链脲佐菌素、高脂饮食和全弗罗因德佐剂诱导的新型糖尿病大鼠关节炎模型

IF 2.3 Q2 ORTHOPEDICS
Orthopedic Research and Reviews Pub Date : 2024-06-11 eCollection Date: 2024-01-01 DOI:10.2147/ORR.S457848
Dimas Radithya Boedijono, Ismail Hadisoebroto Dilogo, Marcel Prasetyo, Radiana Dhewayani Antarianto, Fitriya Nur Annisa Dewi, Em Yunir, Aria Kekalih, Ahmad Nugroho, Dina Aprilya
{"title":"链脲佐菌素、高脂饮食和全弗罗因德佐剂诱导的新型糖尿病大鼠关节炎模型","authors":"Dimas Radithya Boedijono, Ismail Hadisoebroto Dilogo, Marcel Prasetyo, Radiana Dhewayani Antarianto, Fitriya Nur Annisa Dewi, Em Yunir, Aria Kekalih, Ahmad Nugroho, Dina Aprilya","doi":"10.2147/ORR.S457848","DOIUrl":null,"url":null,"abstract":"<p><strong>Introduction: </strong>Ankle arthrodesis is one of the treatments of choice, particularly in late-stage and unstable diabetic Charcot arthropathy. Unfortunately, poor healing capacity might play a role in the high nonunion rate (10-40%). The advancement in regenerative medicine opens a new horizon for enhancing fusion after ankle arthrodesis in patients with poor healing capacity. However, a suitable small animal model is warranted to study the effectivity of these regenerative medicine approaches. Streptozotocin (STZ)-induced diabetes models and adjuvant-induced arthritis models with complete Freund's adjuvant are two established models. However, no study has combined those two models to make a diabetic arthritic model that more closely resembles the condition in Charcot arthropathy.</p><p><strong>Methods: </strong>Twenty male Sprague-Dawley rats were assigned into five groups, consisting of one control group, and four diabetic groups which were induced by STZ injection and a high-fat diet. Among these diabetic rats, two groups received complete Freund's adjuvant (CFA) injections to the left ankle of the hind limb. The control group, one of the diabetic-only groups, and one of the arthritic-diabetic-induced groups were euthanized at 4 weeks after STZ induction, and the remainder were euthanized 6 weeks after STZ induction. Clinical, radiological, and histological examinations were then compared in all five groups.</p><p><strong>Results: </strong>Diabetic status was successfully achieved in the model, which was maintained until the completion of the study. The CFA-induced ankles were significantly larger than the contralateral ankles in all groups (p<0.05). Histopathological evaluation confirmed arthritic changes in the CFA-induced group with less variability after 4 weeks of arthritis induction.</p><p><strong>Conclusion: </strong>This rat model of arthritic diabetic mimics the progressive and chronic nature of Charcot arthropathy in humans. This model can be further use to study treatments that might enhance the fusion rate in ankle arthrodesis in healing-defective patients such as those with diabetes.</p><p><strong>Level of clinical evidence: </strong>5.</p>","PeriodicalId":19608,"journal":{"name":"Orthopedic Research and Reviews","volume":"16 ","pages":"163-170"},"PeriodicalIF":2.3000,"publicationDate":"2024-06-11","publicationTypes":"Journal Article","fieldsOfStudy":null,"isOpenAccess":false,"openAccessPdf":"https://www.ncbi.nlm.nih.gov/pmc/articles/PMC11179661/pdf/","citationCount":"0","resultStr":"{\"title\":\"A Novel Diabetic Arthritic Model in Rats Induced by Streptozotocin, High-Fat Diet, and Complete Freund's Adjuvant.\",\"authors\":\"Dimas Radithya Boedijono, Ismail Hadisoebroto Dilogo, Marcel Prasetyo, Radiana Dhewayani Antarianto, Fitriya Nur Annisa Dewi, Em Yunir, Aria Kekalih, Ahmad Nugroho, Dina Aprilya\",\"doi\":\"10.2147/ORR.S457848\",\"DOIUrl\":null,\"url\":null,\"abstract\":\"<p><strong>Introduction: </strong>Ankle arthrodesis is one of the treatments of choice, particularly in late-stage and unstable diabetic Charcot arthropathy. Unfortunately, poor healing capacity might play a role in the high nonunion rate (10-40%). The advancement in regenerative medicine opens a new horizon for enhancing fusion after ankle arthrodesis in patients with poor healing capacity. However, a suitable small animal model is warranted to study the effectivity of these regenerative medicine approaches. Streptozotocin (STZ)-induced diabetes models and adjuvant-induced arthritis models with complete Freund's adjuvant are two established models. However, no study has combined those two models to make a diabetic arthritic model that more closely resembles the condition in Charcot arthropathy.</p><p><strong>Methods: </strong>Twenty male Sprague-Dawley rats were assigned into five groups, consisting of one control group, and four diabetic groups which were induced by STZ injection and a high-fat diet. Among these diabetic rats, two groups received complete Freund's adjuvant (CFA) injections to the left ankle of the hind limb. The control group, one of the diabetic-only groups, and one of the arthritic-diabetic-induced groups were euthanized at 4 weeks after STZ induction, and the remainder were euthanized 6 weeks after STZ induction. Clinical, radiological, and histological examinations were then compared in all five groups.</p><p><strong>Results: </strong>Diabetic status was successfully achieved in the model, which was maintained until the completion of the study. The CFA-induced ankles were significantly larger than the contralateral ankles in all groups (p<0.05). Histopathological evaluation confirmed arthritic changes in the CFA-induced group with less variability after 4 weeks of arthritis induction.</p><p><strong>Conclusion: </strong>This rat model of arthritic diabetic mimics the progressive and chronic nature of Charcot arthropathy in humans. This model can be further use to study treatments that might enhance the fusion rate in ankle arthrodesis in healing-defective patients such as those with diabetes.</p><p><strong>Level of clinical evidence: </strong>5.</p>\",\"PeriodicalId\":19608,\"journal\":{\"name\":\"Orthopedic Research and Reviews\",\"volume\":\"16 \",\"pages\":\"163-170\"},\"PeriodicalIF\":2.3000,\"publicationDate\":\"2024-06-11\",\"publicationTypes\":\"Journal Article\",\"fieldsOfStudy\":null,\"isOpenAccess\":false,\"openAccessPdf\":\"https://www.ncbi.nlm.nih.gov/pmc/articles/PMC11179661/pdf/\",\"citationCount\":\"0\",\"resultStr\":null,\"platform\":\"Semanticscholar\",\"paperid\":null,\"PeriodicalName\":\"Orthopedic Research and Reviews\",\"FirstCategoryId\":\"1085\",\"ListUrlMain\":\"https://doi.org/10.2147/ORR.S457848\",\"RegionNum\":0,\"RegionCategory\":null,\"ArticlePicture\":[],\"TitleCN\":null,\"AbstractTextCN\":null,\"PMCID\":null,\"EPubDate\":\"2024/1/1 0:00:00\",\"PubModel\":\"eCollection\",\"JCR\":\"Q2\",\"JCRName\":\"ORTHOPEDICS\",\"Score\":null,\"Total\":0}","platform":"Semanticscholar","paperid":null,"PeriodicalName":"Orthopedic Research and Reviews","FirstCategoryId":"1085","ListUrlMain":"https://doi.org/10.2147/ORR.S457848","RegionNum":0,"RegionCategory":null,"ArticlePicture":[],"TitleCN":null,"AbstractTextCN":null,"PMCID":null,"EPubDate":"2024/1/1 0:00:00","PubModel":"eCollection","JCR":"Q2","JCRName":"ORTHOPEDICS","Score":null,"Total":0}
引用次数: 0

