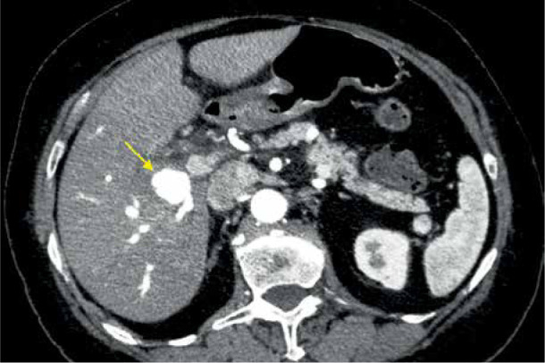
一名系统性红斑狼疮血管炎患者的右肝动脉分支肝内动脉瘤。

IF 2.5 Q3 GASTROENTEROLOGY & HEPATOLOGY
Przegla̜d Gastroenterologiczny Pub Date : 2024-01-01 Epub Date: 2024-03-14 DOI:10.5114/pg.2024.136247
Zoi Nitsa, Francesk Mulita, Maria Sotiropoulou, Andreas Panagakis, Markos Despotidis, Lysandros Karydakis, Dimitrios Schizas, Michail Vailas
{"title":"一名系统性红斑狼疮血管炎患者的右肝动脉分支肝内动脉瘤。","authors":"Zoi Nitsa, Francesk Mulita, Maria Sotiropoulou, Andreas Panagakis, Markos Despotidis, Lysandros Karydakis, Dimitrios Schizas, Michail Vailas","doi":"10.5114/pg.2024.136247","DOIUrl":null,"url":null,"abstract":"","PeriodicalId":20719,"journal":{"name":"Przegla̜d Gastroenterologiczny","volume":"19 2","pages":"214-216"},"PeriodicalIF":2.5000,"publicationDate":"2024-01-01","publicationTypes":"Journal Article","fieldsOfStudy":null,"isOpenAccess":false,"openAccessPdf":"https://www.ncbi.nlm.nih.gov/pmc/articles/PMC11200073/pdf/","citationCount":"0","resultStr":"{\"title\":\"Intrahepatic aneurysm in a branch of the right hepatic artery in a patient with vasculitis due to systemic lupus erythematosus.\",\"authors\":\"Zoi Nitsa, Francesk Mulita, Maria Sotiropoulou, Andreas Panagakis, Markos Despotidis, Lysandros Karydakis, Dimitrios Schizas, Michail Vailas\",\"doi\":\"10.5114/pg.2024.136247\",\"DOIUrl\":null,\"url\":null,\"abstract\":\"\",\"PeriodicalId\":20719,\"journal\":{\"name\":\"Przegla̜d Gastroenterologiczny\",\"volume\":\"19 2\",\"pages\":\"214-216\"},\"PeriodicalIF\":2.5000,\"publicationDate\":\"2024-01-01\",\"publicationTypes\":\"Journal Article\",\"fieldsOfStudy\":null,\"isOpenAccess\":false,\"openAccessPdf\":\"https://www.ncbi.nlm.nih.gov/pmc/articles/PMC11200073/pdf/\",\"citationCount\":\"0\",\"resultStr\":null,\"platform\":\"Semanticscholar\",\"paperid\":null,\"PeriodicalName\":\"Przegla̜d Gastroenterologiczny\",\"FirstCategoryId\":\"1085\",\"ListUrlMain\":\"https://doi.org/10.5114/pg.2024.136247\",\"RegionNum\":0,\"RegionCategory\":null,\"ArticlePicture\":[],\"TitleCN\":null,\"AbstractTextCN\":null,\"PMCID\":null,\"EPubDate\":\"2024/3/14 0:00:00\",\"PubModel\":\"Epub\",\"JCR\":\"Q3\",\"JCRName\":\"GASTROENTEROLOGY & HEPATOLOGY\",\"Score\":null,\"Total\":0}","platform":"Semanticscholar","paperid":null,"PeriodicalName":"Przegla̜d Gastroenterologiczny","FirstCategoryId":"1085","ListUrlMain":"https://doi.org/10.5114/pg.2024.136247","RegionNum":0,"RegionCategory":null,"ArticlePicture":[],"TitleCN":null,"AbstractTextCN":null,"PMCID":null,"EPubDate":"2024/3/14 0:00:00","PubModel":"Epub","JCR":"Q3","JCRName":"GASTROENTEROLOGY & HEPATOLOGY","Score":null,"Total":0}
引用次数: 0

摘要

本文章由计算机程序翻译,如有差异,请以英文原文为准。

Intrahepatic aneurysm in a branch of the right hepatic artery in a patient with vasculitis due to systemic lupus erythematosus.

Intrahepatic aneurysm in a branch of the right hepatic artery in a patient with vasculitis due to systemic lupus erythematosus.

Intrahepatic aneurysm in a branch of the right hepatic artery in a patient with vasculitis due to systemic lupus erythematosus.

Intrahepatic aneurysm in a branch of the right hepatic artery in a patient with vasculitis due to systemic lupus erythematosus.
求助全文
通过发布文献求助,成功后即可免费获取论文全文。 去求助
来源期刊
Przegla̜d Gastroenterologiczny
Przegla̜d Gastroenterologiczny GASTROENTEROLOGY & HEPATOLOGY-
CiteScore
2.20
自引率
7.70%
发文量
50
审稿时长
6-12 weeks
期刊介绍: Gastroenterology Review is a journal published each 2 months, aimed at gastroenterologists and general practitioners. Published under the patronage of Consultant in Gastroenterology and Polish Pancreatic Club.
×
引用
GB/T 7714-2015
复制
MLA
复制
APA
复制
导出至
BibTeX EndNote RefMan NoteFirst NoteExpress
×
提示
您的信息不完整,为了账户安全,请先补充。
现在去补充
×
提示
您因"违规操作"
具体请查看互助需知
我知道了
×
提示
确定
请完成安全验证×
copy
已复制链接
快去分享给好友吧!
我知道了
右上角分享
点击右上角分享
0
联系我们:info@booksci.cn Book学术提供免费学术资源搜索服务,方便国内外学者检索中英文文献。致力于提供最便捷和优质的服务体验。 Copyright © 2023 布克学术 All rights reserved.
京ICP备2023020795号-1
ghs 京公网安备 11010802042870号
Book学术文献互助
Book学术文献互助群
群 号:604180095
Book学术官方微信