胰腺导管腺癌基质和基质 SMA 表达的重要性

IF 2.1 Q4 PATHOLOGY
Gamze Akbas, Pelin Bagci
{"title":"胰腺导管腺癌基质和基质 SMA 表达的重要性","authors":"Gamze Akbas, Pelin Bagci","doi":"10.5146/tjpath.2024.13521","DOIUrl":null,"url":null,"abstract":"<p><strong>Objective: </strong>Pancreatic stellate cells (PSC) have been defined to be the key players in pancreatic fibrogenesis and carcinogenesis. They undergo myofibroblast-like differentiation, express α-smooth muscle actin (α-SMA), and play a crucial role in injury and inflammation sites. This study aims to evaluate the relationship between α-SMA expression and histopathological parameters of pancreatic ductal adenocarcinoma (PDAC), and investigate their association with prognosis.</p><p><strong>Material and methods: </strong>Eighty-one consecutive pancreatectomies diagnosed as usual pancreatic ductal adenocarcinoma were included. The stromal density was scored as loose, moderate, or dense, and α-SMA expression was evaluated immunohistochemically.</p><p><strong>Results and conclusion: </strong>Mean survival was 19.6 months. Male gender, larger tumor diameter ( > 3.7 cm), and older age ( > 64 years) were identified as independent poor prognostic factors. Perineural invasion significantly effected survival. A statistically significant correlation was found between high α-SMA expression and the presence of angioinvasion (p=0.01). Stromal α-SMA expression in PDAC may help determine the risk of angioinvasion.</p>","PeriodicalId":45415,"journal":{"name":"Turkish Journal of Pathology","volume":" ","pages":"181-189"},"PeriodicalIF":2.1000,"publicationDate":"2024-01-01","publicationTypes":"Journal Article","fieldsOfStudy":null,"isOpenAccess":false,"openAccessPdf":"https://www.ncbi.nlm.nih.gov/pmc/articles/PMC11401731/pdf/","citationCount":"0","resultStr":"{\"title\":\"The Importance of Stroma and Stromal SMA Expression in Pancreatic Ductal Adenocarcinoma.\",\"authors\":\"Gamze Akbas, Pelin Bagci\",\"doi\":\"10.5146/tjpath.2024.13521\",\"DOIUrl\":null,\"url\":null,\"abstract\":\"<p><strong>Objective: </strong>Pancreatic stellate cells (PSC) have been defined to be the key players in pancreatic fibrogenesis and carcinogenesis. They undergo myofibroblast-like differentiation, express α-smooth muscle actin (α-SMA), and play a crucial role in injury and inflammation sites. This study aims to evaluate the relationship between α-SMA expression and histopathological parameters of pancreatic ductal adenocarcinoma (PDAC), and investigate their association with prognosis.</p><p><strong>Material and methods: </strong>Eighty-one consecutive pancreatectomies diagnosed as usual pancreatic ductal adenocarcinoma were included. The stromal density was scored as loose, moderate, or dense, and α-SMA expression was evaluated immunohistochemically.</p><p><strong>Results and conclusion: </strong>Mean survival was 19.6 months. Male gender, larger tumor diameter ( > 3.7 cm), and older age ( > 64 years) were identified as independent poor prognostic factors. Perineural invasion significantly effected survival. A statistically significant correlation was found between high α-SMA expression and the presence of angioinvasion (p=0.01). Stromal α-SMA expression in PDAC may help determine the risk of angioinvasion.</p>\",\"PeriodicalId\":45415,\"journal\":{\"name\":\"Turkish Journal of Pathology\",\"volume\":\" \",\"pages\":\"181-189\"},\"PeriodicalIF\":2.1000,\"publicationDate\":\"2024-01-01\",\"publicationTypes\":\"Journal Article\",\"fieldsOfStudy\":null,\"isOpenAccess\":false,\"openAccessPdf\":\"https://www.ncbi.nlm.nih.gov/pmc/articles/PMC11401731/pdf/\",\"citationCount\":\"0\",\"resultStr\":null,\"platform\":\"Semanticscholar\",\"paperid\":null,\"PeriodicalName\":\"Turkish Journal of Pathology\",\"FirstCategoryId\":\"1085\",\"ListUrlMain\":\"https://doi.org/10.5146/tjpath.2024.13521\",\"RegionNum\":0,\"RegionCategory\":null,\"ArticlePicture\":[],\"TitleCN\":null,\"AbstractTextCN\":null,\"PMCID\":null,\"EPubDate\":\"\",\"PubModel\":\"\",\"JCR\":\"Q4\",\"JCRName\":\"PATHOLOGY\",\"Score\":null,\"Total\":0}","platform":"Semanticscholar","paperid":null,"PeriodicalName":"Turkish Journal of Pathology","FirstCategoryId":"1085","ListUrlMain":"https://doi.org/10.5146/tjpath.2024.13521","RegionNum":0,"RegionCategory":null,"ArticlePicture":[],"TitleCN":null,"AbstractTextCN":null,"PMCID":null,"EPubDate":"","PubModel":"","JCR":"Q4","JCRName":"PATHOLOGY","Score":null,"Total":0}
引用次数: 0

