病例报告;并发左侧胡桃钳综合征和右侧输尿管盆腔交界处梗阻。

IF 2.7 Q2 UROLOGY & NEPHROLOGY
Research and Reports in Urology Pub Date : 2024-06-10 eCollection Date: 2024-01-01 DOI:10.2147/RRU.S446710
Mintesnot Yitagesu Kidane, Adugna Getachew Mideksa, Mubarek Bargicho Adem, Fitsum Gebreegziabher Gebrehiwot, Ramzi Yessuf Adem, Mensur Mohammed Ahmed, Abebe Ketema Aderu, Mintesnot Tadesse Berta
{"title":"病例报告;并发左侧胡桃钳综合征和右侧输尿管盆腔交界处梗阻。","authors":"Mintesnot Yitagesu Kidane, Adugna Getachew Mideksa, Mubarek Bargicho Adem, Fitsum Gebreegziabher Gebrehiwot, Ramzi Yessuf Adem, Mensur Mohammed Ahmed, Abebe Ketema Aderu, Mintesnot Tadesse Berta","doi":"10.2147/RRU.S446710","DOIUrl":null,"url":null,"abstract":"<p><p>We report rare case of concomitant left nutcracker syndrome and right ureteropelvic junction obstruction (UPJO) on adult female patient diagnosed by CT urogram after she presented with intermittent bilateral flank pain. For this we did Anderson-Hynes pyeloplasty for right ureteropelvic obstruction, it was laparoscopic initially but due to difficulty of stenting it is changed to open. She had smooth post-op course then discharged on 3rd post-op day. Symptoms of nutcracker syndrome are not that much bothersome for the patient so we planned to follow her conservatively.</p>","PeriodicalId":21008,"journal":{"name":"Research and Reports in Urology","volume":"16 ","pages":"131-135"},"PeriodicalIF":2.7000,"publicationDate":"2024-06-10","publicationTypes":"Journal Article","fieldsOfStudy":null,"isOpenAccess":false,"openAccessPdf":"https://www.ncbi.nlm.nih.gov/pmc/articles/PMC11178079/pdf/","citationCount":"0","resultStr":"{\"title\":\"Case Report; Concomitant Left Nutcracker Syndrome and Right Ureteropelvic Junction Obstruction.\",\"authors\":\"Mintesnot Yitagesu Kidane, Adugna Getachew Mideksa, Mubarek Bargicho Adem, Fitsum Gebreegziabher Gebrehiwot, Ramzi Yessuf Adem, Mensur Mohammed Ahmed, Abebe Ketema Aderu, Mintesnot Tadesse Berta\",\"doi\":\"10.2147/RRU.S446710\",\"DOIUrl\":null,\"url\":null,\"abstract\":\"<p><p>We report rare case of concomitant left nutcracker syndrome and right ureteropelvic junction obstruction (UPJO) on adult female patient diagnosed by CT urogram after she presented with intermittent bilateral flank pain. For this we did Anderson-Hynes pyeloplasty for right ureteropelvic obstruction, it was laparoscopic initially but due to difficulty of stenting it is changed to open. She had smooth post-op course then discharged on 3rd post-op day. Symptoms of nutcracker syndrome are not that much bothersome for the patient so we planned to follow her conservatively.</p>\",\"PeriodicalId\":21008,\"journal\":{\"name\":\"Research and Reports in Urology\",\"volume\":\"16 \",\"pages\":\"131-135\"},\"PeriodicalIF\":2.7000,\"publicationDate\":\"2024-06-10\",\"publicationTypes\":\"Journal Article\",\"fieldsOfStudy\":null,\"isOpenAccess\":false,\"openAccessPdf\":\"https://www.ncbi.nlm.nih.gov/pmc/articles/PMC11178079/pdf/\",\"citationCount\":\"0\",\"resultStr\":null,\"platform\":\"Semanticscholar\",\"paperid\":null,\"PeriodicalName\":\"Research and Reports in Urology\",\"FirstCategoryId\":\"1085\",\"ListUrlMain\":\"https://doi.org/10.2147/RRU.S446710\",\"RegionNum\":0,\"RegionCategory\":null,\"ArticlePicture\":[],\"TitleCN\":null,\"AbstractTextCN\":null,\"PMCID\":null,\"EPubDate\":\"2024/1/1 0:00:00\",\"PubModel\":\"eCollection\",\"JCR\":\"Q2\",\"JCRName\":\"UROLOGY & NEPHROLOGY\",\"Score\":null,\"Total\":0}","platform":"Semanticscholar","paperid":null,"PeriodicalName":"Research and Reports in Urology","FirstCategoryId":"1085","ListUrlMain":"https://doi.org/10.2147/RRU.S446710","RegionNum":0,"RegionCategory":null,"ArticlePicture":[],"TitleCN":null,"AbstractTextCN":null,"PMCID":null,"EPubDate":"2024/1/1 0:00:00","PubModel":"eCollection","JCR":"Q2","JCRName":"UROLOGY & NEPHROLOGY","Score":null,"Total":0}
引用次数: 0

