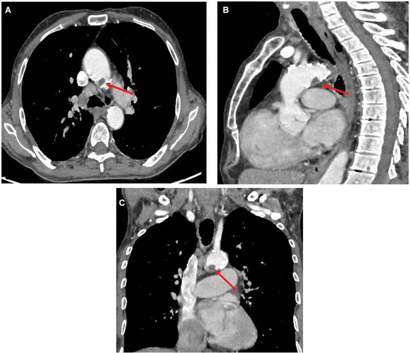
主动脉弓内漂浮的血栓:罕见图像。

Q3 Medicine
AORTA Pub Date : 2024-02-01 Epub Date: 2024-06-25 DOI:10.1055/s-0044-1787790
Mohamed Reda Cherkaoui Jaouad, Abdoulrazak Egueh Nour, Amal Miqdadi, Mohamed Mahi, Nawal Bouknani
{"title":"主动脉弓内漂浮的血栓:罕见图像。","authors":"Mohamed Reda Cherkaoui Jaouad, Abdoulrazak Egueh Nour, Amal Miqdadi, Mohamed Mahi, Nawal Bouknani","doi":"10.1055/s-0044-1787790","DOIUrl":null,"url":null,"abstract":"<p><p>Aortic floating thrombus is a rare, life-threatening disease. Most cases of aortic thrombus are diagnosed after embolic events; however, on rare occasion we may diagnose this condition incidentally during routine examinations as in our case.</p>","PeriodicalId":52392,"journal":{"name":"AORTA","volume":" ","pages":"23-24"},"PeriodicalIF":0.0000,"publicationDate":"2024-02-01","publicationTypes":"Journal Article","fieldsOfStudy":null,"isOpenAccess":false,"openAccessPdf":"https://www.ncbi.nlm.nih.gov/pmc/articles/PMC11606678/pdf/","citationCount":"0","resultStr":"{\"title\":\"Floating Thrombus in the Aortic Arch: Rare Images.\",\"authors\":\"Mohamed Reda Cherkaoui Jaouad, Abdoulrazak Egueh Nour, Amal Miqdadi, Mohamed Mahi, Nawal Bouknani\",\"doi\":\"10.1055/s-0044-1787790\",\"DOIUrl\":null,\"url\":null,\"abstract\":\"<p><p>Aortic floating thrombus is a rare, life-threatening disease. Most cases of aortic thrombus are diagnosed after embolic events; however, on rare occasion we may diagnose this condition incidentally during routine examinations as in our case.</p>\",\"PeriodicalId\":52392,\"journal\":{\"name\":\"AORTA\",\"volume\":\" \",\"pages\":\"23-24\"},\"PeriodicalIF\":0.0000,\"publicationDate\":\"2024-02-01\",\"publicationTypes\":\"Journal Article\",\"fieldsOfStudy\":null,\"isOpenAccess\":false,\"openAccessPdf\":\"https://www.ncbi.nlm.nih.gov/pmc/articles/PMC11606678/pdf/\",\"citationCount\":\"0\",\"resultStr\":null,\"platform\":\"Semanticscholar\",\"paperid\":null,\"PeriodicalName\":\"AORTA\",\"FirstCategoryId\":\"1085\",\"ListUrlMain\":\"https://doi.org/10.1055/s-0044-1787790\",\"RegionNum\":0,\"RegionCategory\":null,\"ArticlePicture\":[],\"TitleCN\":null,\"AbstractTextCN\":null,\"PMCID\":null,\"EPubDate\":\"2024/6/25 0:00:00\",\"PubModel\":\"Epub\",\"JCR\":\"Q3\",\"JCRName\":\"Medicine\",\"Score\":null,\"Total\":0}","platform":"Semanticscholar","paperid":null,"PeriodicalName":"AORTA","FirstCategoryId":"1085","ListUrlMain":"https://doi.org/10.1055/s-0044-1787790","RegionNum":0,"RegionCategory":null,"ArticlePicture":[],"TitleCN":null,"AbstractTextCN":null,"PMCID":null,"EPubDate":"2024/6/25 0:00:00","PubModel":"Epub","JCR":"Q3","JCRName":"Medicine","Score":null,"Total":0}
引用次数: 0

摘要

主动脉浮栓是一种罕见的危及生命的疾病。大多数主动脉血栓病例都是在发生栓塞事件后才被诊断出来的;然而,在极少数情况下,我们可能会在常规检查中偶然诊断出这种疾病,就像我们的病例一样。
本文章由计算机程序翻译,如有差异,请以英文原文为准。

Floating Thrombus in the Aortic Arch: Rare Images.

Floating Thrombus in the Aortic Arch: Rare Images.

Aortic floating thrombus is a rare, life-threatening disease. Most cases of aortic thrombus are diagnosed after embolic events; however, on rare occasion we may diagnose this condition incidentally during routine examinations as in our case.

求助全文
通过发布文献求助,成功后即可免费获取论文全文。 去求助
来源期刊
AORTA
AORTA Medicine-Surgery
CiteScore
1.00
自引率
0.00%
发文量
119
×
引用
GB/T 7714-2015
复制
MLA
复制
APA
复制
导出至
BibTeX EndNote RefMan NoteFirst NoteExpress
×
提示
您的信息不完整,为了账户安全,请先补充。
现在去补充
×
提示
您因"违规操作"
具体请查看互助需知
我知道了
×
提示
确定
请完成安全验证×
copy
已复制链接
快去分享给好友吧!
我知道了
右上角分享
点击右上角分享
0
联系我们:info@booksci.cn Book学术提供免费学术资源搜索服务,方便国内外学者检索中英文文献。致力于提供最便捷和优质的服务体验。 Copyright © 2023 布克学术 All rights reserved.
京ICP备2023020795号-1
ghs 京公网安备 11010802042870号
Book学术文献互助
Book学术文献互助群
群 号:604180095
Book学术官方微信