膀胱软骨瘤:极为罕见的发现

Case Reports in Urology Pub Date : 2024-06-06 eCollection Date: 2024-01-01 DOI:10.1155/2024/4120514
Joao G Porto, Ruben Blachman-Braun, Archan Khandekar, Oleksandr N Kryvenko, Dipen J Parekh
{"title":"膀胱软骨瘤:极为罕见的发现","authors":"Joao G Porto, Ruben Blachman-Braun, Archan Khandekar, Oleksandr N Kryvenko, Dipen J Parekh","doi":"10.1155/2024/4120514","DOIUrl":null,"url":null,"abstract":"<p><p>Chondroma, commonly observed in the bones, has limited documentation when found in soft tissues. To date, only 8 chondromas in the urinary bladder have been reported, all in females. Here, we describe a 54-year-old female who presented with a chondroma located at the anterior wall of the urinary bladder. An incidental 5 mm enhanced focus was identified on the right bladder wall during a contrast-enhanced computerized tomography (CT). Subsequent cystoscopy did not reveal any abnormalities, and both urinalysis and urine cytology were unremarkable. However, a CT urogram reconfirmed suspicions of malignancy, which a cystoscopy validated. The patient underwent a transurethral resection of the bladder tumor, which was identified as a bladder chondroma. During the surgical incision, a submucosal lesion was found, which was further confirmed with histopathological evaluation. Over a year-long follow-up using imaging and urine cytology, no recurrence was observed. This case reinforces earlier findings and underscores the predilection for females between their 5<sup>th</sup> and 7<sup>th</sup> decades with a positive prognosis.</p>","PeriodicalId":30323,"journal":{"name":"Case Reports in Urology","volume":"2024 ","pages":"4120514"},"PeriodicalIF":0.0000,"publicationDate":"2024-06-06","publicationTypes":"Journal Article","fieldsOfStudy":null,"isOpenAccess":false,"openAccessPdf":"https://www.ncbi.nlm.nih.gov/pmc/articles/PMC11178419/pdf/","citationCount":"0","resultStr":"{\"title\":\"Chondroma in the Urinary Bladder: An Extremely Rare Finding.\",\"authors\":\"Joao G Porto, Ruben Blachman-Braun, Archan Khandekar, Oleksandr N Kryvenko, Dipen J Parekh\",\"doi\":\"10.1155/2024/4120514\",\"DOIUrl\":null,\"url\":null,\"abstract\":\"<p><p>Chondroma, commonly observed in the bones, has limited documentation when found in soft tissues. To date, only 8 chondromas in the urinary bladder have been reported, all in females. Here, we describe a 54-year-old female who presented with a chondroma located at the anterior wall of the urinary bladder. An incidental 5 mm enhanced focus was identified on the right bladder wall during a contrast-enhanced computerized tomography (CT). Subsequent cystoscopy did not reveal any abnormalities, and both urinalysis and urine cytology were unremarkable. However, a CT urogram reconfirmed suspicions of malignancy, which a cystoscopy validated. The patient underwent a transurethral resection of the bladder tumor, which was identified as a bladder chondroma. During the surgical incision, a submucosal lesion was found, which was further confirmed with histopathological evaluation. Over a year-long follow-up using imaging and urine cytology, no recurrence was observed. This case reinforces earlier findings and underscores the predilection for females between their 5<sup>th</sup> and 7<sup>th</sup> decades with a positive prognosis.</p>\",\"PeriodicalId\":30323,\"journal\":{\"name\":\"Case Reports in Urology\",\"volume\":\"2024 \",\"pages\":\"4120514\"},\"PeriodicalIF\":0.0000,\"publicationDate\":\"2024-06-06\",\"publicationTypes\":\"Journal Article\",\"fieldsOfStudy\":null,\"isOpenAccess\":false,\"openAccessPdf\":\"https://www.ncbi.nlm.nih.gov/pmc/articles/PMC11178419/pdf/\",\"citationCount\":\"0\",\"resultStr\":null,\"platform\":\"Semanticscholar\",\"paperid\":null,\"PeriodicalName\":\"Case Reports in Urology\",\"FirstCategoryId\":\"1085\",\"ListUrlMain\":\"https://doi.org/10.1155/2024/4120514\",\"RegionNum\":0,\"RegionCategory\":null,\"ArticlePicture\":[],\"TitleCN\":null,\"AbstractTextCN\":null,\"PMCID\":null,\"EPubDate\":\"2024/1/1 0:00:00\",\"PubModel\":\"eCollection\",\"JCR\":\"\",\"JCRName\":\"\",\"Score\":null,\"Total\":0}","platform":"Semanticscholar","paperid":null,"PeriodicalName":"Case Reports in Urology","FirstCategoryId":"1085","ListUrlMain":"https://doi.org/10.1155/2024/4120514","RegionNum":0,"RegionCategory":null,"ArticlePicture":[],"TitleCN":null,"AbstractTextCN":null,"PMCID":null,"EPubDate":"2024/1/1 0:00:00","PubModel":"eCollection","JCR":"","JCRName":"","Score":null,"Total":0}
引用次数: 0

