使用 BIOMED-2 检测法对典型霍奇金淋巴瘤进行 T 细胞受体 gamma 基因重排分析:对 100 例石蜡包埋组织的分析。

IF 1.4 Q4 HEMATOLOGY
Katsuyoshi Takata, Tomoko Miyata-Takata, Asami Nishikori, Tomoka Haratake, Yasuharu Sato
{"title":"使用 BIOMED-2 检测法对典型霍奇金淋巴瘤进行 T 细胞受体 gamma 基因重排分析:对 100 例石蜡包埋组织的分析。","authors":"Katsuyoshi Takata, Tomoko Miyata-Takata, Asami Nishikori, Tomoka Haratake, Yasuharu Sato","doi":"10.3960/jslrt.24027","DOIUrl":null,"url":null,"abstract":"<p><p>In the new WHO classifications of haematolymphoid tumours (WHO-HAEM5), classic Hodgkin lymphoma (cHL) is categorized into B-cell lymphoid proliferations and lymphomas. Although the majority of Hodgkin Reed-Sternberg (HRS) cells are of germinal center B-cell origin with some defects of B-cell transcription factors, they rarely express T-cell antigens or cytotoxic molecules. Clonality analyses on cHL samples using BIOMED-2 have been reported by several groups; however, those studies were only focused on Ig regions, including IgH, Ig-kappa, and Ig-lambda, and TCR-γ clonality analysis of cHL has not yet been explored. Here, we investigated TCR-γ gene rearrangement for one hundred cases using a PCR-based method. Four of one hundred (4%) cases showed TCR-γ clonal peaks. Of these, three were at an advanced stage and one patient died of the disease. To clarify whether HRS cells showed T-cell clonality or not, we performed PCR analysis using DNAs of microdissected HRS cells. Three samples showed identical clonal peaks with bulk specimens. Our results indicate that cHL is a heterogeneous disease of mainly B-cell and rarely T-cell origin with a special phenotype. Further molecular studies are warranted.</p>","PeriodicalId":45936,"journal":{"name":"Journal of Clinical and Experimental Hematopathology","volume":"64 2","pages":"138-143"},"PeriodicalIF":1.4000,"publicationDate":"2024-01-01","publicationTypes":"Journal Article","fieldsOfStudy":null,"isOpenAccess":false,"openAccessPdf":"https://www.ncbi.nlm.nih.gov/pmc/articles/PMC11303964/pdf/","citationCount":"0","resultStr":"{\"title\":\"T-cell receptor gamma gene rearrangement analysis of classic Hodgkin lymphoma using a BIOMED-2 assay: a paraffin-embedded tissue analysis of one hundred cases.\",\"authors\":\"Katsuyoshi Takata, Tomoko Miyata-Takata, Asami Nishikori, Tomoka Haratake, Yasuharu Sato\",\"doi\":\"10.3960/jslrt.24027\",\"DOIUrl\":null,\"url\":null,\"abstract\":\"<p><p>In the new WHO classifications of haematolymphoid tumours (WHO-HAEM5), classic Hodgkin lymphoma (cHL) is categorized into B-cell lymphoid proliferations and lymphomas. Although the majority of Hodgkin Reed-Sternberg (HRS) cells are of germinal center B-cell origin with some defects of B-cell transcription factors, they rarely express T-cell antigens or cytotoxic molecules. Clonality analyses on cHL samples using BIOMED-2 have been reported by several groups; however, those studies were only focused on Ig regions, including IgH, Ig-kappa, and Ig-lambda, and TCR-γ clonality analysis of cHL has not yet been explored. Here, we investigated TCR-γ gene rearrangement for one hundred cases using a PCR-based method. Four of one hundred (4%) cases showed TCR-γ clonal peaks. Of these, three were at an advanced stage and one patient died of the disease. To clarify whether HRS cells showed T-cell clonality or not, we performed PCR analysis using DNAs of microdissected HRS cells. Three samples showed identical clonal peaks with bulk specimens. Our results indicate that cHL is a heterogeneous disease of mainly B-cell and rarely T-cell origin with a special phenotype. Further molecular studies are warranted.</p>\",\"PeriodicalId\":45936,\"journal\":{\"name\":\"Journal of Clinical and Experimental Hematopathology\",\"volume\":\"64 2\",\"pages\":\"138-143\"},\"PeriodicalIF\":1.4000,\"publicationDate\":\"2024-01-01\",\"publicationTypes\":\"Journal Article\",\"fieldsOfStudy\":null,\"isOpenAccess\":false,\"openAccessPdf\":\"https://www.ncbi.nlm.nih.gov/pmc/articles/PMC11303964/pdf/\",\"citationCount\":\"0\",\"resultStr\":null,\"platform\":\"Semanticscholar\",\"paperid\":null,\"PeriodicalName\":\"Journal of Clinical and Experimental Hematopathology\",\"FirstCategoryId\":\"1085\",\"ListUrlMain\":\"https://doi.org/10.3960/jslrt.24027\",\"RegionNum\":0,\"RegionCategory\":null,\"ArticlePicture\":[],\"TitleCN\":null,\"AbstractTextCN\":null,\"PMCID\":null,\"EPubDate\":\"\",\"PubModel\":\"\",\"JCR\":\"Q4\",\"JCRName\":\"HEMATOLOGY\",\"Score\":null,\"Total\":0}","platform":"Semanticscholar","paperid":null,"PeriodicalName":"Journal of Clinical and Experimental Hematopathology","FirstCategoryId":"1085","ListUrlMain":"https://doi.org/10.3960/jslrt.24027","RegionNum":0,"RegionCategory":null,"ArticlePicture":[],"TitleCN":null,"AbstractTextCN":null,"PMCID":null,"EPubDate":"","PubModel":"","JCR":"Q4","JCRName":"HEMATOLOGY","Score":null,"Total":0}
引用次数: 0

