中心性肥胖与心脏磁共振测量的左心室最大壁厚和胸内脂肪组织增加有关。

IF 2.9 Q2 PERIPHERAL VASCULAR DISEASE
Jarkko Marttila, Petri Sipola, Auni Juutilainen, Saara Sillanmäki, Marja Hedman, Johanna Kuusisto
{"title":"中心性肥胖与心脏磁共振测量的左心室最大壁厚和胸内脂肪组织增加有关。","authors":"Jarkko Marttila, Petri Sipola, Auni Juutilainen, Saara Sillanmäki, Marja Hedman, Johanna Kuusisto","doi":"10.1007/s40292-024-00659-9","DOIUrl":null,"url":null,"abstract":"<p><strong>Introduction: </strong>Central obesity (CO), characterized by an increased waist circumference increases the risk of cardiovascular disease (CVD) and morbidity, yet the underlying mechanisms are not fully understood. CO is often associated with general obesity, hypertension, and abnormal glucose tolerance, confounding the independent contribution of CO to CVD.</p><p><strong>Aim: </strong>We investigated the relationship of CO (without associated disorders) with left ventricular (LV) characteristics and intrathoracic adipose tissue (IAT) by cardiac magnetic resonance.</p><p><strong>Methods: </strong>LV characteristics, epicardial (EAT), and mediastinal adipose tissue (MAT) were measured from 29 normoglycemic, normotensive males with CO but without general obesity (waist circumference >100 cm, body mass index (BMI) <30 kg/m<sup>2</sup>) and 18 non-obese male controls.</p><p><strong>Results: </strong>LV maximal wall thickness (LVMWT) and IAT but not LV mass or volumes were increased in CO subjects compared to controls (LVMWT, 12.3±1.2 vs. 10.7±1.5 mm, p < 0.001; EAT, 5.5±3.0 vs. 2.2±2.0 cm<sup>2</sup>, p = 0.001; MAT, 31.0±12.8 vs. 15.4±10.7 cm<sup>2</sup>, p < 0.001). The LVMWT was ≥12 mm in 69% of subjects with CO and 22% of controls (p = 0.002). In CO suspects, EAT correlated inversely with LV end-diastolic volume index (r = - 0.403, p = 0.037) and LV stroke volume (SV) (r = - 0.425, p = 0.027). MAT correlated inversely with SV (r = - 0.427, p=0.026) and positively with LVMWT (r = 0.399, p = 0.035). Among CO subjects, the waist-to-hip ratio (WHR) was an independent predictor of LVMWT (B = 22.4, β = 0.617, p < 0.001). The optimal cut-off with Youden's index for LV hypertrophy was identified at WHR 0.98 (sensitivity 85%, specificity 89%).</p><p><strong>Conclusions: </strong>CO independent of BMI is associated with LV hypertrophy and intrathoracic adipose tissue contributing to cardiovascular burden.</p>","PeriodicalId":12890,"journal":{"name":"High Blood Pressure & Cardiovascular Prevention","volume":" ","pages":"389-399"},"PeriodicalIF":2.9000,"publicationDate":"2024-07-01","publicationTypes":"Journal Article","fieldsOfStudy":null,"isOpenAccess":false,"openAccessPdf":"https://www.ncbi.nlm.nih.gov/pmc/articles/PMC11322205/pdf/","citationCount":"0","resultStr":"{\"title\":\"Central Obesity is Associated with Increased Left Ventricular Maximal Wall Thickness and Intrathoracic Adipose Tissue Measured with Cardiac Magnetic Resonance.\",\"authors\":\"Jarkko Marttila, Petri Sipola, Auni Juutilainen, Saara Sillanmäki, Marja Hedman, Johanna Kuusisto\",\"doi\":\"10.1007/s40292-024-00659-9\",\"DOIUrl\":null,\"url\":null,\"abstract\":\"<p><strong>Introduction: </strong>Central obesity (CO), characterized by an increased waist circumference increases the risk of cardiovascular disease (CVD) and morbidity, yet the underlying mechanisms are not fully understood. CO is often associated with general obesity, hypertension, and abnormal glucose tolerance, confounding the independent contribution of CO to CVD.</p><p><strong>Aim: </strong>We investigated the relationship of CO (without associated disorders) with left ventricular (LV) characteristics and intrathoracic adipose tissue (IAT) by cardiac magnetic resonance.</p><p><strong>Methods: </strong>LV characteristics, epicardial (EAT), and mediastinal adipose tissue (MAT) were measured from 29 normoglycemic, normotensive males with CO but without general obesity (waist circumference >100 cm, body mass index (BMI) <30 kg/m<sup>2</sup>) and 18 non-obese male controls.</p><p><strong>Results: </strong>LV maximal wall thickness (LVMWT) and IAT but not LV mass or volumes were increased in CO subjects compared to controls (LVMWT, 12.3±1.2 vs. 10.7±1.5 mm, p < 0.001; EAT, 5.5±3.0 vs. 2.2±2.0 cm<sup>2</sup>, p = 0.001; MAT, 31.0±12.8 vs. 15.4±10.7 cm<sup>2</sup>, p < 0.001). The LVMWT was ≥12 mm in 69% of subjects with CO and 22% of controls (p = 0.002). In CO suspects, EAT correlated inversely with LV end-diastolic volume index (r = - 0.403, p = 0.037) and LV stroke volume (SV) (r = - 0.425, p = 0.027). MAT correlated inversely with SV (r = - 0.427, p=0.026) and positively with LVMWT (r = 0.399, p = 0.035). Among CO subjects, the waist-to-hip ratio (WHR) was an independent predictor of LVMWT (B = 22.4, β = 0.617, p < 0.001). The optimal cut-off with Youden's index for LV hypertrophy was identified at WHR 0.98 (sensitivity 85%, specificity 89%).</p><p><strong>Conclusions: </strong>CO independent of BMI is associated with LV hypertrophy and intrathoracic adipose tissue contributing to cardiovascular burden.</p>\",\"PeriodicalId\":12890,\"journal\":{\"name\":\"High Blood Pressure & Cardiovascular Prevention\",\"volume\":\" \",\"pages\":\"389-399\"},\"PeriodicalIF\":2.9000,\"publicationDate\":\"2024-07-01\",\"publicationTypes\":\"Journal Article\",\"fieldsOfStudy\":null,\"isOpenAccess\":false,\"openAccessPdf\":\"https://www.ncbi.nlm.nih.gov/pmc/articles/PMC11322205/pdf/\",\"citationCount\":\"0\",\"resultStr\":null,\"platform\":\"Semanticscholar\",\"paperid\":null,\"PeriodicalName\":\"High Blood Pressure & Cardiovascular Prevention\",\"FirstCategoryId\":\"1085\",\"ListUrlMain\":\"https://doi.org/10.1007/s40292-024-00659-9\",\"RegionNum\":0,\"RegionCategory\":null,\"ArticlePicture\":[],\"TitleCN\":null,\"AbstractTextCN\":null,\"PMCID\":null,\"EPubDate\":\"2024/6/14 0:00:00\",\"PubModel\":\"Epub\",\"JCR\":\"Q2\",\"JCRName\":\"PERIPHERAL VASCULAR DISEASE\",\"Score\":null,\"Total\":0}","platform":"Semanticscholar","paperid":null,"PeriodicalName":"High Blood Pressure & Cardiovascular Prevention","FirstCategoryId":"1085","ListUrlMain":"https://doi.org/10.1007/s40292-024-00659-9","RegionNum":0,"RegionCategory":null,"ArticlePicture":[],"TitleCN":null,"AbstractTextCN":null,"PMCID":null,"EPubDate":"2024/6/14 0:00:00","PubModel":"Epub","JCR":"Q2","JCRName":"PERIPHERAL VASCULAR DISEASE","Score":null,"Total":0}
引用次数: 0