摘要

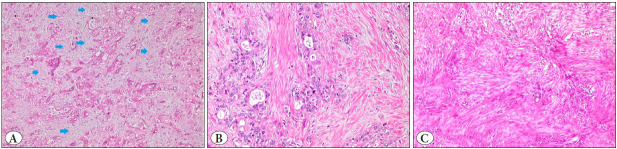
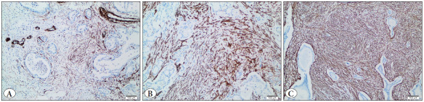
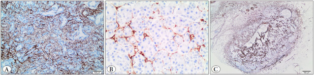
目的:胰腺星状细胞(PSC)已被确定为胰腺纤维化和癌变的关键角色。它们会发生肌成纤维细胞样分化,表达α-平滑肌肌动蛋白(α-SMA),并在损伤和炎症部位发挥关键作用。本研究旨在评估α-SMA表达与胰腺导管腺癌(PDAC)组织病理学参数之间的关系,并探讨其与预后的关联:纳入81例诊断为普通胰腺导管腺癌的连续胰腺切除术。基质密度分为疏松、中等或致密,α-SMA的表达通过免疫组化进行评估:结果与结论:平均生存期为 19.6 个月。男性、肿瘤直径较大(> 3.7 厘米)和年龄较大(> 64 岁)是独立的不良预后因素。硬膜外侵犯对生存期有明显影响。α-SMA高表达与血管侵犯之间存在统计学意义上的显著相关性(p=0.01)。PDAC的基质α-SMA表达有助于确定血管侵犯的风险。
本文章由计算机程序翻译,如有差异,请以英文原文为准。

The Importance of Stroma and Stromal SMA Expression in Pancreatic Ductal Adenocarcinoma.

The Importance of Stroma and Stromal SMA Expression in Pancreatic Ductal Adenocarcinoma.

The Importance of Stroma and Stromal SMA Expression in Pancreatic Ductal Adenocarcinoma.

The Importance of Stroma and Stromal SMA Expression in Pancreatic Ductal Adenocarcinoma.

Objective: Pancreatic stellate cells (PSC) have been defined to be the key players in pancreatic fibrogenesis and carcinogenesis. They undergo myofibroblast-like differentiation, express α-smooth muscle actin (α-SMA), and play a crucial role in injury and inflammation sites. This study aims to evaluate the relationship between α-SMA expression and histopathological parameters of pancreatic ductal adenocarcinoma (PDAC), and investigate their association with prognosis.

Material and methods: Eighty-one consecutive pancreatectomies diagnosed as usual pancreatic ductal adenocarcinoma were included. The stromal density was scored as loose, moderate, or dense, and α-SMA expression was evaluated immunohistochemically.

Results and conclusion: Mean survival was 19.6 months. Male gender, larger tumor diameter ( > 3.7 cm), and older age ( > 64 years) were identified as independent poor prognostic factors. Perineural invasion significantly effected survival. A statistically significant correlation was found between high α-SMA expression and the presence of angioinvasion (p=0.01). Stromal α-SMA expression in PDAC may help determine the risk of angioinvasion.

求助全文
通过发布文献求助,成功后即可免费获取论文全文。 去求助
来源期刊
CiteScore
1.90
自引率
10.00%
发文量
23
审稿时长
14 weeks
×
引用
GB/T 7714-2015
复制
MLA
复制
APA
复制
导出至
BibTeX EndNote RefMan NoteFirst NoteExpress
×
提示
您的信息不完整,为了账户安全,请先补充。
现在去补充
×
提示
您因"违规操作"
具体请查看互助需知
我知道了
×
提示
确定
请完成安全验证×
copy
已复制链接
快去分享给好友吧!
我知道了
右上角分享
点击右上角分享
0
联系我们:info@booksci.cn Book学术提供免费学术资源搜索服务,方便国内外学者检索中英文文献。致力于提供最便捷和优质的服务体验。 Copyright © 2023 布克学术 All rights reserved.
京ICP备2023020795号-1
ghs 京公网安备 11010802042870号
Book学术文献互助
Book学术文献互助群
群 号:604180095
Book学术官方微信