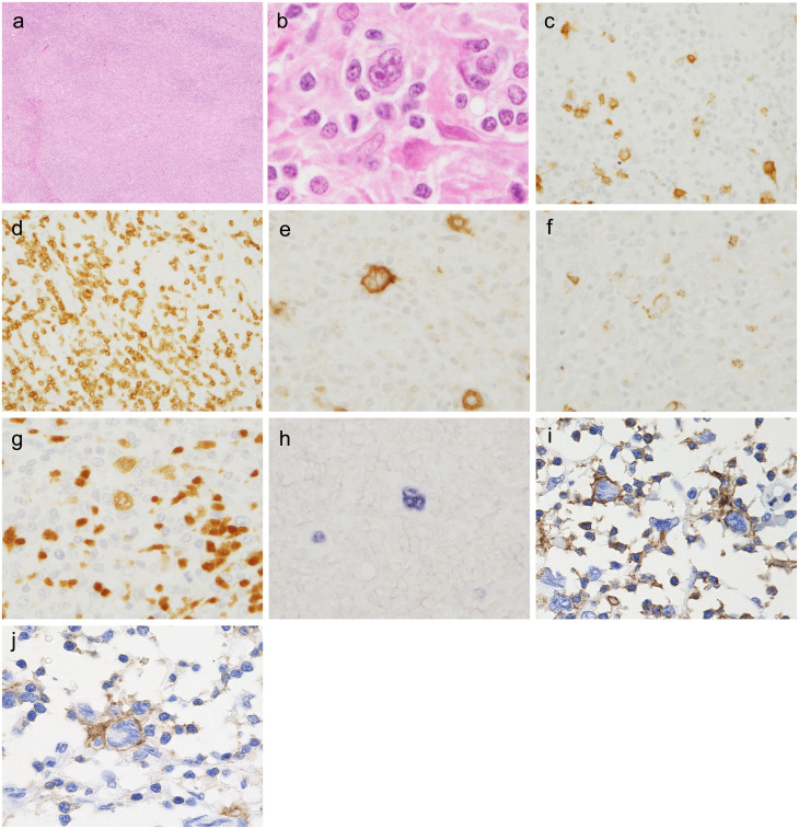
摘要

在世界卫生组织新的血液淋巴肿瘤分类(WHO-HAEM5)中,典型霍奇金淋巴瘤(cHL)被分为B细胞淋巴增生和淋巴瘤。虽然大多数霍奇金里德-斯特恩伯格(HRS)细胞起源于生殖中心B细胞,存在一些B细胞转录因子缺陷,但它们很少表达T细胞抗原或细胞毒性分子。已有多个研究小组报道了使用 BIOMED-2 对 cHL 样本进行克隆性分析,但这些研究只关注 Ig 区域,包括 IgH、Ig-kappa 和 Ig-lambda,而对 cHL 的 TCR-γ 克隆性分析尚未进行探讨。在此,我们采用基于 PCR 的方法调查了 100 例病例的 TCR-γ 基因重排情况。100 例病例中有 4 例(4%)出现了 TCR-γ 克隆峰。其中三例处于晚期,一例患者死于该病。为了明确HRS细胞是否具有T细胞克隆性,我们使用微切片HRS细胞的DNA进行了PCR分析。三个样本显示出与大块样本相同的克隆峰。我们的研究结果表明,cHL是一种异质性疾病,主要来源于B细胞,很少来源于T细胞,具有特殊的表型。有必要开展进一步的分子研究。
本文章由计算机程序翻译,如有差异,请以英文原文为准。

T-cell receptor gamma gene rearrangement analysis of classic Hodgkin lymphoma using a BIOMED-2 assay: a paraffin-embedded tissue analysis of one hundred cases.

T-cell receptor gamma gene rearrangement analysis of classic Hodgkin lymphoma using a BIOMED-2 assay: a paraffin-embedded tissue analysis of one hundred cases.

T-cell receptor gamma gene rearrangement analysis of classic Hodgkin lymphoma using a BIOMED-2 assay: a paraffin-embedded tissue analysis of one hundred cases.

In the new WHO classifications of haematolymphoid tumours (WHO-HAEM5), classic Hodgkin lymphoma (cHL) is categorized into B-cell lymphoid proliferations and lymphomas. Although the majority of Hodgkin Reed-Sternberg (HRS) cells are of germinal center B-cell origin with some defects of B-cell transcription factors, they rarely express T-cell antigens