摘要

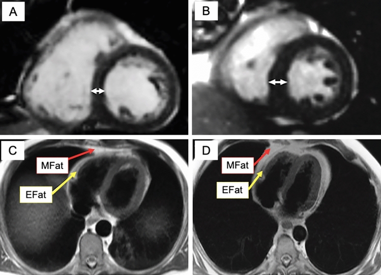
导言:以腰围增大为特征的中心性肥胖(CO)会增加心血管疾病(CVD)的风险和发病率,但其潜在机制尚不完全清楚。目的:我们通过心脏磁共振研究了中心性肥胖(无相关疾病)与左心室(LV)特征和胸内脂肪组织(IAT)之间的关系:方法:测量了 29 名血糖正常、血压正常、患有慢性心肌梗死但无全身肥胖(腰围大于 100 厘米,体重指数 (BMI) 2)的男性和 18 名非肥胖男性对照者的左心室特征、心外膜(EAT)和纵隔脂肪组织(MAT):与对照组相比,CO 受试者的左心室最大壁厚度(LVMWT)和 IAT 增加,但左心室质量或容积没有增加(LVMWT, 12.3±1.2 vs. 10.7±1.5 mm, p < 0.001; EAT, 5.5±3.0 vs. 2.2±2.0 cm2, p = 0.001; MAT, 31.0±12.8 vs. 15.4±10.7 cm2, p < 0.001)。69%的 CO 患者和 22% 的对照组患者的 LVMWT ≥12 mm(P = 0.002)。在 CO 嫌疑人中,EAT 与 LV 舒张末期容积指数(r = - 0.403,p = 0.037)和 LV 搏出量(SV)(r = - 0.425,p = 0.027)呈反向相关。MAT 与 SV 呈反相关(r = - 0.427,p = 0.026),与 LVMWT 呈正相关(r = 0.399,p = 0.035)。在 CO 受试者中,腰臀比(WHR)是 LVMWT 的独立预测因子(B = 22.4,β = 0.617,p < 0.001)。根据尤登指数,左心室肥厚的最佳临界值为 WHR 0.98(敏感性 85%,特异性 89%):结论:CO 与 BMI 无关,与左心室肥厚和胸腔内脂肪组织导致心血管负担有关。
本文章由计算机程序翻译,如有差异,请以英文原文为准。

Central Obesity is Associated with Increased Left Ventricular Maximal Wall Thickness and Intrathoracic Adipose Tissue Measured with Cardiac Magnetic Resonance.

