原发性颅神经淋巴瘤病的临床和基因组概况

IF 2.7 Q3 HEMATOLOGY
Journal of Blood Medicine Pub Date : 2024-06-24 eCollection Date: 2024-01-01 DOI:10.2147/JBM.S459123
Emily B Wolf, Robin Imperial, Liuyan Jiang, Amit K Agarwal, Han W Tun
{"title":"原发性颅神经淋巴瘤病的临床和基因组概况","authors":"Emily B Wolf, Robin Imperial, Liuyan Jiang, Amit K Agarwal, Han W Tun","doi":"10.2147/JBM.S459123","DOIUrl":null,"url":null,"abstract":"<p><p>Primary cranial neurolymphomatosis (PCNL) is a rare subtype of primary CNS lymphoma (PCNSL) in which infiltrative lymphomatous involvement is confined to cranial nerves. Here, we report a case of PCNL with successful genomic profiling. A 57-year-old male had a lengthy prediagnostic phase spanning approximately 30 months, characterized by multiple episodes of cranial neuropathies managed by steroids. At the time of diagnosis, the patient had right-sided cranial neuropathies involving cranial nerves (CN) V, VI, and VII. Pathological findings of the right cavernous lesion biopsy were consistent with large B-cell lymphoma-infiltrating nerve fibers. The clinical course was aggressive and refractory, characterized by relentless progression with the development of cervical spinal neurolymphomatosis, cerebrospinal fluid involvement, and ependymal and intraparenchymal cerebral involvement, despite multiple lines of therapy, including chemoimmunotherapy, Bruton's tyrosine kinase inhibitor, radiation, autologous stem cell transplant, chimeric antigen receptor T-cell therapy (CAR-T), and whole-brain radiation. The patient survived for 22 months from the time of the initial diagnosis and 52 months after the first episode of cranial neuropathy. Next-generation sequencing identified mutations (MYD88, CD79b, and PIM1) that are frequently observed in PCNSL. The unusual findings included a total of 22 mutations involving PIM1, indicating a highly active aberrant somatic hypermutation and two missense CXCR4 mutations. CXCR4 mutations have never been described in PCNSL and may have implications for disease biology and therapeutic interventions. We provide a literature review to further elucidate PCNL.</p>","PeriodicalId":15166,"journal":{"name":"Journal of Blood Medicine","volume":"15 ","pages":"291-303"},"PeriodicalIF":2.7000,"publicationDate":"2024-06-24","publicationTypes":"Journal Article","fieldsOfStudy":null,"isOpenAccess":false,"openAccessPdf":"https://www.ncbi.nlm.nih.gov/pmc/articles/PMC11212808/pdf/","citationCount":"0","resultStr":"{\"title\":\"Clinical and Genomic Profile of Primary Cranial Neurolymphomatosis.\",\"authors\":\"Emily B Wolf, Robin Imperial, Liuyan Jiang, Amit K Agarwal, Han W Tun\",\"doi\":\"10.2147/JBM.S459123\",\"DOIUrl\":null,\"url\":null,\"abstract\":\"<p><p>Primary cranial neurolymphomatosis (PCNL) is a rare subtype of primary CNS lymphoma (PCNSL) in which infiltrative lymphomatous involvement is confined to cranial nerves. Here, we report a case of PCNL with successful genomic profiling. A 57-year-old male had a lengthy prediagnostic phase spanning approximately 30 months, characterized by multiple episodes of cranial neuropathies managed by steroids. At the time of diagnosis, the patient had right-sided cranial neuropathies involving cranial nerves (CN) V, VI, and VII. Pathological findings of the right cavernous lesion biopsy were consistent with large B-cell lymphoma-infiltrating nerve fibers. The clinical course was aggressive and refractory, characterized by relentless progression with the development of cervical spinal neurolymphomatosis, cerebrospinal fluid involvement, and ependymal and intraparenchymal cerebral involvement, despite multiple lines of therapy, including chemoimmunotherapy, Bruton's tyrosine kinase inhibitor, radiation, autologous stem cell transplant, chimeric antigen receptor T-cell therapy (CAR-T), and whole-brain radiation. The patient survived for 22 months from the time of the initial diagnosis and 52 months after the first episode of cranial neuropathy. Next-generation sequencing identified mutations (MYD88, CD79b, and PIM1) that are frequently observed in PCNSL. The unusual findings included a total of 22 mutations involving PIM1, indicating a highly active aberrant somatic hypermutation and two missense CXCR4 mutations. CXCR4 mutations have never been described in PCNSL and may have implications for disease biology and therapeutic interventions. We provide a literature review to further elucidate PCNL.</p>\",\"PeriodicalId\":15166,\"journal\":{\"name\":\"Journal of Blood Medicine\",\"volume\":\"15 \",\"pages\":\"291-303\"},\"PeriodicalIF\":2.7000,\"publicationDate\":\"2024-06-24\",\"publicationTypes\":\"Journal Article\",\"fieldsOfStudy\":null,\"isOpenAccess\":false,\"openAccessPdf\":\"https://www.ncbi.nlm.nih.gov/pmc/articles/PMC11212808/pdf/\",\"citationCount\":\"0\",\"resultStr\":null,\"platform\":\"Semanticscholar\",\"paperid\":null,\"PeriodicalName\":\"Journal of Blood Medicine\",\"FirstCategoryId\":\"1085\",\"ListUrlMain\":\"https://doi.org/10.2147/JBM.S459123\",\"RegionNum\":0,\"RegionCategory\":null,\"ArticlePicture\":[],\"TitleCN\":null,\"AbstractTextCN\":null,\"PMCID\":null,\"EPubDate\":\"2024/1/1 0:00:00\",\"PubModel\":\"eCollection\",\"JCR\":\"Q3\",\"JCRName\":\"HEMATOLOGY\",\"Score\":null,\"Total\":0}","platform":"Semanticscholar","paperid":null,"PeriodicalName":"Journal of Blood Medicine","FirstCategoryId":"1085","ListUrlMain":"https://doi.org/10.2147/JBM.S459123","RegionNum":0,"RegionCategory":null,"ArticlePicture":[],"TitleCN":null,"AbstractTextCN":null,"PMCID":null,"EPubDate":"2024/1/1 0:00:00","PubModel":"eCollection","JCR":"Q3","JCRName":"HEMATOLOGY","Score":null,"Total":0}
引用次数: 0

