CTLA4 和 pSTAT3 免疫染色在结直肠癌的预后和治疗中的作用

Q3 Medicine
Iranian Journal of Pathology Pub Date : 2024-01-01 Epub Date: 2024-03-29 DOI:10.30699/IJP.2024.2009619.3158
Dina Mohamed Allam, Hend Kasem, Amira Hegazy, Shereen F Mahmoud
{"title":"CTLA4 和 pSTAT3 免疫染色在结直肠癌的预后和治疗中的作用","authors":"Dina Mohamed Allam, Hend Kasem, Amira Hegazy, Shereen F Mahmoud","doi":"10.30699/IJP.2024.2009619.3158","DOIUrl":null,"url":null,"abstract":"<p><strong>Background & objective: </strong>Colorectal carcinoma (CRC) is the third leading cause of cancer-caused death worldwide and constitutes about 6.48% of all malignancies in Egypt. Studying the molecular profile of CRC is essential for developing targeted therapies. STAT3 and CTLA4 expression are considered as molecular abnormalities involved in the CRC progression and chemo-resistance. Therefore, they could be used as potential therapeutic targets. This study aimed to evaluate pSTAT3 and CTLA4 expression levels and their possible roles as prognostic and predictive biomarkers in CRC using immunohistochemistry (IHC).</p><p><strong>Methods: </strong>This retrospective study included 113 CRC patients. Tissue microarrays were constructed, followed by pSTAT3 and CTLA4 antibodies immunostaining. Their expression was assessed and compared with the clinicopathological parameters and survival data.</p><p><strong>Results: </strong>Both pSTAT3 and CTLA4 overexpression were significantly associated with poor prognostic parameters, such as the presence of distant metastasis (<i>P</i>=0.02 & 0.03), high grade (<i>P</i><0.001 & 0.03), high mitotic count (<i>P</i><0.001 & 0.03), high tumor budding group (<i>P</i>=0.008 & 0.04), infiltrating tumor border (<i>P</i><0.001 & 0.007) respectively, and advanced pathological stage with pSTAT3 (<i>P</i>=0.02). A significant association was found between overexpression of both markers and short overall survival. Correlations between the H-score of pSTAT3 and CTLA4 in CRC showed a significant positive correlation (<i>P</i><0.001).</p><p><strong>Conclusion: </strong>STAT3 and CTLA4 positivity may be linked to the development and progression of the CRC, and they may provide potential prognostic indicators and therapeutic targets for CRC patients.</p>","PeriodicalId":38900,"journal":{"name":"Iranian Journal of Pathology","volume":"19 1","pages":"89-102"},"PeriodicalIF":0.0000,"publicationDate":"2024-01-01","publicationTypes":"Journal Article","fieldsOfStudy":null,"isOpenAccess":false,"openAccessPdf":"https://www.ncbi.nlm.nih.gov/pmc/articles/PMC11164302/pdf/","citationCount":"0","resultStr":"{\"title\":\"Role of CTLA4 and pSTAT3 Immunostaining in Prognosis and Treatment of the Colorectal Carcinoma.\",\"authors\":\"Dina Mohamed Allam, Hend Kasem, Amira Hegazy, Shereen F Mahmoud\",\"doi\":\"10.30699/IJP.2024.2009619.3158\",\"DOIUrl\":null,\"url\":null,\"abstract\":\"<p><strong>Background & objective: </strong>Colorectal carcinoma (CRC) is the third leading cause of cancer-caused death worldwide and constitutes about 6.48% of all malignancies in Egypt. Studying the molecular profile of CRC is essential for developing targeted therapies. STAT3 and CTLA4 expression are considered as molecular abnormalities involved in the CRC progression and chemo-resistance. Therefore, they could be used as potential therapeutic targets. This study aimed to evaluate pSTAT3 and CTLA4 expression levels and their possible roles as prognostic and predictive biomarkers in CRC using immunohistochemistry (IHC).</p><p><strong>Methods: </strong>This retrospective study included 113 CRC patients. Tissue microarrays were constructed, followed by pSTAT3 and CTLA4 antibodies immunostaining. Their expression was assessed and compared with the clinicopathological parameters and survival data.</p><p><strong>Results: </strong>Both pSTAT3 and CTLA4 overexpression were significantly associated with poor prognostic parameters, such as the presence of distant metastasis (<i>P</i>=0.02 & 0.03), high grade (<i>P</i><0.001 & 0.03), high mitotic count (<i>P</i><0.001 & 0.03), high tumor budding group (<i>P</i>=0.008 & 0.04), infiltrating tumor border (<i>P</i><0.001 & 0.007) respectively, and advanced pathological stage with pSTAT3 (<i>P</i>=0.02). A significant association was found between overexpression of both markers and short overall survival. Correlations between the H-score of pSTAT3 and CTLA4 in CRC showed a significant positive correlation (<i>P</i><0.001).</p><p><strong>Conclusion: </strong>STAT3 and CTLA4 positivity may be linked to the development and progression of the CRC, and they may provide potential prognostic indicators and therapeutic targets for CRC patients.</p>\",\"PeriodicalId\":38900,\"journal\":{\"name\":\"Iranian Journal of Pathology\",\"volume\":\"19 1\",\"pages\":\"89-102\"},\"PeriodicalIF\":0.0000,\"publicationDate\":\"2024-01-01\",\"publicationTypes\":\"Journal Article\",\"fieldsOfStudy\":null,\"isOpenAccess\":false,\"openAccessPdf\":\"https://www.ncbi.nlm.nih.gov/pmc/articles/PMC11164302/pdf/\",\"citationCount\":\"0\",\"resultStr\":null,\"platform\":\"Semanticscholar\",\"paperid\":null,\"PeriodicalName\":\"Iranian Journal of Pathology\",\"FirstCategoryId\":\"1085\",\"ListUrlMain\":\"https://doi.org/10.30699/IJP.2024.2009619.3158\",\"RegionNum\":0,\"RegionCategory\":null,\"ArticlePicture\":[],\"TitleCN\":null,\"AbstractTextCN\":null,\"PMCID\":null,\"EPubDate\":\"2024/3/29 0:00:00\",\"PubModel\":\"Epub\",\"JCR\":\"Q3\",\"JCRName\":\"Medicine\",\"Score\":null,\"Total\":0}","platform":"Semanticscholar","paperid":null,"PeriodicalName":"Iranian Journal of Pathology","FirstCategoryId":"1085","ListUrlMain":"https://doi.org/10.30699/IJP.2024.2009619.3158","RegionNum":0,"RegionCategory":null,"ArticlePicture":[],"TitleCN":null,"AbstractTextCN":null,"PMCID":null,"EPubDate":"2024/3/29 0:00:00","PubModel":"Epub","JCR":"Q3","JCRName":"Medicine","Score":null,"Total":0}
引用次数: 0