摘要

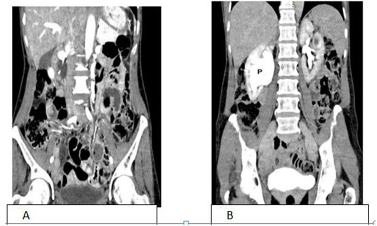
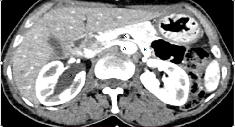
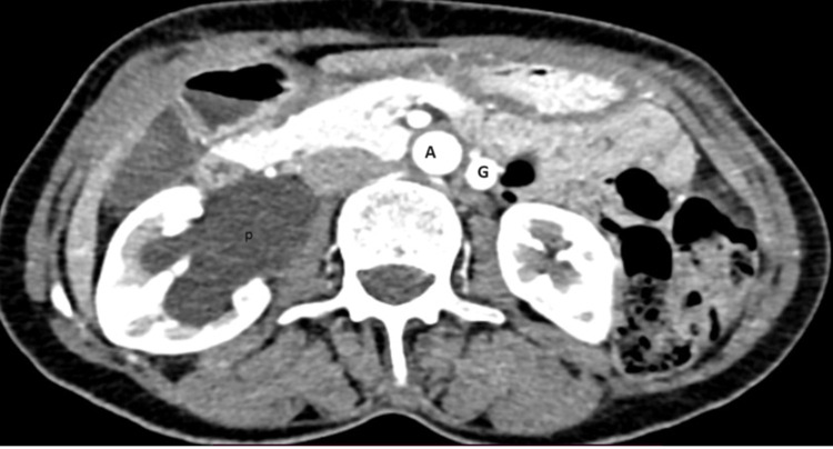
我们报告了一例罕见的左侧胡桃钳综合征和右侧输尿管盆腔交界处梗阻(UPJO)并发症,该患者为成年女性,在出现间歇性双侧侧腹疼痛后经 CT 尿路造影确诊。为此,我们为她实施了安德森-海因斯肾盂成形术(Anderson-Hynes pyeloplasty)以治疗右输尿管盆腔梗阻,最初是在腹腔镜下进行的,但由于支架植入困难而改为开腹手术。她术后恢复顺利,术后第三天就出院了。胡桃钳综合征的症状对患者来说并不严重,因此我们计划对她进行保守治疗。
本文章由计算机程序翻译,如有差异,请以英文原文为准。

Case Report; Concomitant Left Nutcracker Syndrome and Right Ureteropelvic Junction Obstruction.

Case Report; Concomitant Left Nutcracker Syndrome and Right Ureteropelvic Junction Obstruction.

Case Report; Concomitant Left Nutcracker Syndrome and Right Ureteropelvic Junction Obstruction.

Case Report; Concomitant Left Nutcracker Syndrome and Right Ureteropelvic Junction Obstruction.

We report rare case of concomitant left nutcracker syndrome and right ureteropelvic junction obstruction (UPJO) on adult female patient diagnosed by CT urogram after she presented with intermittent bilateral flank pain. For this we did Anderson-Hynes pyeloplasty for right ureteropelvic obstruction, it was laparoscopic initially but due to difficulty of stenting it is changed to open. She had smooth post-op course then discharged on 3rd post-op day. Symptoms of nutcracker syndrome are not that much bothersome for the patient so we planned to follow her conservatively.

求助全文
通过发布文献求助,成功后即可免费获取论文全文。 去求助
来源期刊
Research and Reports in Urology
Research and Reports in Urology UROLOGY & NEPHROLOGY-
CiteScore
3.40
自引率
0.00%
发文量
60
审稿时长
16 weeks
期刊介绍: Research and Reports in Urology is an international, peer-reviewed, open access, online journal. Publishing original research, reports, editorials, reviews and commentaries on all aspects of adult and pediatric urology in the clinic and laboratory including the following topics: Pathology, pathophysiology of urological disease Investigation and treatment of urological disease Pharmacology of drugs used for the treatment of urological disease Although the main focus of the journal is to publish research and clinical results in humans; preclinical, animal and in vitro studies will be published where they will shed light on disease processes and potential new therapies. Issues of patient safety and quality of care will also be considered.
×
引用
GB/T 7714-2015
复制
MLA
复制
APA
复制
导出至
BibTeX EndNote RefMan NoteFirst NoteExpress
×
提示
您的信息不完整,为了账户安全,请先补充。
现在去补充
×
提示
您因"违规操作"
具体请查看互助需知
我知道了
×
提示
确定
请完成安全验证×
copy
已复制链接
快去分享给好友吧!
我知道了
右上角分享
点击右上角分享
0
联系我们:info@booksci.cn Book学术提供免费学术资源搜索服务,方便国内外学者检索中英文文献。致力于提供最便捷和优质的服务体验。 Copyright © 2023 布克学术 All rights reserved.
京ICP备2023020795号-1
ghs 京公网安备 11010802042870号
Book学术文献互助
Book学术文献互助群
群 号:604180095
Book学术官方微信