摘要

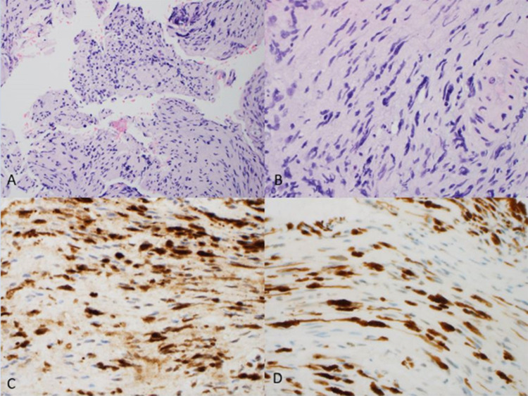
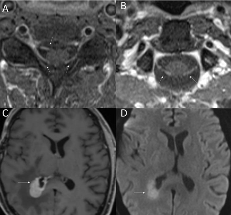
原发性颅神经淋巴瘤病(PCNL)是原发性中枢神经系统淋巴瘤(PCNSL)的一种罕见亚型,淋巴瘤浸润累及范围仅限于颅神经。在此,我们报告了一例成功进行基因组分析的 PCNL 病例。一名 57 岁的男性患者在诊断前经历了长达约 30 个月的漫长阶段,主要表现为通过类固醇治疗的多次颅神经痛。确诊时,患者右侧颅神经病变,累及颅神经(CN)V、VI 和 VII。右侧海绵状病变活检的病理结果与大 B 细胞淋巴瘤浸润神经纤维一致。患者的临床病程具有侵袭性和难治性,特点是病情无情发展,出现颈椎神经淋巴瘤病、脑脊液受累、脑外膜和脑实质内受累,尽管采用了多种疗法,包括化疗免疫疗法、布鲁顿酪氨酸激酶抑制剂、放射治疗、自体干细胞移植、嵌合抗原受体T细胞疗法(CAR-T)和全脑放射治疗。患者从最初诊断时起存活了22个月,在首次颅神经病变发作后存活了52个月。新一代测序发现了 PCNSL 中经常出现的突变(MYD88、CD79b 和 PIM1)。不寻常的发现包括涉及 PIM1 的总共 22 个突变,表明存在高度活跃的异常体细胞高突变和两个错义 CXCR4 突变。CXCR4突变从未在PCNSL中出现过,可能会对疾病生物学和治疗干预产生影响。我们通过文献综述来进一步阐明 PCNL。
本文章由计算机程序翻译,如有差异,请以英文原文为准。