摘要

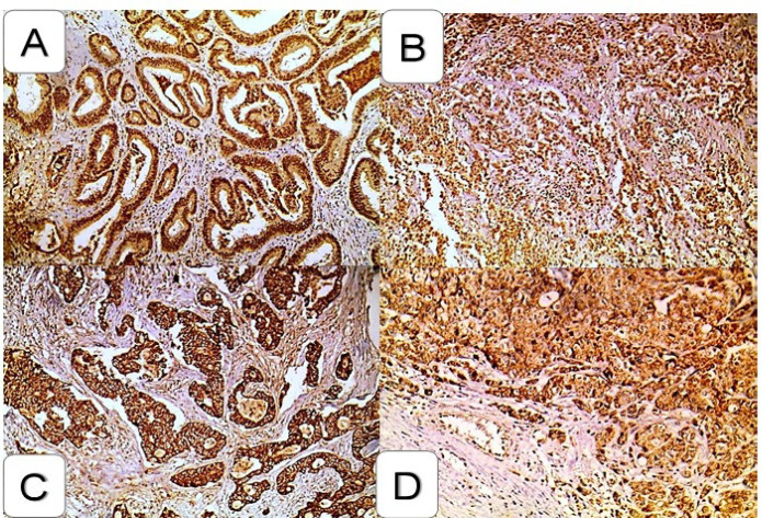
背景与目的:结直肠癌(CRC)是全球第三大癌症致死病因,在埃及约占所有恶性肿瘤的 6.48%。研究 CRC 的分子特征对于开发靶向疗法至关重要。STAT3 和 CTLA4 的表达被认为是参与 CRC 进展和化疗耐药性的分子异常。因此,它们可作为潜在的治疗靶点。本研究旨在利用免疫组化技术(IHC)评估 pSTAT3 和 CTLA4 的表达水平及其作为 CRC 预后和预测生物标志物的可能作用:这项回顾性研究纳入了 113 例 CRC 患者。方法:这项回顾性研究纳入了 113 例 CRC 患者,构建了组织芯片,然后进行 pSTAT3 和 CTLA4 抗体免疫染色。结果:pSTAT3 和 CTLA4 抗体的表达均呈阳性:结果:pSTAT3和CTLA4的过表达与预后不良参数显著相关,如远处转移(P=0.02和0.03)、高分级(PPP=0.008和0.04)、肿瘤边界浸润(PP=0.02)。这两种标记物的过表达与总生存期短之间存在明显关联。pSTAT3 和 CTLA4 在 CRC 中的 H 评分之间的相关性显示出明显的正相关(PConclusion:STAT3和CTLA4阳性可能与CRC的发生和发展有关,它们可能为CRC患者提供潜在的预后指标和治疗靶点。
本文章由计算机程序翻译,如有差异,请以英文原文为准。

