LINE-1 ORF1p 是宫颈上皮内瘤变程度评估中一种有前途的生物标记物。

IF 1.7 4区 医学 Q3 OBSTETRICS & GYNECOLOGY
Réka Karkas, Khaldoon Sadiq Ahmed Abdullah, László Kaizer, Ádám Ürmös, May Raya, Lilla Tiszlavicz, Tibor Pankotai, István Nagy, Lajos Mátés, Farkas Sükösd
{"title":"LINE-1 ORF1p 是宫颈上皮内瘤变程度评估中一种有前途的生物标记物。","authors":"Réka Karkas, Khaldoon Sadiq Ahmed Abdullah, László Kaizer, Ádám Ürmös, May Raya, Lilla Tiszlavicz, Tibor Pankotai, István Nagy, Lajos Mátés, Farkas Sükösd","doi":"10.1097/PGP.0000000000001035","DOIUrl":null,"url":null,"abstract":"<p><p>Cervical intraepithelial neoplasia (CIN) represents a spectrum of preinvasive squamous lesions within the cervical epithelium, whose identification is a diagnostic challenge due to subtle histomorphological differences among its categories. This study explores ORF1p, a nucleic acid-binding protein derived from long interspersed nuclear element-1 (LINE-1), as a potential biomarker for enhancing CIN diagnosis. A comprehensive analysis of 143 cervical specimens, encompassing CIN I (n=20), CIN II (n=46), CIN III (n=14), invasive cancer (n=32), and nondysplastic cases (normal cervical epithelia (n=24) and atrophy (n=7) were conducted. ORF1p, Ki67, and p16 expressions were evaluated using immunohistochemistry. ORF1p immunopositivity was detected in the vast majority [110/112 (98.2%)] of dysplastic and neoplastic (CIN and invasive cancer) specimens, whereas 19/24 (79.2%) of normal cervical specimens lacked ORF1p expression. The observed pattern of ORF1p expression showed a progressively increasing extent and intensity with advancing CIN grades. CIN I exhibited mild ORF1p expression in the lower one or two-thirds of the cervical epithelium [14/16 (87.5%)], whereas CIN II demonstrated moderate to strong ORF1p expression spanning the lower two-thirds [29/46 (63.0%)]. Pronounced transepithelial ORF1p immunopositivity characterized CIN III cases [13/14 (92.8%)] and cervical cancer [30/32 (93.8%)]. These findings propose ORF1p as a valuable indicator even for detecting CIN I, effectively discerning them from normal cervical tissue (p < 0.0001). Our findings underscore the potential of ORF1p as an early diagnostic marker for cervical neoplasia.</p>","PeriodicalId":14001,"journal":{"name":"International Journal of Gynecological Pathology","volume":" ","pages":"22-30"},"PeriodicalIF":1.7000,"publicationDate":"2025-01-01","publicationTypes":"Journal Article","fieldsOfStudy":null,"isOpenAccess":false,"openAccessPdf":"https://www.ncbi.nlm.nih.gov/pmc/articles/PMC11627315/pdf/","citationCount":"0","resultStr":"{\"title\":\"LINE-1 ORF1p is a Promising Biomarker in Cervical Intraepithelial Neoplasia Degree Assessment.\",\"authors\":\"Réka Karkas, Khaldoon Sadiq Ahmed Abdullah, László Kaizer, Ádám Ürmös, May Raya, Lilla Tiszlavicz, Tibor Pankotai, István Nagy, Lajos Mátés, Farkas Sükösd\",\"doi\":\"10.1097/PGP.0000000000001035\",\"DOIUrl\":null,\"url\":null,\"abstract\":\"<p><p>Cervical intraepithelial neoplasia (CIN) represents a spectrum of preinvasive squamous lesions within the cervical epithelium, whose identification is a diagnostic challenge due to subtle histomorphological differences among its categories. This study explores ORF1p, a nucleic acid-binding protein derived from long interspersed nuclear element-1 (LINE-1), as a potential biomarker for enhancing CIN diagnosis. A comprehensive analysis of 143 cervical specimens, encompassing CIN I (n=20), CIN II (n=46), CIN III (n=14), invasive cancer (n=32), and nondysplastic cases (normal cervical epithelia (n=24) and atrophy (n=7) were conducted. ORF1p, Ki67, and p16 expressions were evaluated using immunohistochemistry. ORF1p immunopositivity was detected in the vast majority [110/112 (98.2%)] of dysplastic and neoplastic (CIN and invasive cancer) specimens, whereas 19/24 (79.2%) of normal cervical specimens lacked ORF1p expression. The observed pattern of ORF1p expression showed a progressively increasing extent and intensity with advancing CIN grades. CIN I exhibited mild ORF1p expression in the lower one or two-thirds of the cervical epithelium [14/16 (87.5%)], whereas CIN II demonstrated moderate to strong ORF1p expression spanning the lower two-thirds [29/46 (63.0%)]. Pronounced transepithelial ORF1p immunopositivity characterized CIN III cases [13/14 (92.8%)] and cervical cancer [30/32 (93.8%)]. These findings propose ORF1p as a valuable indicator even for detecting CIN I, effectively discerning them from normal cervical tissue (p < 0.0001). Our findings underscore the potential of ORF1p as an early diagnostic marker for cervical neoplasia.</p>\",\"PeriodicalId\":14001,\"journal\":{\"name\":\"International Journal of Gynecological Pathology\",\"volume\":\" \",\"pages\":\"22-30\"},\"PeriodicalIF\":1.7000,\"publicationDate\":\"2025-01-01\",\"publicationTypes\":\"Journal Article\",\"fieldsOfStudy\":null,\"isOpenAccess\":false,\"openAccessPdf\":\"https://www.ncbi.nlm.nih.gov/pmc/articles/PMC11627315/pdf/\",\"citationCount\":\"0\",\"resultStr\":null,\"platform\":\"Semanticscholar\",\"paperid\":null,\"PeriodicalName\":\"International Journal of Gynecological Pathology\",\"FirstCategoryId\":\"3\",\"ListUrlMain\":\"https://doi.org/10.1097/PGP.0000000000001035\",\"RegionNum\":4,\"RegionCategory\":\"医学\",\"ArticlePicture\":[],\"TitleCN\":null,\"AbstractTextCN\":null,\"PMCID\":null,\"EPubDate\":\"2024/6/26 0:00:00\",\"PubModel\":\"Epub\",\"JCR\":\"Q3\",\"JCRName\":\"OBSTETRICS & GYNECOLOGY\",\"Score\":null,\"Total\":0}","platform":"Semanticscholar","paperid":null,"PeriodicalName":"International Journal of Gynecological Pathology","FirstCategoryId":"3","ListUrlMain":"https://doi.org/10.1097/PGP.0000000000001035","RegionNum":4,"RegionCategory":"医学","ArticlePicture":[],"TitleCN":null,"AbstractTextCN":null,"PMCID":null,"EPubDate":"2024/6/26 0:00:00","PubModel":"Epub","JCR":"Q3","JCRName":"OBSTETRICS & GYNECOLOGY","Score":null,"Total":0}
引用次数: 0