摘要

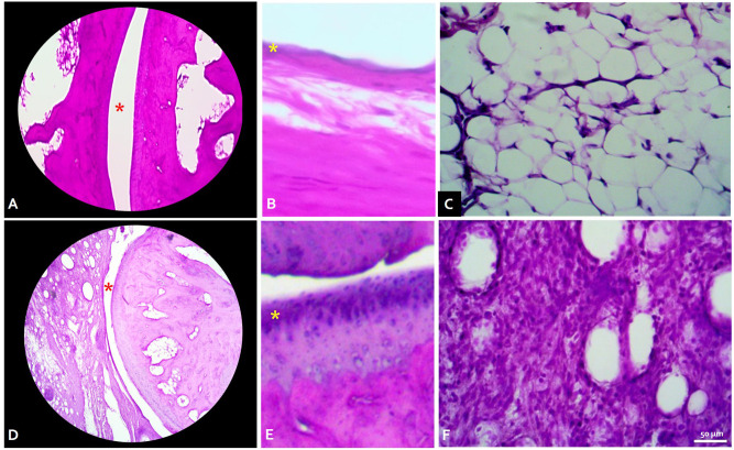
简介:踝关节置换术是首选治疗方法之一,尤其适用于晚期和不稳定型糖尿病夏科关节病。遗憾的是,愈合能力差可能是造成高不愈合率(10%-40%)的原因之一。再生医学的发展为愈合能力差的患者在踝关节置换术后加强融合开辟了新的前景。然而,需要一个合适的小动物模型来研究这些再生医学方法的有效性。链脲佐菌素(STZ)诱导的糖尿病模型和用完全弗氏佐剂诱导的关节炎模型是两种成熟的模型。然而,还没有研究将这两种模型结合起来,制作出更接近夏科关节病的糖尿病关节炎模型:方法:将 20 只雄性 Sprague-Dawley 大鼠分为 5 组,其中包括 1 个对照组和 4 个糖尿病组。在这些糖尿病大鼠中,有两组在后肢左脚踝处注射了完全弗氏佐剂(CFA)。对照组、纯糖尿病组和关节炎-糖尿病诱导组各一组在 STZ 诱导 4 周后安乐死,其余各组在 STZ 诱导 6 周后安乐死。然后比较所有五组的临床、放射学和组织学检查结果:结果:模型成功进入糖尿病状态,并一直维持到研究结束。结果:该模型成功地达到了糖尿病状态,并一直维持到研究结束。在所有组别中,CFA诱导的踝关节都明显大于对侧踝关节(p结论:这是一种关节炎糖尿病大鼠模型:这种糖尿病关节炎大鼠模型模拟了人类夏科关节病的进行性和慢性性质。该模型可进一步用于研究可提高愈合缺陷患者(如糖尿病患者)踝关节融合率的治疗方法:5.
本文章由计算机程序翻译,如有差异,请以英文原文为准。