Role of CTLA4 and pSTAT3 Immunostaining in Prognosis and Treatment of the Colorectal Carcinoma.

Role of CTLA4 and pSTAT3 Immunostaining in Prognosis and Treatment of the Colorectal Carcinoma.

Role of CTLA4 and pSTAT3 Immunostaining in Prognosis and Treatment of the Colorectal Carcinoma.

Role of CTLA4 and pSTAT3 Immunostaining in Prognosis and Treatment of the Colorectal Carcinoma.

Background & objective: Colorectal carcinoma (CRC) is the third leading cause of cancer-caused death worldwide and constitutes about 6.48% of all malignancies in Egypt. Studying the molecular profile of CRC is essential for developing targeted therapies. STAT3 and CTLA4 expression are considered as molecular abnormalities involved in the CRC progression and chemo-resistance. Therefore, they could be used as potential therapeutic targets. This study aimed to evaluate pSTAT3 and CTLA4 expression levels and their possible roles as prognostic and predictive biomarkers in CRC using immunohistochemistry (IHC).

Methods: This retrospective study included 113 CRC patients. Tissue microarrays were constructed, followed by pSTAT3 and CTLA4 antibodies immunostaining. Their expression was assessed and compared with the clinicopathological parameters and survival data.

Results: Both pSTAT3 and CTLA4 overexpression were significantly associated with poor prognostic parameters, such as the presence of distant metastasis (P=0.02 & 0.03), high grade (P<0.001 & 0.03), high mitotic count (P<0.001 & 0.03), high tumor budding group (P=0.008 & 0.04), infiltrating tumor border (P<0.001 & 0.007) respectively, and advanced pathological stage with pSTAT3 (P=0.02). A significant association was found between overexpression of both markers and short overall survival. Correlations between the H-score of pSTAT3 and CTLA4 in CRC showed a significant positive correlation (P<0.001).

Conclusion: STAT3 and CTLA4 positivity may be linked to the development and progression of the CRC, and they may provide potential prognostic indicators and therapeutic targets for CRC patients.

求助全文
通过发布文献求助,成功后即可免费获取论文全文。 去求助
来源期刊
Iranian Journal of Pathology
Iranian Journal of Pathology Medicine-Pathology and Forensic Medicine
CiteScore
2.00
自引率
0.00%
发文量
99
审稿时长
20 weeks
×
引用
GB/T 7714-2015
复制
MLA
复制
APA
复制
导出至
BibTeX EndNote RefMan NoteFirst NoteExpress
×
提示
您的信息不完整,为了账户安全,请先补充。
现在去补充
×
提示
您因"违规操作"
具体请查看互助需知
我知道了
×
提示
确定
请完成安全验证×
copy
已复制链接
快去分享给好友吧!
我知道了
右上角分享
点击右上角分享
0
联系我们:info@booksci.cn Book学术提供免费学术资源搜索服务,方便国内外学者检索中英文文献。致力于提供最便捷和优质的服务体验。 Copyright © 2023 布克学术 All rights reserved.
京ICP备2023020795号-1
ghs 京公网安备 11010802042870号
Book学术文献互助
Book学术文献互助群
群 号:604180095
Book学术官方微信