摘要

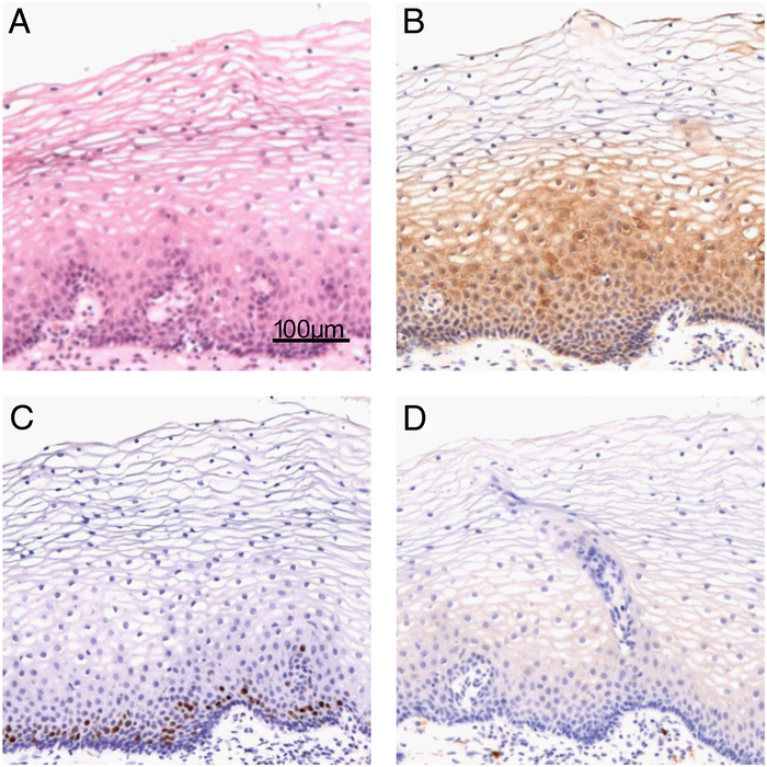
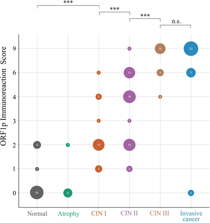
宫颈上皮内瘤变(CIN)是宫颈上皮内的一种侵袭性前鳞状病变,由于不同类别的组织形态存在细微差别,其鉴别是一项诊断难题。本研究探讨了 ORF1p(一种核酸结合蛋白,来源于长穿插核元素-1(LINE-1)),将其作为一种潜在的生物标志物,以提高 CIN 诊断的准确性。研究人员对 143 例宫颈标本进行了全面分析,包括 CIN I(20 例)、CIN II(46 例)、CIN III(14 例)、浸润癌(32 例)和非增生病例(正常宫颈上皮(24 例)和萎缩(7 例))。采用免疫组化方法评估 ORF1p、Ki67 和 p16 的表达。绝大多数[110/112(98.2%)]发育不良和肿瘤(CIN 和浸润癌)标本都检测到 ORF1p 免疫阳性,而 19/24(79.2%)例正常宫颈标本缺乏 ORF1p 表达。观察到的 ORF1p 表达模式显示,随着 CIN 等级的提高,ORF1p 表达的范围和强度逐渐增加。CIN I 在宫颈上皮的下1/3或下2/3处有轻度 ORF1p 表达[14/16(87.5%)],而 CIN II 在下2/3处有中度至重度 ORF1p 表达[29/46(63.0%)]。CINⅢ病例[13/14(92.8%)]和宫颈癌[30/32(93.8%)]具有明显的经上皮ORF1p免疫阳性特征。这些研究结果表明,ORF1p 甚至可以作为检测 CIN I 的重要指标,有效区分 CIN I 与正常宫颈组织(p < 0.0001)。我们的研究结果凸显了 ORF1p 作为宫颈肿瘤早期诊断标志物的潜力。
本文章由计算机程序翻译,如有差异,请以英文原文为准。