Central Obesity is Associated with Increased Left Ventricular Maximal Wall Thickness and Intrathoracic Adipose Tissue Measured with Cardiac Magnetic Resonance.

Central Obesity is Associated with Increased Left Ventricular Maximal Wall Thickness and Intrathoracic Adipose Tissue Measured with Cardiac Magnetic Resonance.

Central Obesity is Associated with Increased Left Ventricular Maximal Wall Thickness and Intrathoracic Adipose Tissue Measured with Cardiac Magnetic Resonance.

Introduction: Central obesity (CO), characterized by an increased waist circumference increases the risk of cardiovascular disease (CVD) and morbidity, yet the underlying mechanisms are not fully understood. CO is often associated with general obesity, hypertension, and abnormal glucose tolerance, confounding the independent contribution of CO to CVD.

Aim: We investigated the relationship of CO (without associated disorders) with left ventricular (LV) characteristics and intrathoracic adipose tissue (IAT) by cardiac magnetic resonance.

Methods: LV characteristics, epicardial (EAT), and mediastinal adipose tissue (MAT) were measured from 29 normoglycemic, normotensive males with CO but without general obesity (waist circumference >100 cm, body mass index (BMI) <30 kg/m2) and 18 non-obese male controls.

Results: LV maximal wall thickness (LVMWT) and IAT but not LV mass or volumes were increased in CO subjects compared to controls (LVMWT, 12.3±1.2 vs. 10.7±1.5 mm, p < 0.001; EAT, 5.5±3.0 vs. 2.2±2.0 cm2, p = 0.001; MAT, 31.0±12.8 vs. 15.4±10.7 cm2, p < 0.001). The LVMWT was ≥12 mm in 69% of subjects with CO and 22% of controls (p = 0.002). In CO suspects, EAT correlated inversely with LV end-diastolic volume index (r = - 0.403, p = 0.037) and LV stroke volume (SV) (r = - 0.425, p = 0.027). MAT correlated inversely with SV (r = - 0.427, p=0.026) and positively with LVMWT (r = 0.399, p = 0.035). Among CO subjects, the waist-to-hip ratio (WHR) was an independent predictor of LVMWT (B = 22.4, β = 0.617, p < 0.001). The optimal cut-off with Youden's index for LV hypertrophy was identified at WHR 0.98 (sensitivity 85%, specificity 89%).

Conclusions: CO independent of BMI is associated with LV hypertrophy and intrathoracic adipose tissue contributing to cardiovascular burden.

求助全文
通过发布文献求助,成功后即可免费获取论文全文。 去求助
来源期刊
CiteScore
5.70
自引率
3.30%
发文量
57
期刊介绍: High Blood Pressure & Cardiovascular Prevention promotes knowledge, update and discussion in the field of hypertension and cardiovascular disease prevention, by providing a regular programme of independent review articles covering key aspects of the management of hypertension and cardiovascular diseases. The journal includes:   Invited ''State of the Art'' reviews.  Expert commentaries on guidelines, major trials, technical advances.Presentation of new intervention trials design.''Pros and Cons'' or round tables on controversial issues.Statements on guidelines from hypertension and cardiovascular scientific societies.Socio-economic issues.Cost/benefit in prevention of cardiovascular diseases.Monitoring of healthcare systems.News and views from the Italian Society of Hypertension (including abstracts).All manuscripts are subject to peer review by international experts. Letters to the editor are welcomed and will be considered for publication.
×
引用
GB/T 7714-2015
复制
MLA
复制
APA
复制
导出至
BibTeX EndNote RefMan NoteFirst NoteExpress
×
提示
您的信息不完整,为了账户安全,请先补充。
现在去补充
×
提示
您因"违规操作"
具体请查看互助需知
我知道了
×
提示
确定
请完成安全验证×
copy
已复制链接
快去分享给好友吧!
我知道了
右上角分享
点击右上角分享
0
联系我们:info@booksci.cn Book学术提供免费学术资源搜索服务,方便国内外学者检索中英文文献。致力于提供最便捷和优质的服务体验。 Copyright © 2023 布克学术 All rights reserved.
京ICP备2023020795号-1
ghs 京公网安备 11010802042870号
Book学术文献互助
Book学术文献互助群
群 号:604180095
Book学术官方微信