or cytotoxic molecules. Clonality analyses on cHL samples using BIOMED-2 have been reported by several groups; however, those studies were only focused on Ig regions, including IgH, Ig-kappa, and Ig-lambda, and TCR-γ clonality analysis of cHL has not yet been explored. Here, we investigated TCR-γ gene rearrangement for one hundred cases using a PCR-based method. Four of one hundred (4%) cases showed TCR-γ clonal peaks. Of these, three were at an advanced stage and one patient died of the disease. To clarify whether HRS cells showed T-cell clonality or not, we performed PCR analysis using DNAs of microdissected HRS cells. Three samples showed identical clonal peaks with bulk specimens. Our results indicate that cHL is a heterogeneous disease of mainly B-cell and rarely T-cell origin with a special phenotype. Further molecular studies are warranted.

求助全文
通过发布文献求助,成功后即可免费获取论文全文。 去求助
来源期刊
CiteScore
2.00
自引率
6.70%
发文量
25
审稿时长
11 weeks
×
引用
GB/T 7714-2015
复制
MLA
复制
APA
复制
导出至
BibTeX EndNote RefMan NoteFirst NoteExpress
×
提示
您的信息不完整,为了账户安全,请先补充。
现在去补充
×
提示
您因"违规操作"
具体请查看互助需知
我知道了
×
提示
确定
请完成安全验证×
copy
已复制链接
快去分享给好友吧!
我知道了
右上角分享
点击右上角分享
0
联系我们:info@booksci.cn Book学术提供免费学术资源搜索服务,方便国内外学者检索中英文文献。致力于提供最便捷和优质的服务体验。 Copyright © 2023 布克学术 All rights reserved.
京ICP备2023020795号-1
ghs 京公网安备 11010802042870号
Book学术文献互助
Book学术文献互助群
群 号:604180095
Book学术官方微信