Clinical and Genomic Profile of Primary Cranial Neurolymphomatosis.

Clinical and Genomic Profile of Primary Cranial Neurolymphomatosis.

Clinical and Genomic Profile of Primary Cranial Neurolymphomatosis.

Clinical and Genomic Profile of Primary Cranial Neurolymphomatosis.

Primary cranial neurolymphomatosis (PCNL) is a rare subtype of primary CNS lymphoma (PCNSL) in which infiltrative lymphomatous involvement is confined to cranial nerves. Here, we report a case of PCNL with successful genomic profiling. A 57-year-old male had a lengthy prediagnostic phase spanning approximately 30 months, characterized by multiple episodes of cranial neuropathies managed by steroids. At the time of diagnosis, the patient had right-sided cranial neuropathies involving cranial nerves (CN) V, VI, and VII. Pathological findings of the right cavernous lesion biopsy were consistent with large B-cell lymphoma-infiltrating nerve fibers. The clinical course was aggressive and refractory, characterized by relentless progression with the development of cervical spinal neurolymphomatosis, cerebrospinal fluid involvement, and ependymal and intraparenchymal cerebral involvement, despite multiple lines of therapy, including chemoimmunotherapy, Bruton's tyrosine kinase inhibitor, radiation, autologous stem cell transplant, chimeric antigen receptor T-cell therapy (CAR-T), and whole-brain radiation. The patient survived for 22 months from the time of the initial diagnosis and 52 months after the first episode of cranial neuropathy. Next-generation sequencing identified mutations (MYD88, CD79b, and PIM1) that are frequently observed in PCNSL. The unusual findings included a total of 22 mutations involving PIM1, indicating a highly active aberrant somatic hypermutation and two missense CXCR4 mutations. CXCR4 mutations have never been described in PCNSL and may have implications for disease biology and therapeutic interventions. We provide a literature review to further elucidate PCNL.

求助全文
通过发布文献求助,成功后即可免费获取论文全文。 去求助
来源期刊
CiteScore
3.50
自引率
0.00%
发文量
94
审稿时长
16 weeks
期刊介绍: The Journal of Blood Medicine is an international, peer-reviewed, open access, online journal publishing laboratory, experimental and clinical aspects of all topics pertaining to blood based medicine including but not limited to: Transfusion Medicine (blood components, stem cell transplantation, apheresis, gene based therapeutics), Blood collection, Donor issues, Transmittable diseases, and Blood banking logistics, Immunohematology, Artificial and alternative blood based therapeutics, Hematology including disorders/pathology related to leukocytes/immunology, red cells, platelets and hemostasis, Biotechnology/nanotechnology of blood related medicine, Legal aspects of blood medicine, Historical perspectives. Original research, short reports, reviews, case reports and commentaries are invited.
×
引用
GB/T 7714-2015
复制
MLA
复制
APA
复制
导出至
BibTeX EndNote RefMan NoteFirst NoteExpress
×
提示
您的信息不完整,为了账户安全,请先补充。
现在去补充
×
提示
您因"违规操作"
具体请查看互助需知
我知道了
×
提示
确定
请完成安全验证×
copy
已复制链接
快去分享给好友吧!
我知道了
右上角分享
点击右上角分享
0
联系我们:info@booksci.cn Book学术提供免费学术资源搜索服务,方便国内外学者检索中英文文献。致力于提供最便捷和优质的服务体验。 Copyright © 2023 布克学术 All rights reserved.
京ICP备2023020795号-1
ghs 京公网安备 11010802042870号
Book学术文献互助
Book学术文献互助群
群 号:604180095
Book学术官方微信