LINE-1 ORF1p is a Promising Biomarker in Cervical Intraepithelial Neoplasia Degree Assessment.

LINE-1 ORF1p is a Promising Biomarker in Cervical Intraepithelial Neoplasia Degree Assessment.

LINE-1 ORF1p is a Promising Biomarker in Cervical Intraepithelial Neoplasia Degree Assessment.

LINE-1 ORF1p is a Promising Biomarker in Cervical Intraepithelial Neoplasia Degree Assessment.

Cervical intraepithelial neoplasia (CIN) represents a spectrum of preinvasive squamous lesions within the cervical epithelium, whose identification is a diagnostic challenge due to subtle histomorphological differences among its categories. This study explores ORF1p, a nucleic acid-binding protein derived from long interspersed nuclear element-1 (LINE-1), as a potential biomarker for enhancing CIN diagnosis. A comprehensive analysis of 143 cervical specimens, encompassing CIN I (n=20), CIN II (n=46), CIN III (n=14), invasive cancer (n=32), and nondysplastic cases (normal cervical epithelia (n=24) and atrophy (n=7) were conducted. ORF1p, Ki67, and p16 expressions were evaluated using immunohistochemistry. ORF1p immunopositivity was detected in the vast majority [110/112 (98.2%)] of dysplastic and neoplastic (CIN and invasive cancer) specimens, whereas 19/24 (79.2%) of normal cervical specimens lacked ORF1p expression. The observed pattern of ORF1p expression showed a progressively increasing extent and intensity with advancing CIN grades. CIN I exhibited mild ORF1p expression in the lower one or two-thirds of the cervical epithelium [14/16 (87.5%)], whereas CIN II demonstrated moderate to strong ORF1p expression spanning the lower two-thirds [29/46 (63.0%)]. Pronounced transepithelial ORF1p immunopositivity characterized CIN III cases [13/14 (92.8%)] and cervical cancer [30/32 (93.8%)]. These findings propose ORF1p as a valuable indicator even for detecting CIN I, effectively discerning them from normal cervical tissue (p < 0.0001). Our findings underscore the potential of ORF1p as an early diagnostic marker for cervical neoplasia.

求助全文
通过发布文献求助,成功后即可免费获取论文全文。 去求助
来源期刊
CiteScore
3.90
自引率
12.50%
发文量
154
审稿时长
6-12 weeks
期刊介绍: International Journal of Gynecological Pathology is the official journal of the International Society of Gynecological Pathologists (ISGyP), and provides complete and timely coverage of advances in the understanding and management of gynecological disease. Emphasis is placed on investigations in the field of anatomic pathology. Articles devoted to experimental or animal pathology clearly relevant to an understanding of human disease are published, as are pathological and clinicopathological studies and individual case reports that offer new insights.
×
引用
GB/T 7714-2015
复制
MLA
复制
APA
复制
导出至
BibTeX EndNote RefMan NoteFirst NoteExpress
×
提示
您的信息不完整,为了账户安全,请先补充。
现在去补充
×
提示
您因"违规操作"
具体请查看互助需知
我知道了
×
提示
确定
请完成安全验证×
copy
已复制链接
快去分享给好友吧!
我知道了
右上角分享
点击右上角分享
0
联系我们:info@booksci.cn Book学术提供免费学术资源搜索服务,方便国内外学者检索中英文文献。致力于提供最便捷和优质的服务体验。 Copyright © 2023 布克学术 All rights reserved.
京ICP备2023020795号-1
ghs 京公网安备 11010802042870号
Book学术文献互助
Book学术文献互助群
群 号:604180095
Book学术官方微信