A Novel Diabetic Arthritic Model in Rats Induced by Streptozotocin, High-Fat Diet, and Complete Freund's Adjuvant.

A Novel Diabetic Arthritic Model in Rats Induced by Streptozotocin, High-Fat Diet, and Complete Freund's Adjuvant.

A Novel Diabetic Arthritic Model in Rats Induced by Streptozotocin, High-Fat Diet, and Complete Freund's Adjuvant.

A Novel Diabetic Arthritic Model in Rats Induced by Streptozotocin, High-Fat Diet, and Complete Freund's Adjuvant.

Introduction: Ankle arthrodesis is one of the treatments of choice, particularly in late-stage and unstable diabetic Charcot arthropathy. Unfortunately, poor healing capacity might play a role in the high nonunion rate (10-40%). The advancement in regenerative medicine opens a new horizon for enhancing fusion after ankle arthrodesis in patients with poor healing capacity. However, a suitable small animal model is warranted to study the effectivity of these regenerative medicine approaches. Streptozotocin (STZ)-induced diabetes models and adjuvant-induced arthritis models with complete Freund's adjuvant are two established models. However, no study has combined those two models to make a diabetic arthritic model that more closely resembles the condition in Charcot arthropathy.

Methods: Twenty male Sprague-Dawley rats were assigned into five groups, consisting of one control group, and four diabetic groups which were induced by STZ injection and a high-fat diet. Among these diabetic rats, two groups received complete Freund's adjuvant (CFA) injections to the left ankle of the hind limb. The control group, one of the diabetic-only groups, and one of the arthritic-diabetic-induced groups were euthanized at 4 weeks after STZ induction, and the remainder were euthanized 6 weeks after STZ induction. Clinical, radiological, and histological examinations were then compared in all five groups.

Results: Diabetic status was successfully achieved in the model, which was maintained until the completion of the study. The CFA-induced ankles were significantly larger than the contralateral ankles in all groups (p<0.05). Histopathological evaluation confirmed arthritic changes in the CFA-induced group with less variability after 4 weeks of arthritis induction.

Conclusion: This rat model of arthritic diabetic mimics the progressive and chronic nature of Charcot arthropathy in humans. This model can be further use to study treatments that might enhance the fusion rate in ankle arthrodesis in healing-defective patients such as those with diabetes.

Level of clinical evidence: 5.

求助全文
通过发布文献求助,成功后即可免费获取论文全文。 去求助
来源期刊
Orthopedic Research and Reviews
Orthopedic Research and Reviews Medicine-Orthopedics and Sports Medicine
CiteScore
2.80
自引率
0.00%
发文量
51
审稿时长
16 weeks
期刊介绍: Orthopedic Research and Reviews is an international, peer-reviewed, open-access journal focusing on the patho-physiology of the musculoskeletal system, trauma, surgery and other corrective interventions to restore mobility and function. Advances in new technologies, materials, techniques and pharmacological agents will be particularly welcome. Specific topics covered in the journal include: Patho-physiology and bioengineering, Technologies and materials science, Surgical techniques, including robotics, Trauma management and care, Treatment including pharmacological and non-pharmacological, Rehabilitation and Multidisciplinarian care approaches, Patient quality of life, satisfaction and preference, Health economic evaluations. The journal welcomes submitted papers covering original research, basic science and technology, clinical studies, reviews and evaluations, guidelines, expert opinion and commentary, case reports and extended reports.
×
引用
GB/T 7714-2015
复制
MLA
复制
APA
复制
导出至
BibTeX EndNote RefMan NoteFirst NoteExpress
×
提示
您的信息不完整,为了账户安全,请先补充。
现在去补充
×
提示
您因"违规操作"
具体请查看互助需知
我知道了
×
提示
确定
请完成安全验证×
copy
已复制链接
快去分享给好友吧!
我知道了
右上角分享
点击右上角分享
0
联系我们:info@booksci.cn Book学术提供免费学术资源搜索服务,方便国内外学者检索中英文文献。致力于提供最便捷和优质的服务体验。 Copyright © 2023 布克学术 All rights reserved.
京ICP备2023020795号-1
ghs 京公网安备 11010802042870号
Book学术文献互助
Book学术文献互助群
群 号:604180095
Book学术官方微信