利用彩色 M-Mode 诊断感染性心内膜炎并发的主动脉-心房瘘

IF 0.5 Q4 CARDIAC & CARDIOVASCULAR SYSTEMS
Case Reports in Cardiology Pub Date : 2024-05-25 eCollection Date: 2024-01-01 DOI:10.1155/2024/7550403
Kramer J Wahlberg, Matthew A Kluge, William E Hopkins
{"title":"利用彩色 M-Mode 诊断感染性心内膜炎并发的主动脉-心房瘘","authors":"Kramer J Wahlberg, Matthew A Kluge, William E Hopkins","doi":"10.1155/2024/7550403","DOIUrl":null,"url":null,"abstract":"<p><p>Aorto-atrial fistula is a rare and life-threatening complication of infective endocarditis, classically diagnosed by visualizing a connection between the aorta and atrium with associated continuous flow. A patient presented with bioprosthetic and native valve enterococcal endocarditis with multiple complications, including an aorto-atrial fistula that was diagnosed by color M-mode on transesophageal echocardiography. We review the features of aorto-atrial fistula and utilize this case to demonstrate how M-mode can be leveraged to provide improved temporal resolution in the setting of diagnostic uncertainty.</p>","PeriodicalId":51760,"journal":{"name":"Case Reports in Cardiology","volume":"2024 ","pages":"7550403"},"PeriodicalIF":0.5000,"publicationDate":"2024-05-25","publicationTypes":"Journal Article","fieldsOfStudy":null,"isOpenAccess":false,"openAccessPdf":"https://www.ncbi.nlm.nih.gov/pmc/articles/PMC11178404/pdf/","citationCount":"0","resultStr":"{\"title\":\"Leveraging Color M-Mode to Diagnose Aorto-Atrial Fistula as a Complication of Infective Endocarditis.\",\"authors\":\"Kramer J Wahlberg, Matthew A Kluge, William E Hopkins\",\"doi\":\"10.1155/2024/7550403\",\"DOIUrl\":null,\"url\":null,\"abstract\":\"<p><p>Aorto-atrial fistula is a rare and life-threatening complication of infective endocarditis, classically diagnosed by visualizing a connection between the aorta and atrium with associated continuous flow. A patient presented with bioprosthetic and native valve enterococcal endocarditis with multiple complications, including an aorto-atrial fistula that was diagnosed by color M-mode on transesophageal echocardiography. We review the features of aorto-atrial fistula and utilize this case to demonstrate how M-mode can be leveraged to provide improved temporal resolution in the setting of diagnostic uncertainty.</p>\",\"PeriodicalId\":51760,\"journal\":{\"name\":\"Case Reports in Cardiology\",\"volume\":\"2024 \",\"pages\":\"7550403\"},\"PeriodicalIF\":0.5000,\"publicationDate\":\"2024-05-25\",\"publicationTypes\":\"Journal Article\",\"fieldsOfStudy\":null,\"isOpenAccess\":false,\"openAccessPdf\":\"https://www.ncbi.nlm.nih.gov/pmc/articles/PMC11178404/pdf/\",\"citationCount\":\"0\",\"resultStr\":null,\"platform\":\"Semanticscholar\",\"paperid\":null,\"PeriodicalName\":\"Case Reports in Cardiology\",\"FirstCategoryId\":\"1085\",\"ListUrlMain\":\"https://doi.org/10.1155/2024/7550403\",\"RegionNum\":0,\"RegionCategory\":null,\"ArticlePicture\":[],\"TitleCN\":null,\"AbstractTextCN\":null,\"PMCID\":null,\"EPubDate\":\"2024/1/1 0:00:00\",\"PubModel\":\"eCollection\",\"JCR\":\"Q4\",\"JCRName\":\"CARDIAC & CARDIOVASCULAR SYSTEMS\",\"Score\":null,\"Total\":0}","platform":"Semanticscholar","paperid":null,"PeriodicalName":"Case Reports in Cardiology","FirstCategoryId":"1085","ListUrlMain":"https://doi.org/10.1155/2024/7550403","RegionNum":0,"RegionCategory":null,"ArticlePicture":[],"TitleCN":null,"AbstractTextCN":null,"PMCID":null,"EPubDate":"2024/1/1 0:00:00","PubModel":"eCollection","JCR":"Q4","JCRName":"CARDIAC & CARDIOVASCULAR SYSTEMS","Score":null,"Total":0}
引用次数: 0

