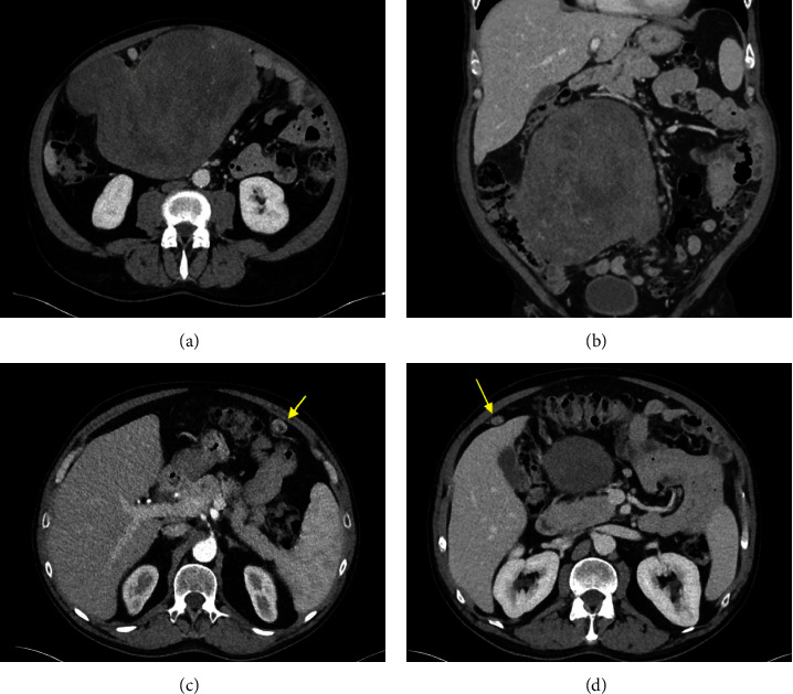
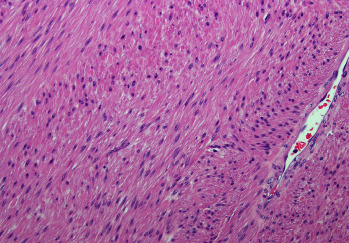
一名男性患者因 20 厘米腹腔内子宫肌瘤导致的非胰岛细胞瘤低血糖症:病例报告和文献综述。

IF 0.5 Q4 SURGERY
Case Reports in Surgery Pub Date : 2024-06-14 eCollection Date: 2024-01-01 DOI:10.1155/2024/6651107
Michelle D Lippincott, James D McDonald, Marilyn M Bui, Ricardo J Gonzalez, Rachel K Voss
{"title":"一名男性患者因 20 厘米腹腔内子宫肌瘤导致的非胰岛细胞瘤低血糖症:病例报告和文献综述。","authors":"Michelle D Lippincott, James D McDonald, Marilyn M Bui, Ricardo J Gonzalez, Rachel K Voss","doi":"10.1155/2024/6651107","DOIUrl":null,"url":null,"abstract":"<p><p>Non-islet cell tumor hypoglycemia (NICTH) is a rare clinical entity associated with large mesenchymal tumors. Its pathogenesis is most commonly mediated by tumor overproduction of \"big\" insulin-like growth factor-2. Here, we present a 54-year-old male who presented with noninsulin-mediated hypoglycemia and a 20 cm intra-abdominal leiomyoma. His hypoglycemic episodes resolved after the resection of his tumor. To our knowledge, this is the only documented case in the English literature of NICTH associated with leiomyoma in a male patient. NICTH due to a benign leiomyoma should be in the differential diagnosis for any patient with hypoglycemia and an abdominal mass.</p>","PeriodicalId":9600,"journal":{"name":"Case Reports in Surgery","volume":"2024 ","pages":"6651107"},"PeriodicalIF":0.5000,"publicationDate":"2024-06-14","publicationTypes":"Journal Article","fieldsOfStudy":null,"isOpenAccess":false,"openAccessPdf":"https://www.ncbi.nlm.nih.gov/pmc/articles/PMC11192599/pdf/","citationCount":"0","resultStr":"{\"title\":\"Non-Islet Cell Tumor Hypoglycemia Secondary to a 20 cm Intra-Abdominal Leiomyoma in a Male Patient: A Case Report and Literature Review.\",\"authors\":\"Michelle D Lippincott, James D McDonald, Marilyn M Bui, Ricardo J Gonzalez, Rachel K Voss\",\"doi\":\"10.1155/2024/6651107\",\"DOIUrl\":null,\"url\":null,\"abstract\":\"<p><p>Non-islet cell tumor hypoglycemia (NICTH) is a rare clinical entity associated with large mesenchymal tumors. Its pathogenesis is most commonly mediated by tumor overproduction of \\\"big\\\" insulin-like growth factor-2. Here, we present a 54-year-old male who presented with noninsulin-mediated hypoglycemia and a 20 cm intra-abdominal leiomyoma. His hypoglycemic episodes resolved after the resection of his tumor. To our knowledge, this is the only documented case in the English literature of NICTH associated with leiomyoma in a male patient. NICTH due to a benign leiomyoma should be in the differential diagnosis for any patient with hypoglycemia and an abdominal mass.</p>\",\"PeriodicalId\":9600,\"journal\":{\"name\":\"Case Reports in Surgery\",\"volume\":\"2024 \",\"pages\":\"6651107\"},\"PeriodicalIF\":0.5000,\"publicationDate\":\"2024-06-14\",\"publicationTypes\":\"Journal Article\",\"fieldsOfStudy\":null,\"isOpenAccess\":false,\"openAccessPdf\":\"https://www.ncbi.nlm.nih.gov/pmc/articles/PMC11192599/pdf/\",\"citationCount\":\"0\",\"resultStr\":null,\"platform\":\"Semanticscholar\",\"paperid\":null,\"PeriodicalName\":\"Case Reports in Surgery\",\"FirstCategoryId\":\"1085\",\"ListUrlMain\":\"https://doi.org/10.1155/2024/6651107\",\"RegionNum\":0,\"RegionCategory\":null,\"ArticlePicture\":[],\"TitleCN\":null,\"AbstractTextCN\":null,\"PMCID\":null,\"EPubDate\":\"2024/1/1 0:00:00\",\"PubModel\":\"eCollection\",\"JCR\":\"Q4\",\"JCRName\":\"SURGERY\",\"Score\":null,\"Total\":0}","platform":"Semanticscholar","paperid":null,"PeriodicalName":"Case Reports in Surgery","FirstCategoryId":"1085","ListUrlMain":"https://doi.org/10.1155/2024/6651107","RegionNum":0,"RegionCategory":null,"ArticlePicture":[],"TitleCN":null,"AbstractTextCN":null,"PMCID":null,"EPubDate":"2024/1/1 0:00:00","PubModel":"eCollection","JCR":"Q4","JCRName":"SURGERY","Score":null,"Total":0}
引用次数: 0