摘要

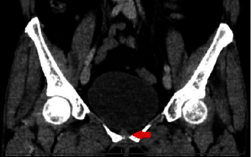
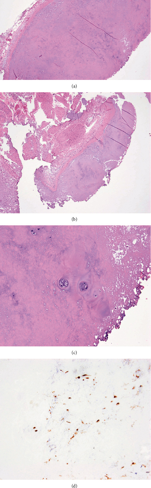
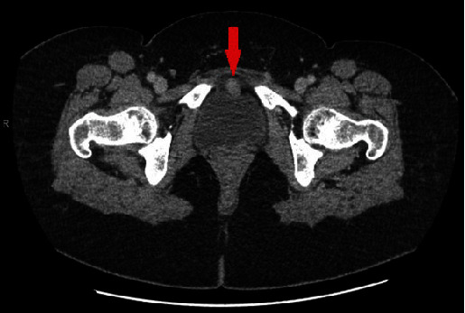
软骨瘤通常发生在骨骼中,在软组织中发现的文献有限。迄今为止,仅有 8 例膀胱软骨瘤的报道,且均为女性。在此,我们描述了一名 54 岁女性的病例,她的膀胱前壁长了一个软骨瘤。在进行造影剂增强计算机断层扫描(CT)时,意外发现右侧膀胱壁上有一个 5 毫米的增强病灶。随后的膀胱镜检查未发现任何异常,尿液分析和尿液细胞学检查也无异常。然而,CT 尿路造影再次证实了恶性肿瘤的怀疑,膀胱镜检查也验证了这一点。患者接受了经尿道膀胱肿瘤切除术,该肿瘤被确认为膀胱软骨瘤。在手术切口中,发现了粘膜下病变,组织病理学评估进一步证实了这一点。经过一年的影像学和尿液细胞学随访,未发现复发。该病例证实了之前的研究结果,并强调该病好发于五至七十岁的女性,预后良好。
本文章由计算机程序翻译,如有差异,请以英文原文为准。

Chondroma in the Urinary Bladder: An Extremely Rare Finding.

Chondroma in the Urinary Bladder: An Extremely Rare Finding.

Chondroma in the Urinary Bladder: An Extremely Rare Finding.

Chondroma in the Urinary Bladder: An Extremely Rare Finding.

Chondroma, commonly observed in the bones, has limited documentation when found in soft tissues. To date, only 8 chondromas in the urinary bladder have been reported, all in females. Here, we describe a 54-year-old female who presented with a chondroma located at the anterior wall of the urinary bladder. An incidental 5 mm enhanced focus was identified on the right bladder wall during a contrast-enhanced computerized tomography (CT). Subsequent cystoscopy did not reveal any abnormalities, and both urinalysis and urine cytology were unremarkable. However, a CT urogram reconfirmed suspicions of malignancy, which a cystoscopy validated. The patient underwent a transurethral resection of the bladder tumor, which was identified as a bladder chondroma. During the surgical incision, a submucosal lesion was found, which was further confirmed with histopathological evaluation. Over a year-long follow-up using imaging and urine cytology, no recurrence was observed. This case reinforces earlier findings and underscores the predilection for females between their 5th and 7th decades with a positive prognosis.

求助全文
通过发布文献求助,成功后即可免费获取论文全文。 去求助
来源期刊
自引率
0.00%
发文量
28
审稿时长
13 weeks
×
引用
GB/T 7714-2015
复制
MLA
复制
APA
复制
导出至
BibTeX EndNote RefMan NoteFirst NoteExpress
×
提示
您的信息不完整,为了账户安全,请先补充。
现在去补充
×
提示
您因"违规操作"
具体请查看互助需知
我知道了
×
提示
确定
请完成安全验证×
copy
已复制链接
快去分享给好友吧!
我知道了
右上角分享
点击右上角分享
0
联系我们:info@booksci.cn Book学术提供免费学术资源搜索服务,方便国内外学者检索中英文文献。致力于提供最便捷和优质的服务体验。 Copyright © 2023 布克学术 All rights reserved.
京ICP备2023020795号-1
ghs 京公网安备 11010802042870号
Book学术文献互助
Book学术文献互助群
群 号:604180095
Book学术官方微信