摘要

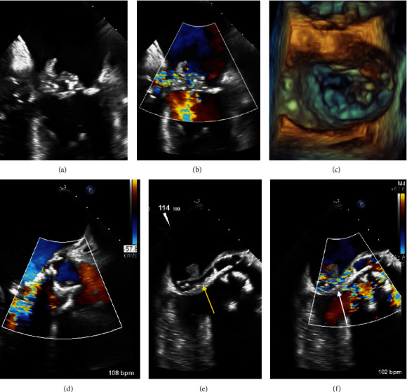
主动脉心房瘘是感染性心内膜炎的一种罕见并危及生命的并发症,通常通过观察主动脉和心房之间的连接并伴有连续血流来诊断。一名患者患有生物人工瓣膜和原生瓣膜肠球菌性心内膜炎,并伴有多种并发症,其中包括经食道超声心动图彩色 M 型诊断出的主动脉心房瘘。我们回顾了主动脉心房瘘的特征,并利用这个病例展示了如何利用 M 模式在诊断不确定的情况下提供更好的时间分辨率。
本文章由计算机程序翻译,如有差异,请以英文原文为准。

Leveraging Color M-Mode to Diagnose Aorto-Atrial Fistula as a Complication of Infective Endocarditis.

Leveraging Color M-Mode to Diagnose Aorto-Atrial Fistula as a Complication of Infective Endocarditis.

Leveraging Color M-Mode to Diagnose Aorto-Atrial Fistula as a Complication of Infective Endocarditis.

Leveraging Color M-Mode to Diagnose Aorto-Atrial Fistula as a Complication of Infective Endocarditis.

Aorto-atrial fistula is a rare and life-threatening complication of infective endocarditis, classically diagnosed by visualizing a connection between the aorta and atrium with associated continuous flow. A patient presented with bioprosthetic and native valve enterococcal endocarditis with multiple complications, including an aorto-atrial fistula that was diagnosed by color M-mode on transesophageal echocardiography. We review the features of aorto-atrial fistula and utilize this case to demonstrate how M-mode can be leveraged to provide improved temporal resolution in the setting of diagnostic uncertainty.

求助全文
通过发布文献求助,成功后即可免费获取论文全文。 去求助
来源期刊
Case Reports in Cardiology
Case Reports in Cardiology CARDIAC & CARDIOVASCULAR SYSTEMS-
自引率
0.00%
发文量
63
审稿时长
13 weeks
期刊介绍: Case Reports in Cardiology is a peer-reviewed, Open Access journal that publishes case reports and case series related to hypertension, arrhythmia, congestive heart failure, valvular heart disease, vascular disease, congenital heart disease and cardiomyopathy.
×
引用
GB/T 7714-2015
复制
MLA
复制
APA
复制
导出至
BibTeX EndNote RefMan NoteFirst NoteExpress
×
提示
您的信息不完整,为了账户安全,请先补充。
现在去补充
×
提示
您因"违规操作"
具体请查看互助需知
我知道了
×
提示
确定
请完成安全验证×
copy
已复制链接
快去分享给好友吧!
我知道了
右上角分享
点击右上角分享
0
联系我们:info@booksci.cn Book学术提供免费学术资源搜索服务,方便国内外学者检索中英文文献。致力于提供最便捷和优质的服务体验。 Copyright © 2023 布克学术 All rights reserved.
京ICP备2023020795号-1
ghs 京公网安备 11010802042870号
Book学术文献互助
Book学术文献互助群
群 号:604180095
Book学术官方微信