外学者检索中英文文献。致力于提供最便捷和优质的服务体验。 Copyright © 2023 布克学术 All rights reserved.
京ICP备2023020795号-1
ghs 京公网安备 11010802042870号
Book学术文献互助
Book学术文献互助群
群 号:604180095
Book学术官方微信