摘要

非胰岛细胞肿瘤性低血糖症(NICTH)是一种与大型间质肿瘤相关的罕见临床症状。其发病机制最常见的是肿瘤过量分泌 "大 "胰岛素样生长因子-2。在此,我们介绍一名 54 岁的男性患者,他出现了非胰岛素介导的低血糖症,腹腔内有一个 20 厘米长的子宫肌瘤。肿瘤切除后,他的低血糖症状缓解。据我们所知,这是英文文献中唯一一例男性患者伴有子宫肌瘤的 NICTH 病例。对于任何伴有低血糖和腹部肿块的患者,良性子宫肌瘤引起的 NICTH 都应列入鉴别诊断范围。
本文章由计算机程序翻译,如有差异,请以英文原文为准。

Non-Islet Cell Tumor Hypoglycemia Secondary to a 20 cm Intra-Abdominal Leiomyoma in a Male Patient: A Case Report and Literature Review.

Non-Islet Cell Tumor Hypoglycemia Secondary to a 20 cm Intra-Abdominal Leiomyoma in a Male Patient: A Case Report and Literature Review.

Non-Islet Cell Tumor Hypoglycemia Secondary to a 20 cm Intra-Abdominal Leiomyoma in a Male Patient: A Case Report and Literature Review.

Non-Islet Cell Tumor Hypoglycemia Secondary to a 20 cm Intra-Abdominal Leiomyoma in a Male Patient: A Case Report and Literature Review.

Non-islet cell tumor hypoglycemia (NICTH) is a rare clinical entity associated with large mesenchymal tumors. Its pathogenesis is most commonly mediated by tumor overproduction of "big" insulin-like growth factor-2. Here, we present a 54-year-old male who presented with noninsulin-mediated hypoglycemia and a 20 cm intra-abdominal leiomyoma. His hypoglycemic episodes resolved after the resection of his tumor. To our knowledge, this is the only documented case in the English literature of NICTH associated with leiomyoma in a male patient. NICTH due to a benign leiomyoma should be in the differential diagnosis for any patient with hypoglycemia and an abdominal mass.

求助全文
通过发布文献求助,成功后即可免费获取论文全文。 去求助
来源期刊
自引率
0.00%
发文量
60
审稿时长
13 weeks
×
引用
GB/T 7714-2015
复制
MLA
复制
APA
复制
导出至
BibTeX EndNote RefMan NoteFirst NoteExpress
×
提示
您的信息不完整,为了账户安全,请先补充。
现在去补充
×
提示
您因"违规操作"
具体请查看互助需知
我知道了
×
提示
确定
请完成安全验证×
copy
已复制链接
快去分享给好友吧!
我知道了
右上角分享
点击右上角分享
0
联系我们:info@booksci.cn Book学术提供免费学术资源搜索服务,方便国内外学者检索中英文文献。致力于提供最便捷和优质的服务体验。 Copyright © 2023 布克学术 All rights reserved.
京ICP备2023020795号-1
ghs 京公网安备 11010802042870号
Book学术文献互助
Book学术文献互助群
群 号:604180095
Book学术官方微信